呼吸科电话会诊病例,我给出了意见,等纤支镜揭晓结果---结果公布
胡志勇HZY 达人已点赞患者性别:男
患者年龄:67岁
主诉:咳嗽咳痰10余年,气喘8年,加重20余天
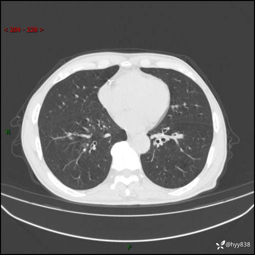
简要病史:患者近10余年来反复于受凉、气候变化或接触粉尘后出现咳嗽,咳痰,初始症状不重,未予重视,8年前出现气喘,活动后加重,曾到我院住院完善相关检查后考虑为慢性阻塞性肺疾病。予以抗感染、解痉平喘等对症支持治疗后好转出院。院外吸入茚达特罗格隆溴铵吸入粉雾剂,未规律使用。约20天前患者因受凉后出现咳嗽、咳痰加重,咳黄痰或绿痰,伴活动后气喘加重,伴流涕,无胸闷、心慌,无畏寒发热,无咯血、胸痛,无夜间端坐呼吸,无双下肢水肿等不适,于2023-12-30在当地县普济镇中心卫生院行胸部CT提示左肺结节,院外未行特殊处理,现为求进一步诊治来我院,门诊以“肺结节”收入我科。 起病以来,患者食欲尚可,大小便正常,睡眠、精神可,体力减、体重无明显变化
体格检查:(-)
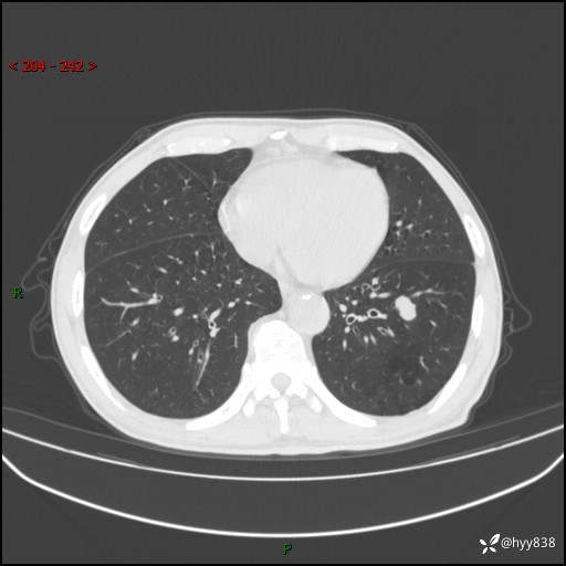
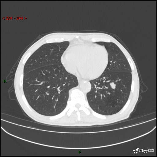
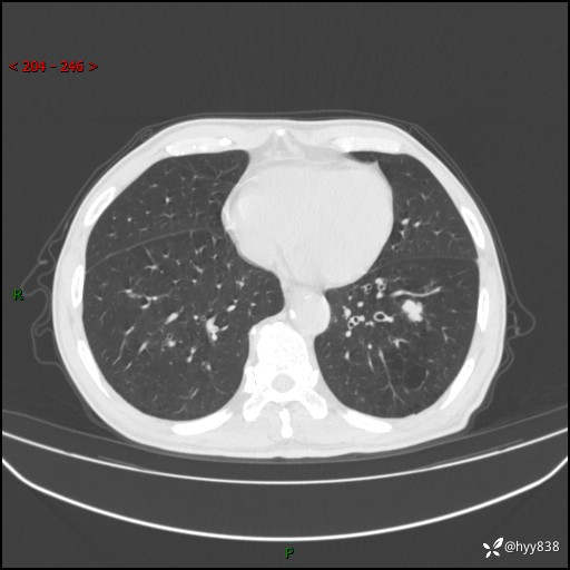
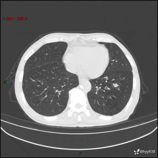
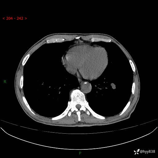
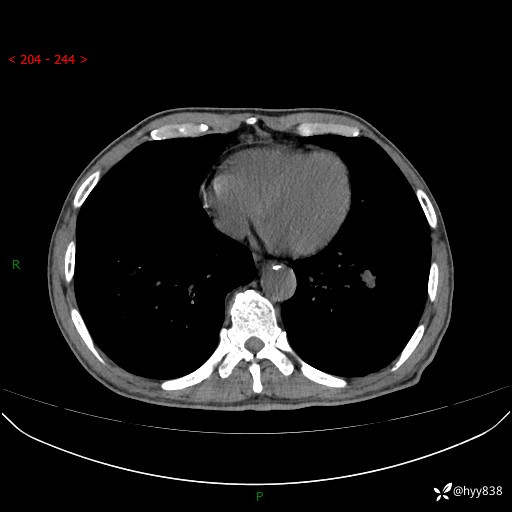
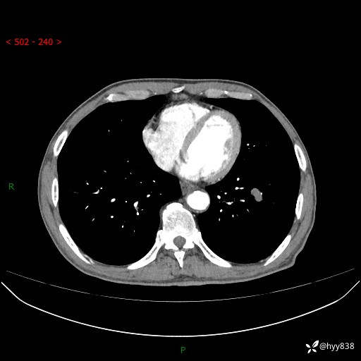
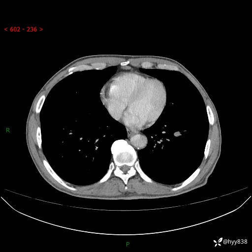
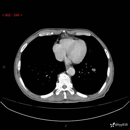
辅助检查:CT
临床诊断:肺结节
治疗经过:---
讨论:结节性质?
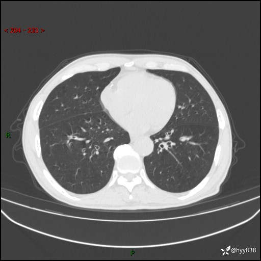
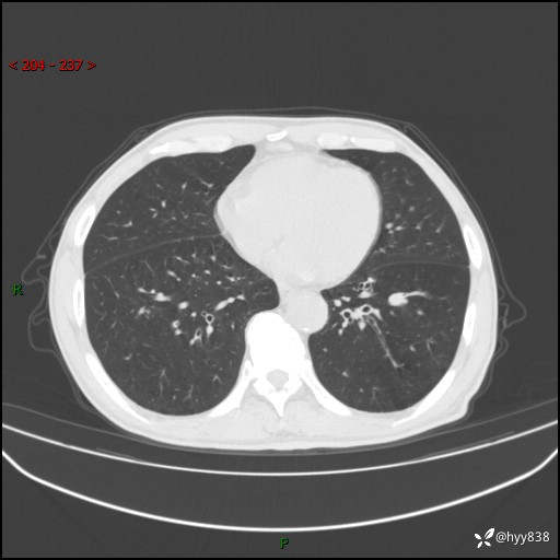
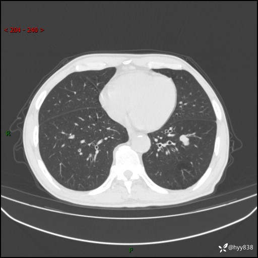
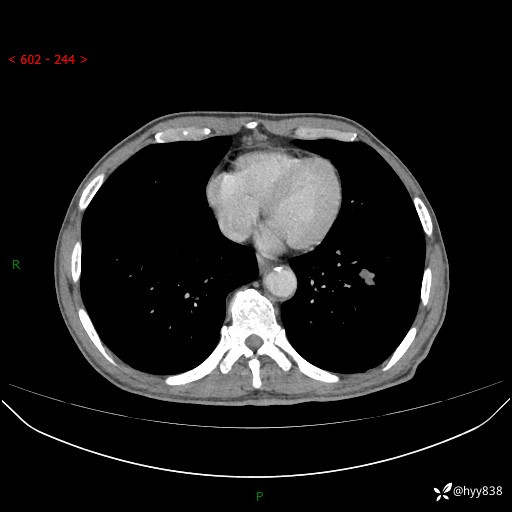
胸部CT平扫











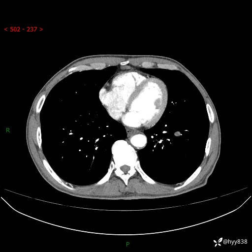
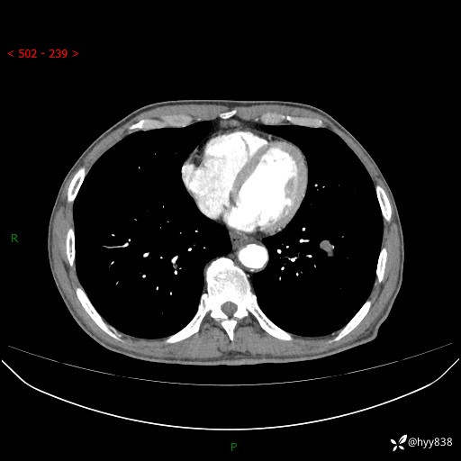
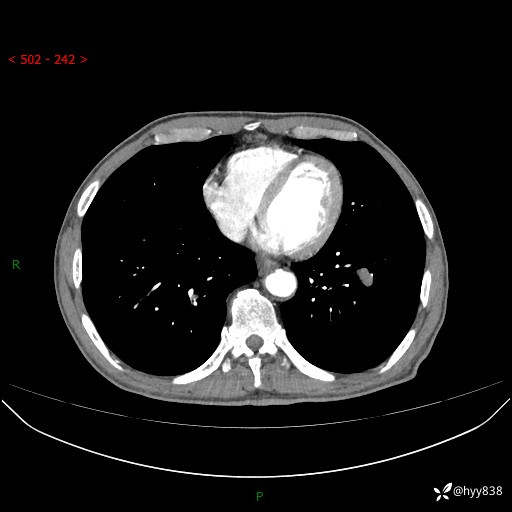
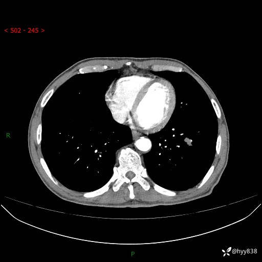
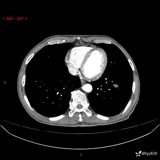
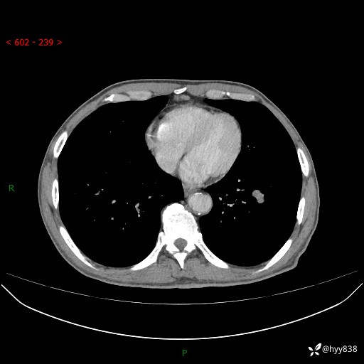
增强动脉期+静脉期











各期CT值:38Hu 52hu 55hu















































