老年女性,发热、咳嗽、咳痰3天。疑难病例分享,细节---(NGS+纤支镜)结果公布~
病例信息
性别:女
年龄:68岁
主诉:发热、咳嗽、咳痰3天
现病史:患者3天前受凉后出现发热,体温最高为39℃,伴有咳嗽、咳白痰,全身酸痛,无胸闷胸痛,无咯血,无呼吸困难,无头晕头痛,无血尿、尿频尿急尿痛,无腹泻等症状。患者为求进一步诊治,于我院就诊,门诊以“肺部感染”收入我科。 起病以来,患者食欲尚可,大小便正常,睡眠、精神欠佳,体力、体重无明显变化。
实验室检查:


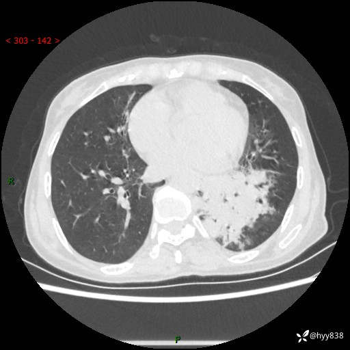
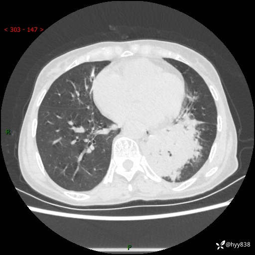
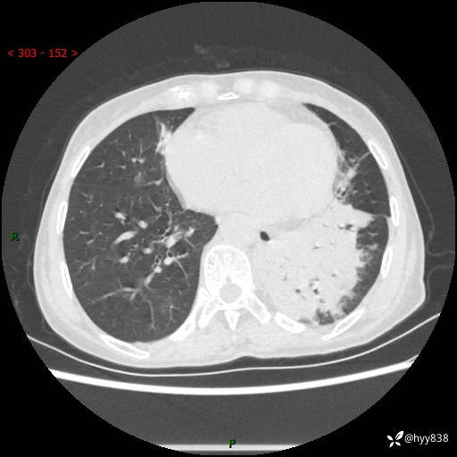
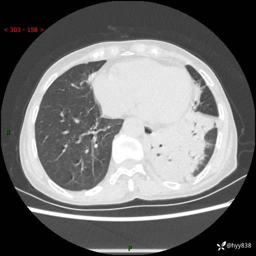
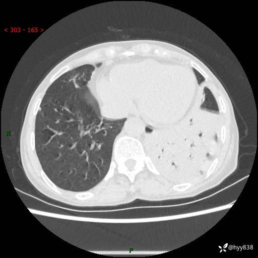
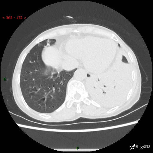
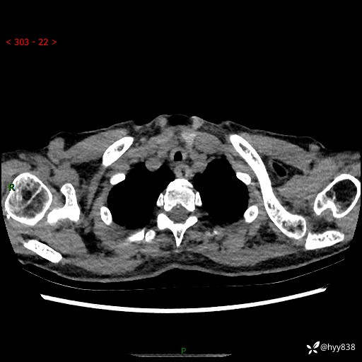
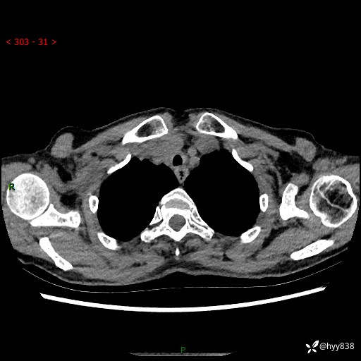
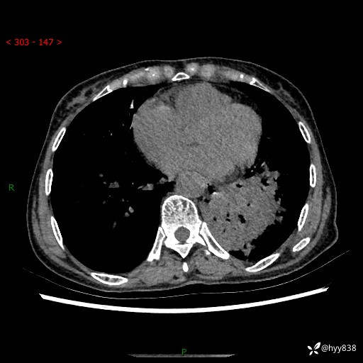
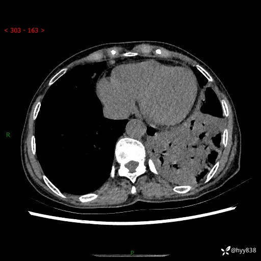
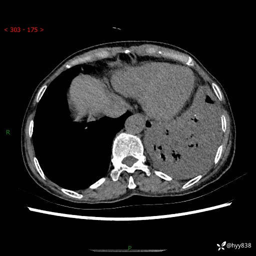
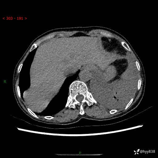
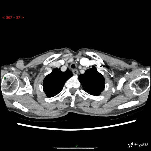
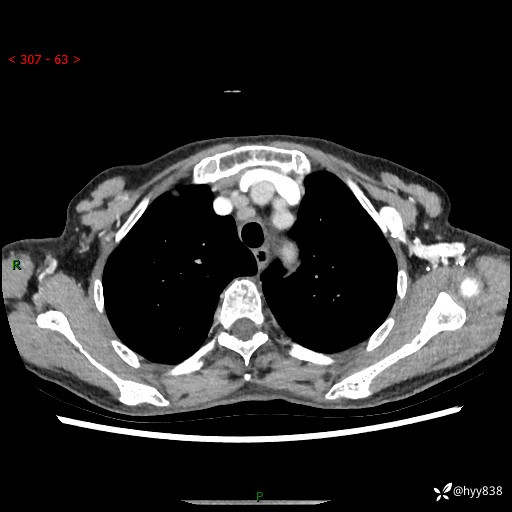
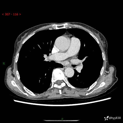
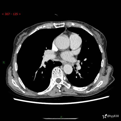
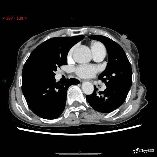
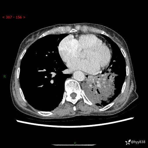
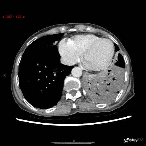
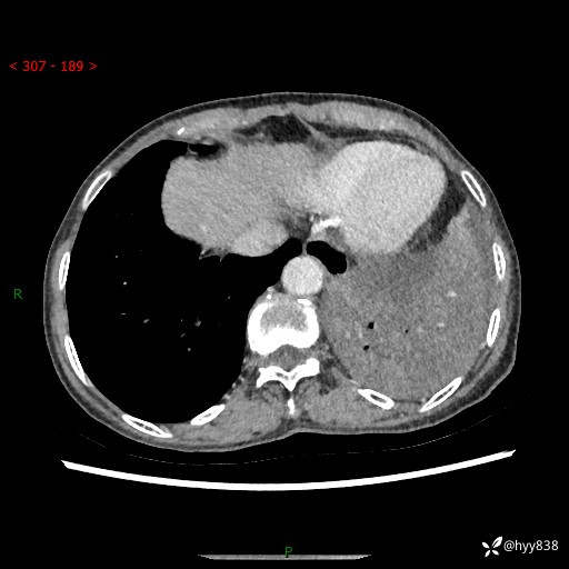
胸部CT平扫+增强






















病例信息
性别:女
年龄:68岁
主诉:发热、咳嗽、咳痰3天
现病史:患者3天前受凉后出现发热,体温最高为39℃,伴有咳嗽、咳白痰,全身酸痛,无胸闷胸痛,无咯血,无呼吸困难,无头晕头痛,无血尿、尿频尿急尿痛,无腹泻等症状。患者为求进一步诊治,于我院就诊,门诊以“肺部感染”收入我科。 起病以来,患者食欲尚可,大小便正常,睡眠、精神欠佳,体力、体重无明显变化。
实验室检查:


胸部CT平扫+增强






















