dxy logo
首页丁香园病例库全部版块
搜索
登录

病例审核报告偶遇,又见“铺路石”,有何高见---结果公布~

影像核医学版版主 · 发布于 2023-12-28 · IP 湖北湖北
3816 浏览
icon胡志勇HZY 达人已点赞
这个帖子发布于 1 年零 332 天前,其中的信息可能已发生改变或有所发展。

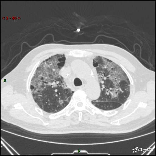
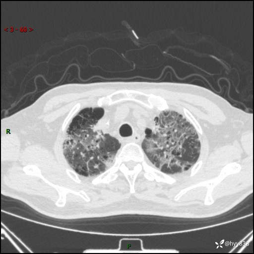
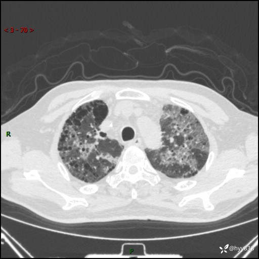
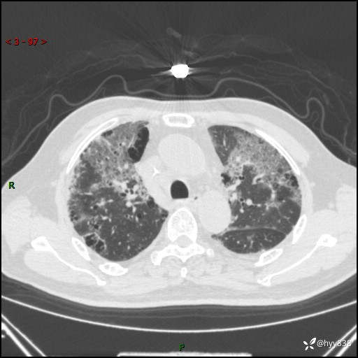
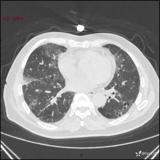
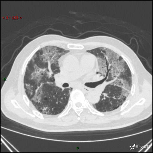
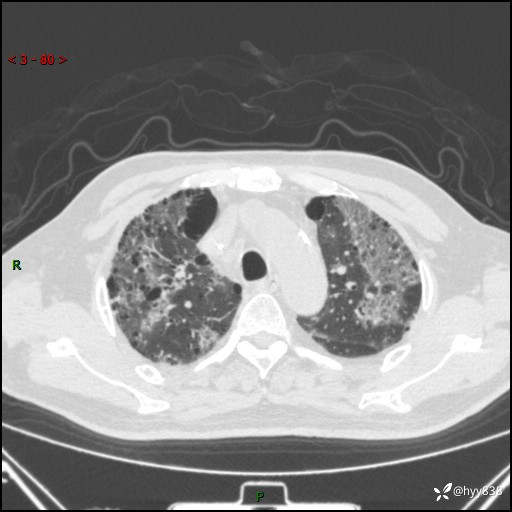
患者性别:男

患者年龄:64岁

简要病史:肝内胆管癌综合治疗后2周余,咳嗽、发热,咳白色泡沫痰。

体格检查:(-)

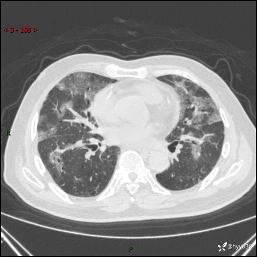
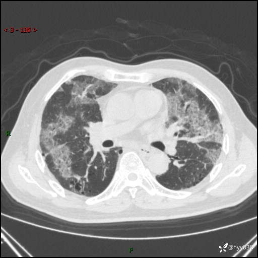
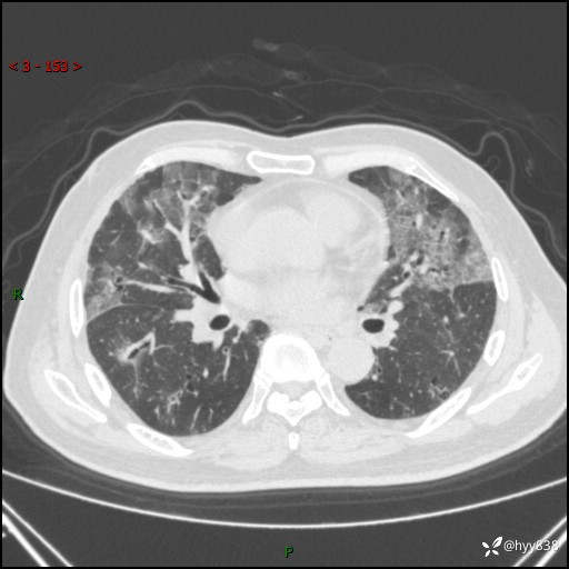
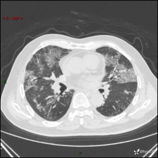
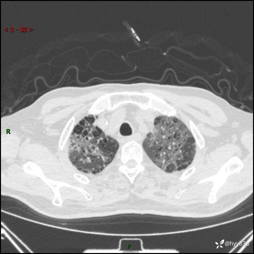
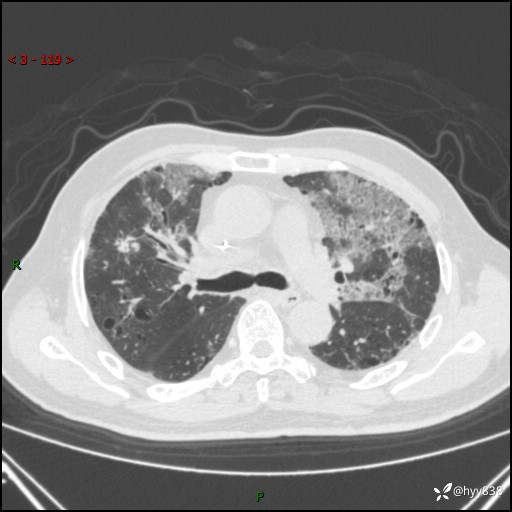
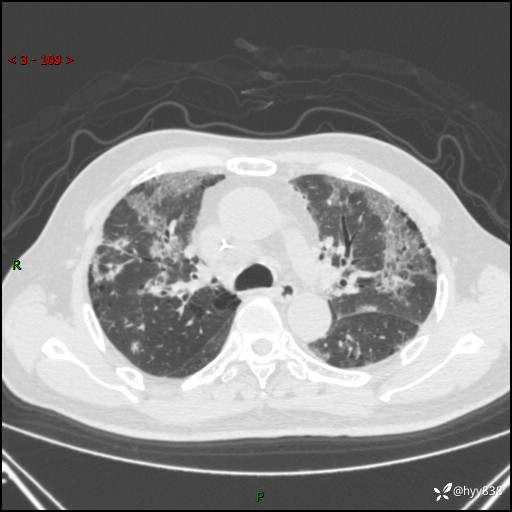
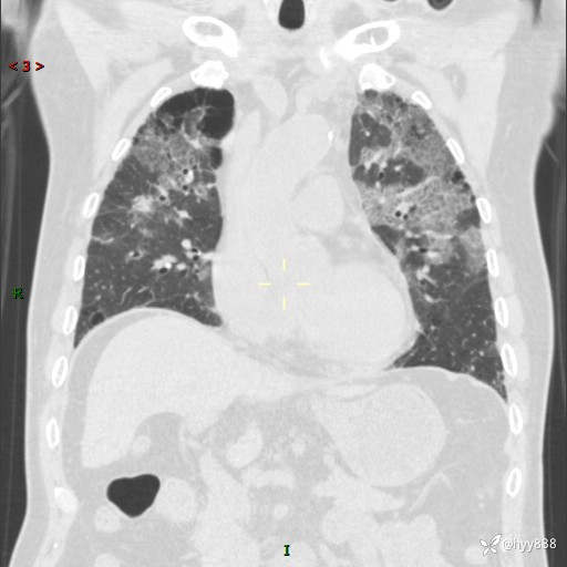
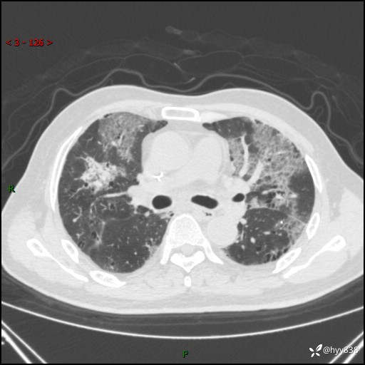
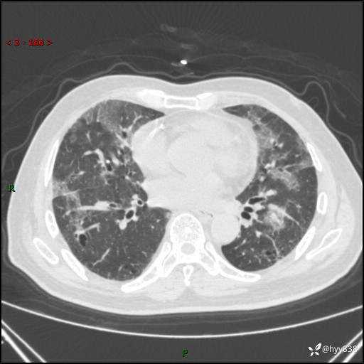
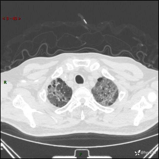
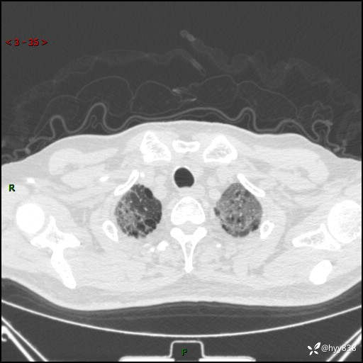
辅助检查:CT

临床诊断:感染?

治疗经过:---

讨论:病变性质?

img
img
img
img
img
img
img
img
img
img
img
img
img
img
img
img
img
img
img
肝内胆管癌 (17)
纠错
44 9 15
同行评议(0)
已评议
不开通精选
开通精选
精选已授权,待上线
评议结果暂未公布
参与评议
去邀请
NaN
病例完整NaN
临床实用NaN
诊疗科学NaN
学术价值NaN

全部讨论(0)

默认最新
avatar
44
分享帖子
share-weibo分享到微博
share-weibo分享到微信
认证
返回顶部