dxy logo
首页丁香园病例库全部版块
搜索
登录

呼吸科电话会诊病例:过敏性肺炎 VS 吸烟相关间质性肺炎 VS 尘肺……结果公布~

影像核医学版版主 · 发布于 2023-03-18 · IP 湖北湖北
5908 浏览
推荐、达人点赞 2 项荣誉
这个帖子发布于 2 年零 252 天前,其中的信息可能已发生改变或有所发展。

性别:男

年龄:55岁

简要病史:渐进性呼吸困难。

实验室检查:血象正常。

临床诊断:呼吸困难待查

讨论:影像特点及诊断?

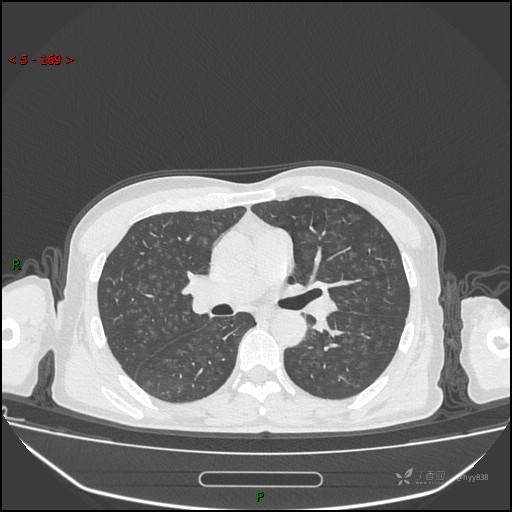
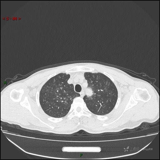
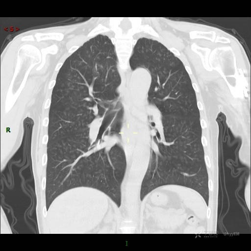
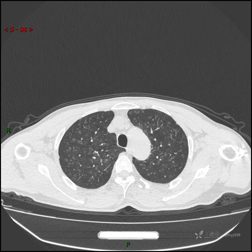
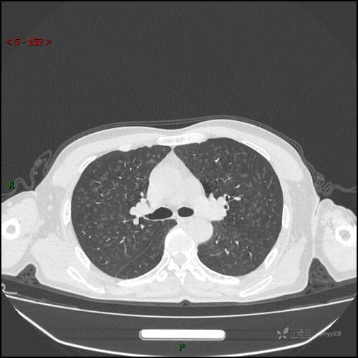
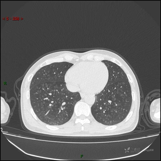
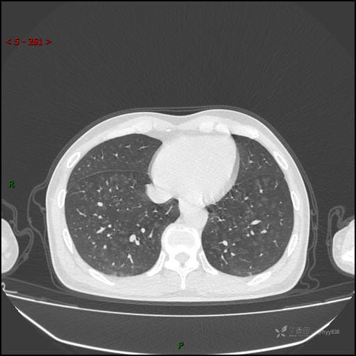
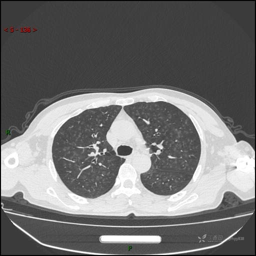
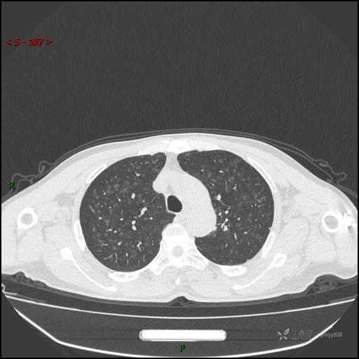
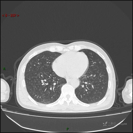
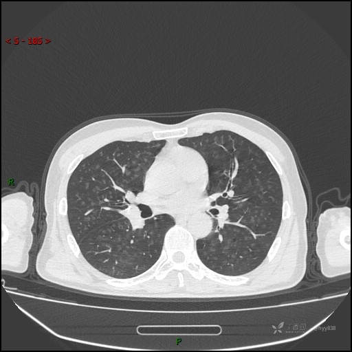
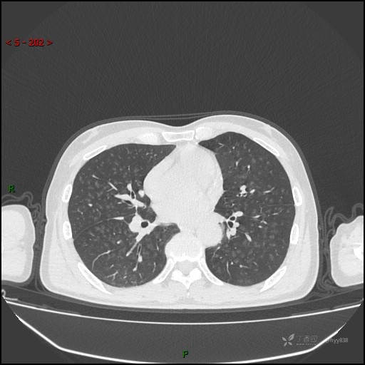
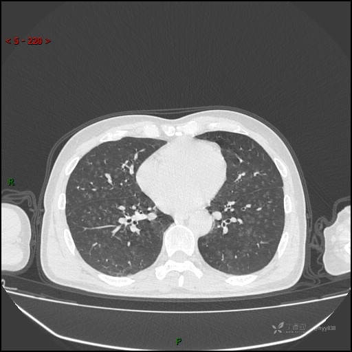
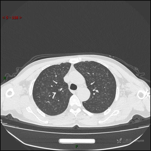
胸部CT平扫

img
img
img
img
img
img
img
img
img
img
img
img
img
img
电焊工尘肺 (2)
纠错
202 45 24
同行评议(0)
已评议
不开通精选
开通精选
精选已授权,待上线
评议结果暂未公布
参与评议
去邀请
NaN
病例完整NaN
临床实用NaN
诊疗科学NaN
学术价值NaN

全部讨论(0)

默认最新
avatar
202
分享帖子
share-weibo分享到微博
share-weibo分享到微信
认证
返回顶部