老年男性,间断咳嗽咳痰20余年,加重伴发热1天。呼吸科疑难病例讨论---结果公布
胡志勇HZY 达人已点赞患者性别:男
患者年龄:74岁
主诉:间断咳嗽咳痰20余年,加重伴发热1天
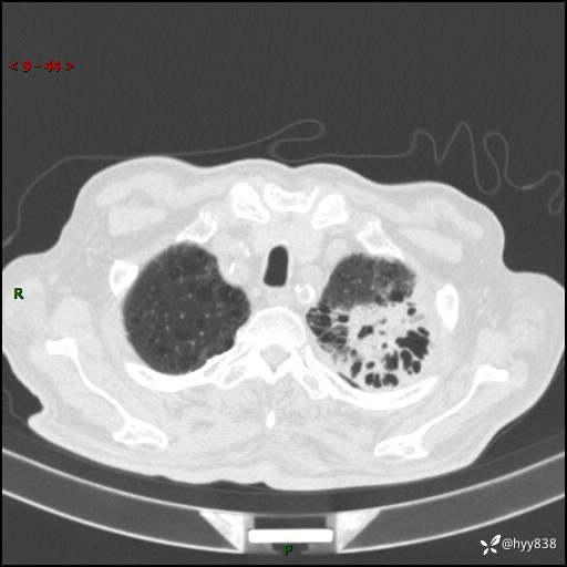
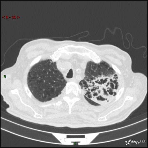
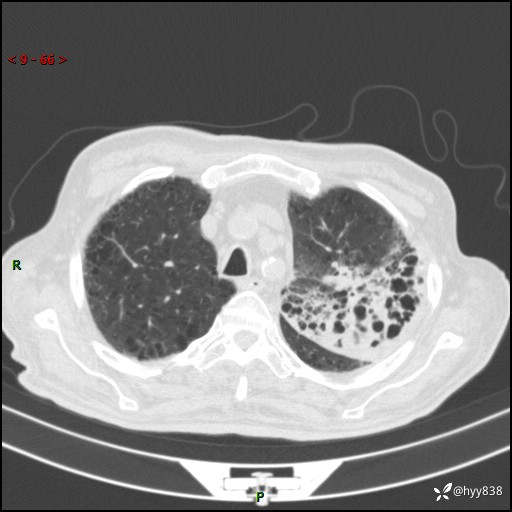
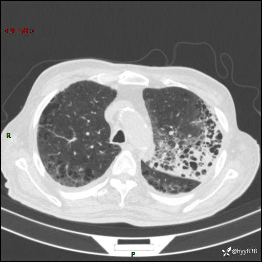
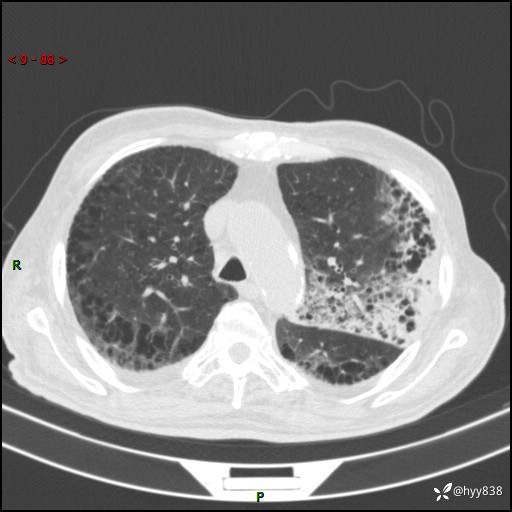
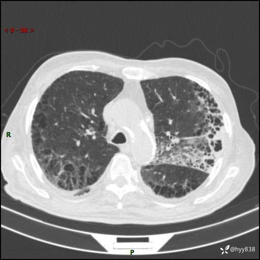
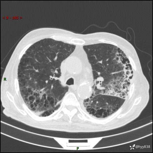
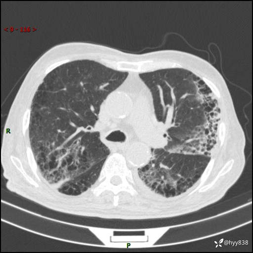
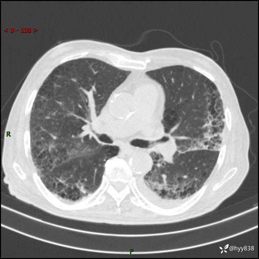
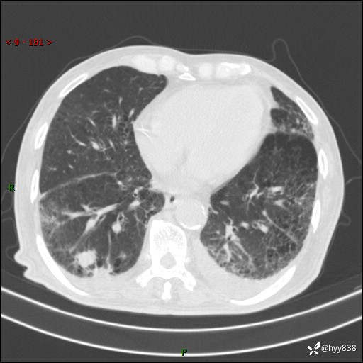
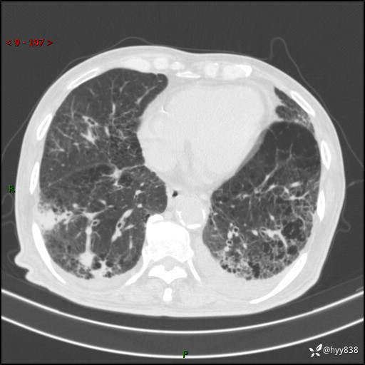
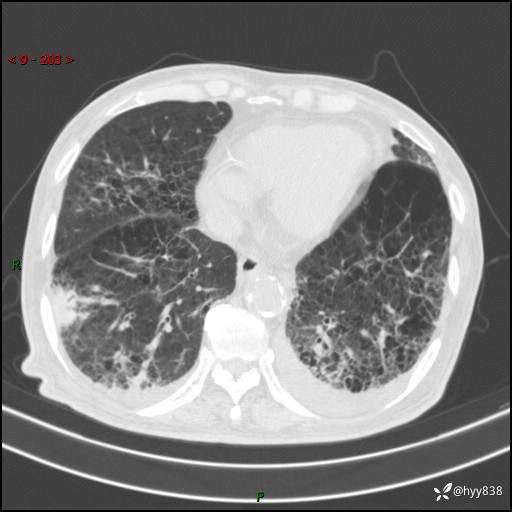
简要病史:家属代诉患者于20余年前无明显诱因出现咳嗽咳痰,痰为白色泡沫状,未行特殊治疗,不伴胸痛、胸闷、气喘、咳血等不适,1天前上午患者无明显出现发热,查体温39℃,伴咳嗽,咳痰无力,自行予以物理降温对症治疗,今晨2点左右再次出现发热,体温达40℃,自行服用复方氨酚烷胺对症治疗,凌晨3点左右复测体温38.2℃,现患者为求进一步诊治于今日就诊于我院门诊,行胸部CT提示双肺感染,遂以“肺部感染”收入我科。 患者本次起病来精神、食欲、睡眠欠佳,体力下降,体重无明显变化。
既往史:糖尿病8年
实验室检查:

体格检查:(-)
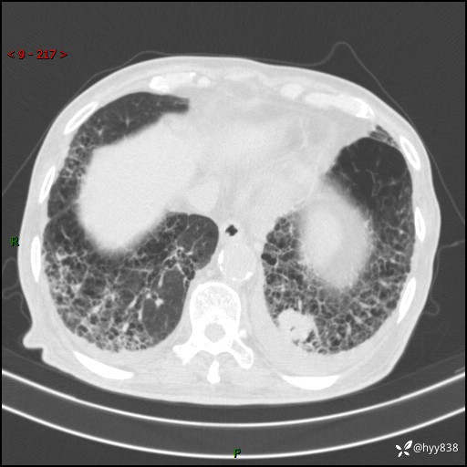
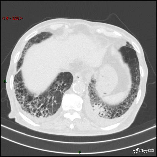
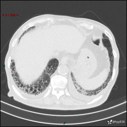
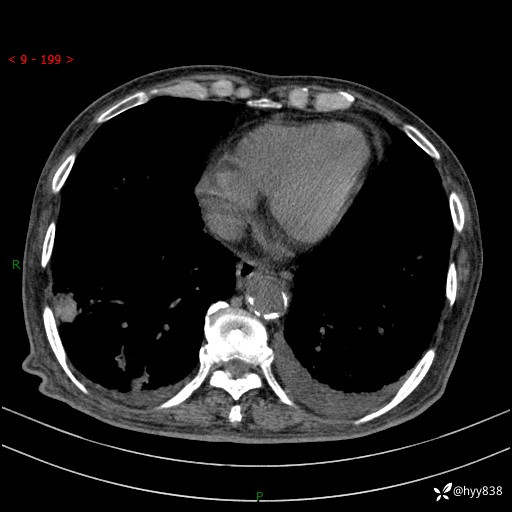
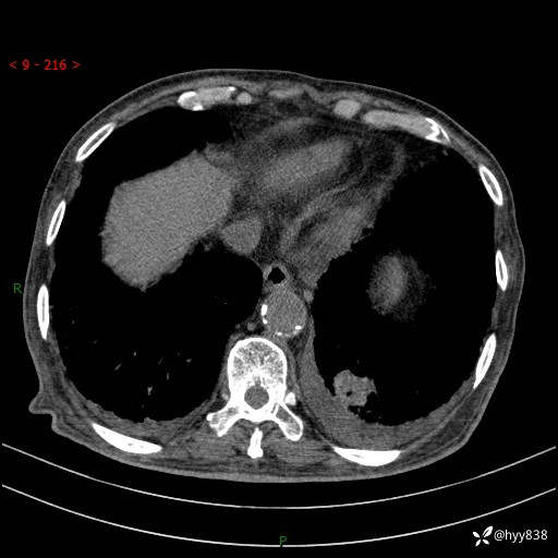
辅助检查:CT
临床诊断:感染
治疗经过:---
讨论:病变性质?
胸部CT平扫


































































