典型病例156:82岁老人,祸不单行,旧疾未愈、又添新病,很是典型
患者男性,82岁。
主诉:发现肺占位性病变10月,伴腹部疼痛1天。
现病史:患者自诉于入院前10月因“间断咳嗽、咳痰、乏力20天”就诊我院,查胸部CT提示右肺上叶后段占位,周围型肺癌可能。对症治疗好转出院,此次入院前1天出现腹部疼痛,以左腹部为甚,伴恶心、呕吐一次。
查心电图:非ST段抬高性心肌梗死、心房颤动。
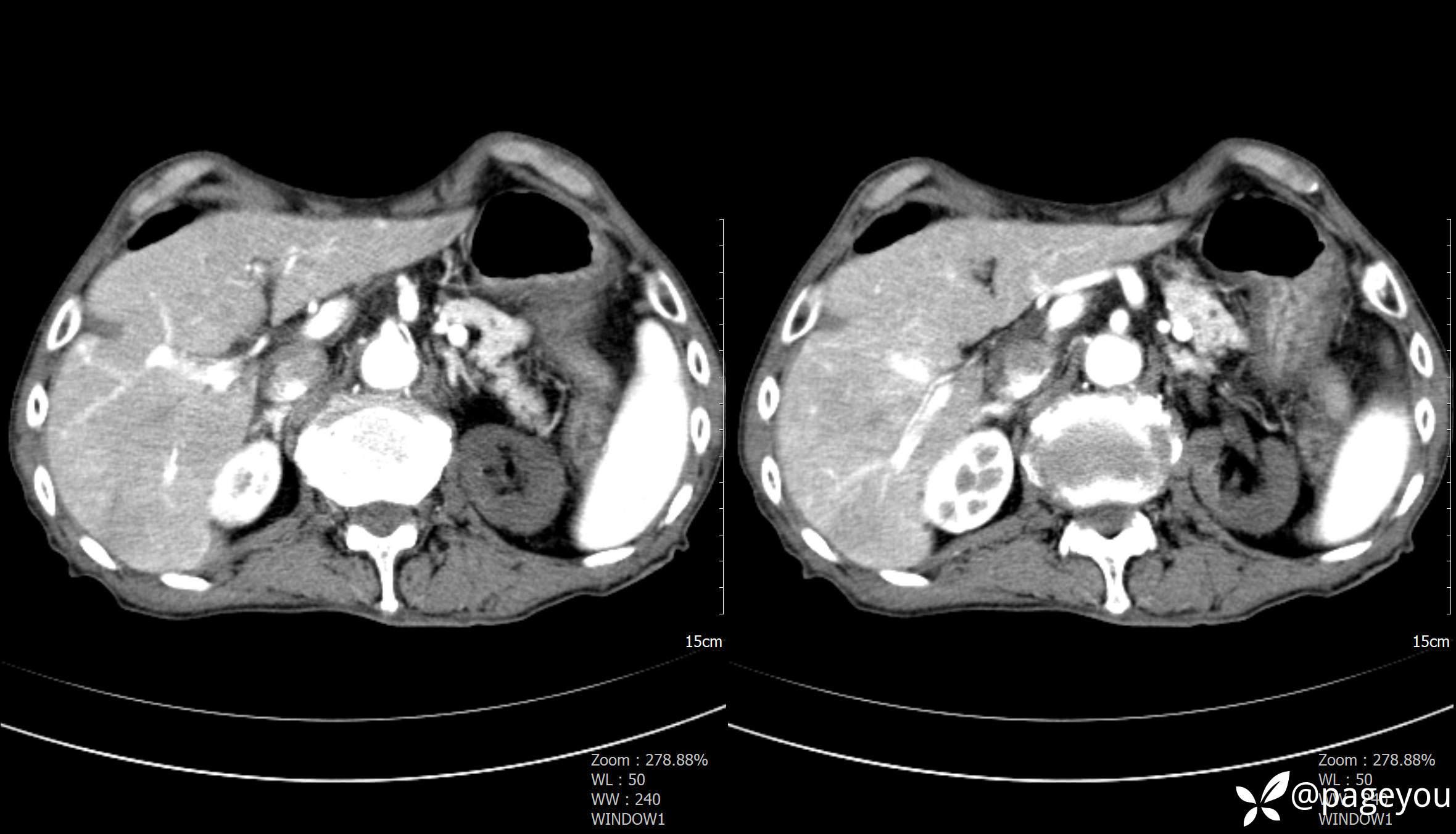
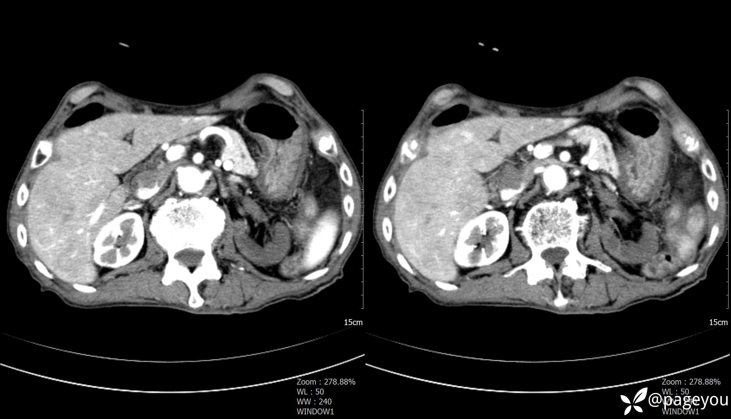
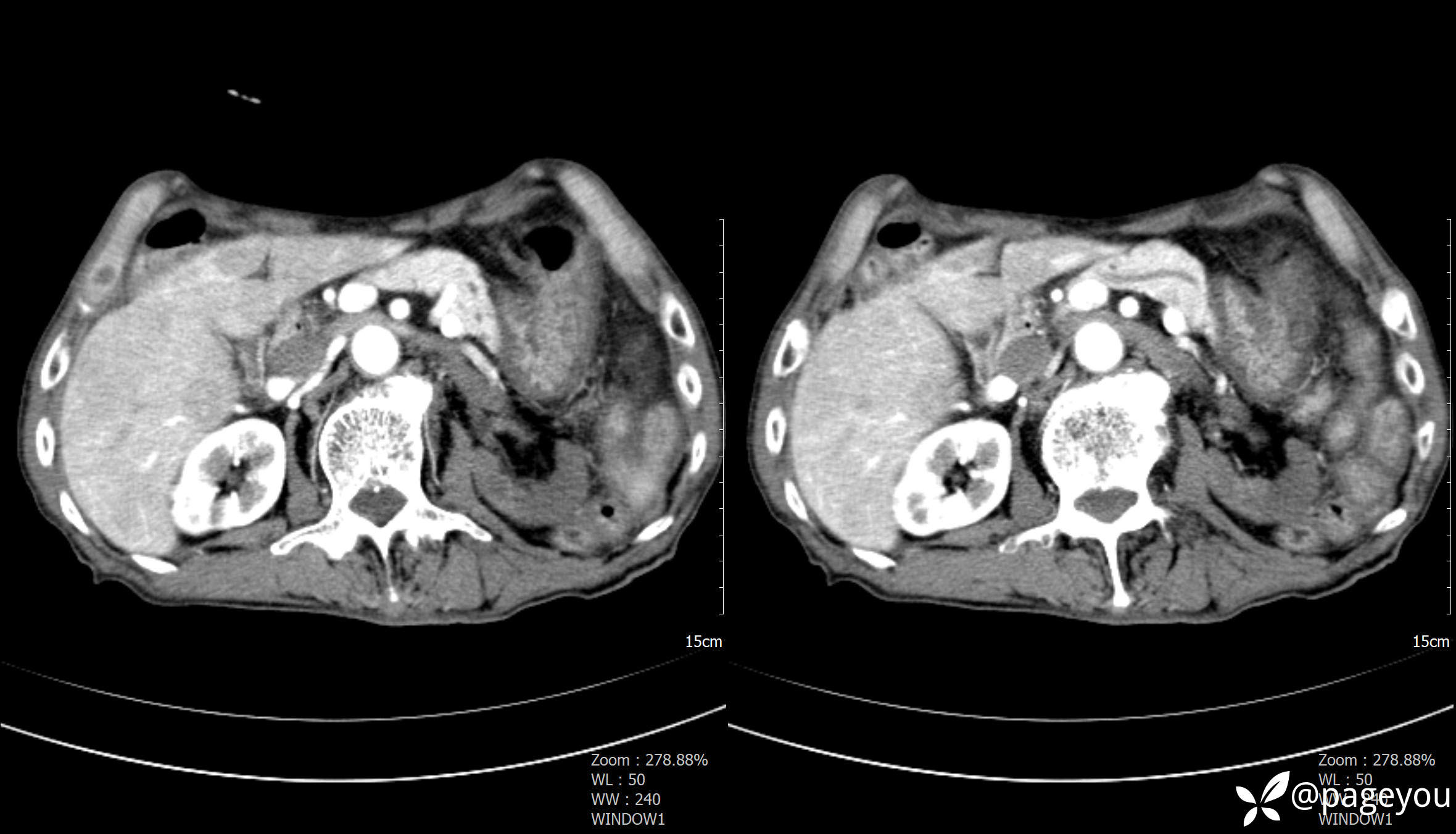
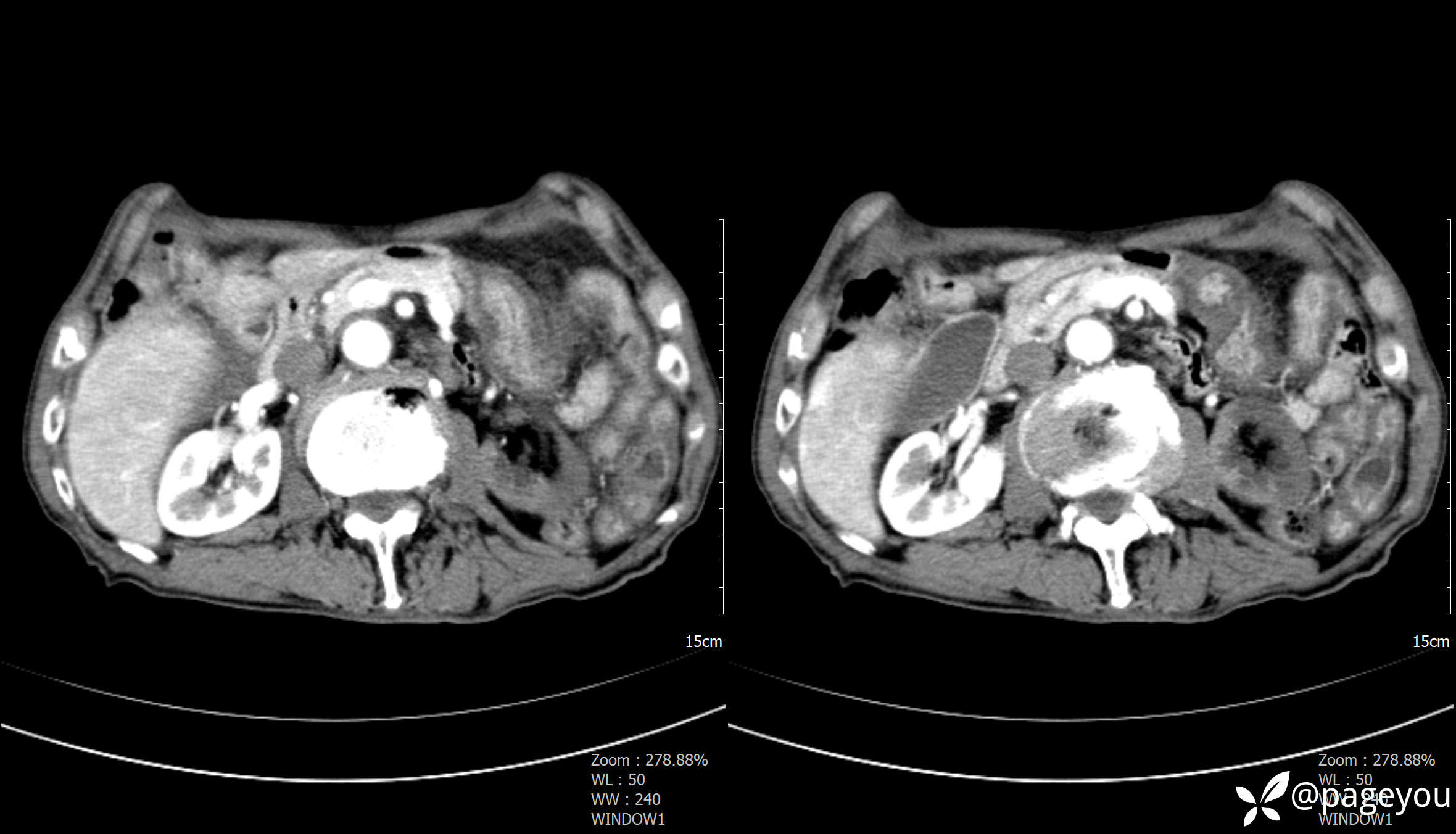
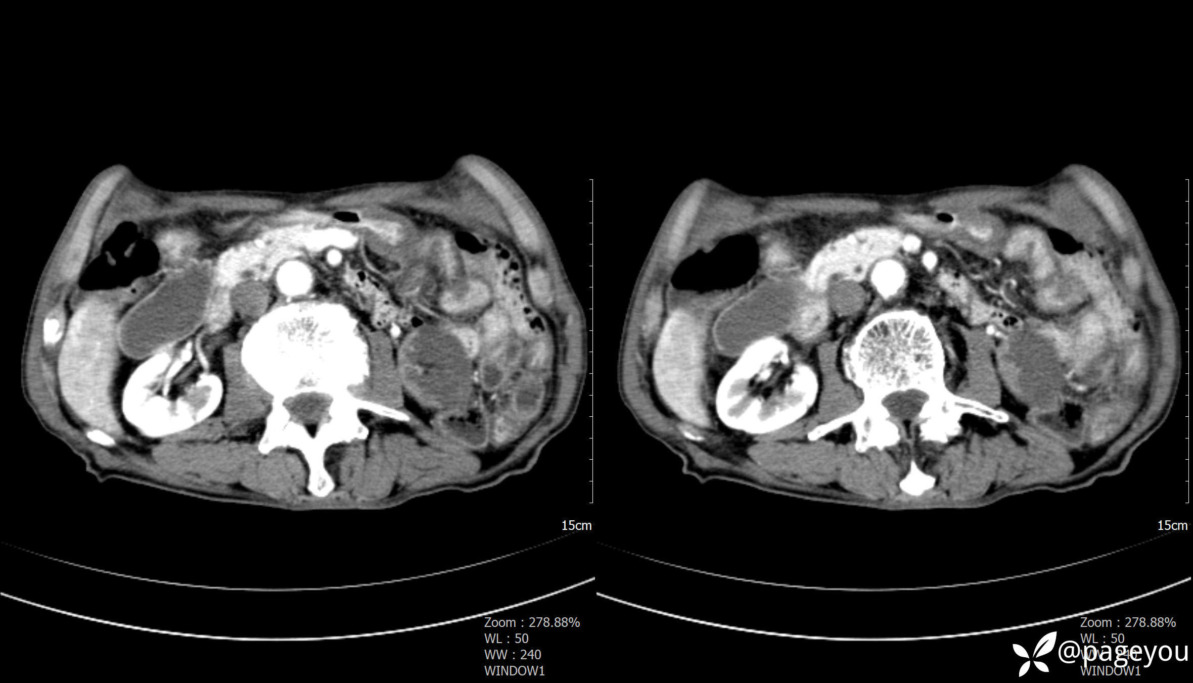
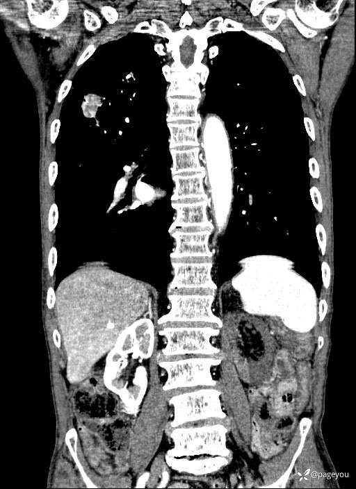
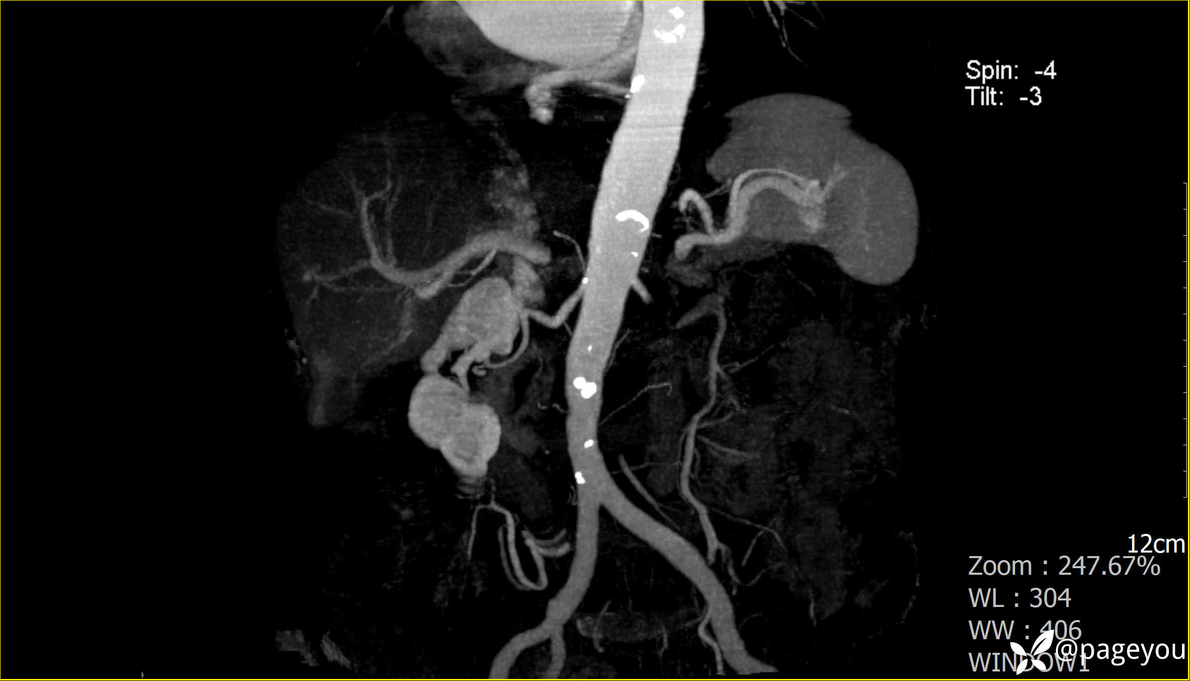
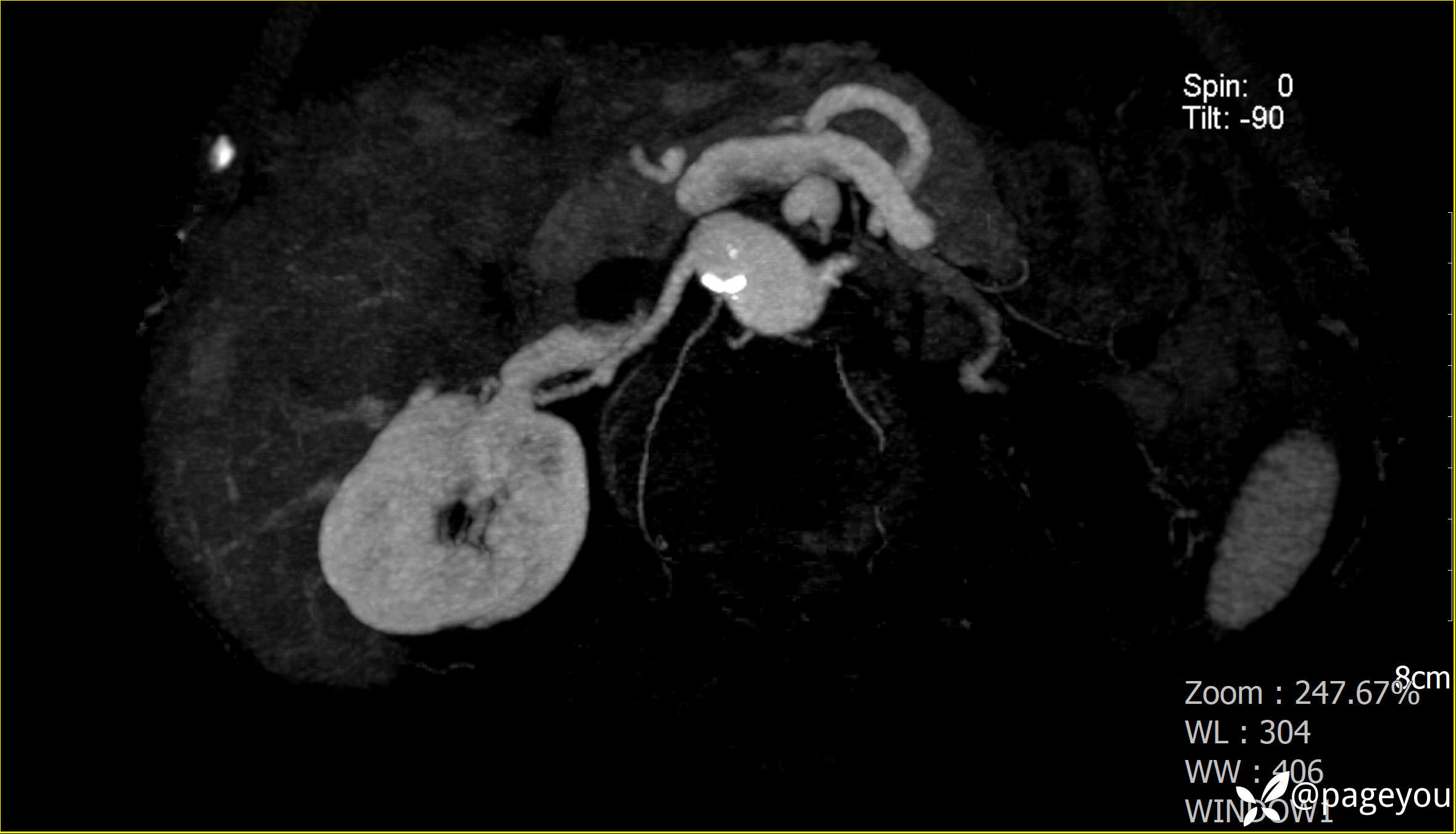
主动脉CTA:








患者男性,82岁。
主诉:发现肺占位性病变10月,伴腹部疼痛1天。
现病史:患者自诉于入院前10月因“间断咳嗽、咳痰、乏力20天”就诊我院,查胸部CT提示右肺上叶后段占位,周围型肺癌可能。对症治疗好转出院,此次入院前1天出现腹部疼痛,以左腹部为甚,伴恶心、呕吐一次。
查心电图:非ST段抬高性心肌梗死、心房颤动。
主动脉CTA:








