女性77岁,肺癌2年余,此次发热、肺炎,可能是什么病原菌感染?
情Ca晚期等 2人推荐患者性别:女
患者年龄:77
主诉: 主因发热伴咳嗽、咳痰2周于2023-12-19 15:30入院。
简要病史:患者于入院前2周受凉后出现发热,体温最高达38.8℃,无寒战,病初伴流涕,伴肌肉酸痛、乏力,干咳为主,之后出现咳痰,为少量黄痰,不易咳出,无痰中带血,无胸痛,无恶心,呕吐,无咽痛,无胸闷、憋气,无腹痛、腹泻,无尿急、尿频、尿痛,2023-12-15门诊查血常规、降钙素、呼吸道六联正常,院外口服“莫西沙星”治疗及阿比多尔,症状无好转,
.既往室上速病史10余年,期间7-8年未反复,近期症状平稳,未口服药物治疗,2008年因胰腺囊肿,当时未明确性质,行脾脏、胆囊、胰腺部分切除术;2021-8发现右肺占位,予穿刺活检,病理示腺癌,诊断右肺腺癌(T4N2M1a IV期)肺内多发转移 纵隔淋巴结转移,给予化疗联合免疫治疗,期间肿瘤增大,给予放射性粒子植入,后肿瘤逐渐缩小,帕博利珠单抗应用2年后停用,肿瘤处于稳定状态;确诊糖尿病病史2年余,目前口服降糖药物治疗,
体格检查:T38.6℃,P116次/分,R20次/分,BP165/95mmHg。神清,呼吸平稳,浅表淋巴结不大,双肺叩清音,双肺可闻及少许干湿性啰音,心率116次/分,律齐,无杂音。腹部平坦,软,无压痛,无反跳痛及肌紧张,肝脾肋下未触及,双下肢无水肿。
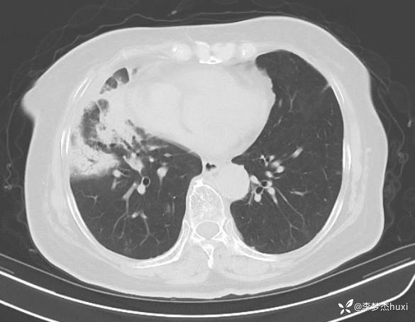
辅助检查:
临床诊断:肺炎
治疗经过:
讨论:病原菌?




























































