奇妙病例杂谈|24岁,唐氏综合征患者,常见的“胀痛吐闭”肠梗阻,罕见的病因!
患者,男,24岁,患有唐氏综合症,主因剧烈腹痛、呕吐和便秘3天入院。
既往儿童时期接受过心脏手术。
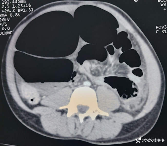
入院查体情况:神情焦虑、乏力,呼吸急促、心动过速(心率151次/分钟),血压70/50 mmHg。触诊时腹部膨大、压痛、有鼓室感,直肠指诊时可见游离疝口和空壶腹。血液检查显示血浆 C 反应蛋白水平增至 106.3 mg/L,急性肾功能不全,肌酐为 23.8 mg/L,碳酸氢盐为 17.6mmol/L。腹部X线检查显示大肠明显扩张,咖啡豆征,气液平。腹部CT 扫描:乙状结肠发生旋转和显着扩张,直径为 12 厘米,顶叶变薄(图1)。

腹部 CT 扫描显示乙状结肠有旋转和明显扩张,直径为 12 厘米,顶叶变薄。
治疗:紧急进行中线剖腹探查,手术探查发现少量腹水,乙状结肠袢巨大扩张伴坏死,小肠包裹乙状结肠底部,形成回肠乙状结肠结节,乙状结肠结节坏死。距回盲部交界处 20 厘米处扭转回肠超过 9 厘米(图2,图3)。手术方式为坏死消化段切除术,右侧双管回肠造口术,左侧哈特曼型结肠造口术。患者术后在重症监护室住院12小时。一个月后,患者接受手术以重建小肠和结肠的连续性。

乙状结肠底部周围回肠结节(箭头)的术中视图,扭曲节段坏死

术中视图显示肠扭转后消化道坏死。
该病例的“胀痛吐闭”的原因很明显是肠梗阻,那肠梗阻的原因是什么呢?根据上述资料,各位同仁有什么推断呢?欢迎大家发言!
-------------
图片、病例来源于国外医学网站
















































