dxy logo
首页丁香园病例库全部版块
搜索
登录

病例患者持续昏迷。肺部CT+颅脑MRI,切莫错过,等你精彩分析---(有结果)

影像核医学版版主 · 发布于 2023-11-15 · IP 湖北湖北
3331 浏览
推荐、达人点赞 2 项荣誉
这个帖子发布于 2 年零 10 天前,其中的信息可能已发生改变或有所发展。

患者性别:女

患者年龄:57岁

简要病史:昏迷入院

体格检查:---

辅助检查:CT MRI

临床诊断:昏迷

治疗经过:---

讨论:病变性质?

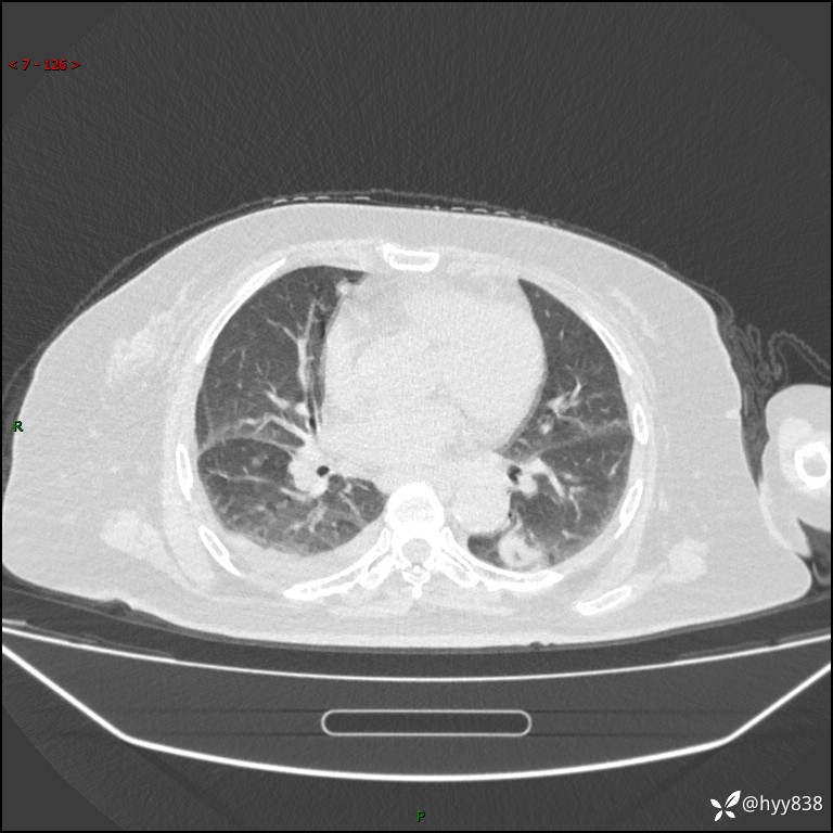
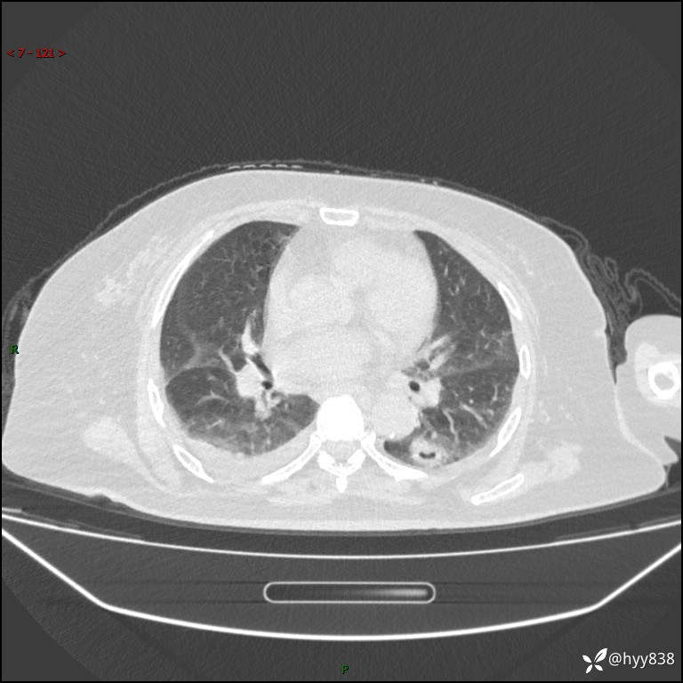
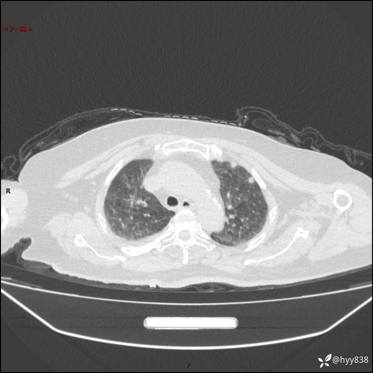
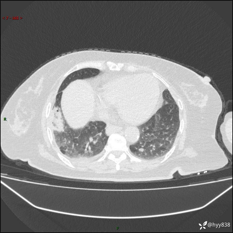
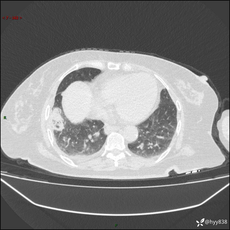
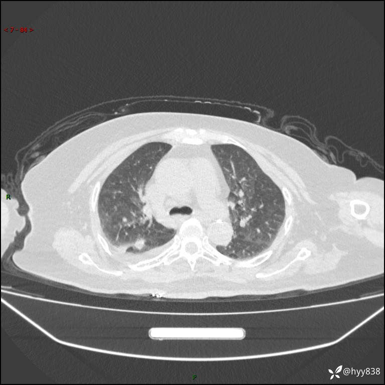
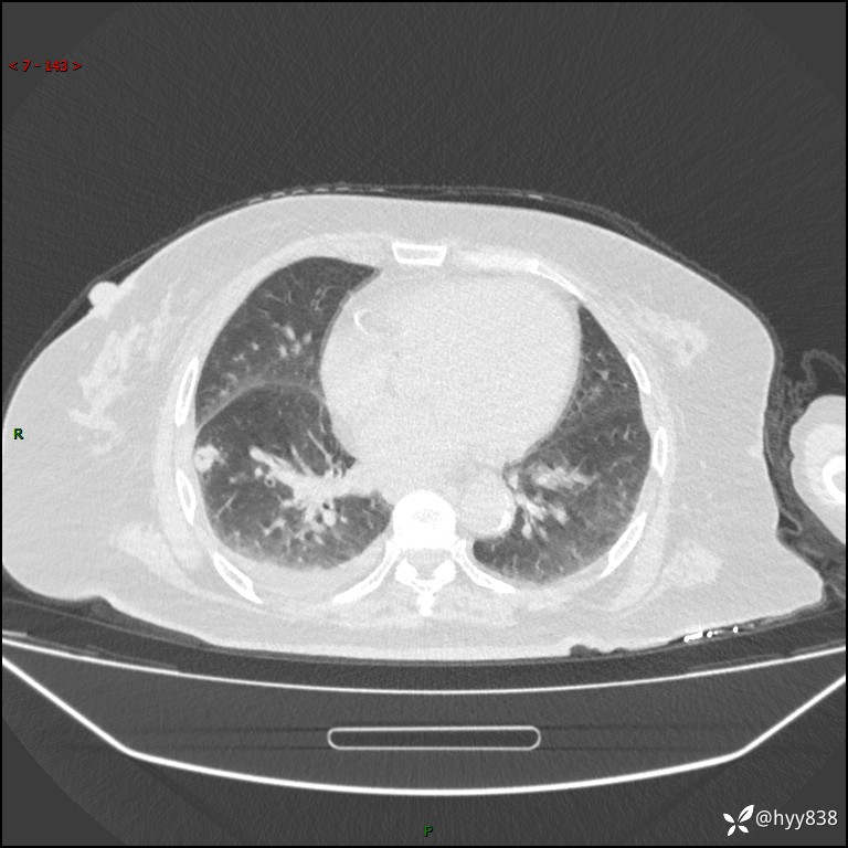
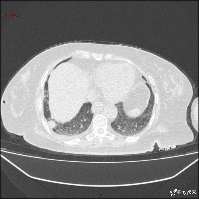
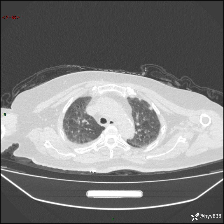
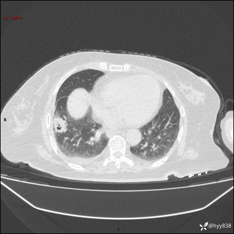
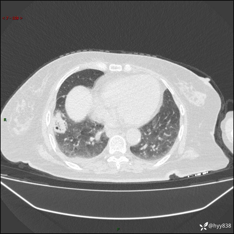
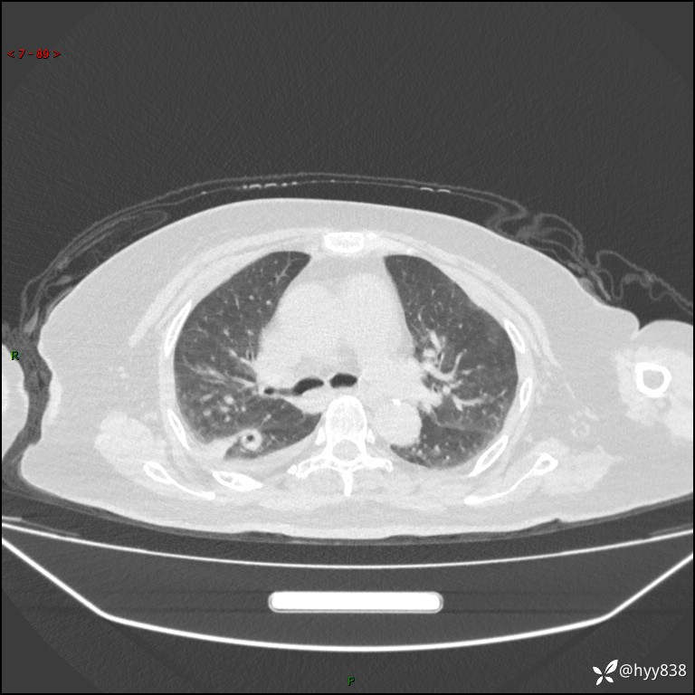
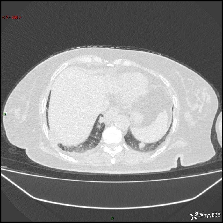
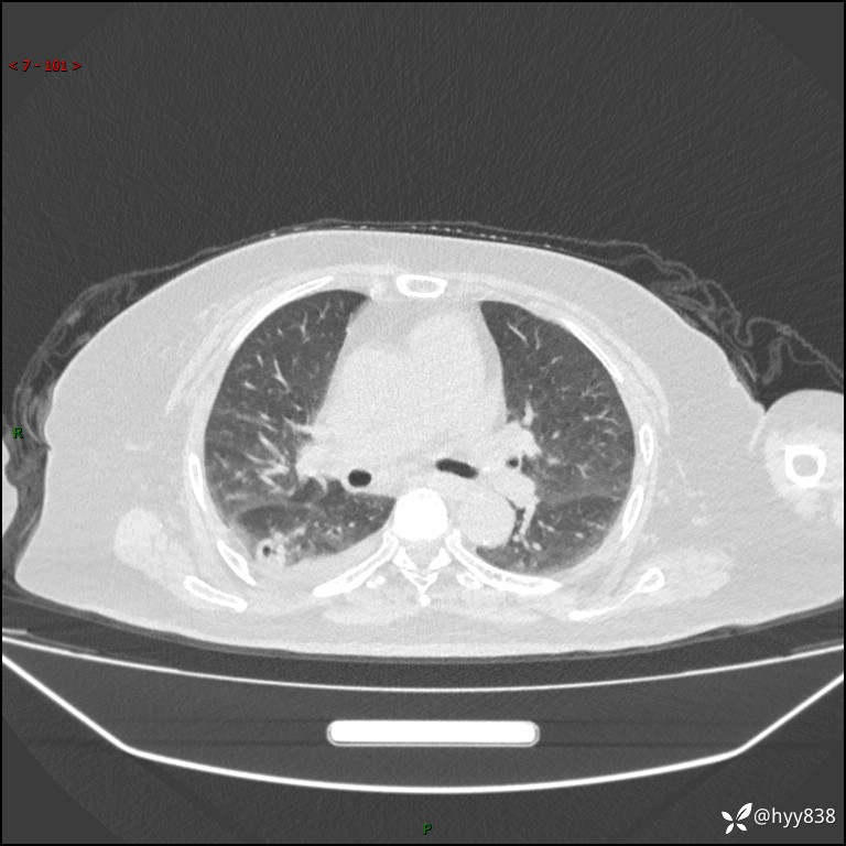
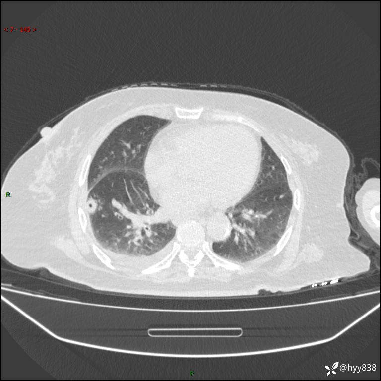
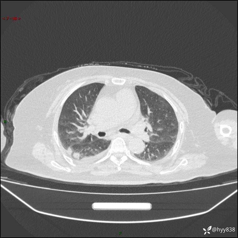
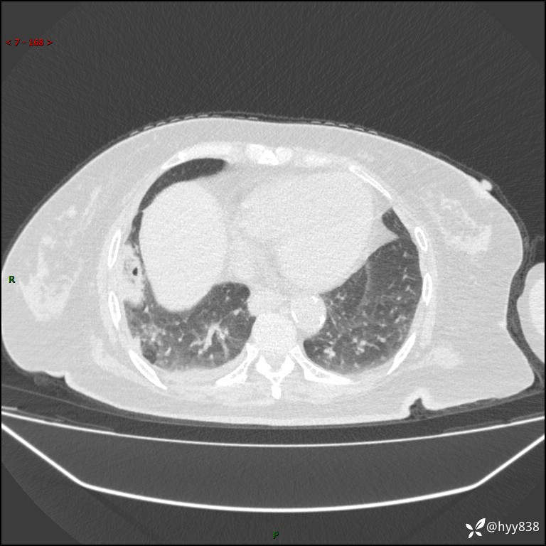
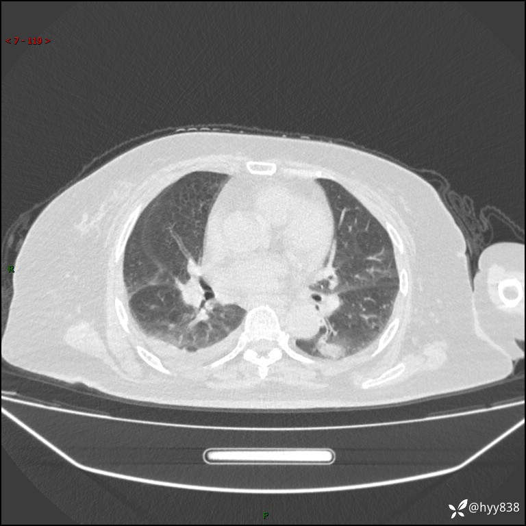
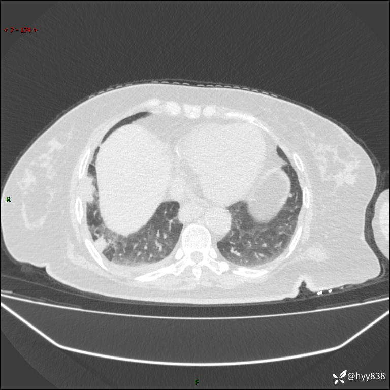
胸部 CT平扫、

img
img
img
img
img
img
img
img
img
img
img
img
img
img
img
img
img
img
img
img
img

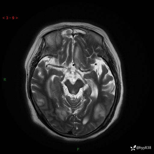
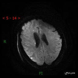
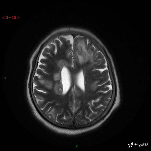
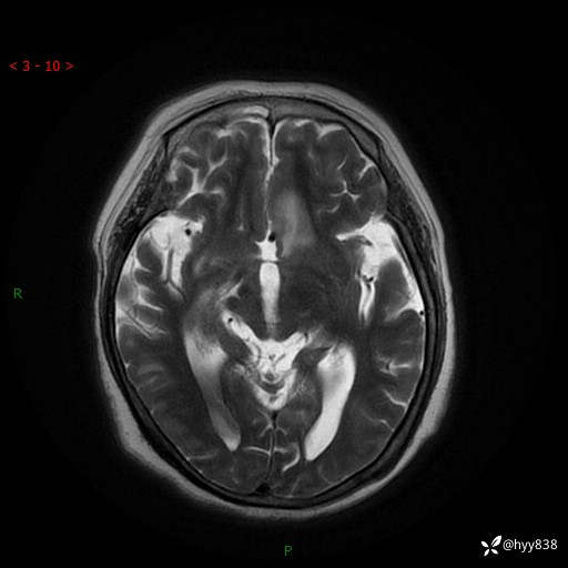
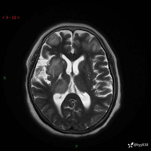
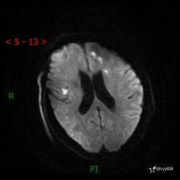
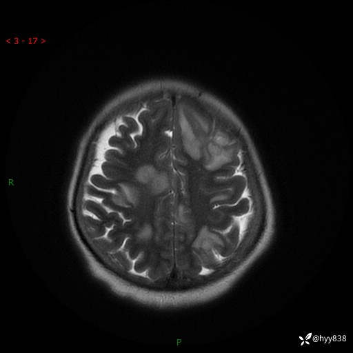
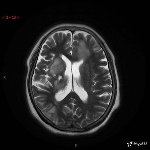
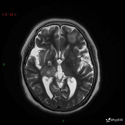
颅脑MRI(T2WI+DWI)

img
img
img
img
img
img
img
img
img
img
img
该帖还没有疾病标签去添加
41 12 16
同行评议(0)
已评议
不开通精选
开通精选
精选已授权,待上线
评议结果暂未公布
参与评议
去邀请
NaN
病例完整NaN
临床实用NaN
诊疗科学NaN
学术价值NaN

全部讨论(0)

默认最新
avatar
41
分享帖子
share-weibo分享到微博
share-weibo分享到微信
认证
返回顶部