少见病原体感染分享,抗感染后一周复查,肺部CT却明显进展,烤烤你--结果公布~
胡志勇HZY 等 2 位达人已点赞患者性别:男
患者年龄:67岁
主诉:咳嗽半月余,胸闷5天
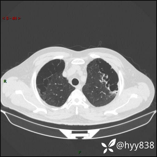
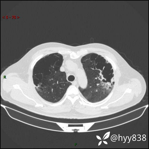
简要病史:患者半月余前无明显诱因出现咳嗽、咳黄色粘痰,未予以诊治,5天前体力活动后出现胸闷,无明显盗汗,无乏力、无发热畏寒、胸痛喘息、咯血、黑便等症状,2天前于我院门诊就诊,完善胸部CT提示双肺气肿、多发肺大疱;双肺下叶小叶间隔增厚,间质性炎症可能;右肺下叶小结节、钙化灶。予以抗感染(莫西沙星)、化痰等对症治疗后症状无明显好转,今为求进一步诊治,门诊以"间质性肺炎"收入我科。 自起病以来,患者精神、饮食可,睡眠可,大小便如常,体力较前下降,体重较前无明显变化。
血常规:

体格检查:(-)
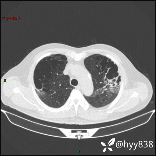
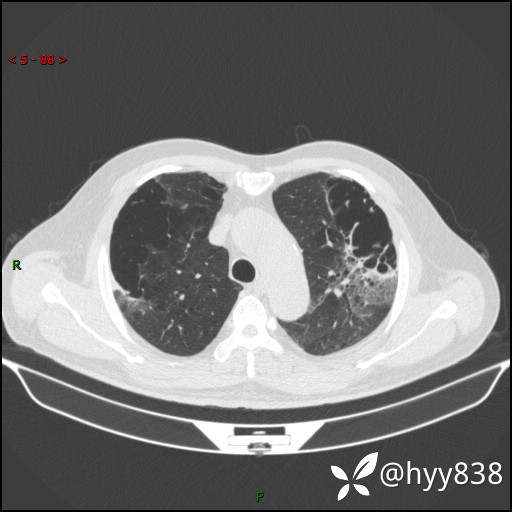
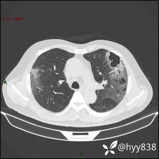
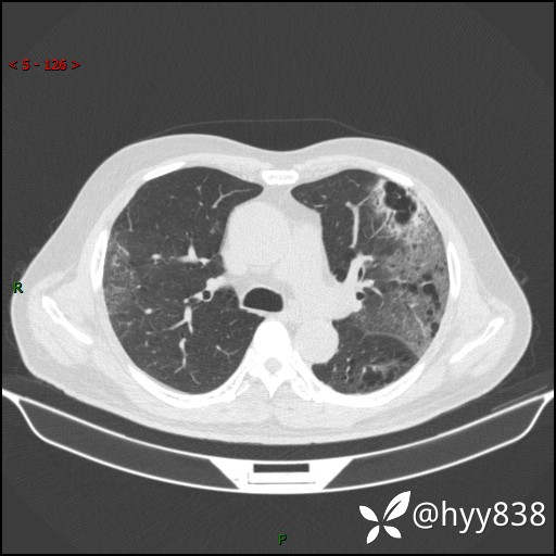
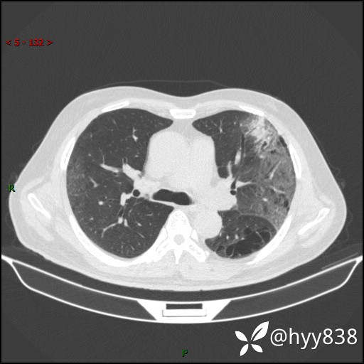
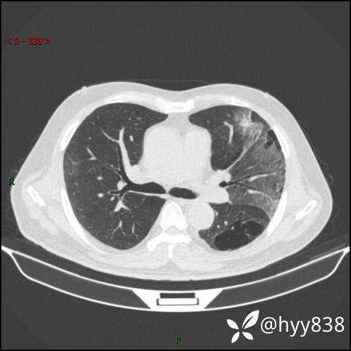
辅助检查:CT
临床诊断:间质性肺炎
治疗经过:---
讨论:病变性质?
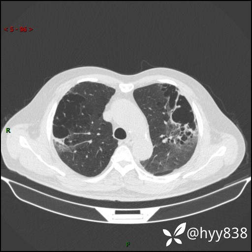
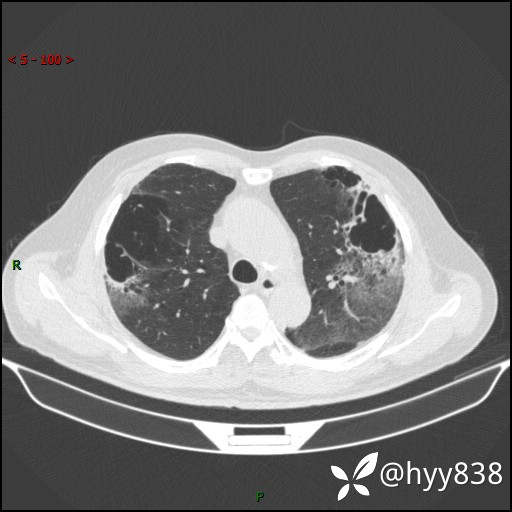
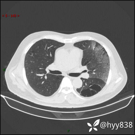
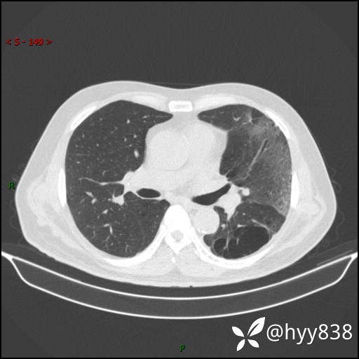
一周前胸部CT





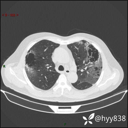
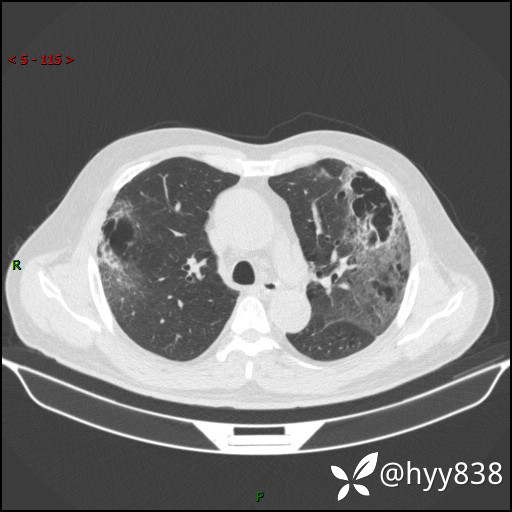
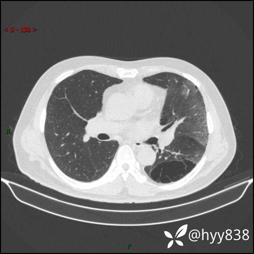
一周后胸部CT































































