病例分享 | 这样的蜂窝肺,你考虑什么疾病?(已公布答案)
患者性别:男
患者年龄:47岁
主诉:咳嗽,咳少许白色粘痰,活动后气紧
简要病史:1月余前无明显诱因出现无明显诱因出现咳嗽,咳少许白色粘痰,伴活动后气紧,无胸闷、胸痛,无发热、盗汗,无咯血、乏力、消瘦,无鼻塞、流涕,偶有胃部不适、胃胀。至当地医院住院,查胸部CT提示“双肺感染,肺气肿,左肺上叶肺大泡,双肺多个结节,双侧胸膜增厚,肝囊肿”,CEA 24.5ng/ml,类风湿因子、抗CCP抗体、自身抗体阴性,诊断“1.间质性肺病,2.肺部感染,3.肺大疱,4.胃窦溃疡,5.慢性非萎缩性胃炎,6.内痔”,给予头孢他啶联合莫西沙星抗感染,平喘,化痰等对症治疗后,患者症状无明显好转。为求进一步诊治,遂至我院就诊,门诊拟“间质性肺病,肺部感染”收入住院。
既往史:既往2013年因车祸行颅脑外伤手术。从事装修工作。吸烟10余年,均10—20支/日;饮酒10余年,均2两白酒/日;
辅助检查:
区人民医院 2023-09-19 胸部CT平扫:双肺感染,肺气肿,左肺上叶肺大泡,双肺多个结节,双侧胸膜增厚,肝囊肿(未见片)。CEA 24.5ng/ml。类风湿因子、抗CCP抗体、自身抗体阴性。
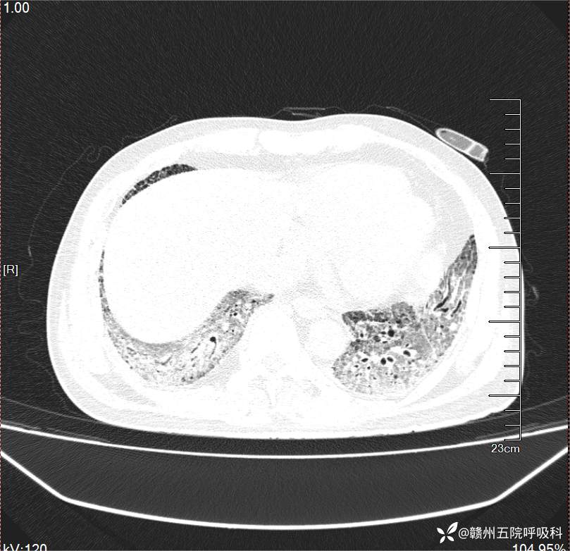
入院后:[常规心电图检查(12导联)]:窦性心律频发房性早搏(部分成对)ST段下移 ;[CT][胸部]:平扫:双肺见多发片状稍高密度影及胸膜下蜂窝影,双肺胸膜下见囊泡透亮影。气管、支气管通畅,未见狭窄或阻塞征,纵隔及双肺门见多发淋巴结显示伴少许钙化影。心影不大,主动脉形态未见异常。双侧胸膜无增厚,胸腔未见积液。增强:双肺病灶无明显强化,所示血管显影清晰,未见充盈缺损。附见肝内少许囊肿。

肺功能:重度限制性肺通气功能障碍,每分最大通气量中度下降,支气管舒张试验阴性,气道阻力正常。
血常规: 白细胞计数:10.40*10^9/L↑,中性粒细胞绝对值:6.54*10^9/L↑,单核细胞绝对值:0.75*10^9/L↑,红细胞计数:4.27*10^12/L↓;血气分析:氧分压:73mmHg↓,钾离子浓度:3.2mmol/L↓,钙离子浓度:0.78mmol/L↓,总血红蛋白浓度:8.6g/dL↓,标准碳酸氢根浓度:27.2mmol/L↑,细胞外液剩余碱:3.1mmol/L↑;肝肾功能未见异常。C反应蛋白:54.9mg/L↑;乙肝表面抗体:阳性!!;
肺癌标记物:癌胚抗原|CEA:23.95ng/mL↑,细胞角蛋白19片段|CYFRA21-1:5.64ng/mL↑,神经元烯醇化酶|NSE:14.46ng/mL;补体C4|:0.41g/L↑,补体C3|:1.66g/L↑;抗核抗体|:核颗粒型(1:80)+纺锤体纤维型(1:80),抗中性粒细胞核周抗体|:阴性(-),抗中性粒细胞胞质抗体|:阴性(-);自身抗体13项为阴性。肌炎抗体谱26项:抗OJ抗体谱(+)。
请教各位专家同仁,可能是什么疾病?
















































