女性55岁,支扩并感染,治疗后症状及感染指标好转,影像加重什么原因?
情Ca晚期 推荐患者性别:女
患者年龄:55
主诉:慢性咳喘40年,加重7天
简要病史:患者于入院前40年无明显诱因出现咳嗽、咳痰,为黄色脓粘痰,量不多,伴发热,体温最高达38.7℃,无喘息,无胸痛,无夜间阵发性呼吸困难,无胸闷、憋气,
体格检查: T36.8℃,P98次/分,R20次/分,BP87/55mmHg。神清,呼吸平稳,浅表淋巴结不大,双肺叩清音,双肺未闻及干湿性啰音,心率98次/分,律齐,无杂音。腹部平坦,软,全腹无压痛,无反跳痛及肌紧张,肝脾肋下未触及,双下肢无水肿。
辅助检查:D-二聚体:0.56mg/L,提示血液高凝状态,血气分析;pO2:61mmHg,肝功能 白蛋白:27g/L,提示低蛋白血症。尿常规:白细胞:958个/μL个/微升,不排除标本污染,予复查; 新型冠状病毒(ORF1ab)基因(荧光PCR法):阴性(-),正常; 新型冠状病毒N基因(荧光PCR法):阴性(-),
临床诊断: 支气管扩张伴感染。
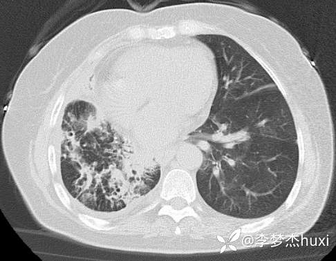
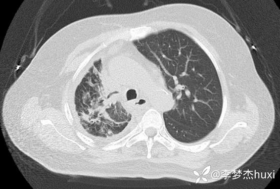
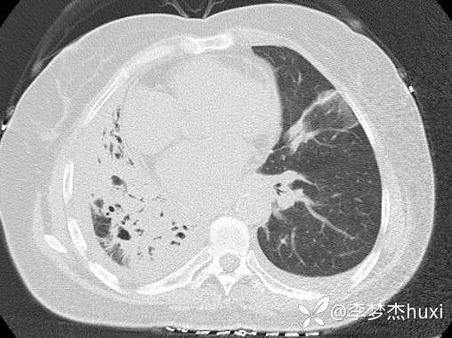
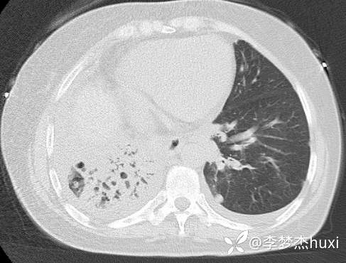
治疗经过:哌拉西林他唑巴坦后舒普深抗感染治疗症状消失,感染指标正常,复查胸部CT加重,什么原因?
讨论:
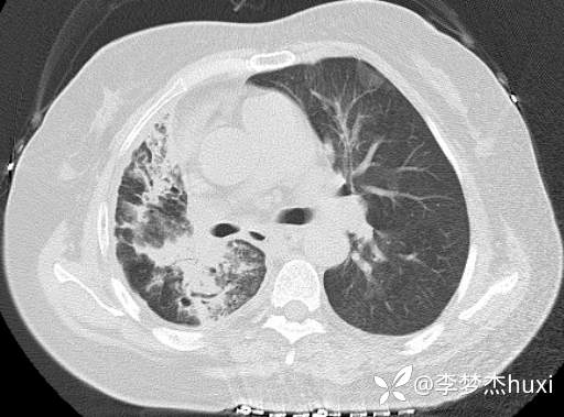
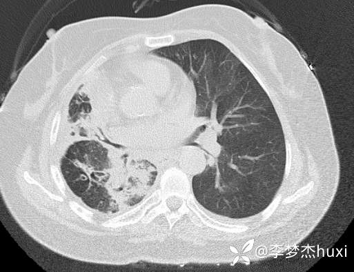
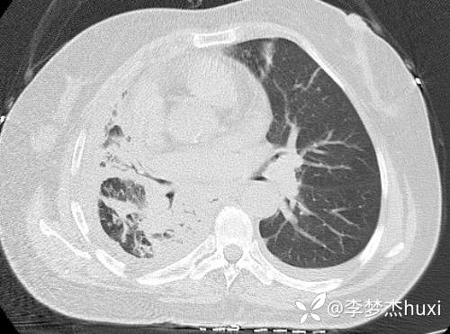
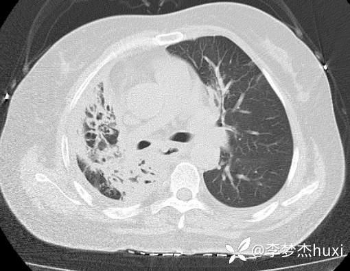
8.17胸部CT:






8.22治疗后的胸部CT:






















































