74岁女患,反复咳嗽2月,右肺空洞性病变,炎症OR肿瘤(有病理)
胡志勇HZY 等 3 位达人已点赞患者性别:女
患者年龄:74岁
主诉:反复咳嗽、咳痰2月。
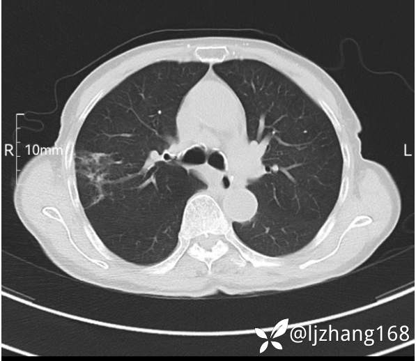
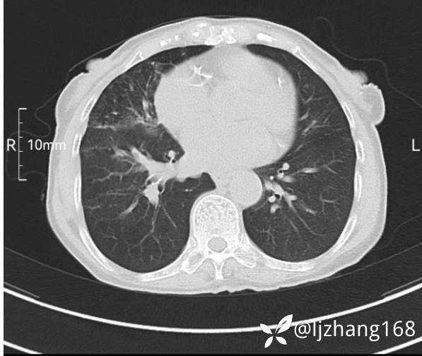
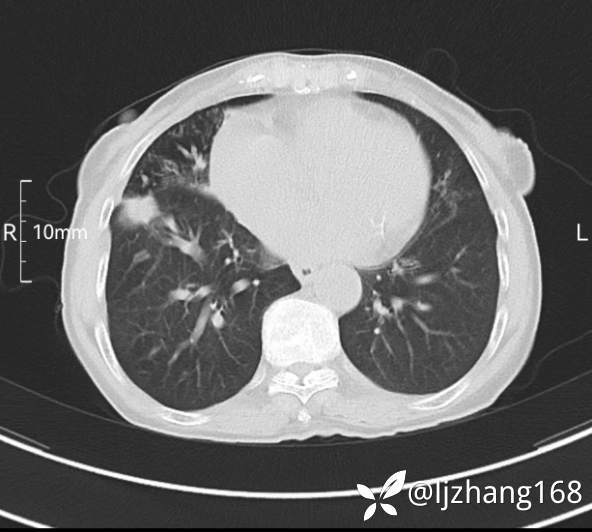
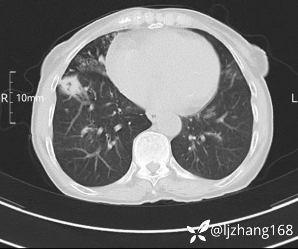
简要病史:2月前开始受凉后出现咳嗽,咳少许白色粘液痰,痰不易咳出,无痰中带血及咯血,无畏寒发热,外院胸部CT提示右下肺空洞病变,脓肿可能性大,常规抗感染治疗效果不佳。既往否认“糖尿病”等病史,有高血压基础病史,无吸烟史。
体格检查:生命体征平稳,双肺呼吸音粗,未闻及明显干湿啰音。余无特殊。
辅助检查:胸部CT右肺下叶前基底段结节并空洞
临床诊断:右肺空洞:脓肿?
治疗经过:
讨论:诊断、鉴别及治疗等





























































