肺部CT平扫+增强提示肿瘤?
患者性别:男
患者年龄:76
主诉:发现肺部阴影2年余,乏力1周
简要病史:发现右肺上叶密度增高影2年余
体格检查:生命体征平稳,消瘦,心肺听诊未见明显异常,腹平软,无压痛、反跳痛
辅助检查:2023年8月查血常规示:血红蛋白106g/l,血小板89×10^9;癌胚抗原:6.61(正常参考值0-5ng/ml);空腹血糖9.27mmol/l,糖化血红蛋白9.00%;余肝肾功能、电解质、心肌酶谱、传染病因子(乙肝、丙肝、梅毒、艾滋)、肺癌4项(胃泌素释放前体、细胞角蛋白19片段、鳞状上皮细胞癌抗原、神经元特异性烯醇化酶)未见明显异常。




2021年5月首次肺部CT平扫,影像报告提示1.两肺慢性支气管炎、肺气肿、多发肺大疱;2.右肺中下叶多发感染性病变、结节、右肺门增大,建议治疗后复查或进一步检查排查右肺门区肿瘤性病变;3.左肺上段舌叶散在炎性病变




2021年8月因2型糖尿病入院复查肺部CT平扫,影像报告提示:胸部CT复查:1.右肺中下叶感染范围较前相仿、密度增高;2.右肺门区病变较前有所增大;3.右肺外基底段结节较前吸收。
临床诊断:肺部结节影待查
治疗经过:2023-8月入院后查肺部CT平扫










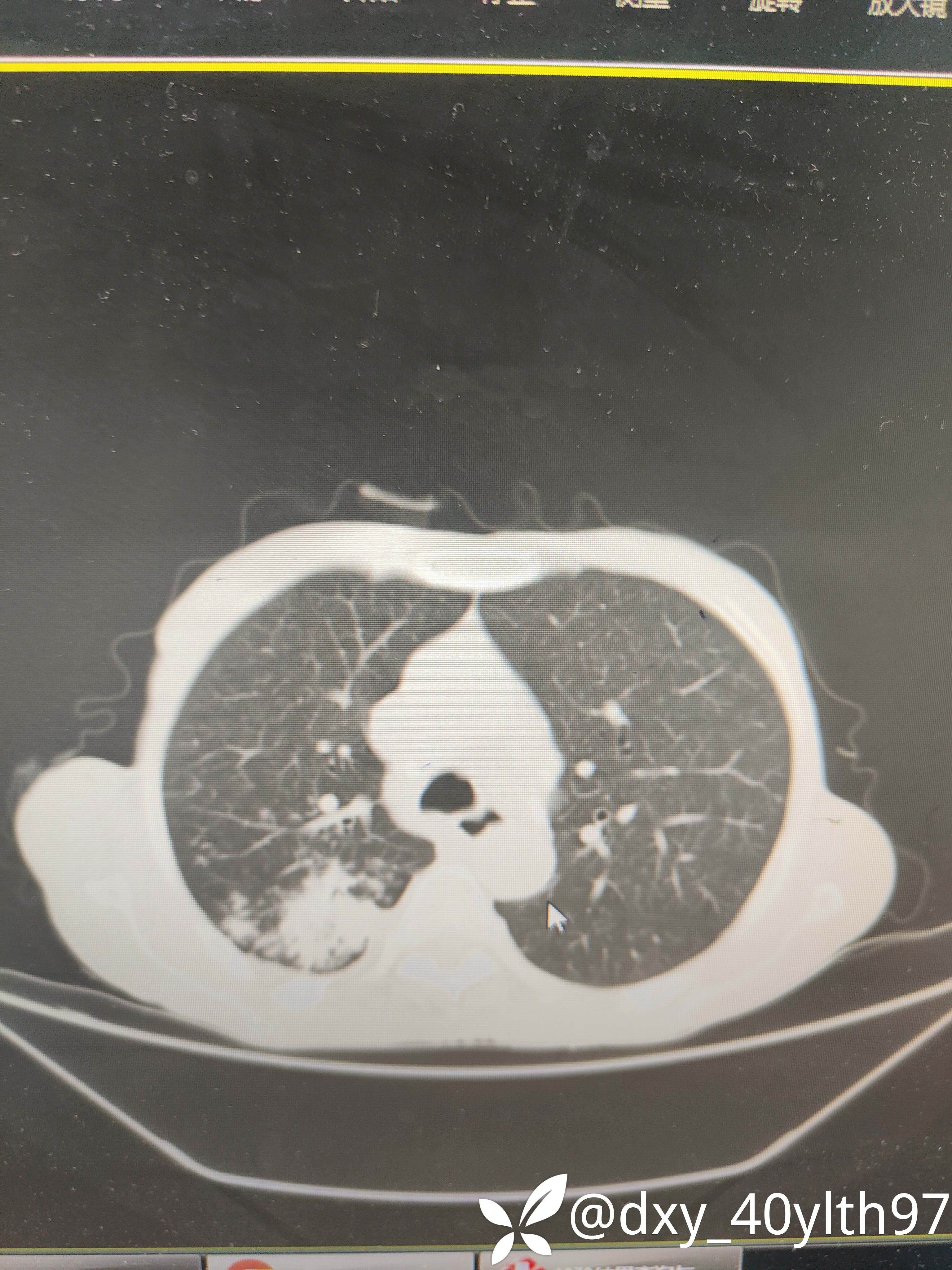
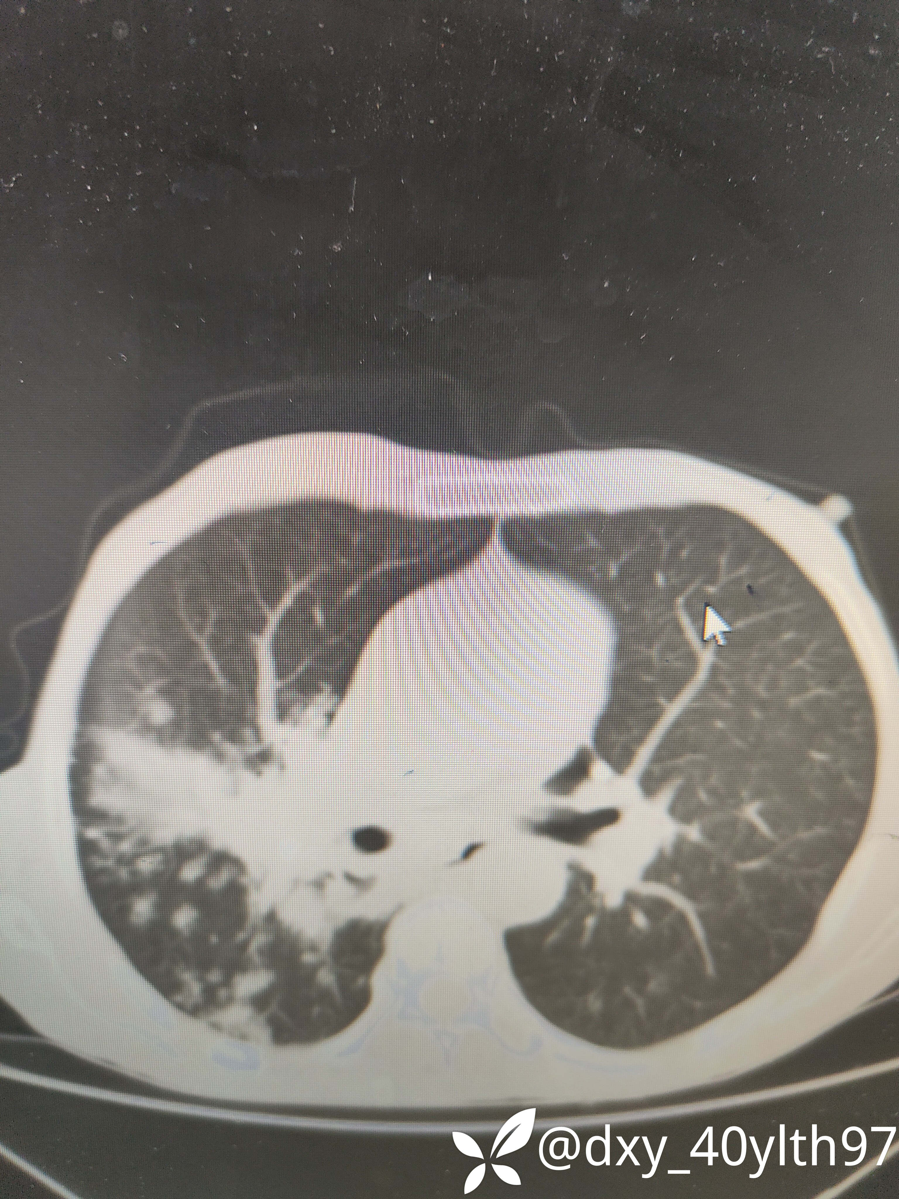
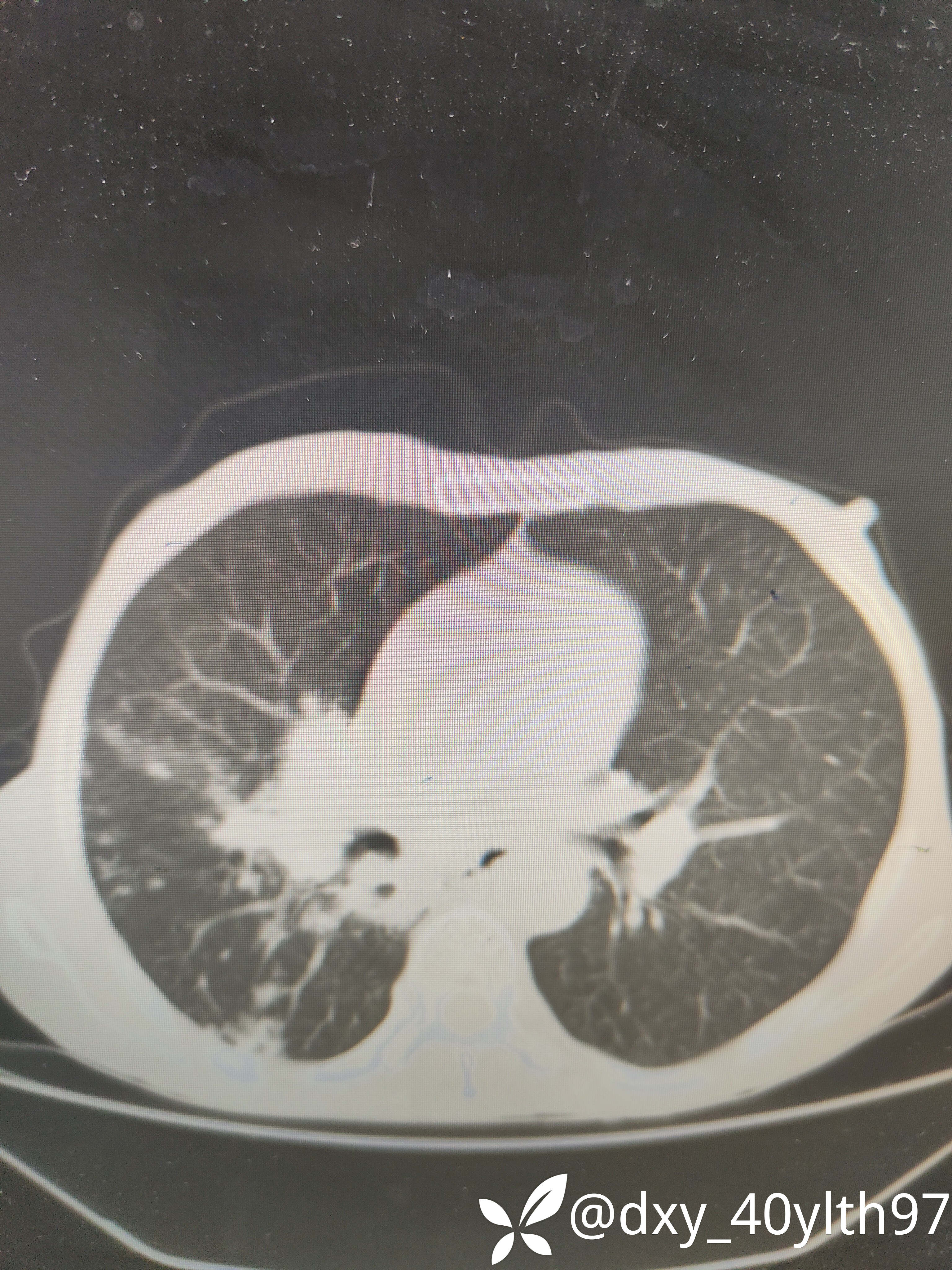
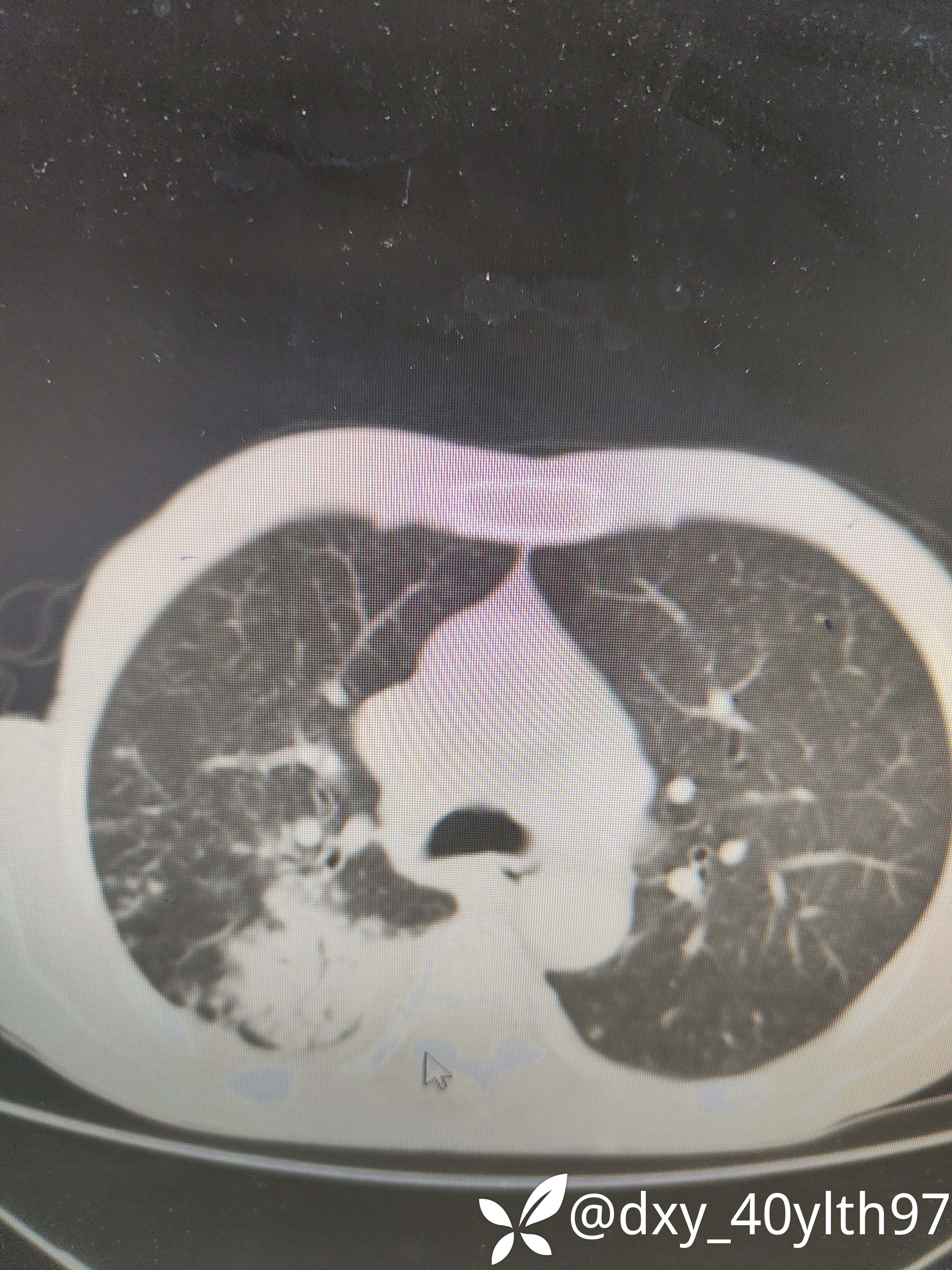
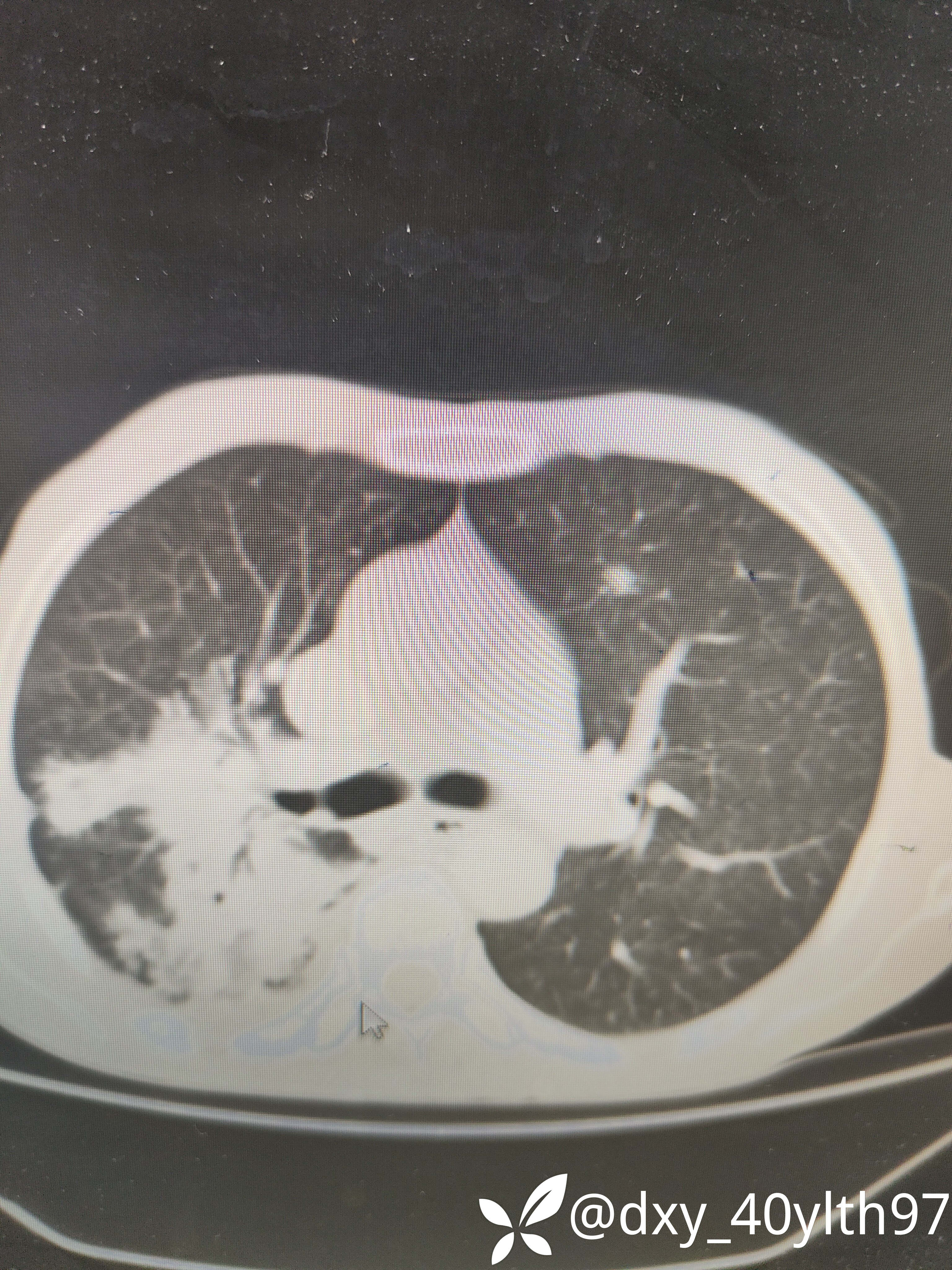
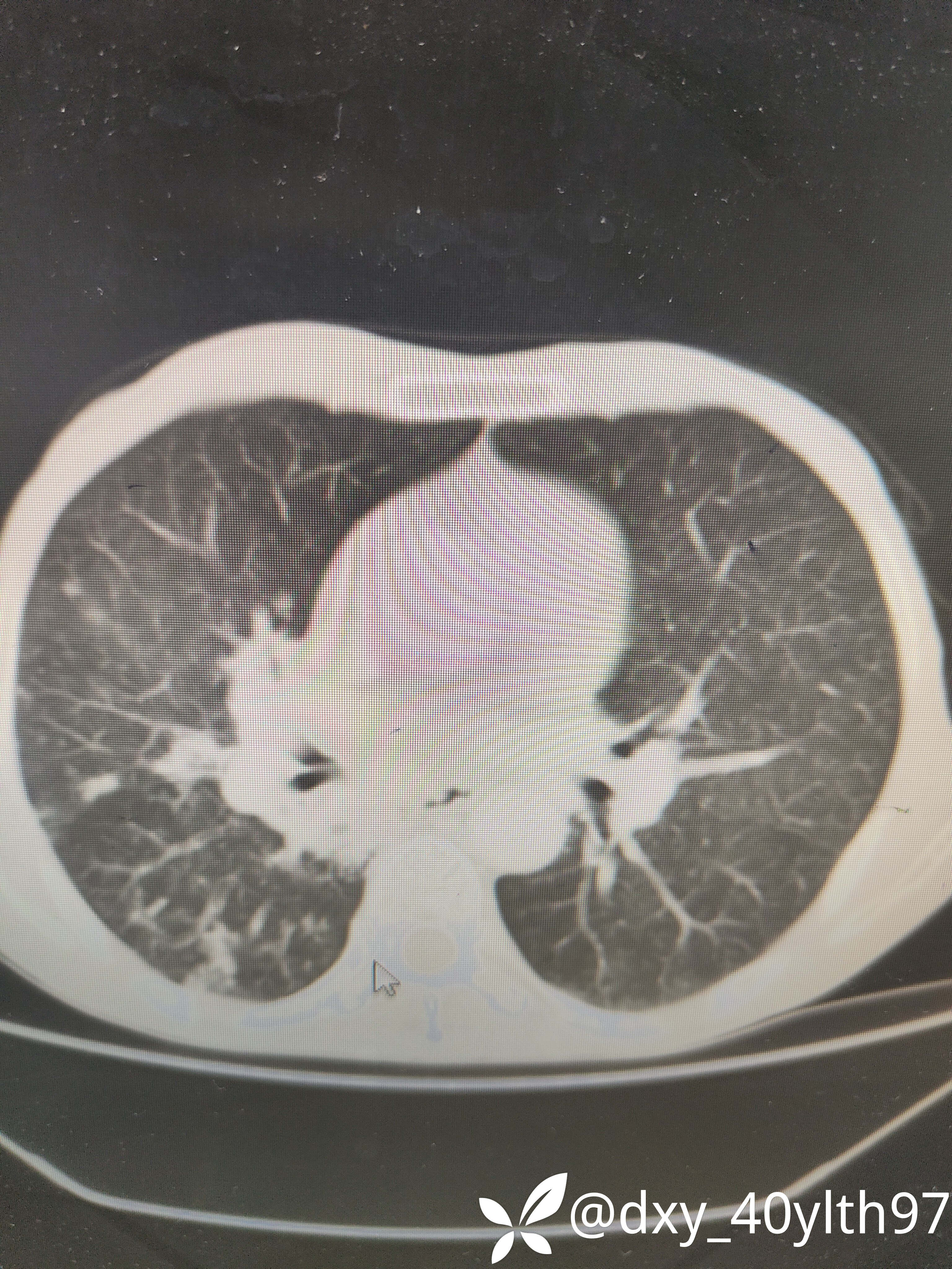
2023年8月肺部CT平扫影像结果提示:1.右肺上叶密度增高影较前显著增大,建议进一步检查;2.两肺多发斑片结节灶较前增多,部分增大。






肺部增强CT影像学提示:右肺内大片不规则影轻度强化,肿瘤可能。
行支气管镜检查提示双侧支气管可见分泌物,未见明显新生物。
肺穿刺活检病检提示:(右肺活检组织)慢性肉芽肿性伴坏死
讨论:肺部CT表现考虑什么,下一步怎么治疗















































