8月特别精彩病例|发现颈部肿物2月余,CT、MR影像资料齐全期待你解密|病理已公布
呱呱叫了 等 3 位达人已点赞患者性别:女
患者年龄:38岁
主诉:发现颈部肿物2月余
现病史:患者2月前触及颈部包块,当时无声音嘶哑、无咳嗽咳痰、无胸闷气急等不适,当时未予治疗,现患者为行进一步诊治门诊拟“颈部肿物”收住入院
体格检查:(-)
实验室检查:(-)
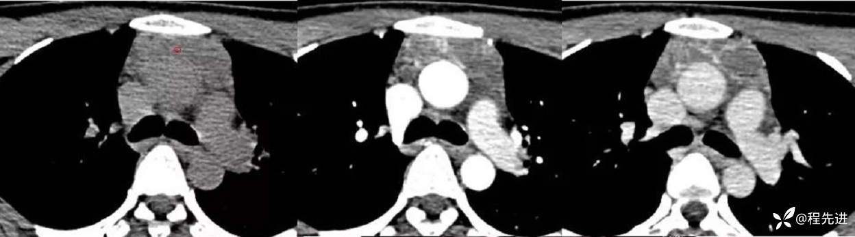
CT平扫+增强

平扫CT值:65HU/动脉期CT值:75HU/静脉期CT值:82U
冠状位、矢状位重建

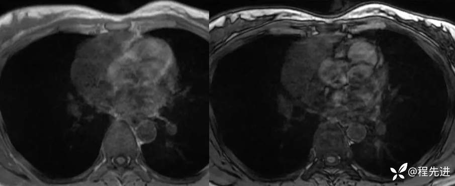
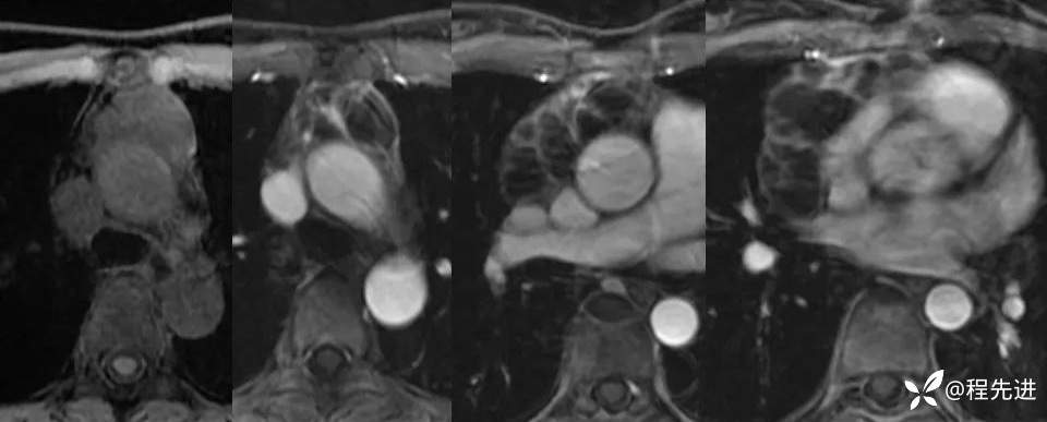
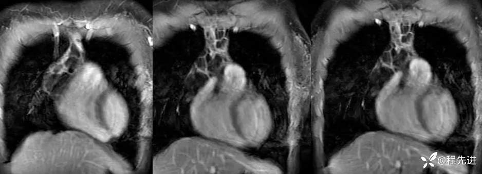
MR
T2抑脂

T2抑脂

DWI

同反相位

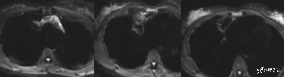
增强

增强
















































