8月特别精彩病例|右小腿酸痛半年,DR、CT、MR影像资料齐全,期待你解密|病理已公布
呱呱叫了 等 2 位达人已点赞患者性别:男
患者年龄:19岁
简要病史:右小腿酸痛半年余
实验室检查:(-)
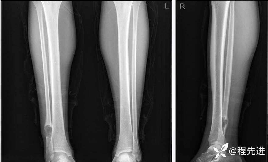
DR

CT平扫

CT骨窗

CT平扫、增强动脉期、静脉期

平扫67HU、动脉期81HU、静脉期93HU



MR
T2


T1

T1+C



呱呱叫了 等 2 位达人已点赞患者性别:男
患者年龄:19岁
简要病史:右小腿酸痛半年余
实验室检查:(-)
DR

CT平扫

CT骨窗

CT平扫、增强动脉期、静脉期

平扫67HU、动脉期81HU、静脉期93HU



MR
T2


T1

T1+C



