膝关节病变,DR、CT、MRI齐全,请高诊!
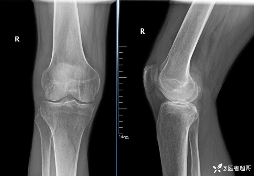
华夏览雄 等 2 位达人已点赞男性,55岁,右膝关节疼痛伴活动困难2年余
两年前外院行右膝包块切除术,术后病理为“肉芽肿”,具体不详,患者术后经常右膝关节积液,右膝活动困难,右膝疼痛明显
实验室检查:白细胞计数:9.0×10^9/L;葡萄糖(空腹):6.93mmol/L↑






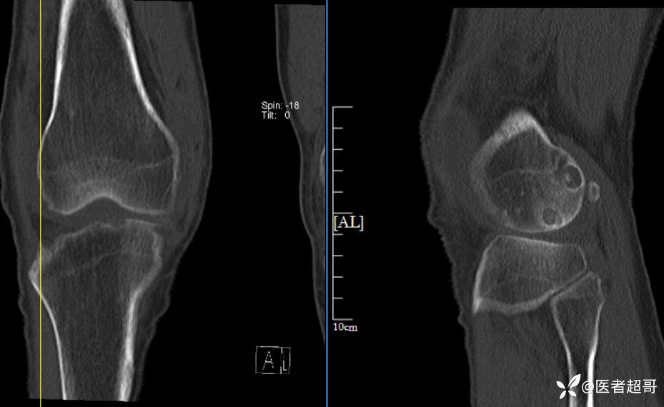
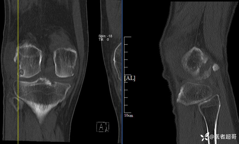
华夏览雄 等 2 位达人已点赞男性,55岁,右膝关节疼痛伴活动困难2年余
两年前外院行右膝包块切除术,术后病理为“肉芽肿”,具体不详,患者术后经常右膝关节积液,右膝活动困难,右膝疼痛明显
实验室检查:白细胞计数:9.0×10^9/L;葡萄糖(空腹):6.93mmol/L↑






