4月特别精彩病例|反复咳嗽伴痰中带血1年余,加重2周【病理结果已公布】
患者性别:女
患者年龄:66岁
主诉:反复咳嗽伴痰中带血1年余,加重2周
简要病史:1年来患者反复出现咳嗽伴痰中带血,性质基本类似,2周前患者无明显诱因下痰中带血症状加重,表现为痰中带血块,量少,无咯鲜血,无发热
CA199 43,CA242 26,WBC 37,CRP 5,ESR2,ANCA(),抗磷脂抗体beta2-lgA(+),结核/隐球菌涂片 (-)
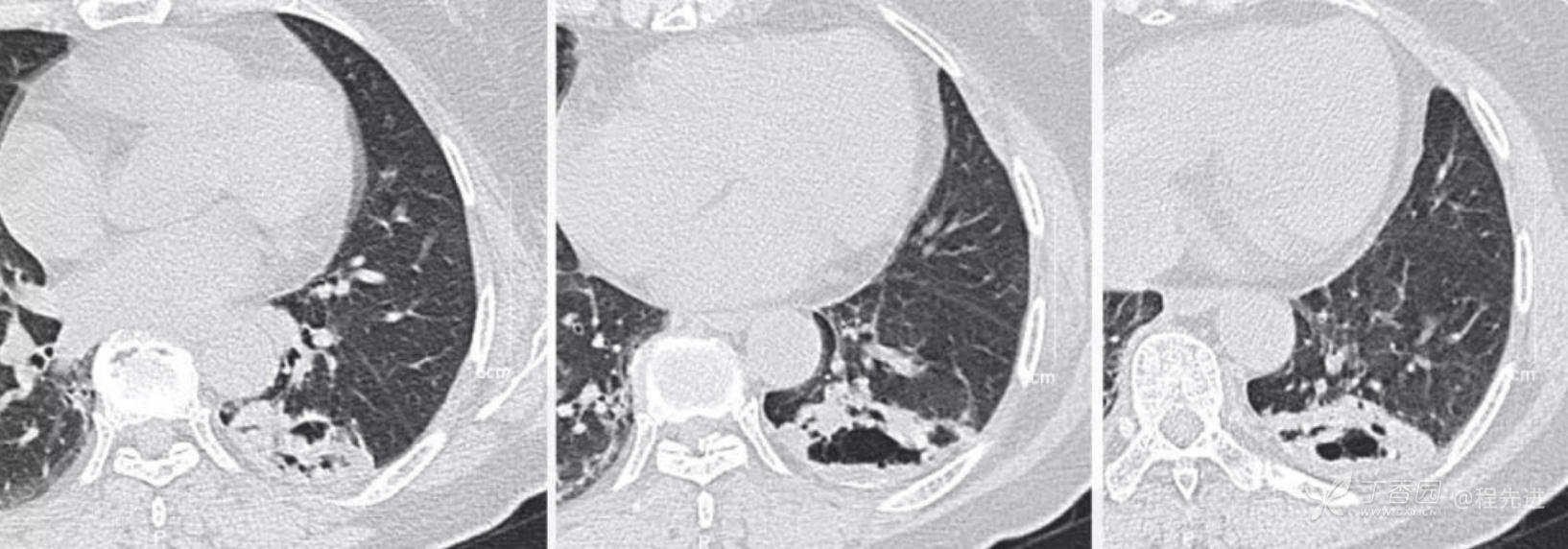
肺窗


冠状位重建

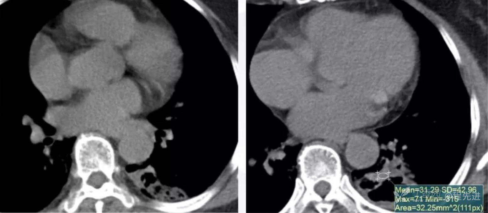
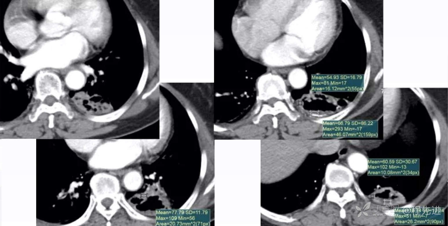
纵隔窗平扫



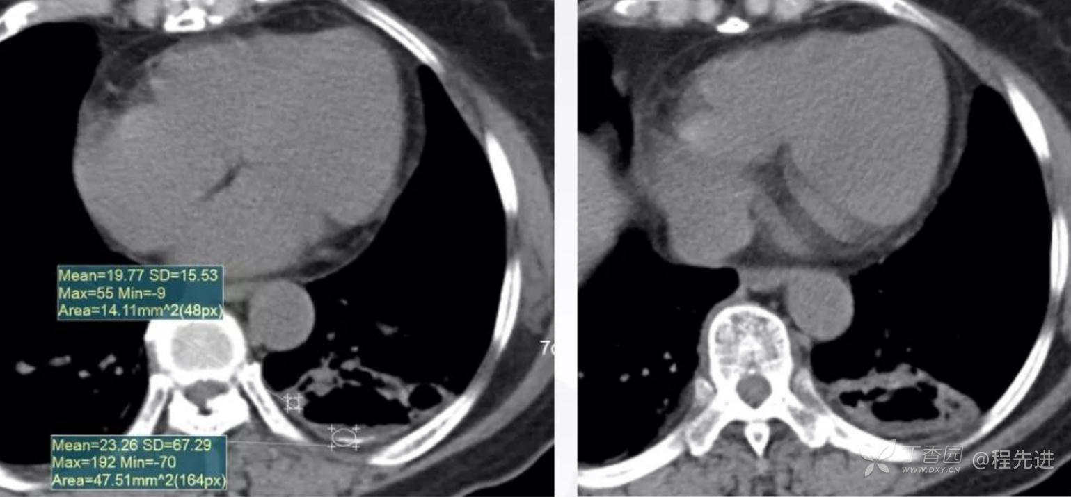
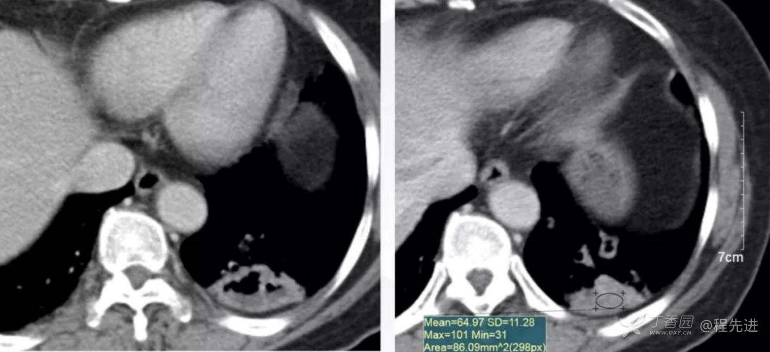
增强动脉期


静脉期


患者性别:女
患者年龄:66岁
主诉:反复咳嗽伴痰中带血1年余,加重2周
简要病史:1年来患者反复出现咳嗽伴痰中带血,性质基本类似,2周前患者无明显诱因下痰中带血症状加重,表现为痰中带血块,量少,无咯鲜血,无发热
CA199 43,CA242 26,WBC 37,CRP 5,ESR2,ANCA(),抗磷脂抗体beta2-lgA(+),结核/隐球菌涂片 (-)
肺窗


冠状位重建

纵隔窗平扫



增强动脉期


静脉期


