消化系统少见病(一百二十):肝脾影像异常
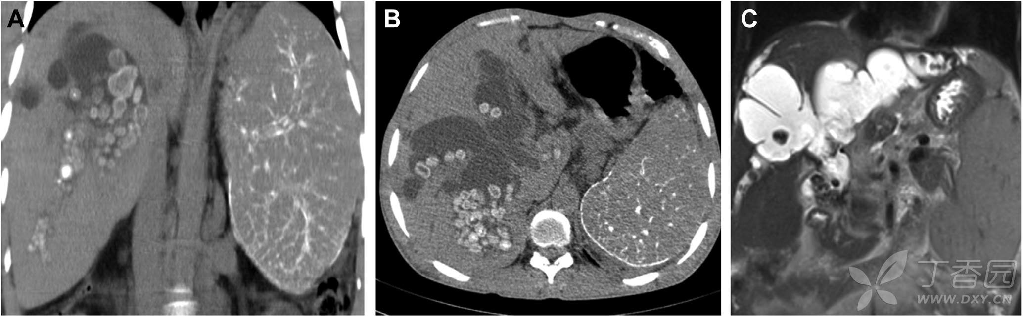
西兰花饺子 推荐一名30岁男性因非特异性上腹不适,常规行腹部B超检查发现肝内胆管扩张伴多发结石。入院行进一步检查。
常规检验提示轻度血小板减少、ALP轻度升高,余无异常。
腹部CT平扫所见如图A、图B,MR检查如图C。胃镜检查提示Ⅱ级食管静脉曲张。
请问:诊断是什么?
A 肝内胆管结石 B 肝门部胆管癌 C Caroli病 D 门脉周围纤维化致门脉高压症

(CGH,22-Jul)
上一期:消化系统少见病(一百十九):直肠多发病灶 - 消化内科 - 专业医生社区,医学、药学、生命科学、科研学术交流 (dxy.cn)















































