新冠疫情冲击下的气促
老年女性,活动后气促入院
既往无高血压糖尿病病史
入院肌钙蛋白肌红蛋白ckmb均正常,脑钠肽256pg/ml,门诊心电图如下

复查心电图如下

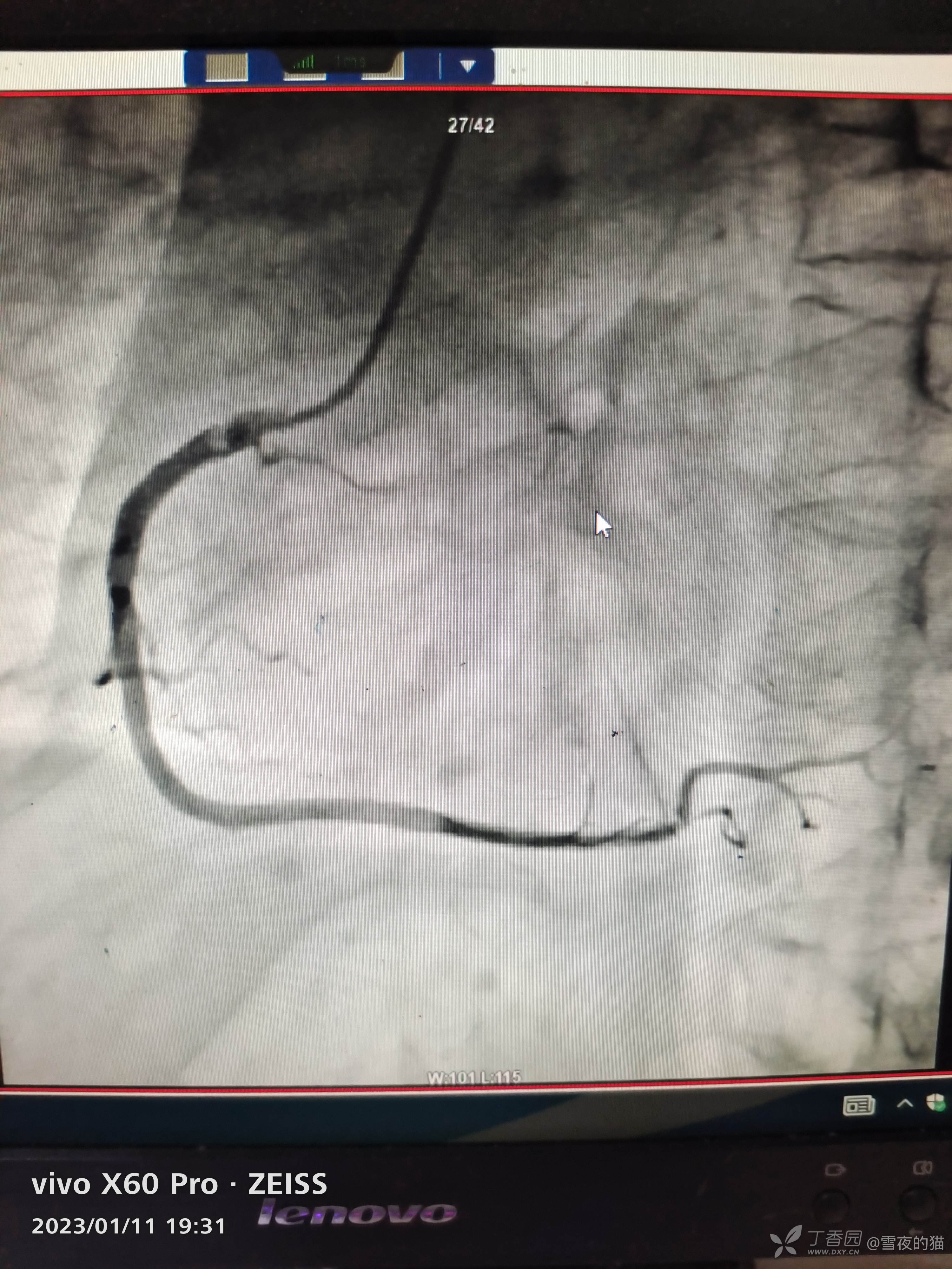
完善冠脉造影提示冠脉硬化,


心脏彩超结果(本院彩超好像不怎么行
)如下

各位,心电图是否存在提示,能否给出真断了?
老年女性,活动后气促入院
既往无高血压糖尿病病史
入院肌钙蛋白肌红蛋白ckmb均正常,脑钠肽256pg/ml,门诊心电图如下

复查心电图如下

完善冠脉造影提示冠脉硬化,


心脏彩超结果(本院彩超好像不怎么行
)如下

各位,心电图是否存在提示,能否给出真断了?
