腹组6:黑便伴乏力2周余(结果公布)
患者,男性,49岁
主诉: 黑便伴乏力2周余
现病史:患者2周余前无明显诱因下解出黑便,量不多,伴四肢乏力,自诉无明显头晕头痛、恶心呕吐、寒战发热等不适。当时与输血、营养支持等保守处理。为求进一步诊治,来本院就诊,门诊拟“消化道出血”收住入院。
治疗经过:
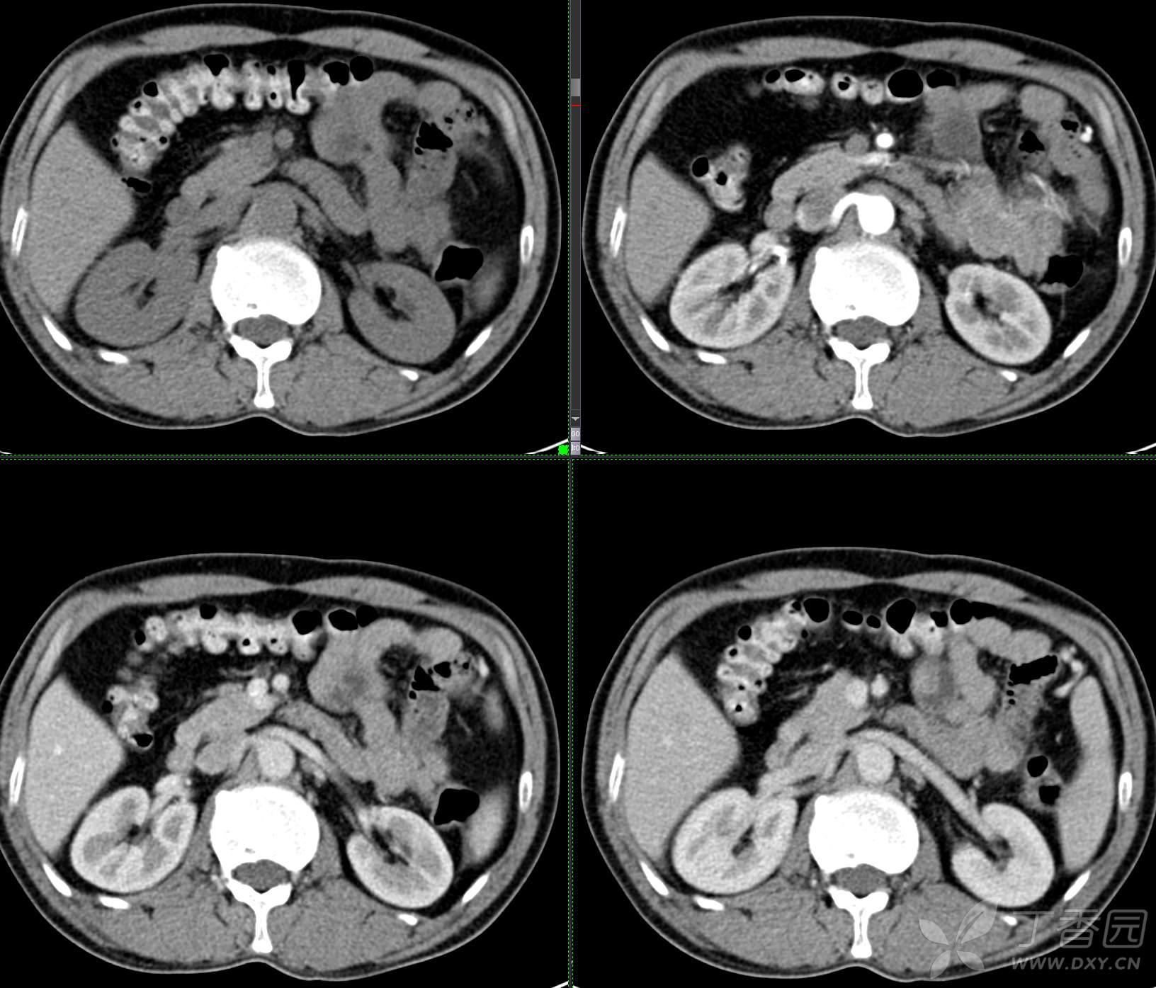
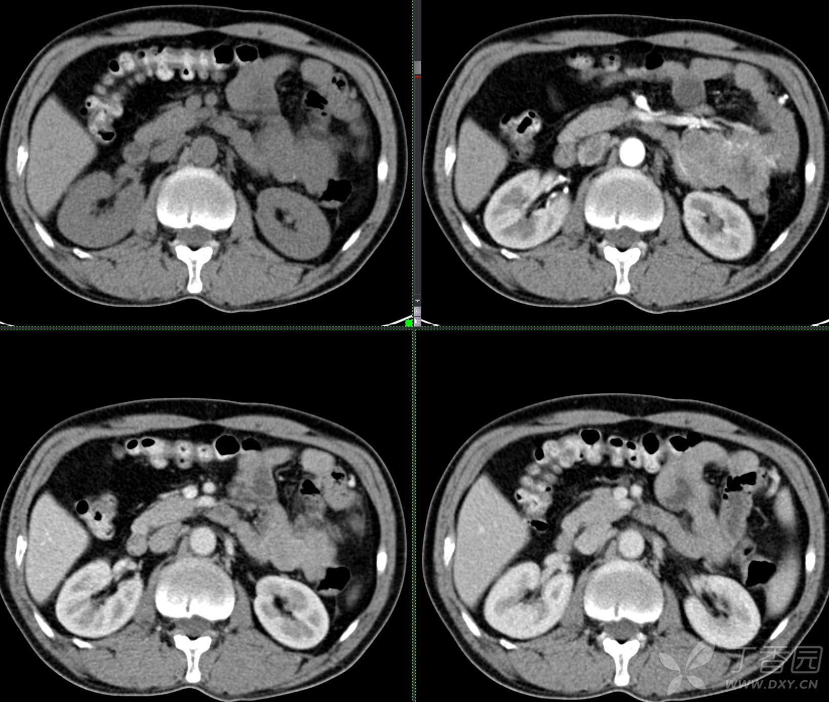
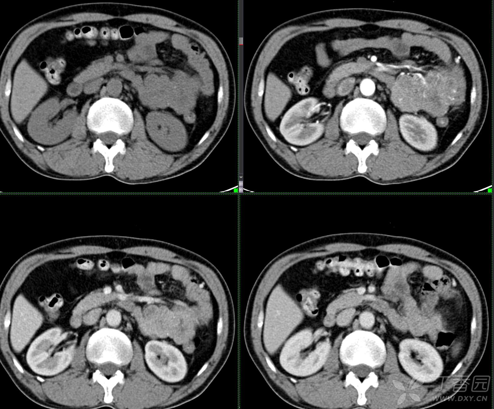
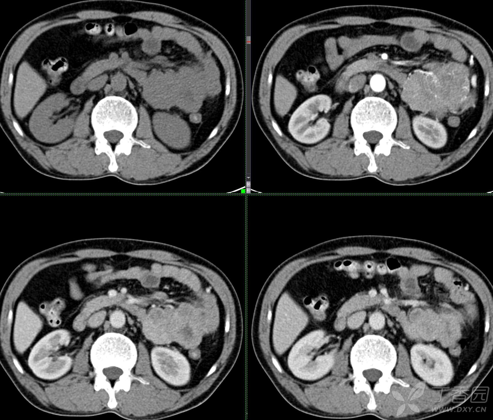
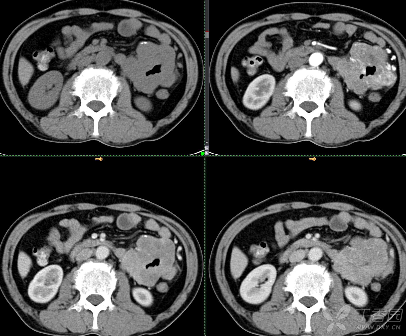
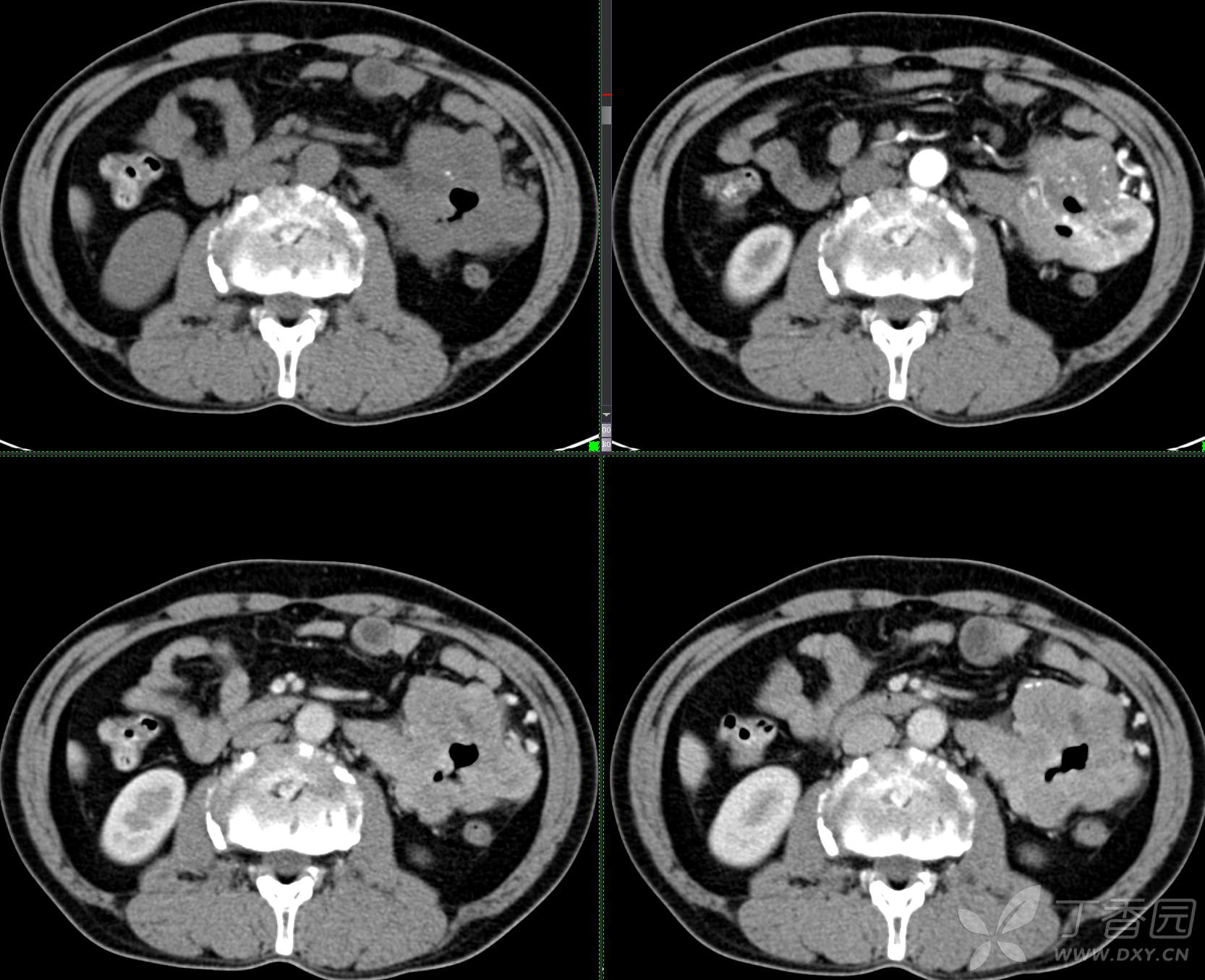
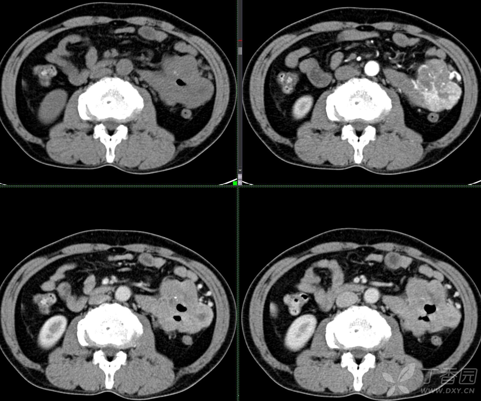
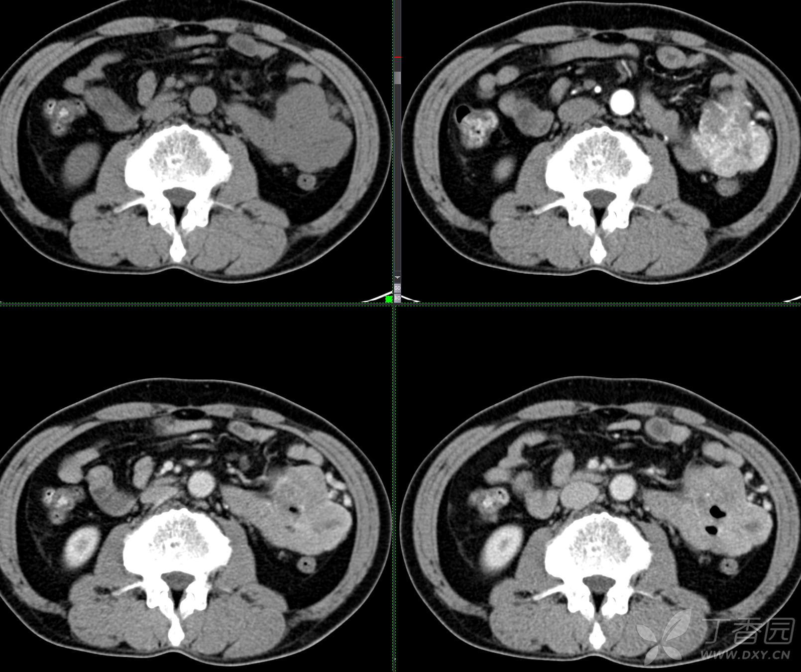
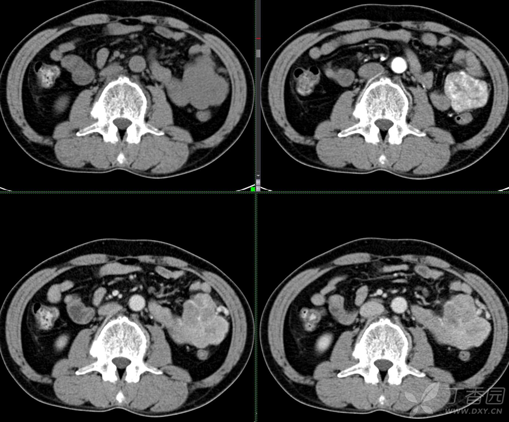
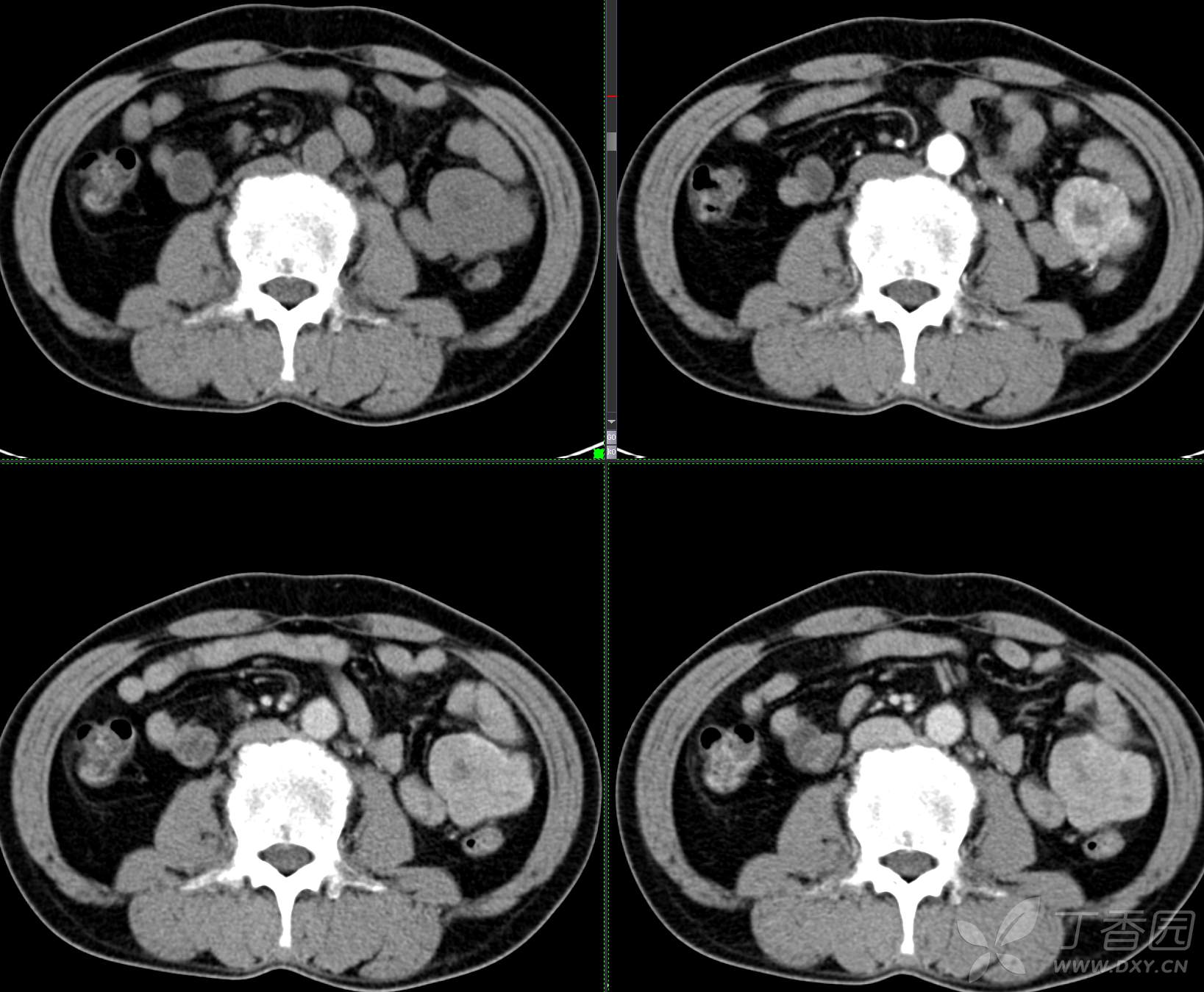
讨论:小肠病变,间质瘤?淋巴瘤?小肠腺癌?










患者,男性,49岁
主诉: 黑便伴乏力2周余
现病史:患者2周余前无明显诱因下解出黑便,量不多,伴四肢乏力,自诉无明显头晕头痛、恶心呕吐、寒战发热等不适。当时与输血、营养支持等保守处理。为求进一步诊治,来本院就诊,门诊拟“消化道出血”收住入院。
治疗经过:
讨论:小肠病变,间质瘤?淋巴瘤?小肠腺癌?










