【影诊笔记521】老年男性,黑便就诊,请分析~『回帖即可查阅答案』
患者性别:男
患者年龄:67岁
主诉:黑便1周。
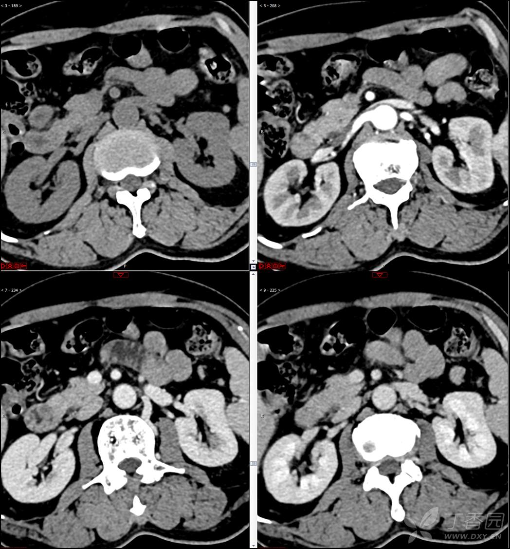
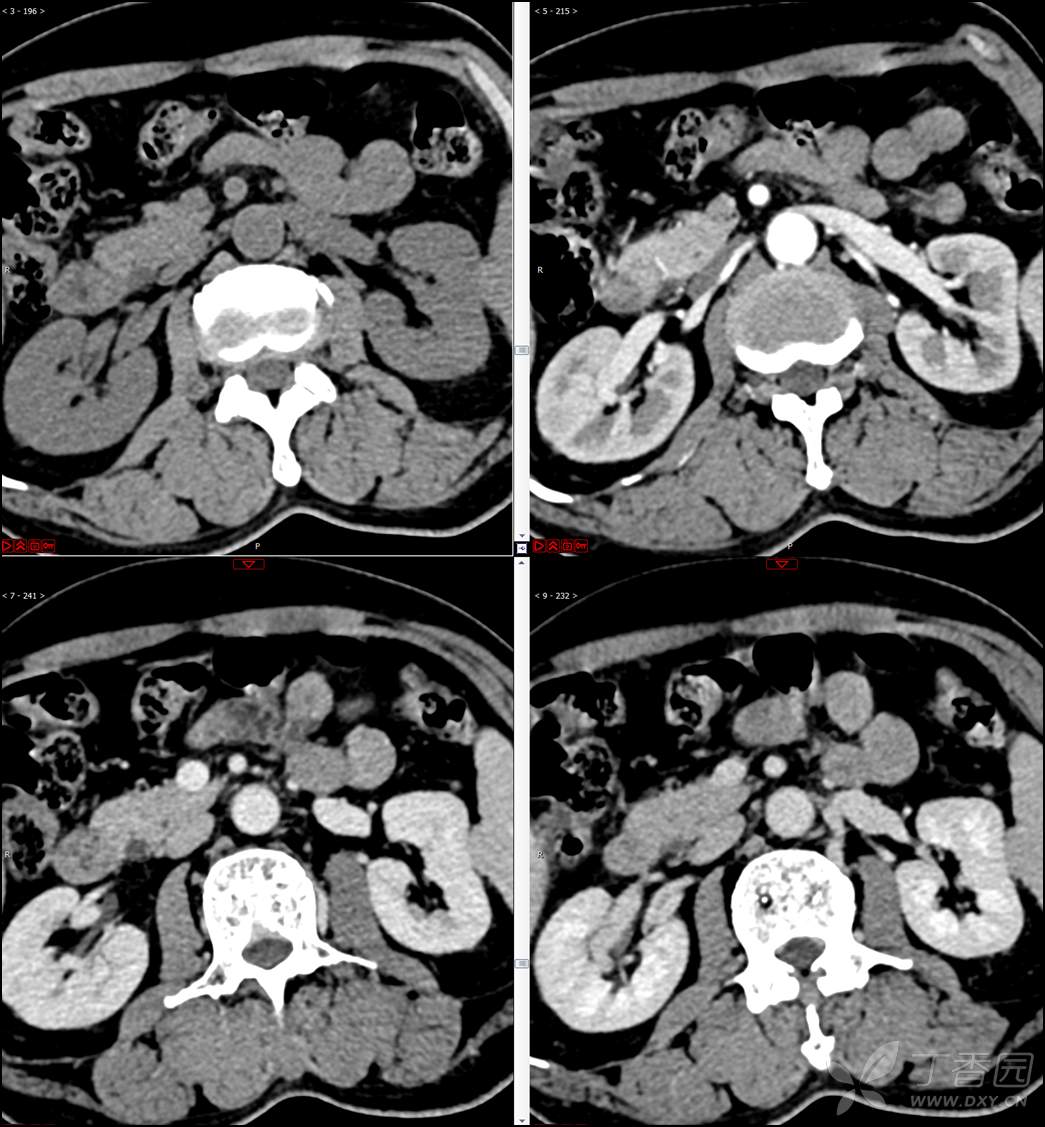
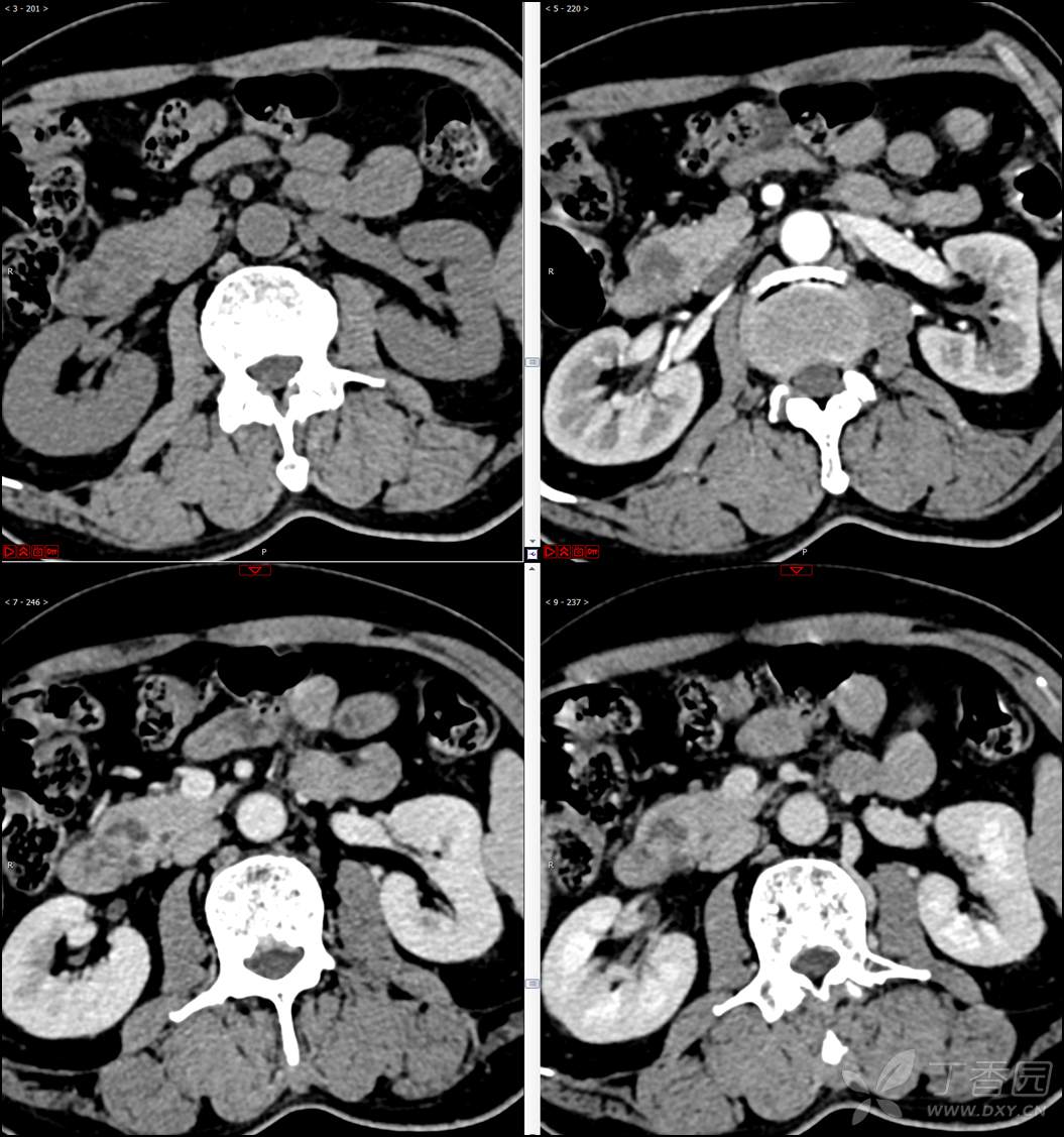
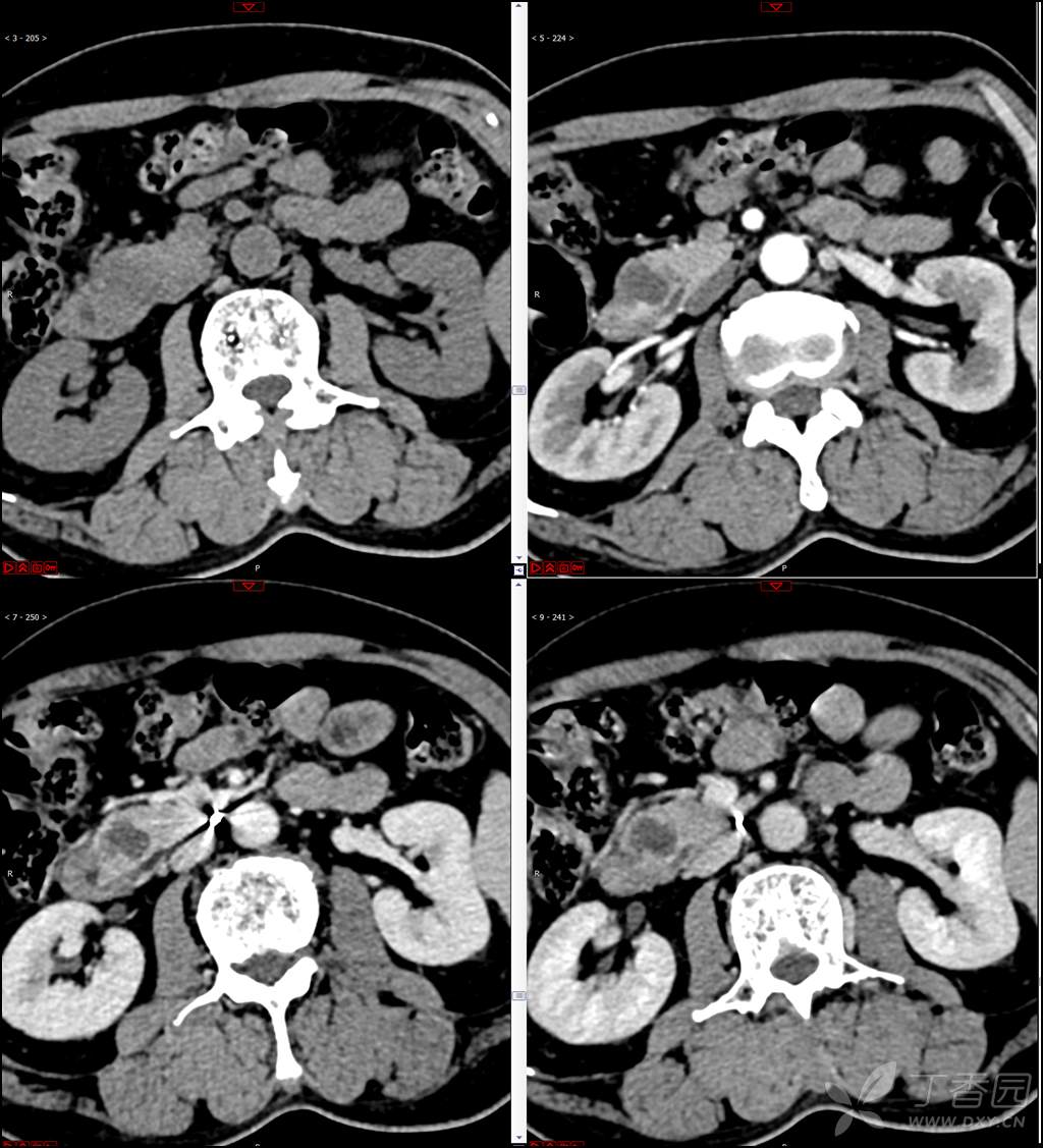
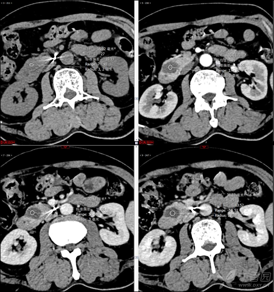
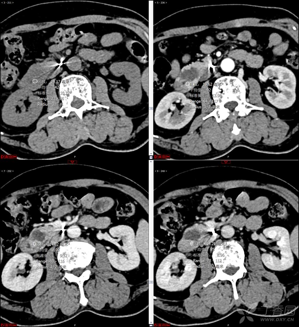
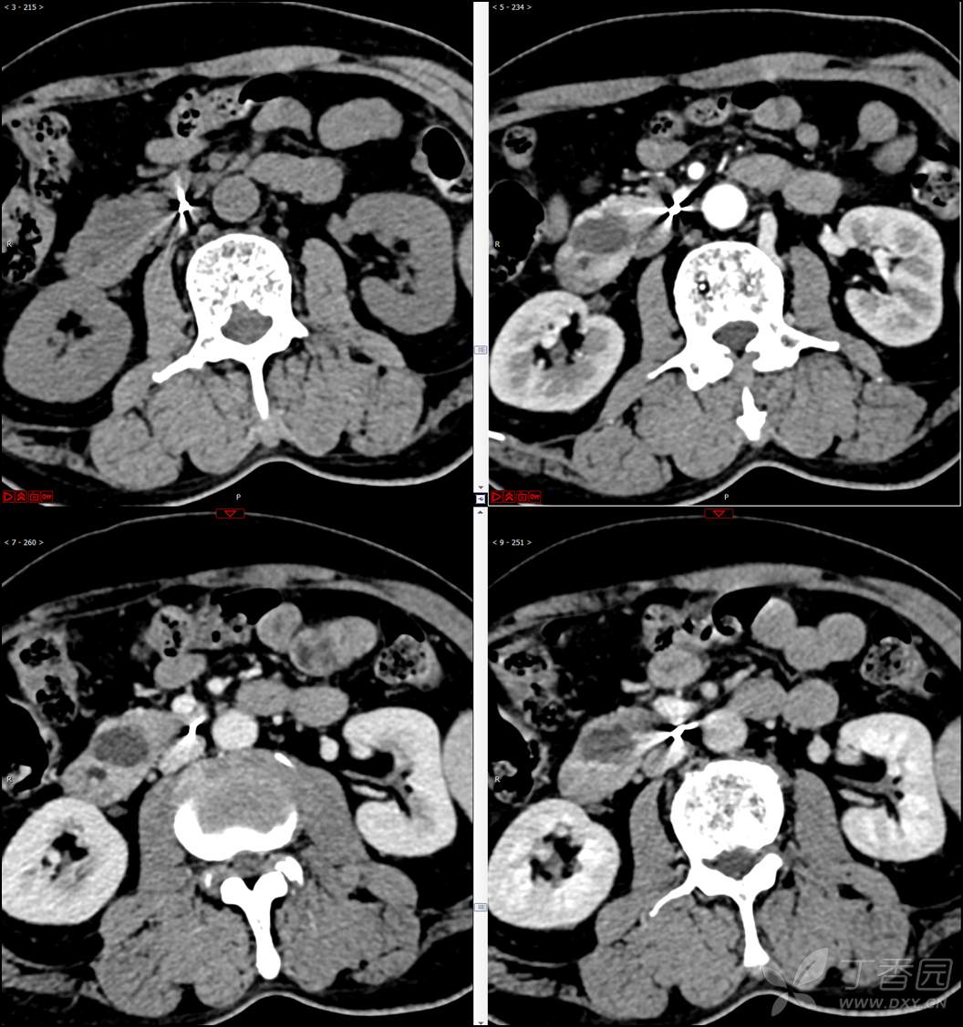
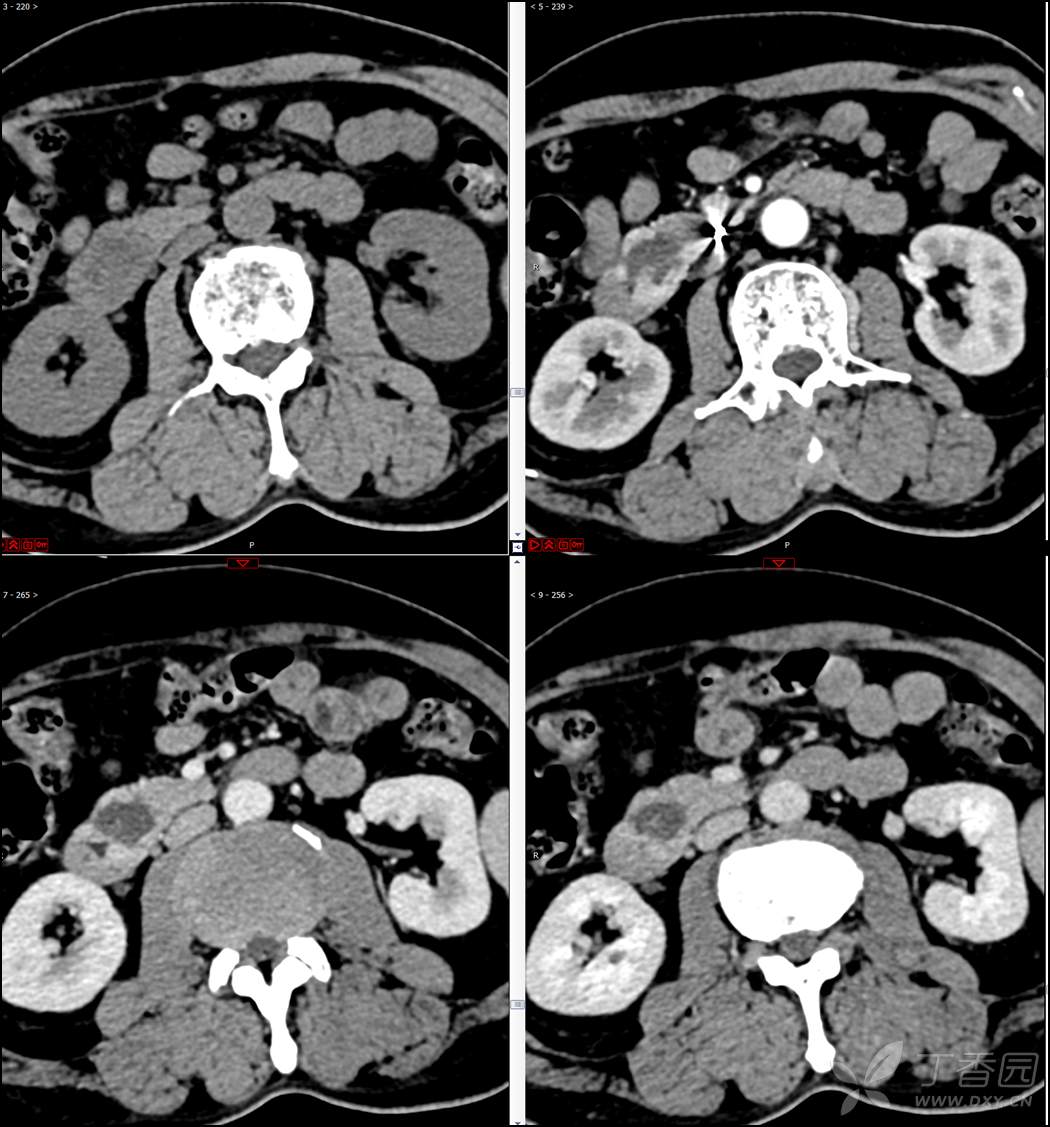
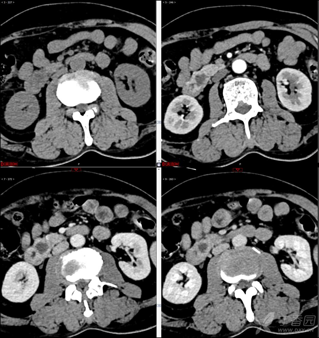
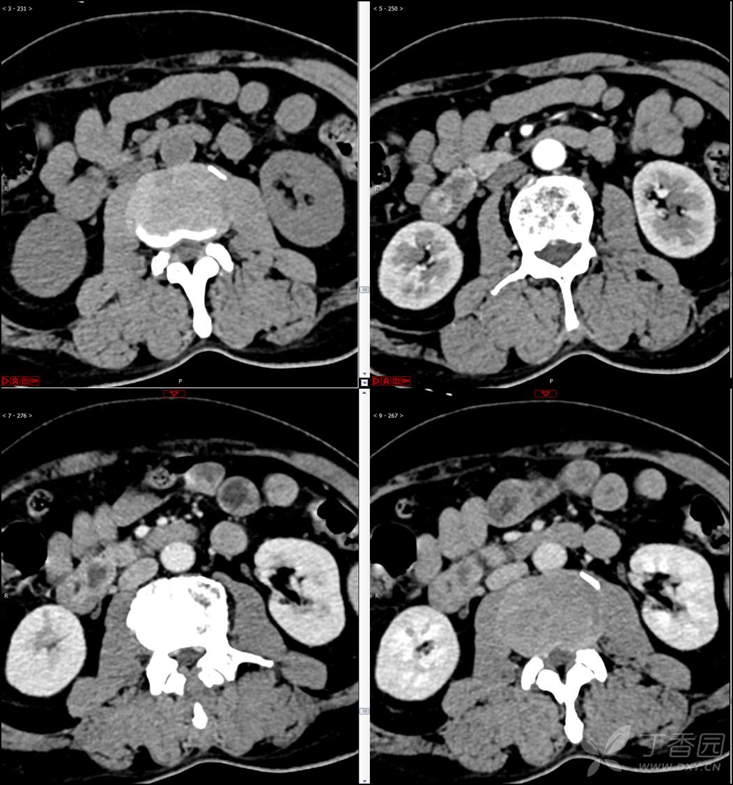
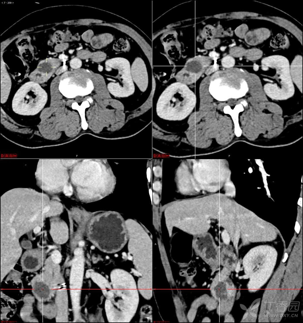
现病史:患者1周前无明显诱因出现黑便伴头晕、心慌,无胸闷、胸痛,后仍间断黑便,2022-10-27就诊于某市中医院,行胃镜检查示:十二指肠溃疡伴出血,给予止血、抑酸等对症治疗,效果欠佳。今为行进一步治疗就诊于我院急诊,门诊完善新型冠状病毒核酸检测后以“十二指肠溃疡伴出血”收入我科。患者自发病以来,神志清,精神可,未进食,睡眠可,小便未见异常,黑便,近期体重无明显增减。
既往史:既往体健,否认高血压、糖尿病、心脑血管病等疾病史,否认肝炎、结核或其他传染病史及密切接触史,预防接种史不详,否认药物及食物过敏史,否认外伤史,否认手术史,有输血史,无输血反应,其它无特殊。




























































