28岁男性,工作中遇到的足部最大的肿块,已补充临床资料。
病例信息
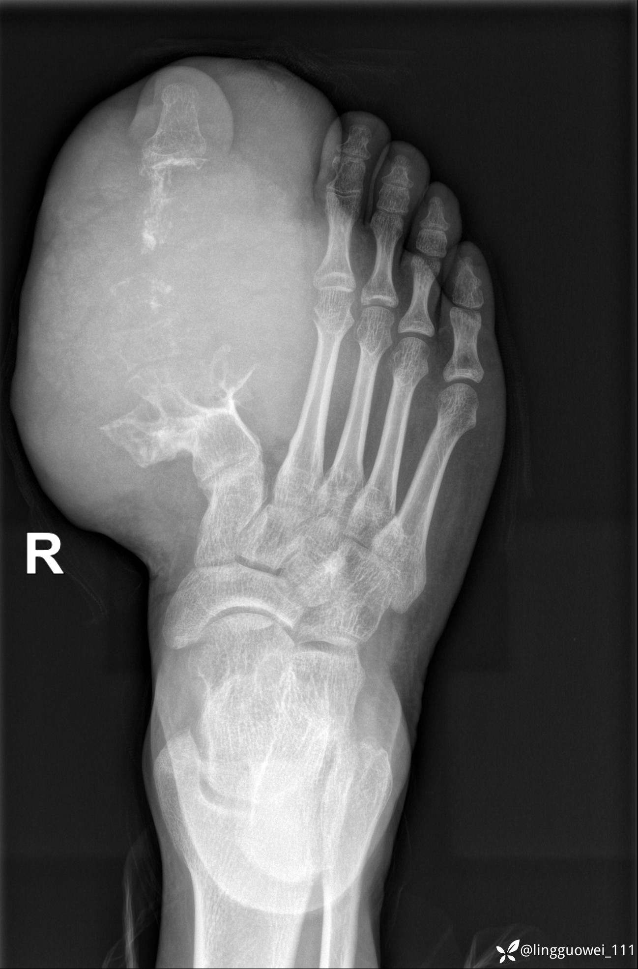
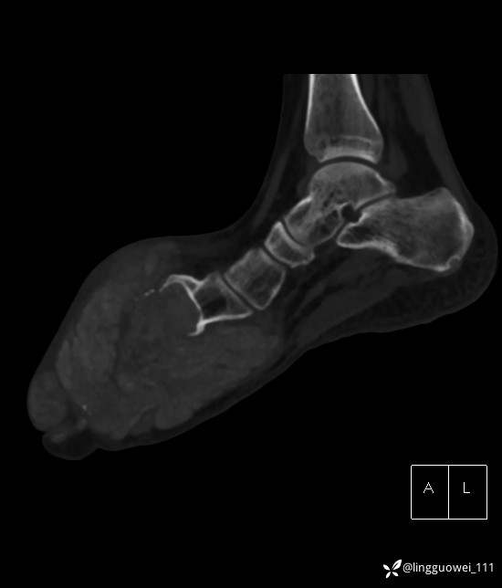
28岁男性,足部肿块逐渐增大2年。能找到病因吗?
很多时候病史就是诊断方向。
补充临床病史:
患者于2年余前高嘌呤饮食及大量饮酒后出现全身多处关节痛风石,以右足第一跖趾关节和右手为显,局部红肿热痛反复发作,自行口服药物后可缓解(药物可疑为强的松、双氯芬酸钠等,具体不详)。2年来右足痛风石明显增大,约10cm*5cm*15cm,局部红肿发热,3天前患者再次大量饮酒后痛风石顶部破溃,可见4cm*3cm皮损,较多白色豆渣样分泌物流出,为求进一步治疗来诊,门诊诊断为“右足痛风石破溃伴感染”, 收住院拟手术治疗,患者起病以来,无发热,精神佳、胃纳好、睡眠佳,大小便正常。
专科检查:右足外观畸形,足背部可见巨大痛风石形成,痛风石大小约10cm*5cm*15cm,局部皮肤红肿发热,痛风石顶部破溃,可见4cm*3cm皮损及白色豆渣样分泌物流出;痛风石界限清,质偏硬,局部触及波动感,无压痛,移动度差。右足踇趾及第2趾被痛风石压迫,关节活动受限。肢端血运、感觉无异常。 右手稍肿胀,2-5指背侧可见多发痛风石形成,最大者约花生米大小,皮肤完整未破溃,痛风石界限清,质偏硬,局部触及波动感,无压痛,移动度差。
检验:尿酸672,白细胞1.5万

























































