【影像诊断与鉴别011】渐进性右眼突出伴双眼视物黑影半年余~⟬回帖即可显示答案⟭
患者性别:女性
患者年龄:60岁
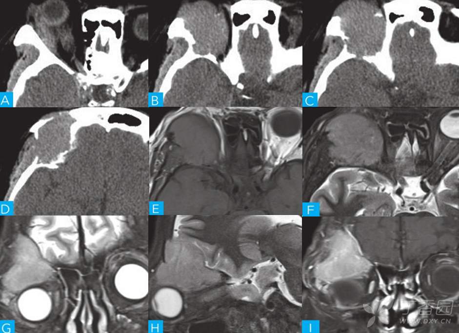
主诉:渐进性右眼突出伴双眼视物黑影半年余。
简要病史:半年前无明显诱因逐渐出现右侧眼球突出、 眼角歪斜、 伴双眼视物黑影。 就诊于当地医院眼科, 行右侧眼部息肉切除术(具体不详) , 后眼球突出未见明显好转就诊于眼科。 病人起病以来精神、 饮食睡眠可, 二便及体重体力未见明显变化。
体格检查:右侧眼角歪斜, 双瞳孔等大, 直径3mm, 对光反射灵敏, 视力L/R: 1.0/0.6。
实验室检查: 红细胞计数 3.48×1012/L(3.8~5.1) 、 血红蛋白107g/L(115~150) 、 血细胞比容 30.3%(35~45) 。 天冬氨酸氨基转移酶 40U/L(4~32) 、 总蛋白 59g/L(64~83) 、 白蛋白 25.5g/L(35~52) 、 尿素1.25mmol/L(1.7~8.3) 、 eGFR69.4ml/min/1.73m2(>90) 、 钙 1.99mmol/L(2.15~2.55) 。


















































