规培笔记 |【影像诊断与鉴别008】发作性右侧躯体麻木就诊,回帖即可查阅答案及解析!
患者性别:男
患者年龄:35岁
主诉:因发作性右侧躯体麻木2次入院。
简要病史:病人诉半个月前无明显诱因出现右侧躯体麻木, 由右下肢踝关节处延伸至右上肢指尖, 每次持续约2分钟后自行缓解, 无明显乏力感, 无发热、 盗汗、 昏迷、 抽搐, 无四肢活动障碍等症状, 当时未做特殊诊治; 1周前再次出现麻木症状, 症状同前。

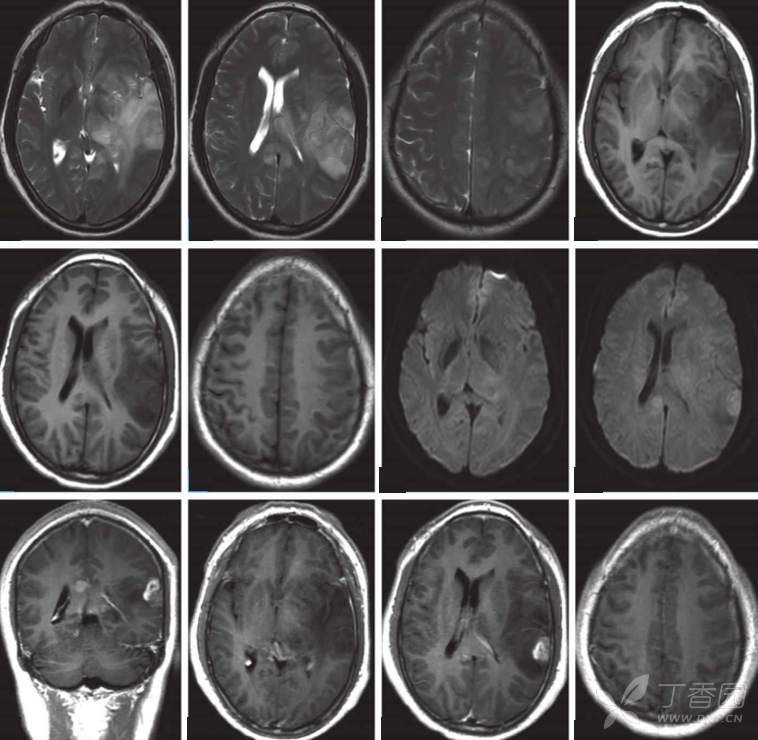
依次为:轴位T2WI; T1WI; 轴位DWI;冠状位T1WI增强;轴位T1WI增强
患者性别:男
患者年龄:35岁
主诉:因发作性右侧躯体麻木2次入院。
简要病史:病人诉半个月前无明显诱因出现右侧躯体麻木, 由右下肢踝关节处延伸至右上肢指尖, 每次持续约2分钟后自行缓解, 无明显乏力感, 无发热、 盗汗、 昏迷、 抽搐, 无四肢活动障碍等症状, 当时未做特殊诊治; 1周前再次出现麻木症状, 症状同前。

依次为:轴位T2WI; T1WI; 轴位DWI;冠状位T1WI增强;轴位T1WI增强
