站友们,看看这个新冠患者的CT
华夏览雄 达人已点赞患者:男,49 岁。
简要病史:因咳嗽加重和呼吸急促 3 天就诊,在休息和轻微运动时均如此,伴有食欲下降和嗅觉丧失,无发烧、发冷、胸痛、恶心或呕吐。怀疑新冠。
既往史:高血压, 2 型糖尿病。
查体:温度 37.5°C,血压 149/81 mmHg,脉搏 98 bpm。呼吸频率 42 次/分,氧饱和度为 85%,在 15 L/min 非循环呼吸面罩下提高到 95%
胸部 X 光片:

实验室检查:
白细胞计数 15.9×10 9 /L (3.8–10.2),中性粒细胞计数 93%,D-二聚体 >20 μgFEU/mL (<2.1),乳酸 777 U/L (140–271),新冠阳性。
给予头孢曲松、多西环素、类固醇、依诺肝素钠和羟氯喹治疗。
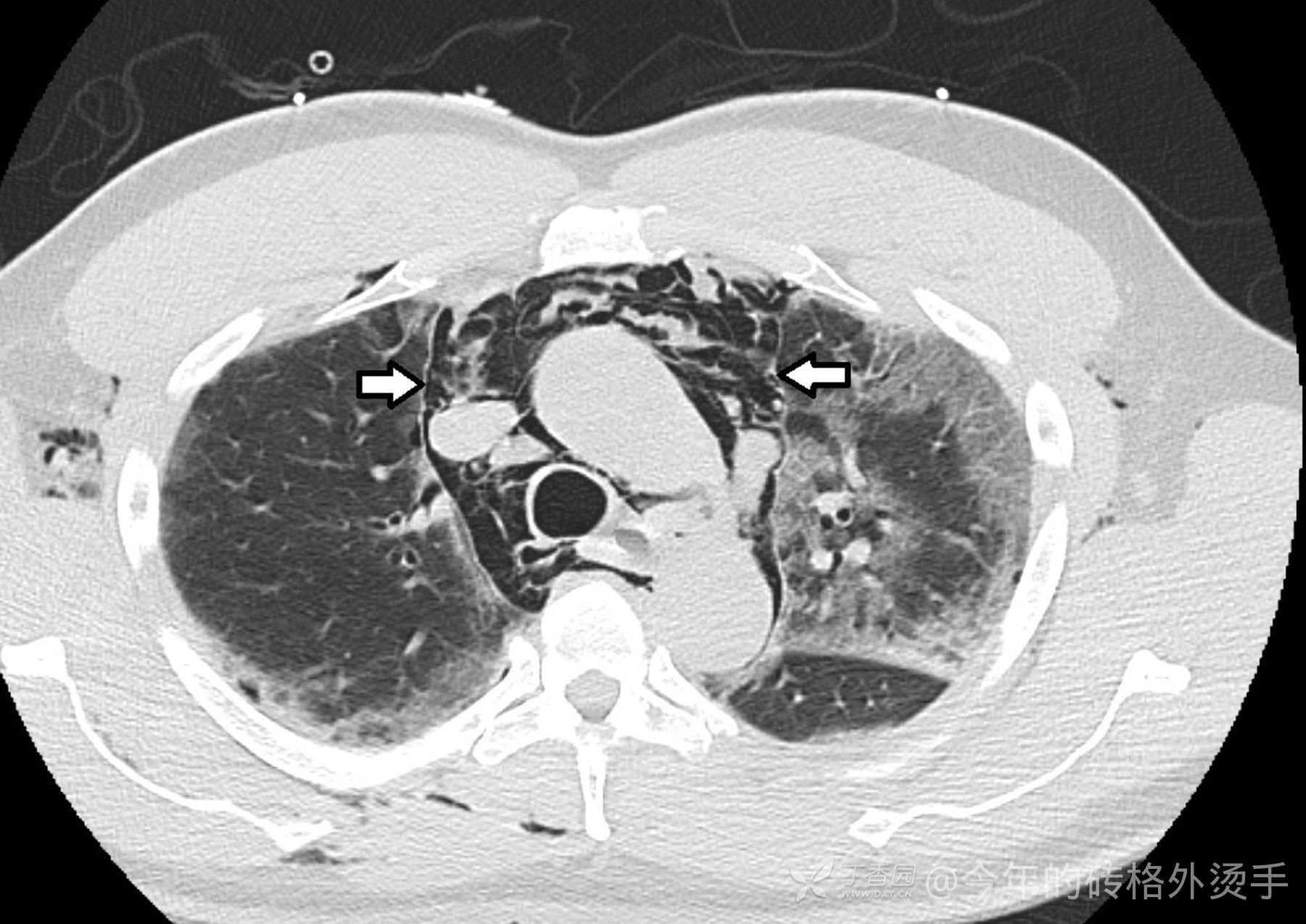
住院第 5 天,患者报告突然出现恶心和呕吐,并注意到颈部和胸部周围有捻发音。
复查胸部X光片提示双侧浸润大部分没有变化,但现在上胸腔和可见颈部存在中等软组织气体。

胸部 CT :


食管造影排除了食管破裂。这个患者既往也无吸烟史、气胸史或其他任何肺部疾病史。
各位站友,有答案了没?气胸?如何鉴别诊断?会不会是新冠导致的并发症?欢迎积极讨论,分享你的真知灼见。
















































