“但求义当先”一例胫骨平台骨折
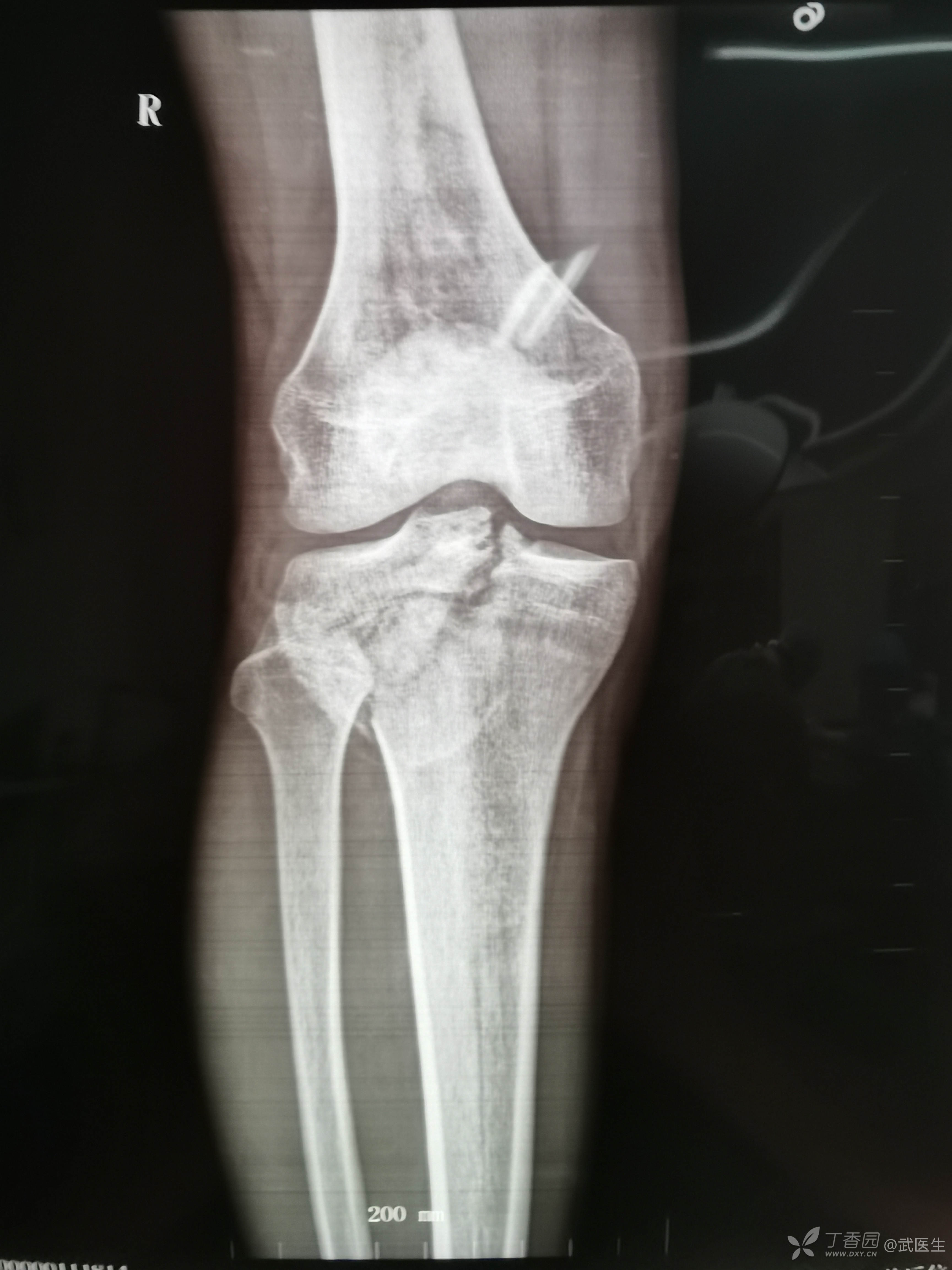
男,15岁,骑摩托车摔伤致右膝疼痛,出血,活动受限三小时就诊,门诊诊断“右胫骨平台骨折,右膝挫裂伤”急诊入院,片子如下,受伤体位照缺失


值班医生予清创,骨牵引,第二日查体膝上伤口近侧异常隆起,和患者家属沟通,再次清创



出现了题目中的一句话“但求義當先”,清理异物后创面VSD覆盖,择期骨折内固定






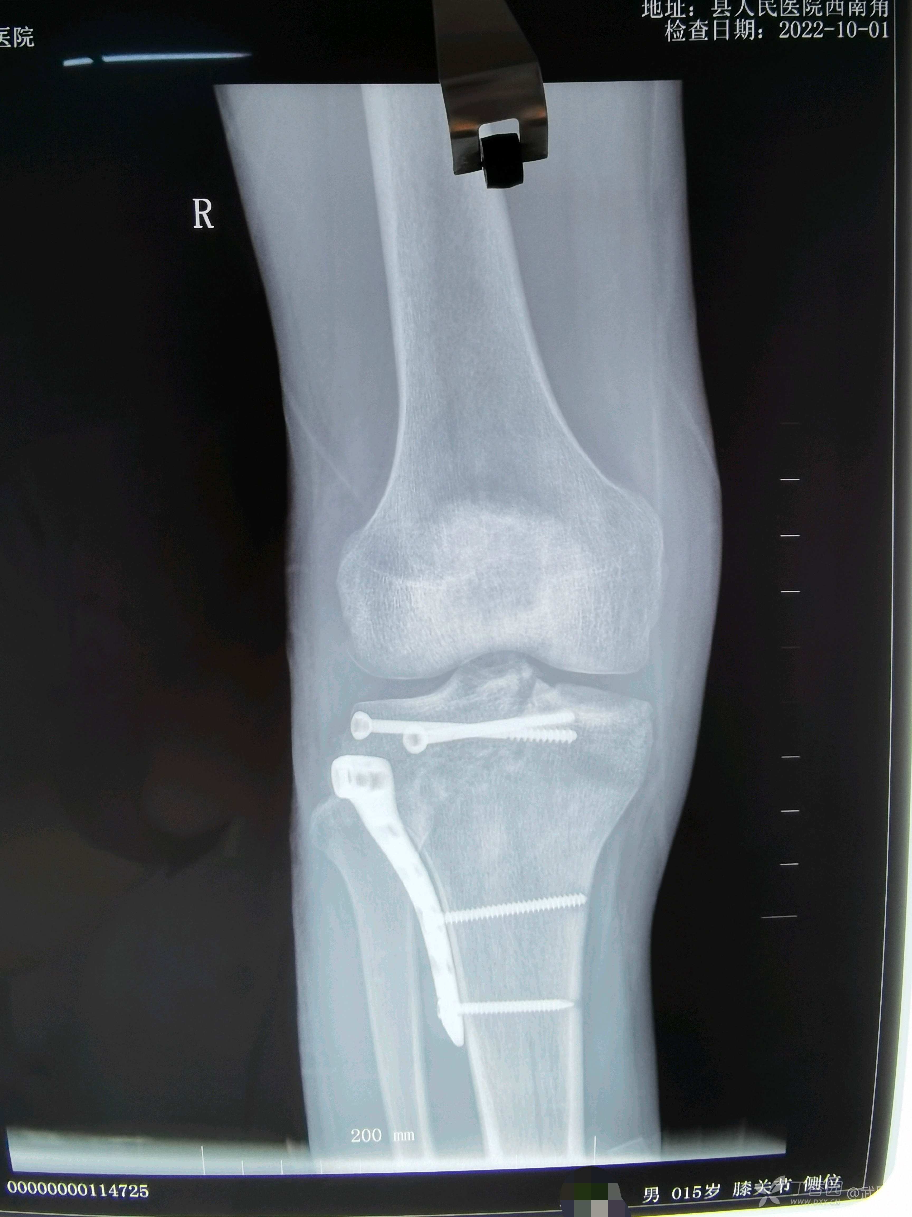
15岁,骨骺存在,关节加压固定,外侧板支撑




切口一期愈合,出院后疫情爆发,他们家处于风暴眼中心,无法复查,今日术后两月复诊




孩子行走几乎看不出来是才做过手术两个月。
15岁保留学籍自行在家“修炼”,住院期间,患者父亲只管拿钱,没有和孩子怎么沟通,母亲目前依然保持对男孩的爱。
多说几句😓不过男孩功能确实恢复不错。
发帖留念,欢迎拍砖















































