胫骨平台骨折,一例更比一例碎系列
骨外狂徒张三 推荐病例信息
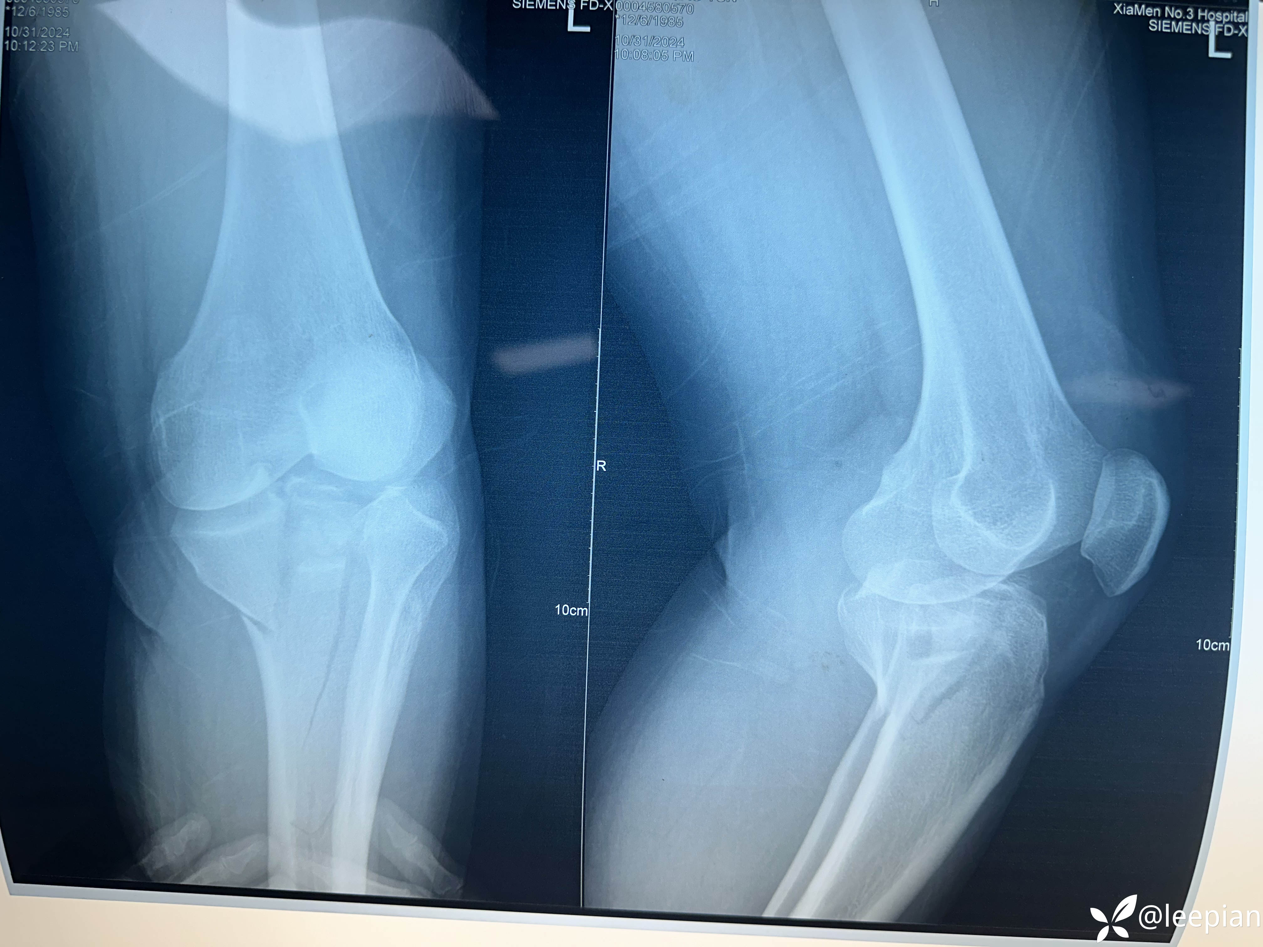
【患者信息】:中年女性
【主诉】:车祸致伤
【现病史及既往史】:无特殊
【检查】:









【临床诊断】:胫骨平台骨折脱位
【治疗经过及结果】:手术治疗
总结与讨论
受伤机制?分型?手术方案(入路,体位,顺序,内固定方案)
骨外狂徒张三 推荐病例信息
【患者信息】:中年女性
【主诉】:车祸致伤
【现病史及既往史】:无特殊
【检查】:









【临床诊断】:胫骨平台骨折脱位
【治疗经过及结果】:手术治疗
总结与讨论
受伤机制?分型?手术方案(入路,体位,顺序,内固定方案)
