【创骨病例诊疗分析】胫骨平台骨折复位的技巧?
病例信息
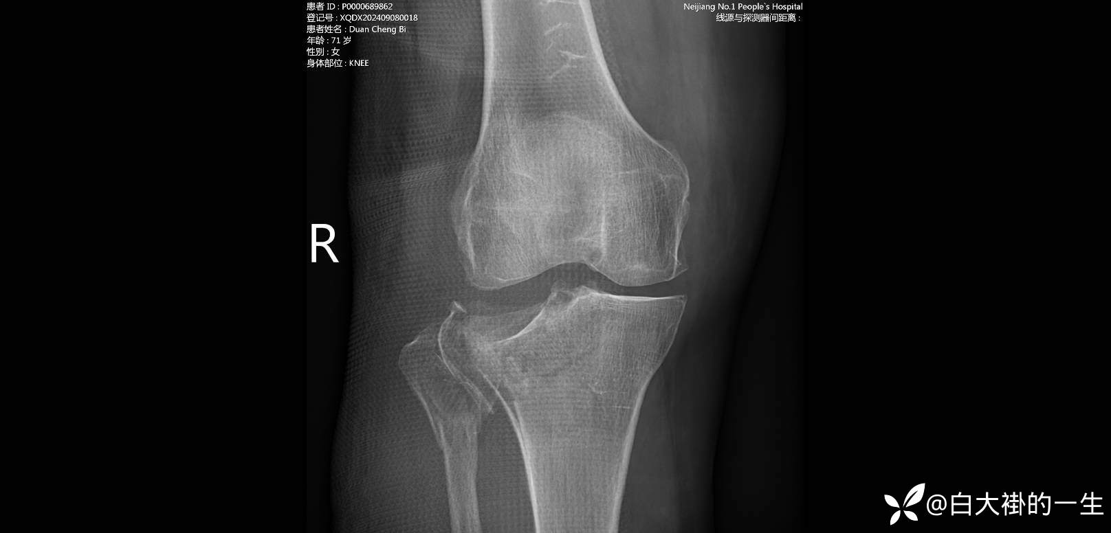
【患者信息】:患者及家属诉于4小时前在过斑马线时被小汽车撞倒,即感右侧膝部疼痛伴活动受限,伴有轻微皮肤擦伤,伴右侧肩部及右侧骨盆处疼痛,伤后患者无昏迷,能回忆起当时情形,伤后略感头晕、头痛,无恶心、呕吐,有胸闷不适,无胸痛,无呼吸困难,无腹胀、腹痛,无大小便失禁等伴随症状。患者遂在亲属陪同下由120救护车送至我院急诊科,急诊行CT检查示:“右胫、腓骨上段粉碎性骨折,右膝、右小腿软组织肿胀,右膝关节腔及髌上囊、右股骨下段内侧旁积液、积血”。急诊以“右侧胫骨平台骨折,右侧腓骨上段粉碎性骨折”收住我科住院治疗。
【检查】:2024-9-7我院急诊行检查提示“1.右胫、腓骨上段粉碎性骨折,右膝、右小腿软组织肿胀,右膝关节腔及髌上囊、右股骨下段内侧旁积液、积血。2. 右膝关节退行性变。3. 头颅CT扫描颅内未见血肿及确切挫裂伤,请随诊。4. 双侧眼球突出;多组副鼻窦炎。5. 双肺上叶数个结节,提示低危结节,请年度随诊。6. 右肺上叶前段含气囊腔。7. 双肾结石;双肾囊肿;双肾盂、输尿管腹段轻度扩张。8. 双侧卵巢囊性病变。9. 盆腔少量积液。1. 右胫、腓骨上段粉碎性骨折,右膝、右小腿软组织肿胀,右膝关节腔及髌上囊、右股骨下段内侧旁”
影像如图:




【临床诊断】:1.右侧胫骨平台粉碎性骨折 2.右侧腓骨上段粉碎性骨折
3.右膝关节退行性变 4.双肾结石
【治疗经过及结果】:积极完善相关检查,目前患者疼痛明显,治疗上予以氨丁三醇止痛、兰索拉唑抑酸、肝素钙预防下肢血栓,鹿瓜多肽促进骨折愈合等对症支持治疗,待肿胀减轻后行手术治疗。
总结与讨论
1.胫骨平台骨折的分型?
2.胫骨平台骨折各分型如何治疗?
3.本例病人采取什么内固定治疗方案,术中如何恢复胫骨平台的关节面高度?
复位有什么技巧?
















































