dxy logo
首页丁香园病例库全部版块
搜索
登录

病例胫骨平台骨折一例

骨科医师 · 发布于 2024-06-19 · 来自 Android · IP 福建福建
1101 浏览
iconzzf1056 达人已点赞
这个帖子发布于 1 年零 155 天前,其中的信息可能已发生改变或有所发展。

病例信息

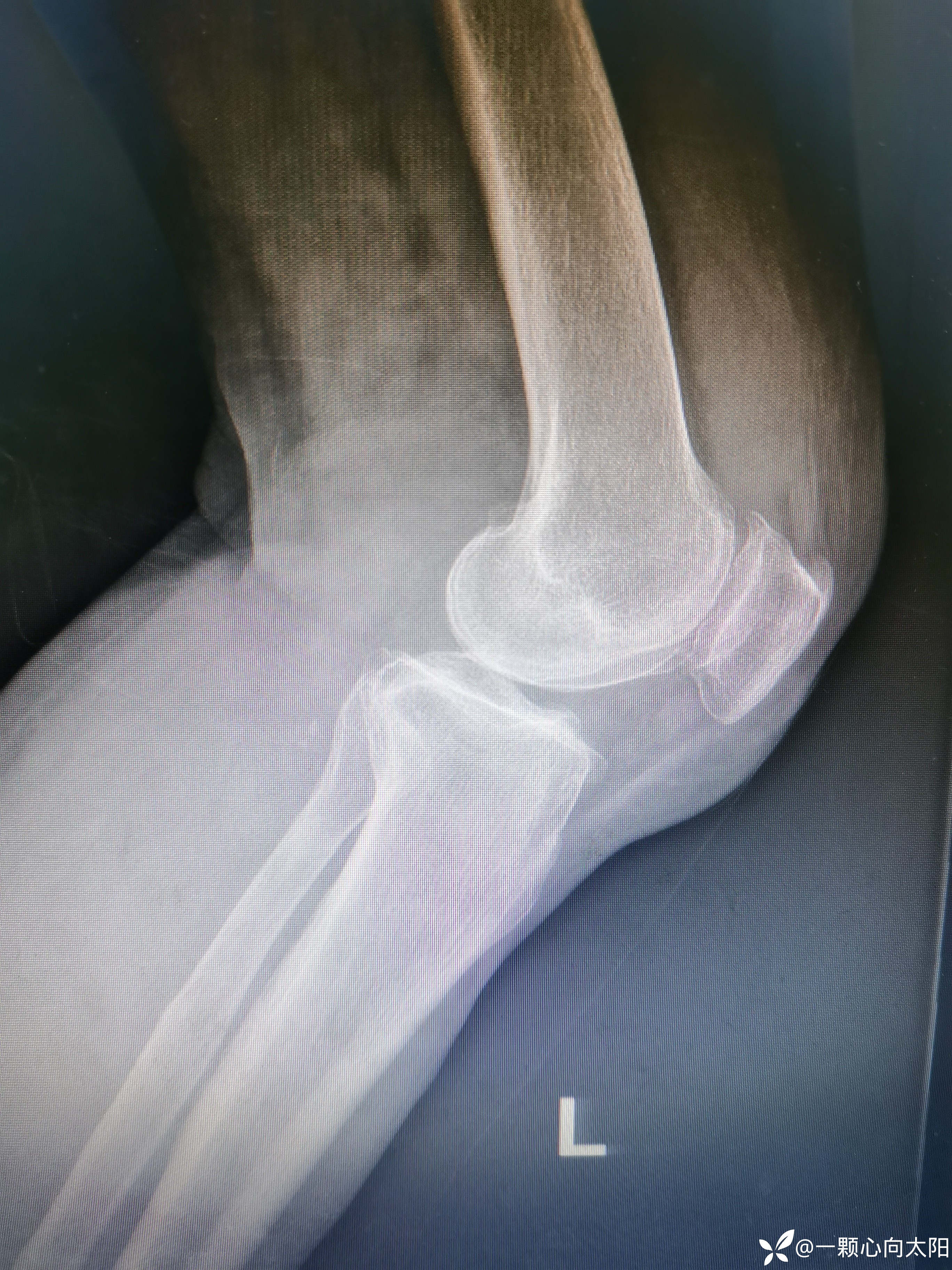
69岁,女性患者,以“外伤致左膝关节疼痛伴活动受限3小时”为主诉入院。

img


img


img


img


处理分析

完善术前检查排除手术禁忌后行切开复位内固定术

img


img


img


总结与讨论

小小住院医一枚,负责拉勾,请各位老师批评指正

胫骨平台骨折 (386)
纠错
3 收藏7
同行评议(0)
已评议
不开通精选
开通精选
精选已授权,待上线
评议结果暂未公布
参与评议
去邀请
NaN
病例完整NaN
临床实用NaN
诊疗科学NaN
学术价值NaN

全部讨论(0)

默认最新
avatar
3
分享帖子
share-weibo分享到微博
share-weibo分享到微信
认证
返回顶部