消化系统少见病(一百零七):升结肠病变
一名61岁女性因“右下腹痛3小时”就诊。患者否认服用NSAIDs药物史。
既往有16年小肠克罗恩病史,近期无诱发加重因素。近10年来患者处于临床、放射学及内镜下缓解期,除了2次布地奈德治疗外,未进行长期维持治疗。
查体:右下腹压痛明显。
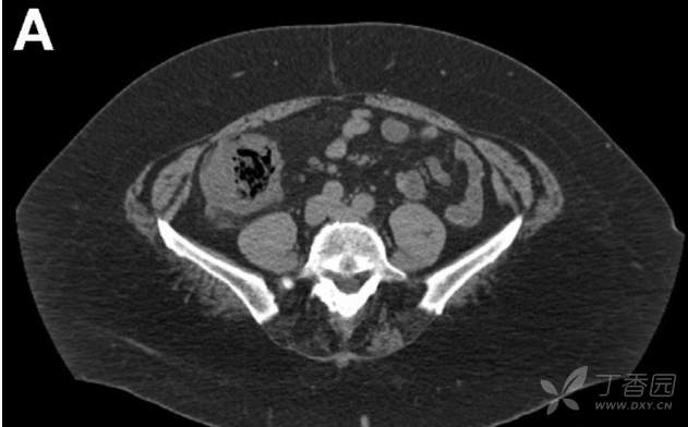
腹部CT平扫提示升结肠肠壁增厚(图A)。患者之前18个月、7个月的肠镜检查及磁共振肠成像均无异常发现。
再次结肠镜检查所见升结肠(图B)。
请问:诊断是什么?
A 克罗恩病复发并累及结肠 B 结肠癌 C 肠结核 D 缺血性结肠炎


(CGH,22-Jan)
上一期:消化系统少见病(一百零六):少见的脓血便 - 消化内科 - 专业医生社区,医学、药学、生命科学、科研学术交流 (dxy.cn)
下一期:消化系统少见病(一百零八):广泛肠道病变(讨论奖丁当) - 消化内科 - 专业医生社区,医学、药学、生命科学、科研学术交流 (dxy.cn)















































