CRP和PCT升高,CK一过性升高,感染灶在哪里?

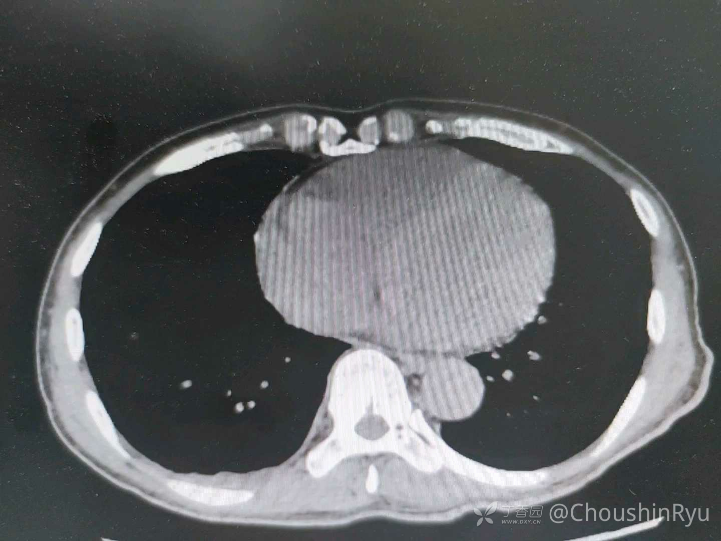
楼下留观的病人,觉得奇怪就发上来听听老师们的意见。男性,62岁,4月4日以头晕乏力来诊,当晚开始发热,体温最高39℃。急诊生化提示CK明显升高,转氨酶,CRP,PCT升高,但是血,尿培养都阴性,胸部CT未见明显异常,腹部CT见肝脏多发囊性病变(三期均不增强),肾多发小囊肿。给予抗感染,保肝等对症治疗,现体温正常,CK逐渐下降,白蛋白进行性下降,4月8日复查CT发现胸腔,腹腔都出现积液。检查结果及部分医嘱附上。患者因没有能授权的家属所以没能收上来,暂时在急诊抢救室,会继续关注其情况。
问题:1,初步诊断考虑什么疾病?还需要完善哪些检查?
2,CRP,PCT升高,肺和泌尿系均未见异常,感染灶还可能在哪里?
3,CK一过性升高,抗干扰治疗后很快下降的原因是?

































































