dxy logo
首页丁香园病例库全部版块
搜索
登录

猜肺部病灶病理(答案已公布)

医师 · 发布于 2021-02-24 · 来自 Android · IP 浙江浙江
2263 浏览
达人点赞、丁当奖励 2 项荣誉
这个帖子发布于 4 年零 271 天前,其中的信息可能已发生改变或有所发展。

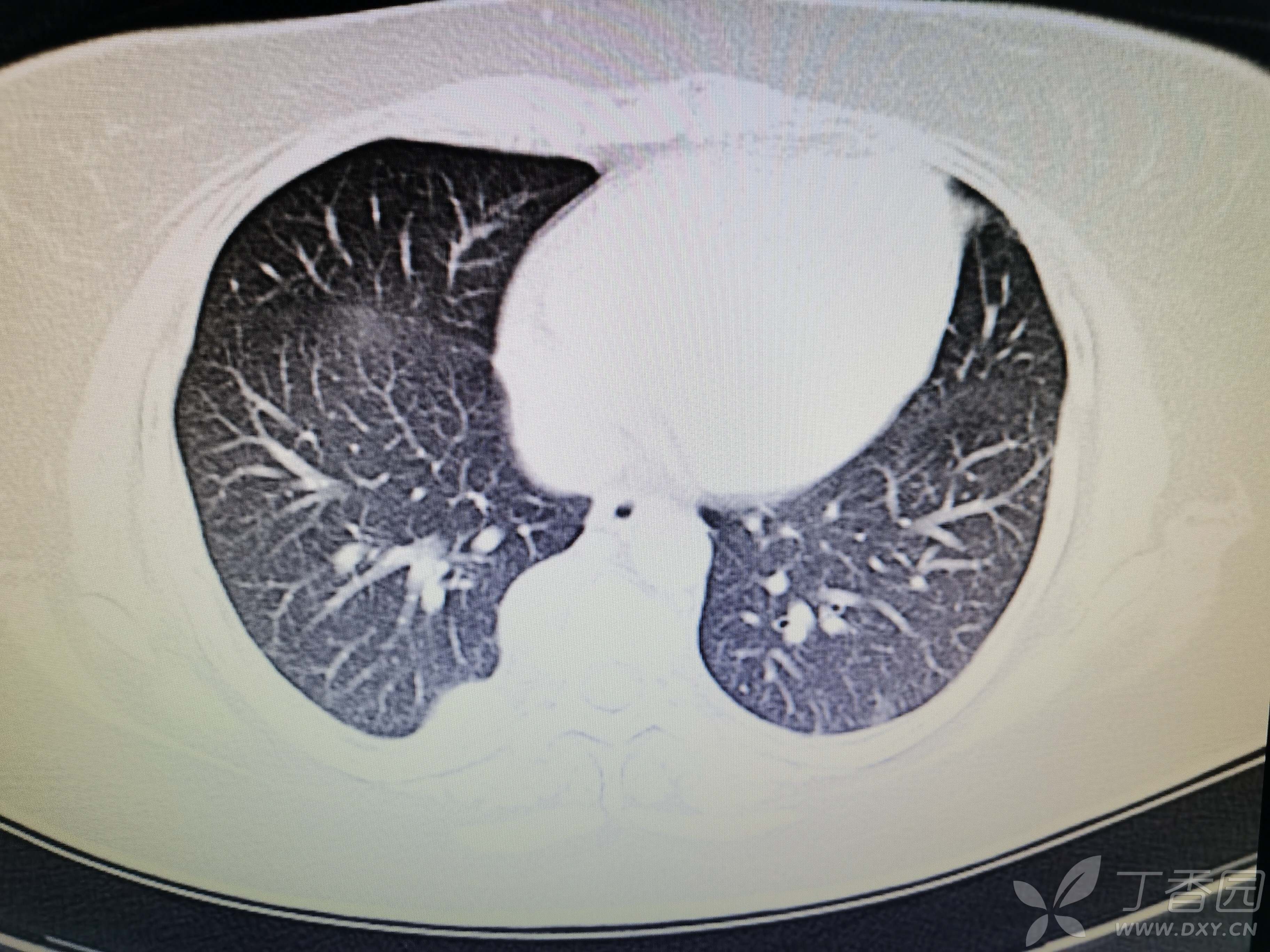
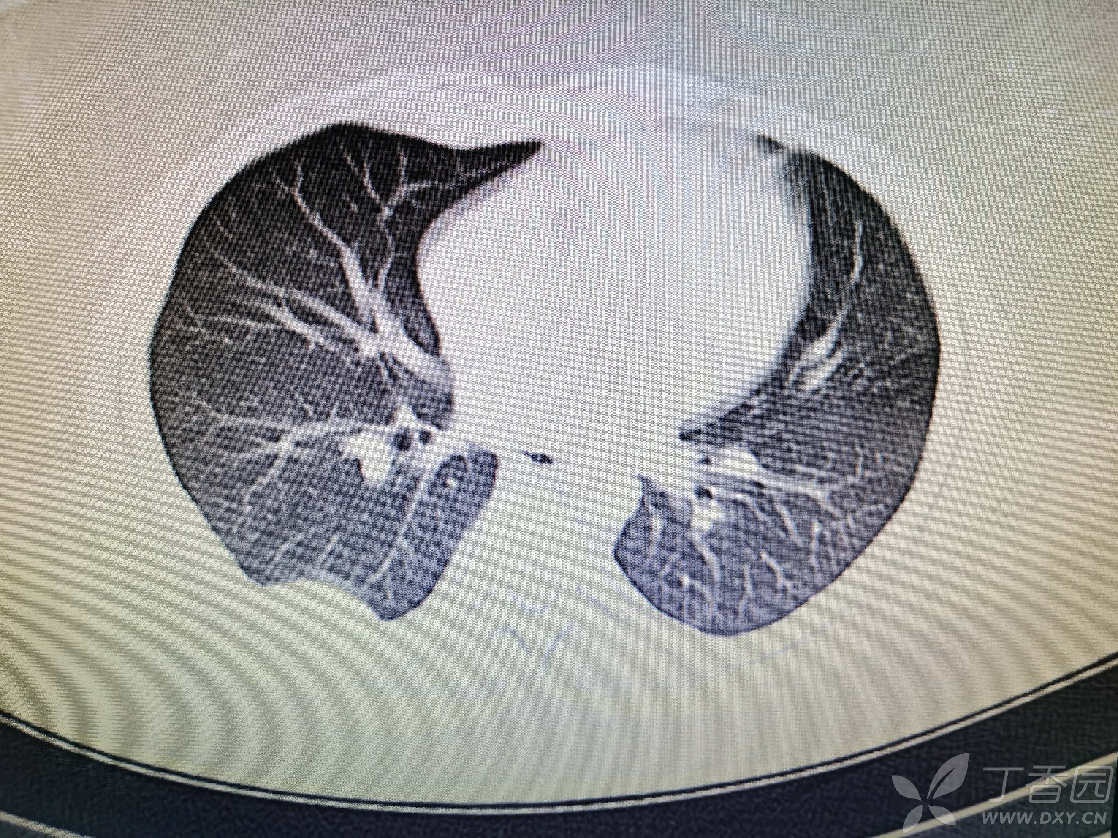
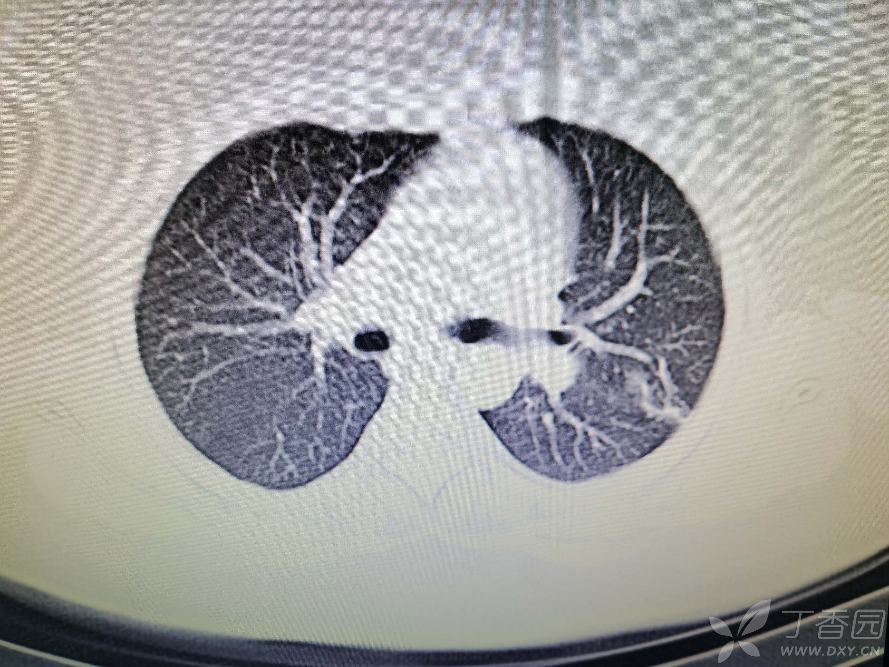
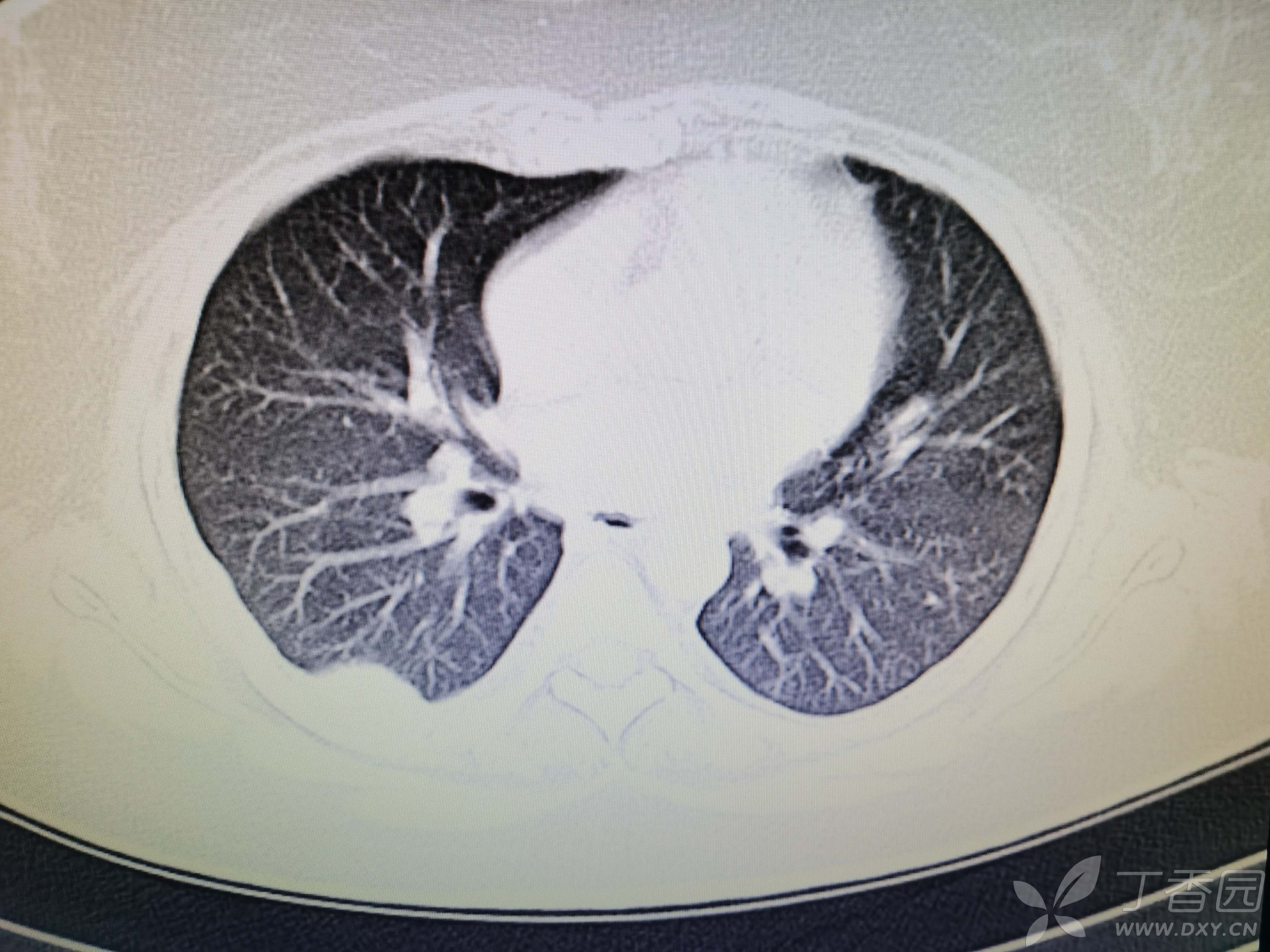
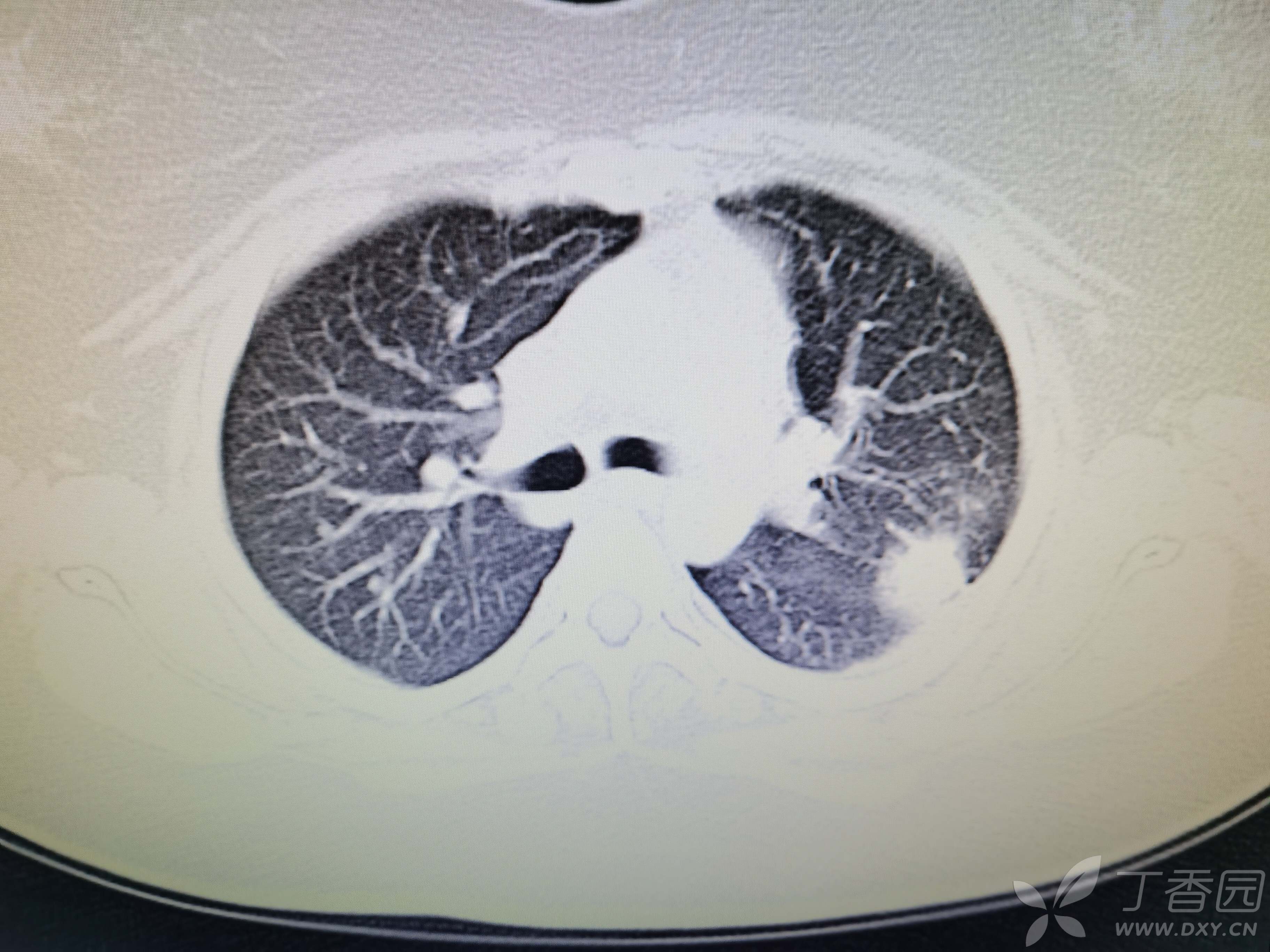
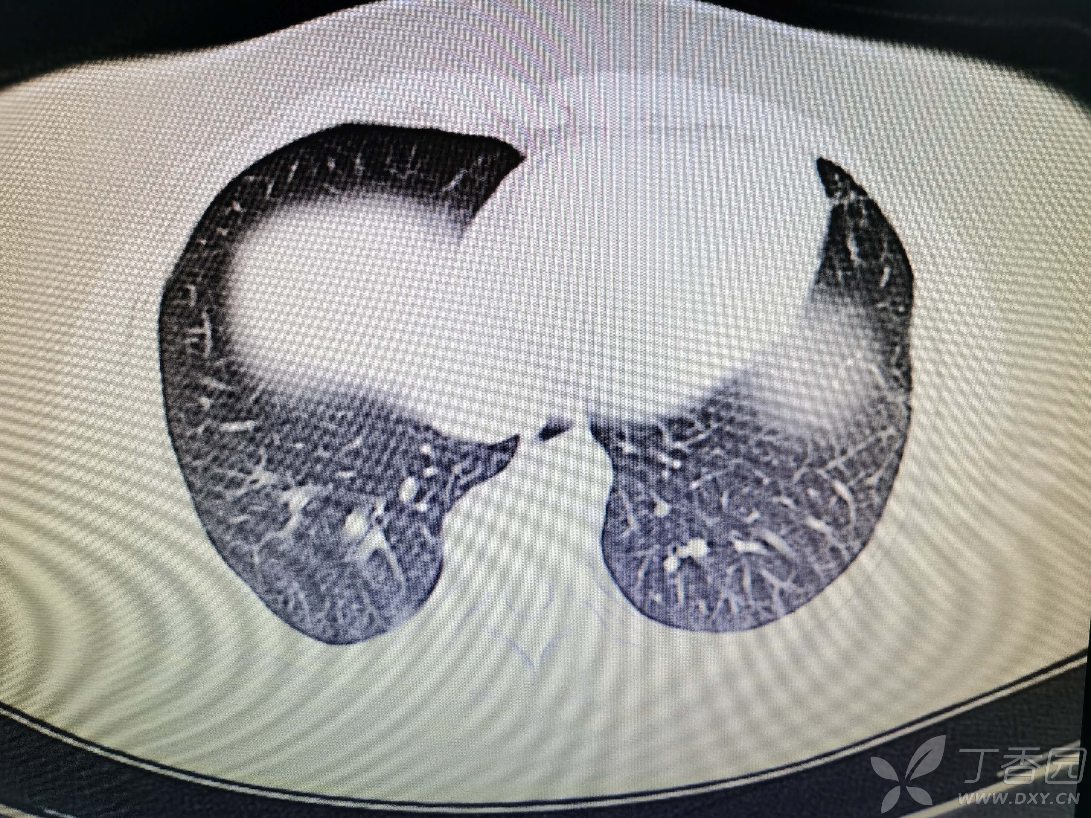
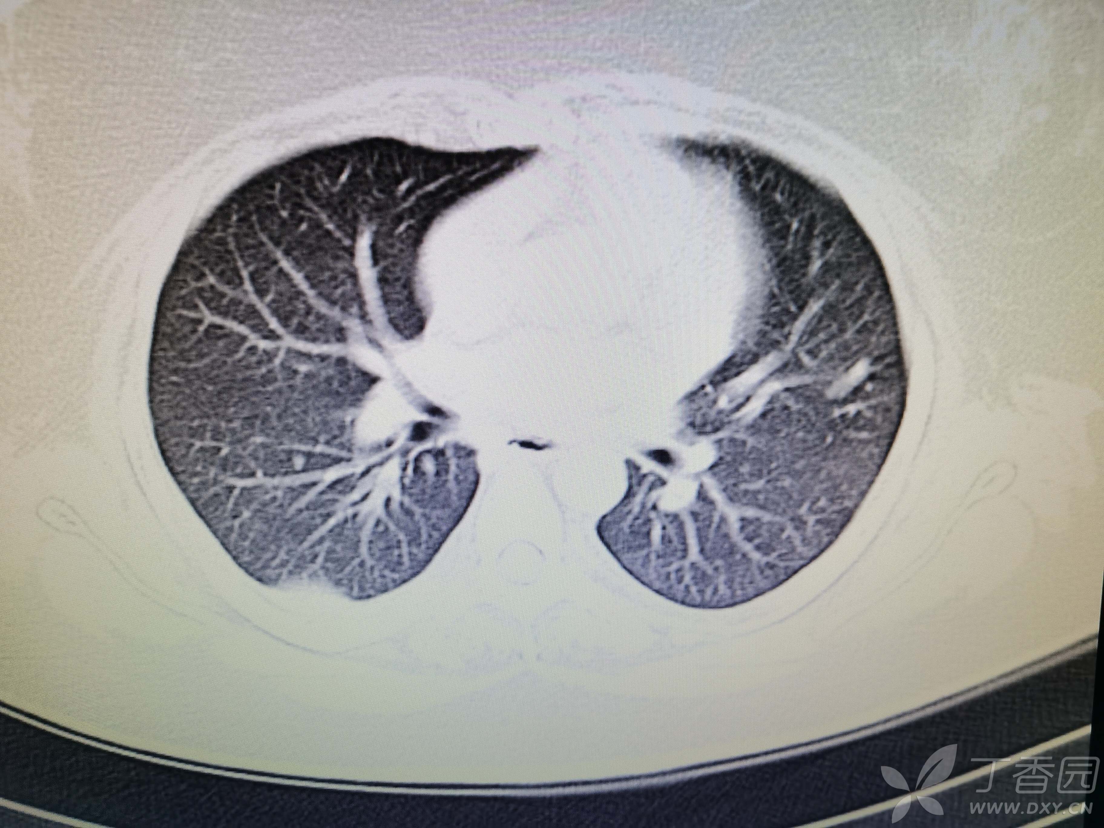
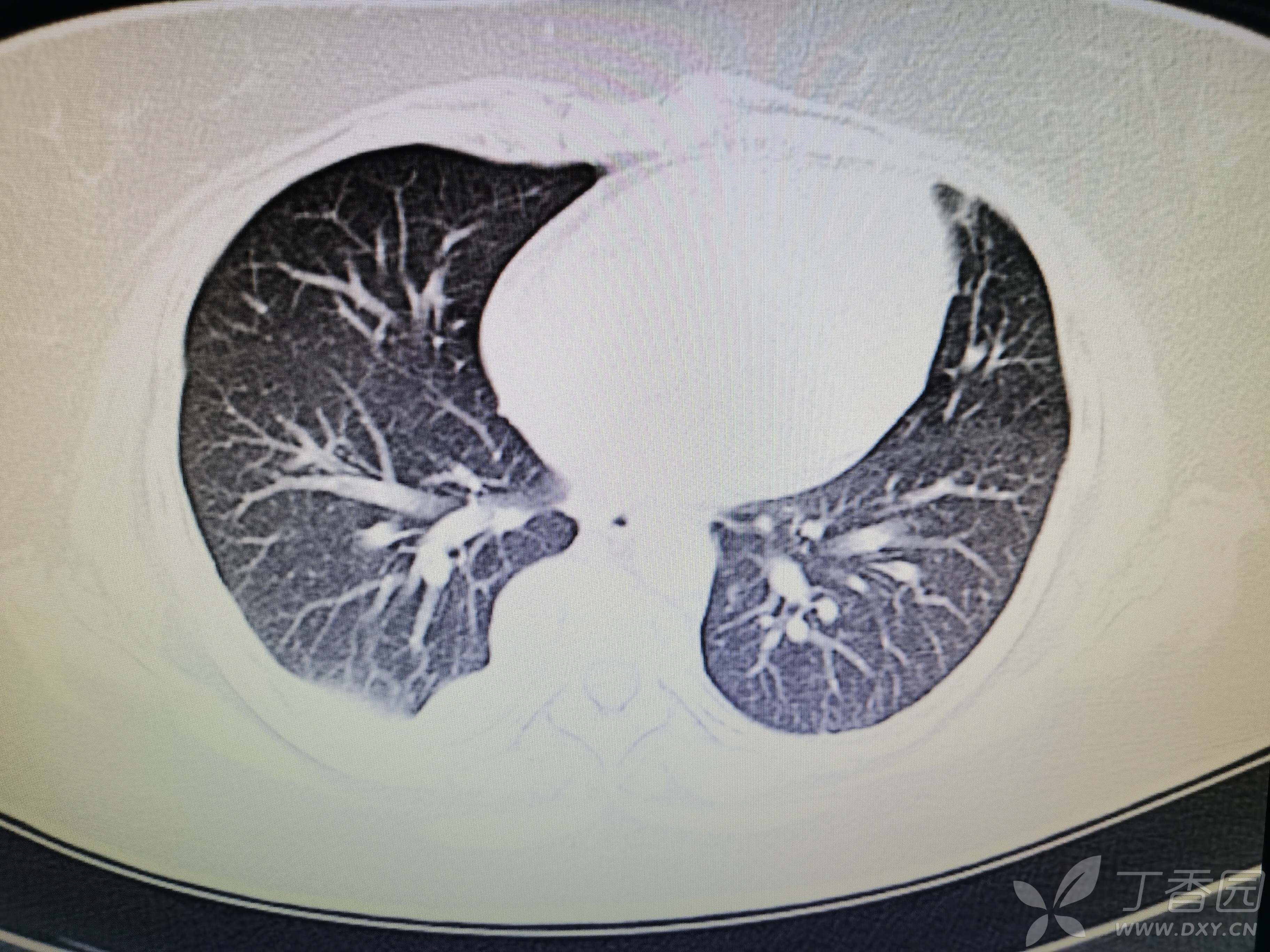
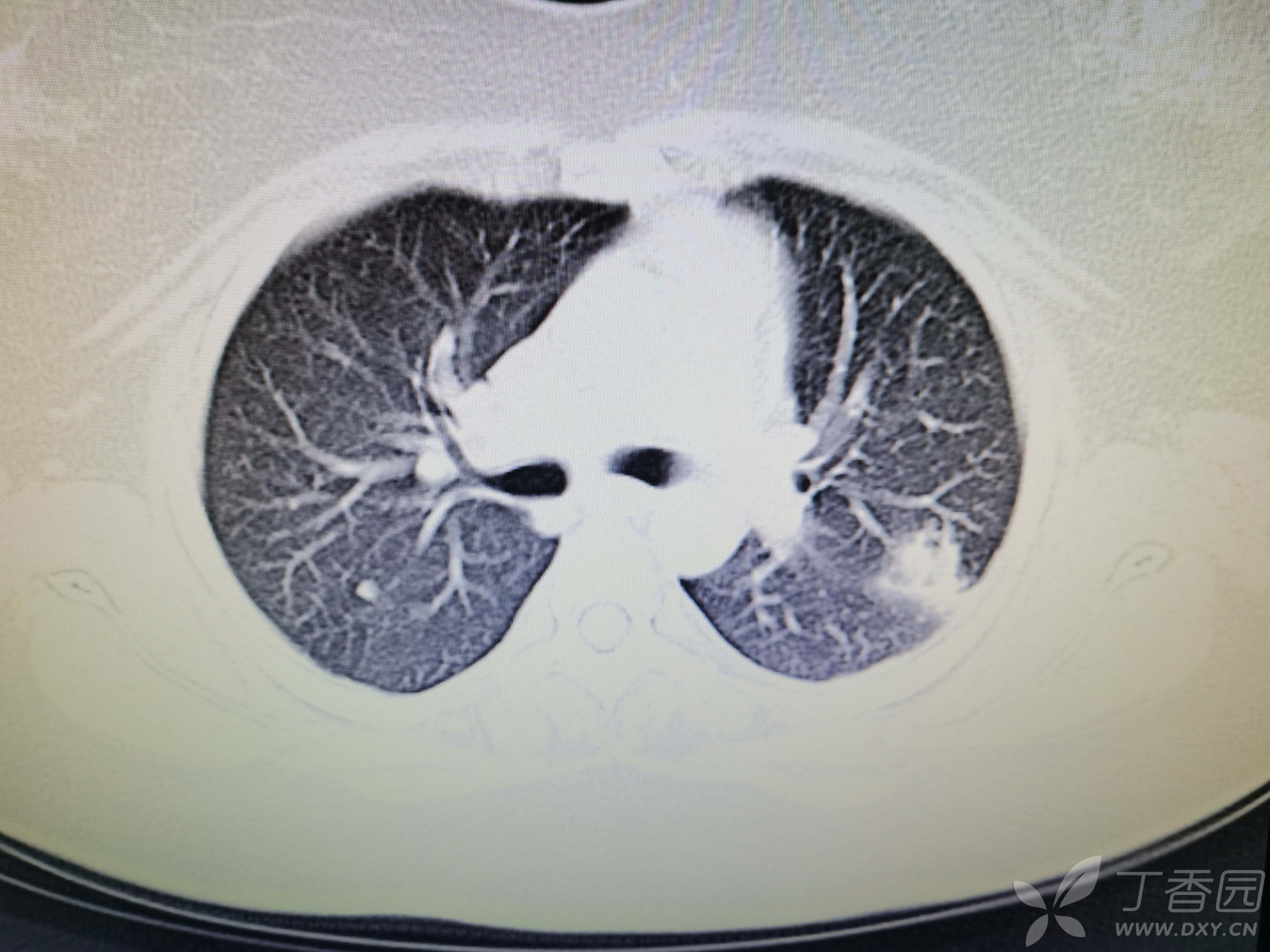
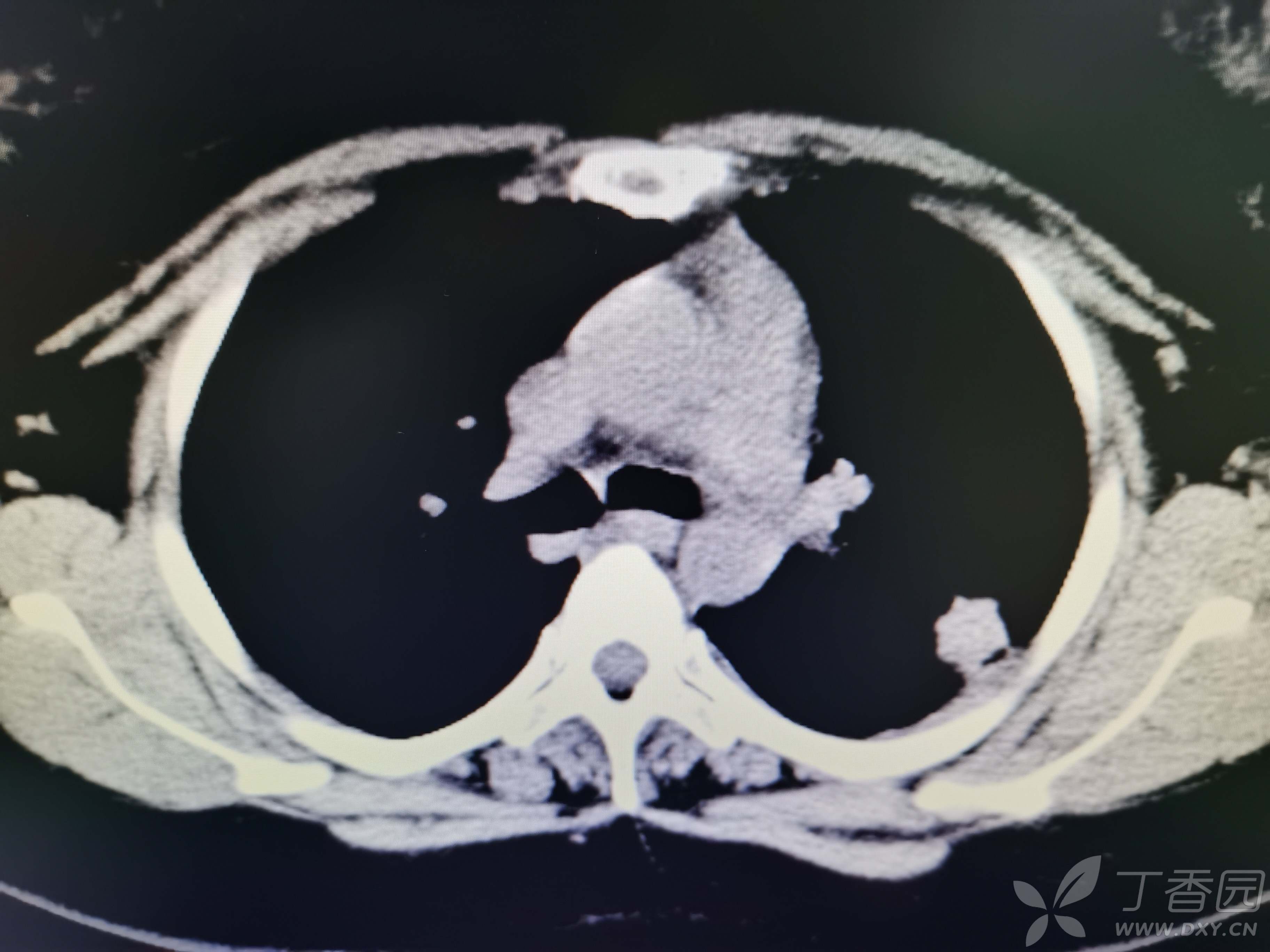
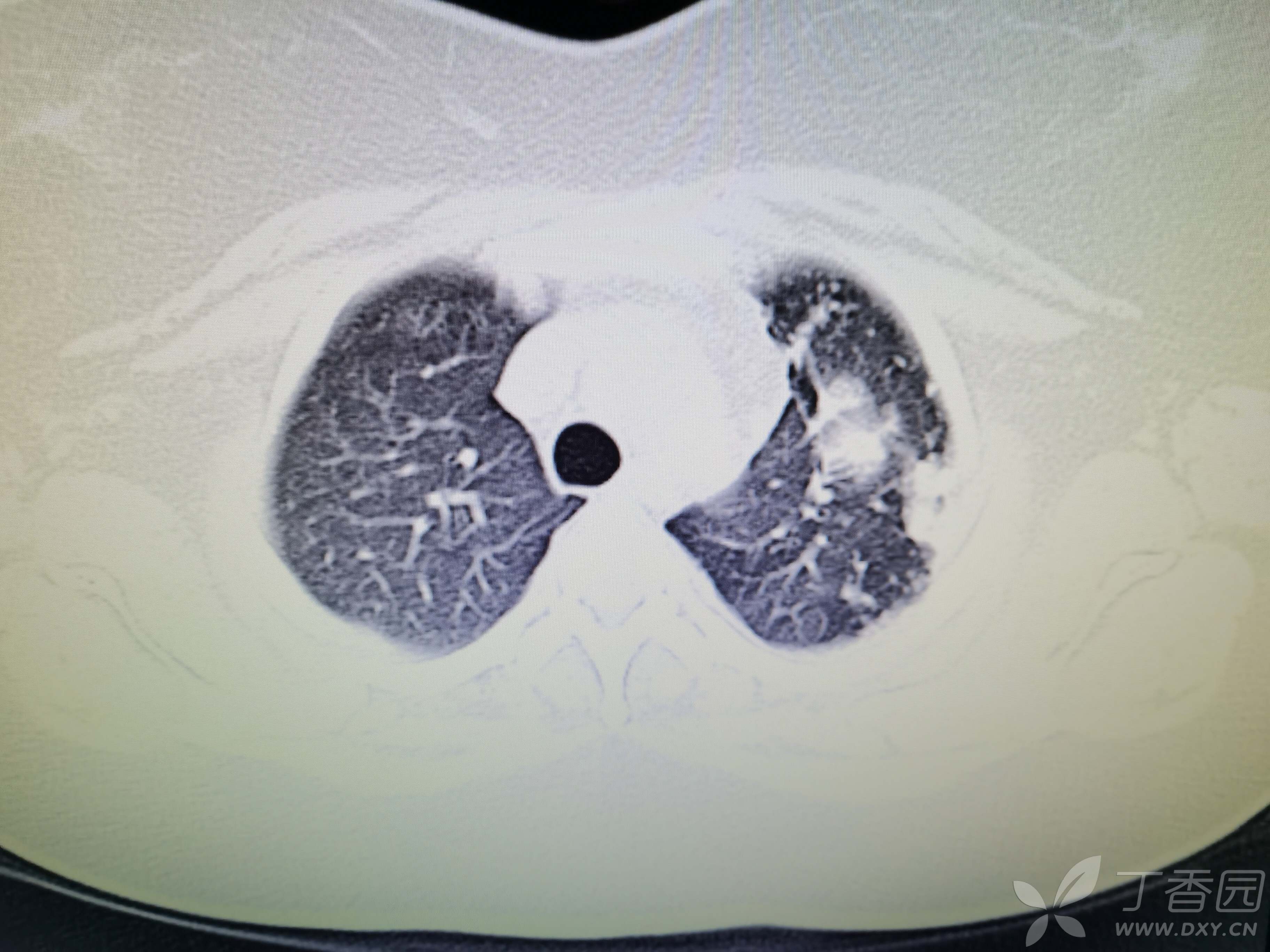
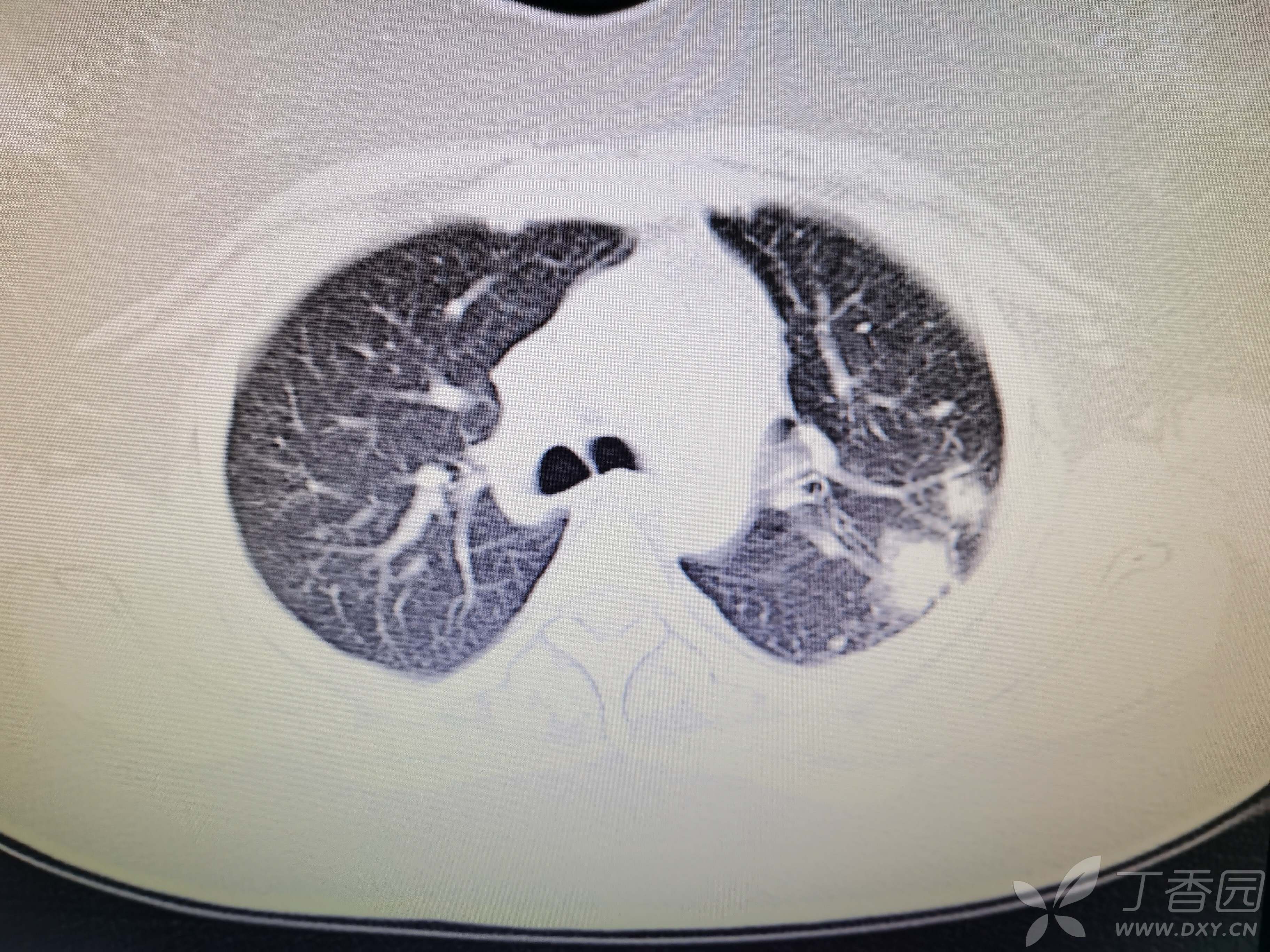
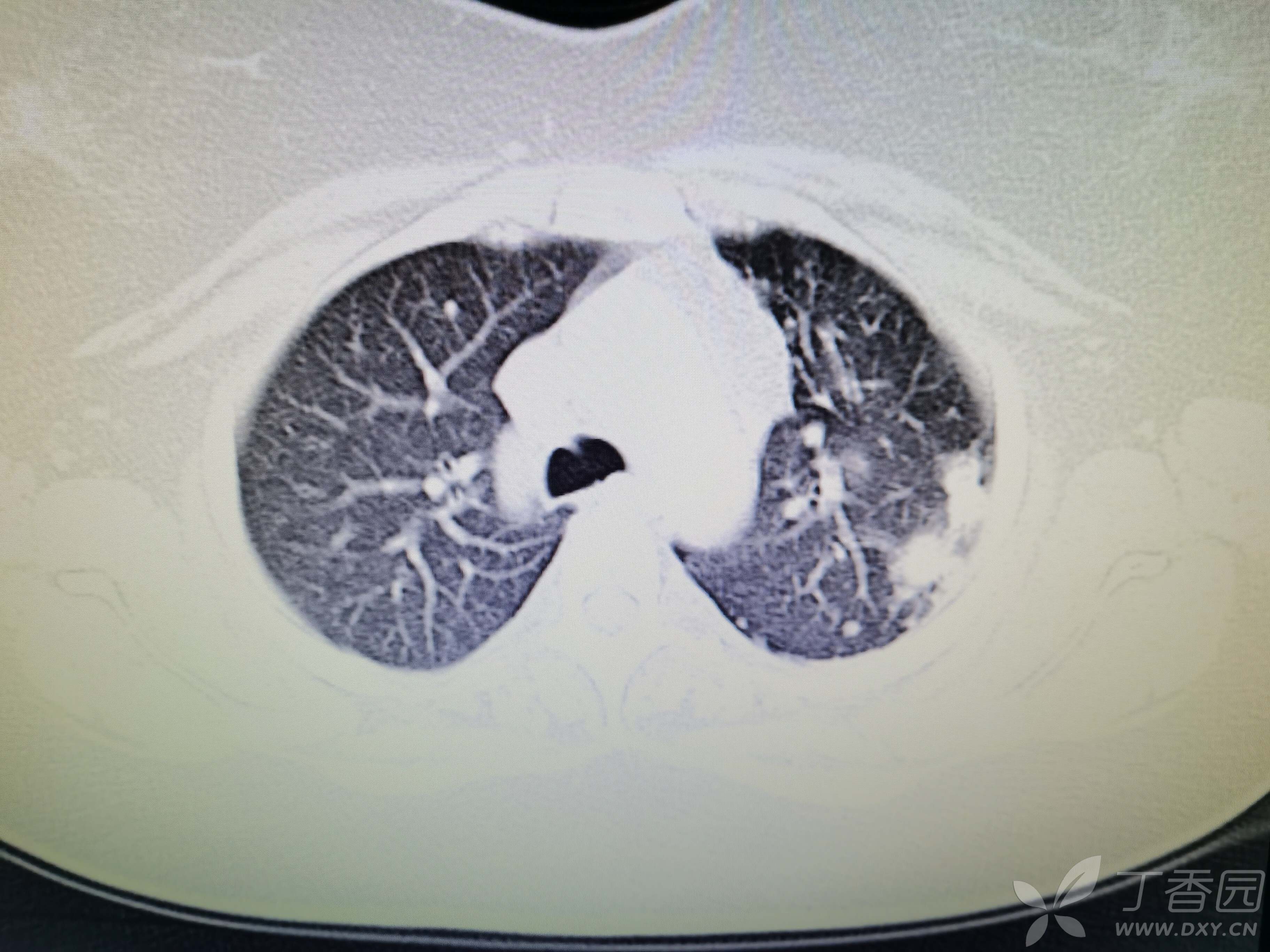
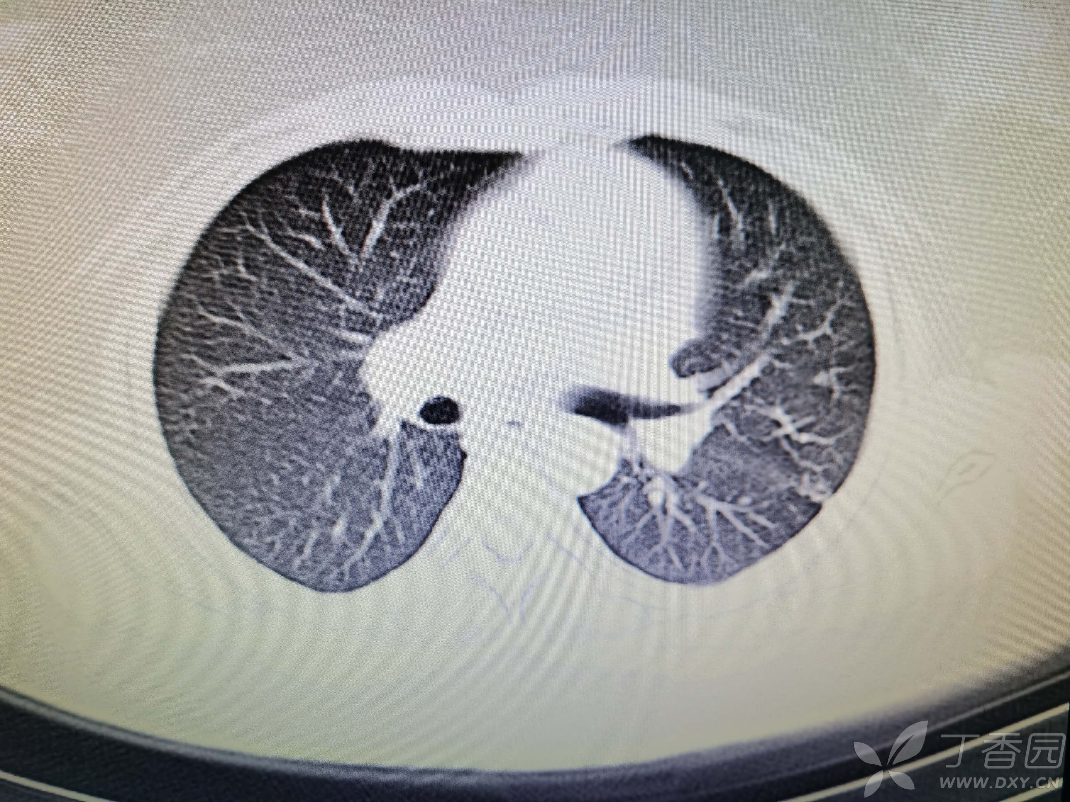
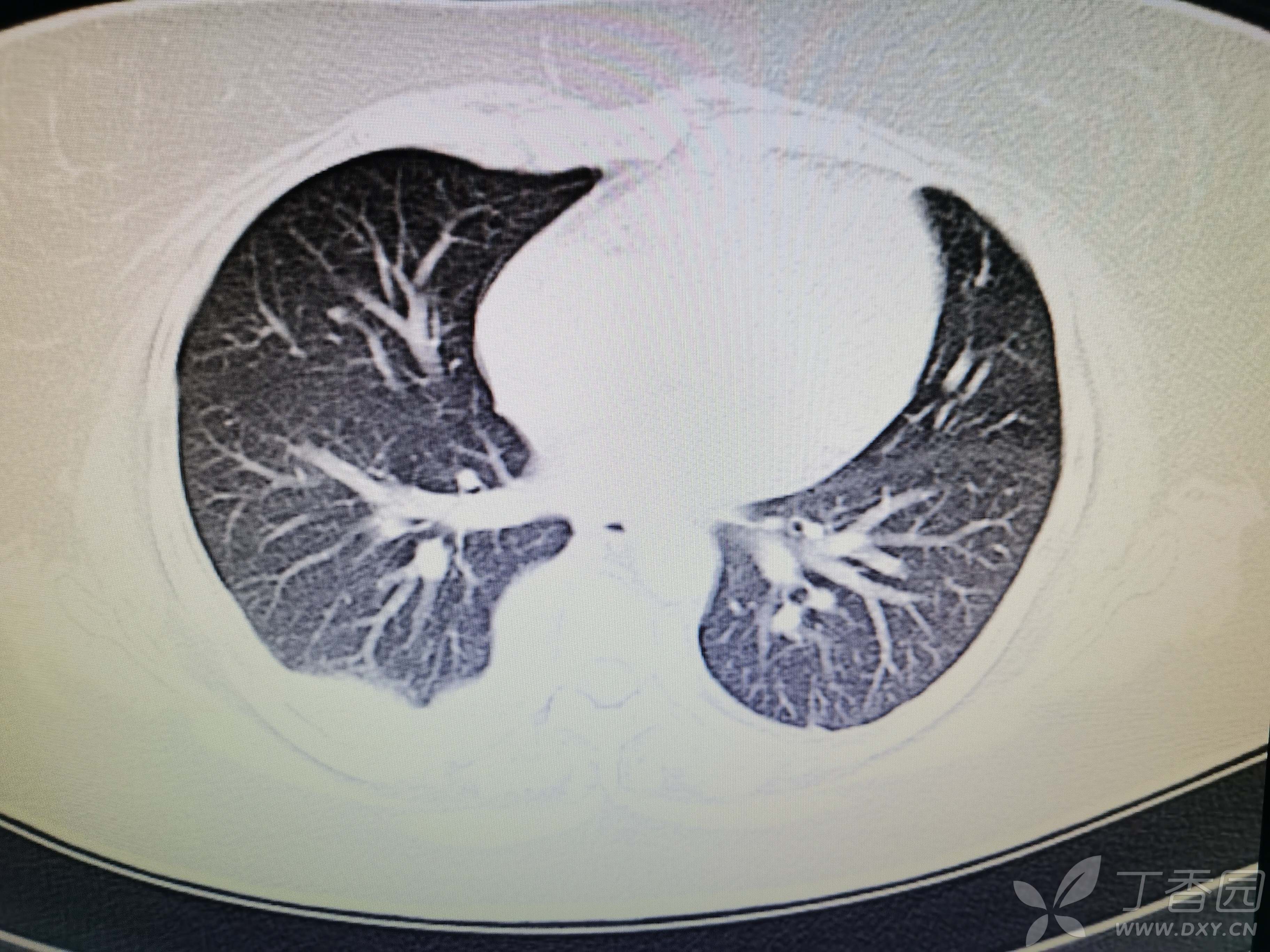
基本信息:女,三十几岁,印度人。。

其余略。

胸部CT:

previewplay video
img
img


img


img


img


img


img


img


img


img


img


img


img


img


img


img


img


img


img


img


img


img


img


img


img


img


img


img


img


img

如题:猜肺部病灶病理。。

16 15 11

全部讨论(0)

默认最新
avatar
16
分享帖子
share-weibo分享到微博
share-weibo分享到微信
认证
返回顶部