患者的腰背痛是肺炎还是尿路结石引起的?(得细心,这个很有意思)(俱乐部3)
患者性别:男
患者年龄:69岁
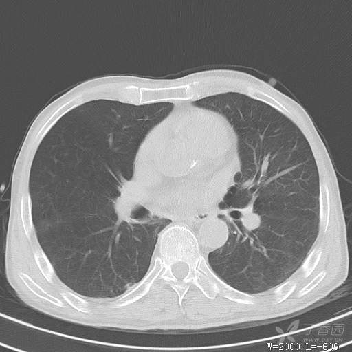
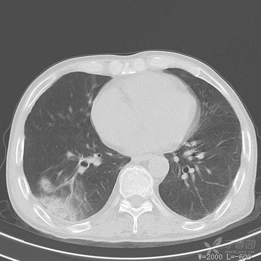
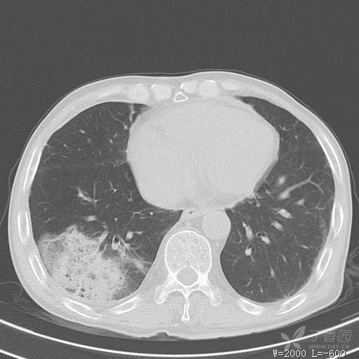
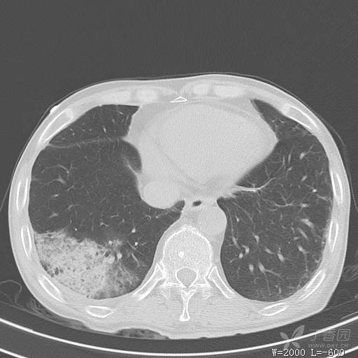
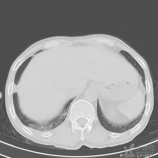
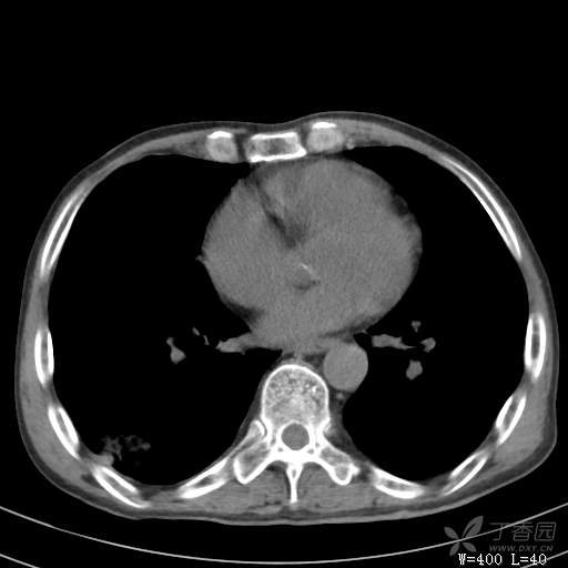
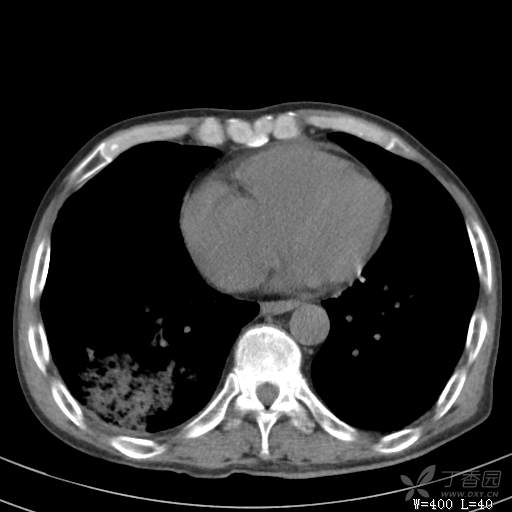
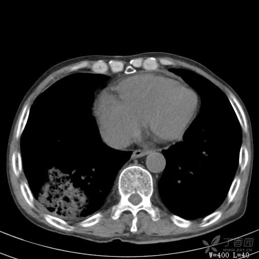
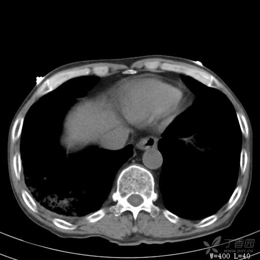
简要病史:主因发热伴腰背部疼痛2小时于2018-06-27,09:30 入院。患者无高血压,冠心病、糖尿病病史,无慢性咳喘史,不吸烟。否认食物药物过敏史。患者于入院前2小时出现发热,体温37.5℃,无咳嗽,咳痰,伴右侧腰背部疼痛,伴呕吐2次,呕吐物为黄绿色胆汁,大便2次,为稀便,无咯血,无胸闷、憋气,无鼻塞、流涕,无尿频、尿急、尿痛,就诊于我院,我院急诊查:上腹部CT:右肾结石,右下肺感染性疾病可考虑,血常规WBC13.54*109/L,GR%45.8%,急诊以“发热待查:肺感染?”收入院。
体格检查:查体:T:37.5℃;P:90次/分;R:20次/分;Bp:90/60mmHg,神清,呼吸平稳,浅表淋巴结不大,双肺叩清音,双肺未闻及干湿性啰音,心率90次/分,律齐,无杂音。腹部平坦,软,右腹压痛,无反跳痛及肌紧张,肝脾肋下未触及,右腰背部叩痛明显,肠鸣音可,双下肢无水肿。
辅助检查:上腹部CT:右肾结石,右下肺感染性疾病可考虑,血常规:WBC13.54*109/L,GR%45.8%,。心肌酶示:谷草转氨酶12U/L,乳酸脱氢酶328U/L,肌酸激酶20U/L,肌酸激酶同工酶7U/L,α-羟丁酸脱氢酶277U/L,查凝血常规示:凝血酶原时间12.5秒,国际标准化比值1.07,活化部分凝血酶原时间32.6秒,纤维蛋白原浓度1.77g/L,凝血酶时间15.6秒。
临床诊断:1.腰背部疼痛原因待查:1.肺炎?2.泌尿系结石?。
治疗经过:抗感染及止痛对症处理。治疗效果不好,患者腰痛是由什么引起的?


































































