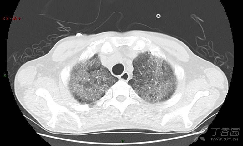
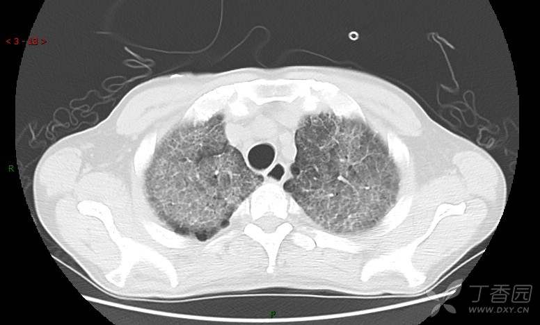
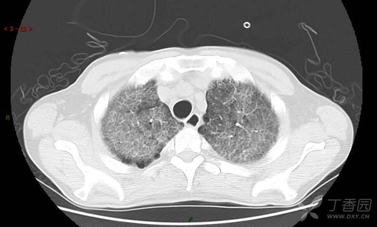
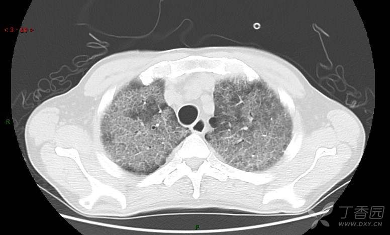
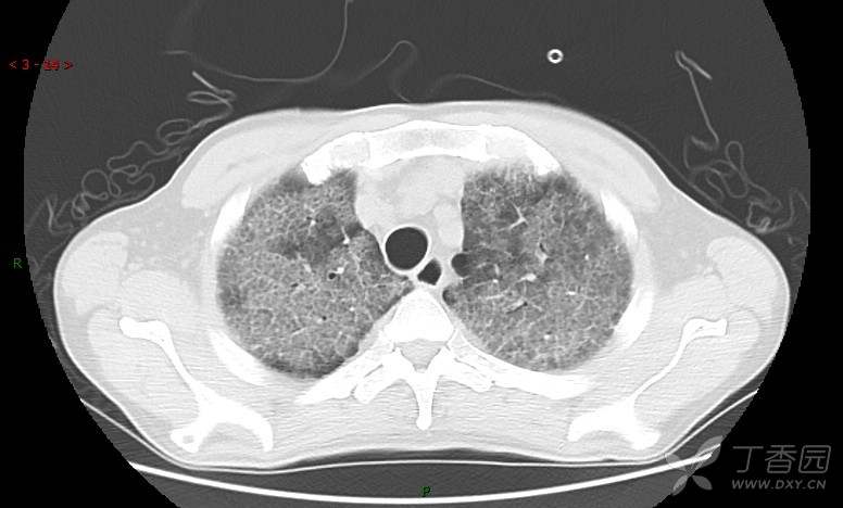
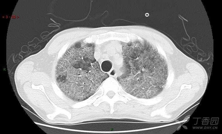
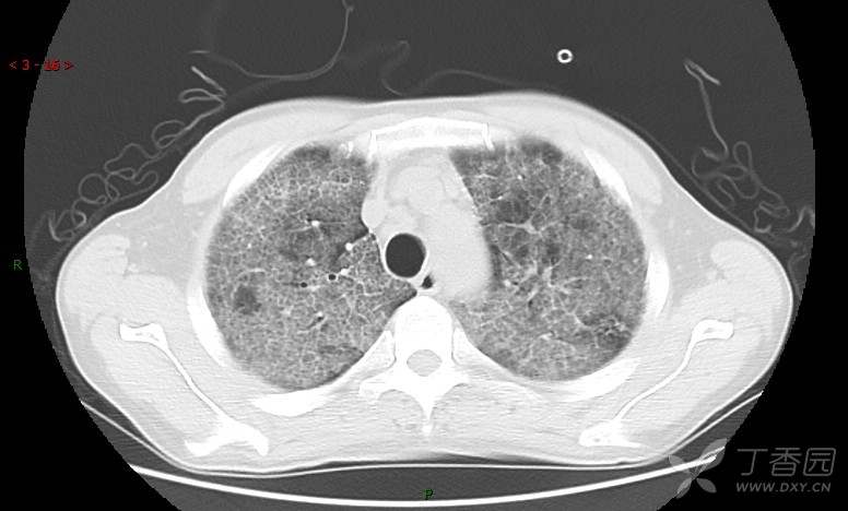
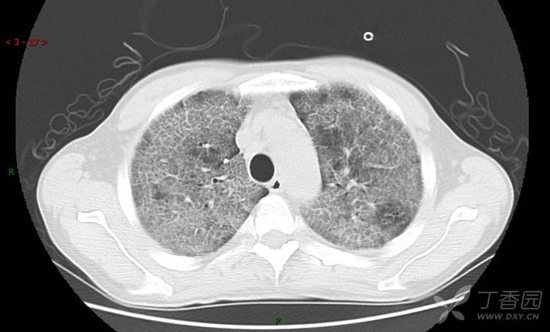
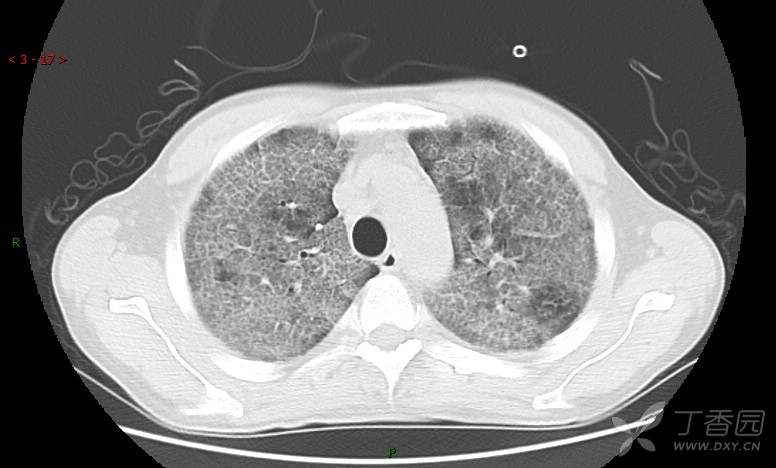
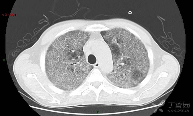
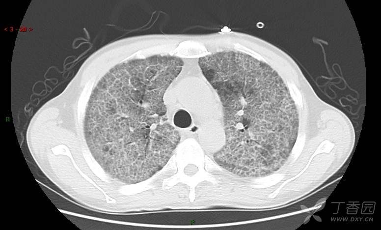
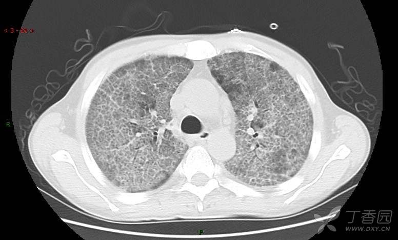
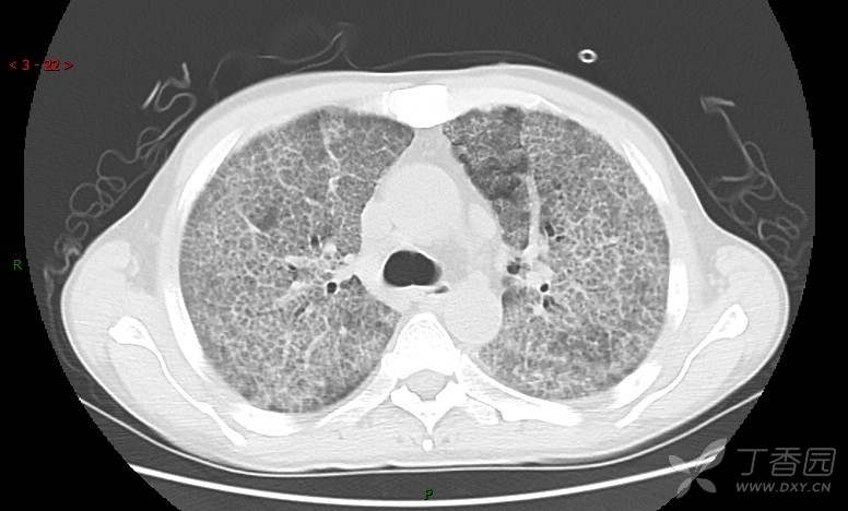
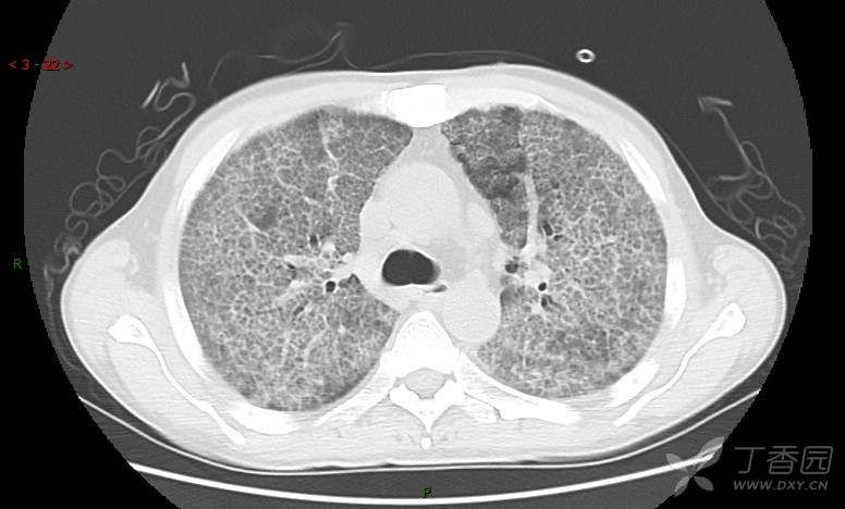
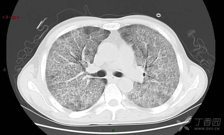
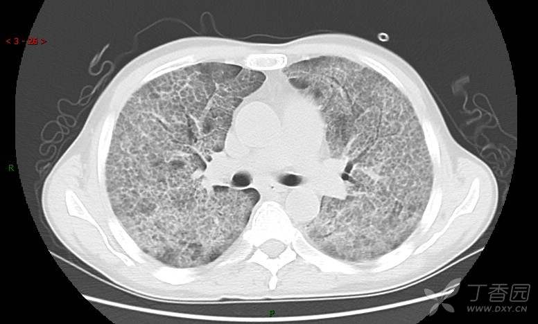
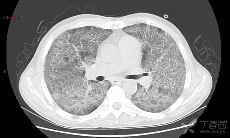
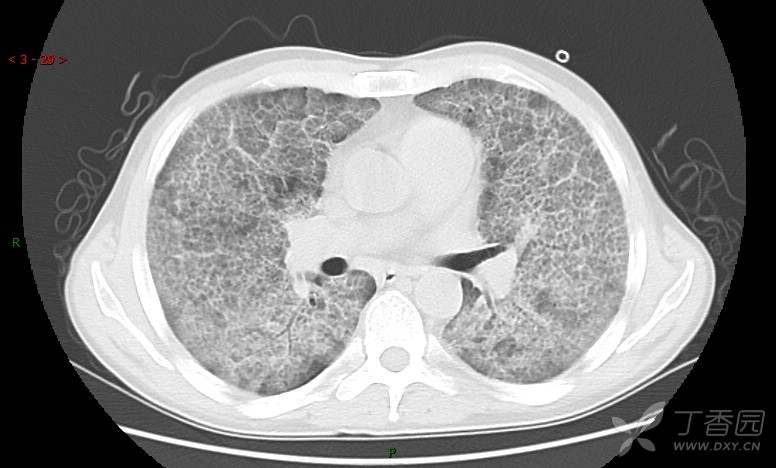
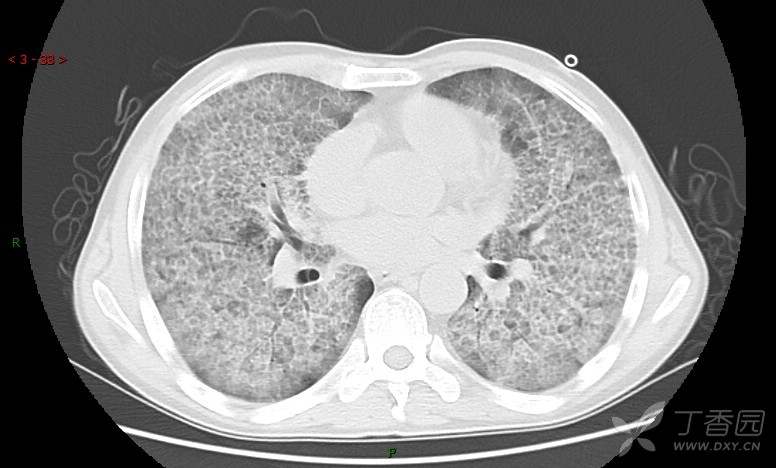
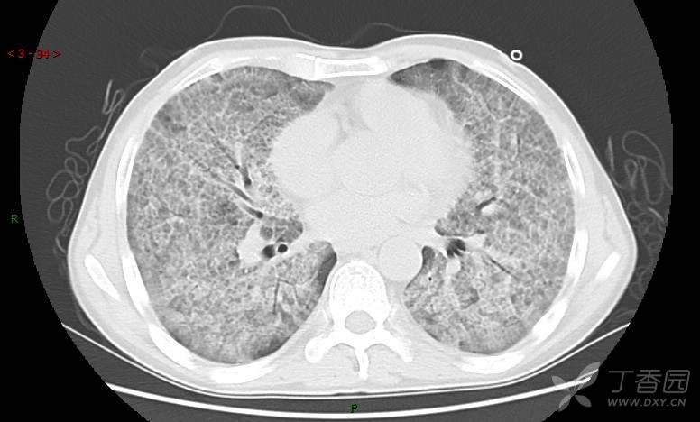
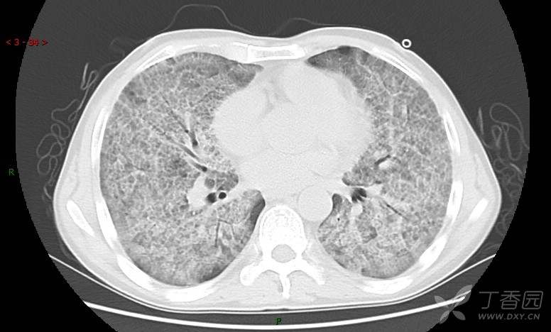
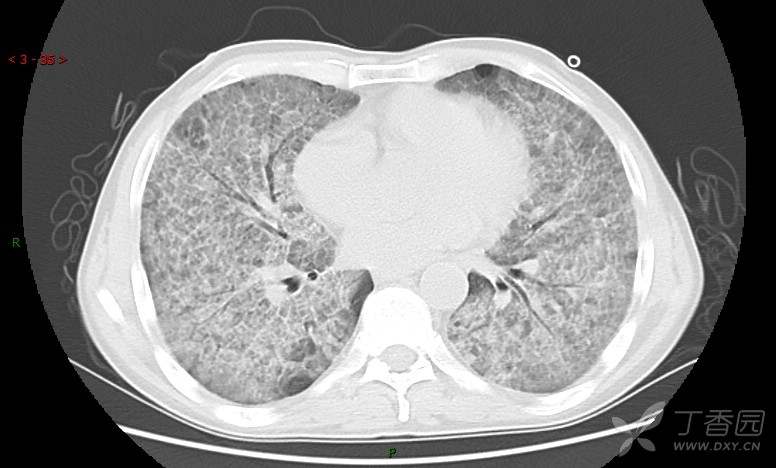
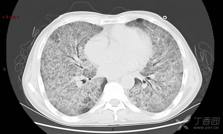
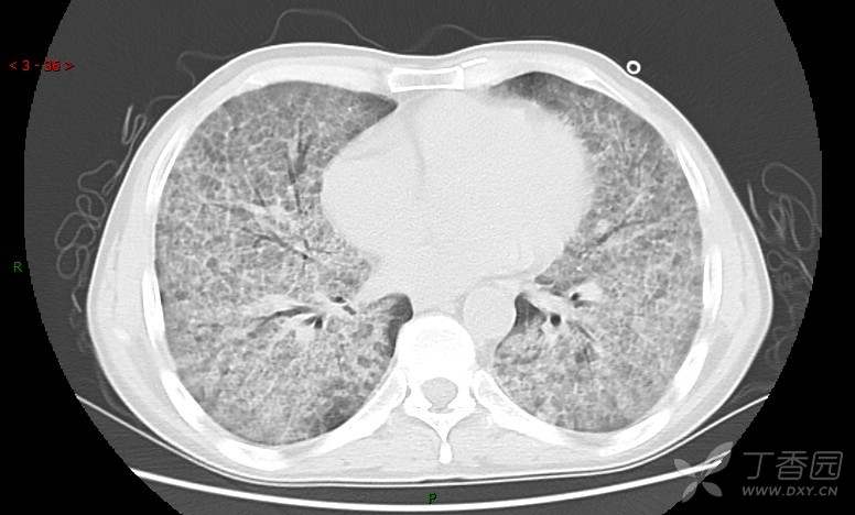
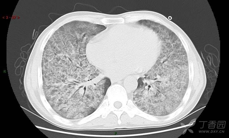
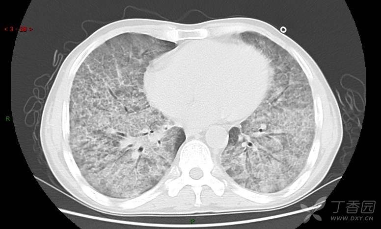
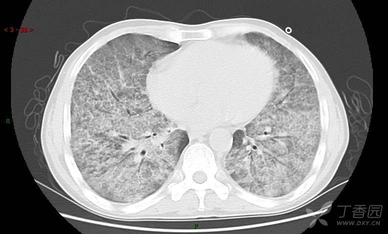
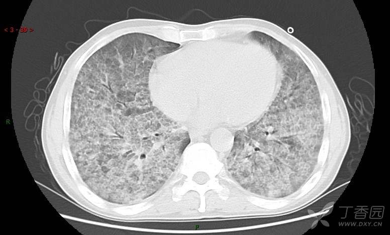
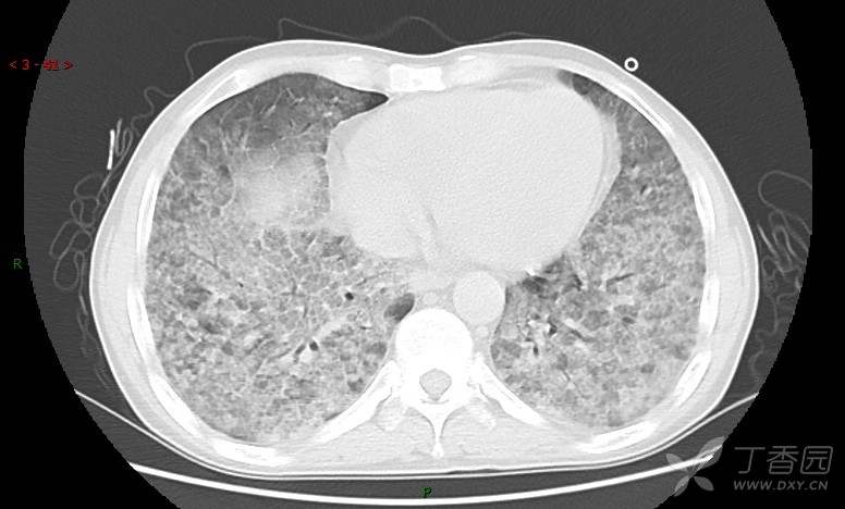
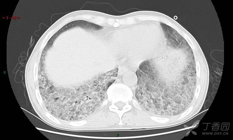
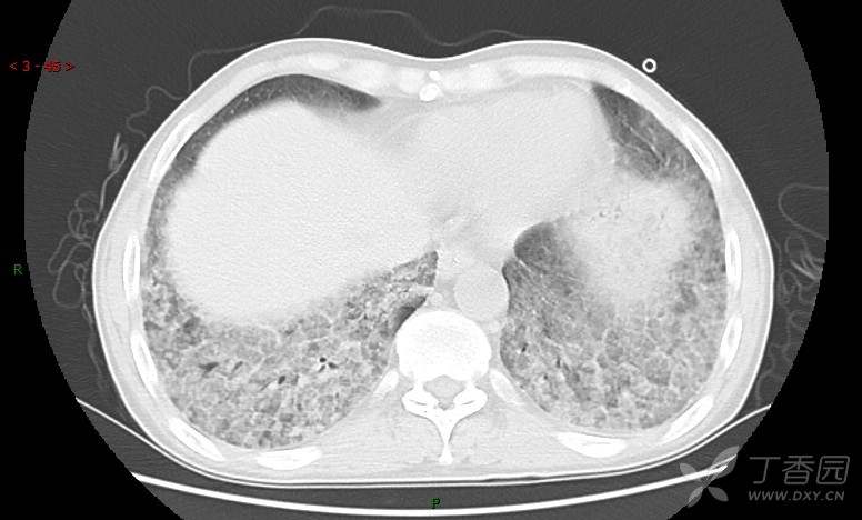
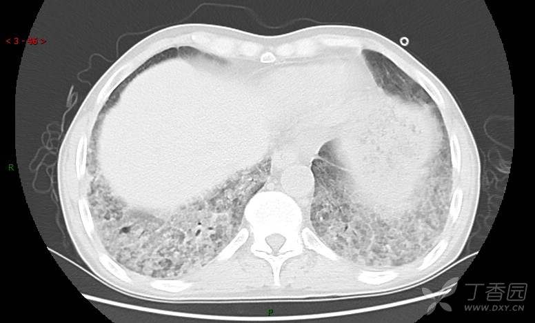
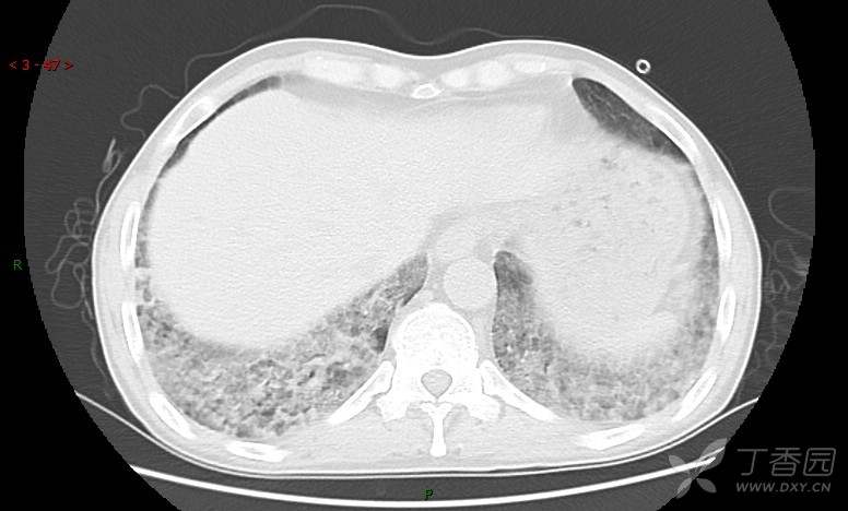
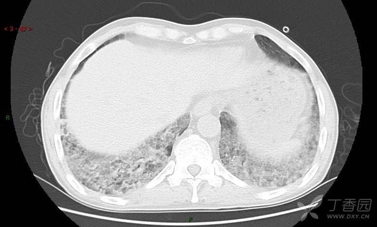
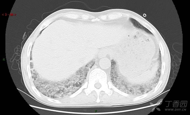
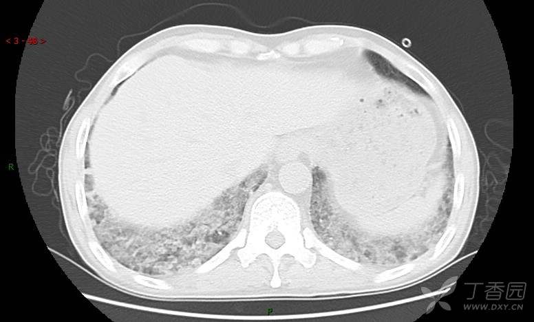
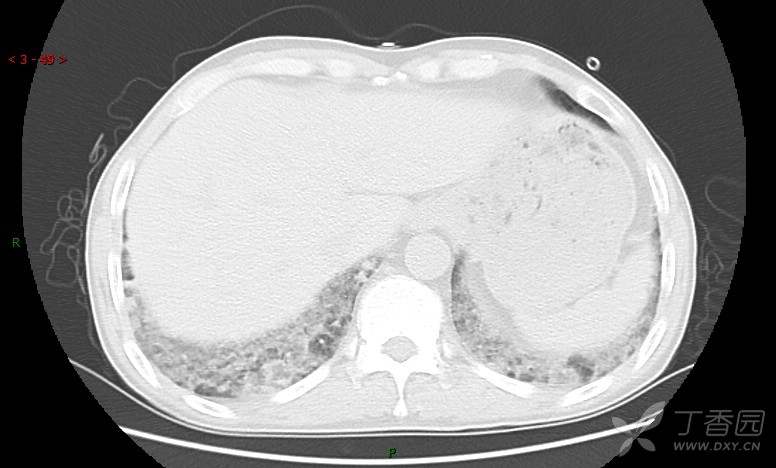
地图+铺路石征=PAP?那升高的CEA怎么说(病例3连发,附其他2例链接)
原帖名:刚入手的病例,看着都憋得慌,有PET/CT,请讨论(病例3连发,附其他2例链接)
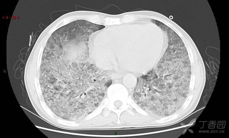
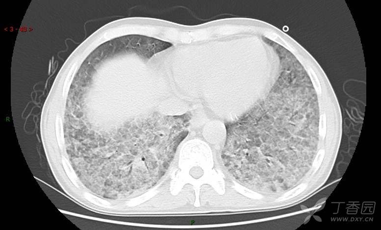
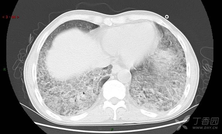
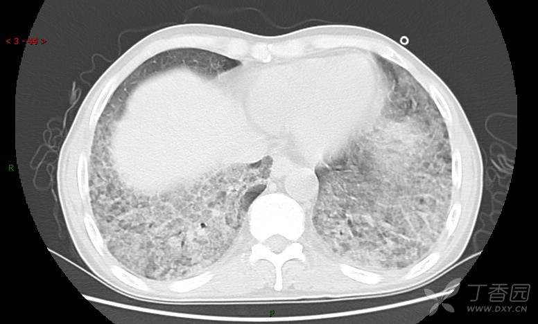
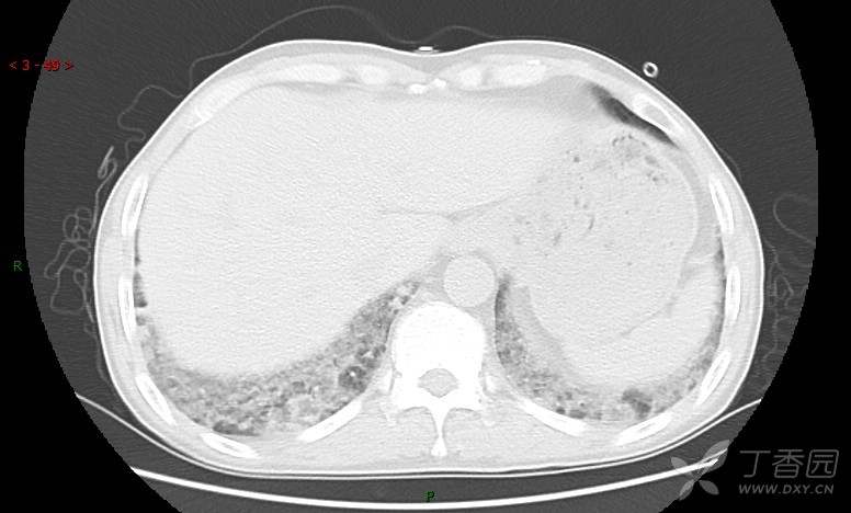
患者男,42岁,咳嗽半年余,加重伴憋喘2月余。
患者半年余前无明显诱因出现间断咳嗽,干咳为主,偶咳少量黄白痰,剧烈咳嗽或运动后可出现轻度憋喘,无高热、脓臭痰,无胸痛、咯血及晕厥,无低热乏力及盗汗,无心前区压榨感及夜间阵发性呼吸困难,初未在意,未予正规诊治。2月余前患者自觉上述症状较前加重,咳嗽、憋喘明显,黄白色粘痰略有增多,伴有发热,热前伴有畏寒、寒战,体温最高达38.9℃,先后就诊多家医院,入住重症监护室,未行气管插管,考虑“重症肺炎”,给予“美罗培南、复方磺胺甲噁唑”等药物抗感染,“卡泊芬净”抗真菌,并给予“甲泼尼龙”等药物治疗35天,经治疗后症状好转于2018-04-02出院。患者自出院后仅应用中药治疗(具体不详),并给予家庭氧疗,平素仍有间断咳嗽,咳少量黄白色粘痰,活动后憋喘明显,活动耐量差,以卧床为主。
血清肿瘤相关抗原116.22U/ml↑(0--95);
癌胚抗原 61.96 ng/mL ↑ 0--5
神经特异性烯醇化酶 33.12 ng/ml ↑ 0--16.3
细胞角蛋白19片段测定 40.23 ng/ml ↑ ≤3.3
附:
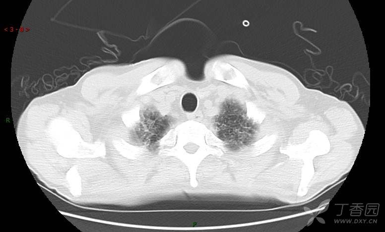
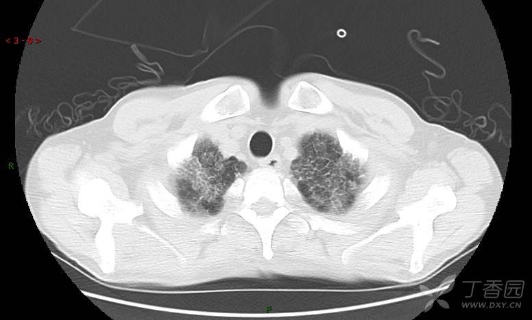
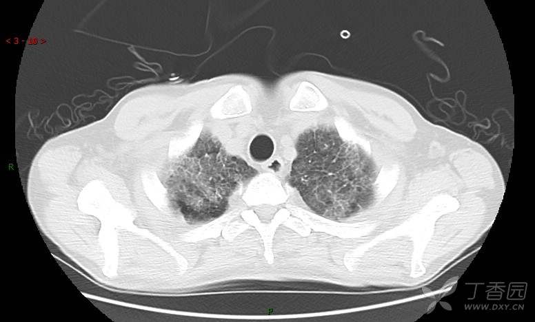
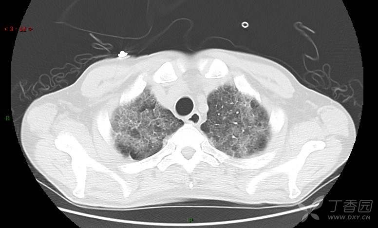
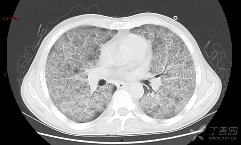
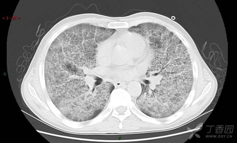
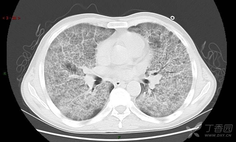
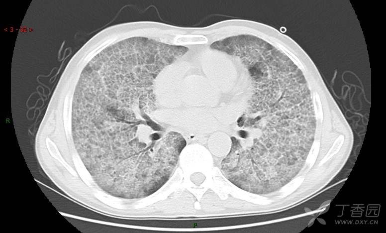
肺内弥漫性网状结节影,PET-CT却无阳性病灶,这是?(附其他2例链接)


























































































