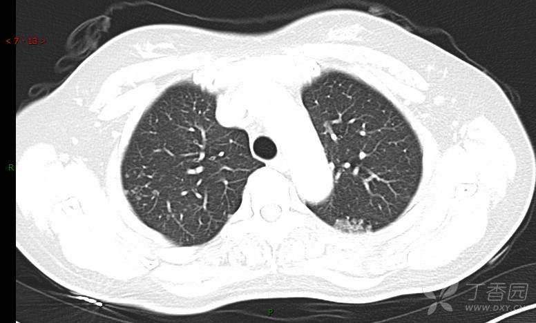
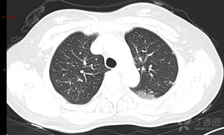
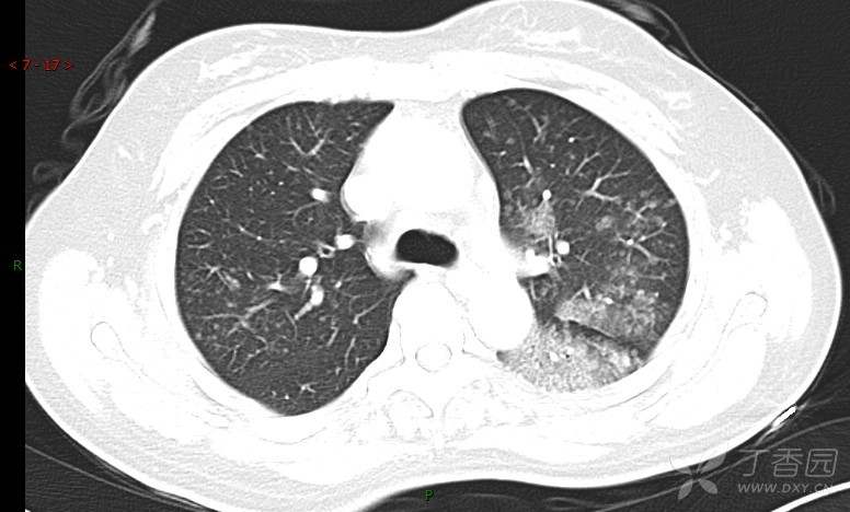
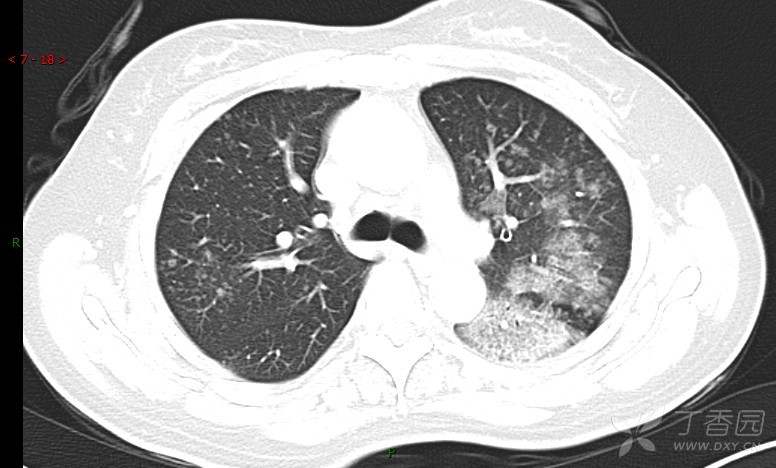
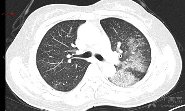
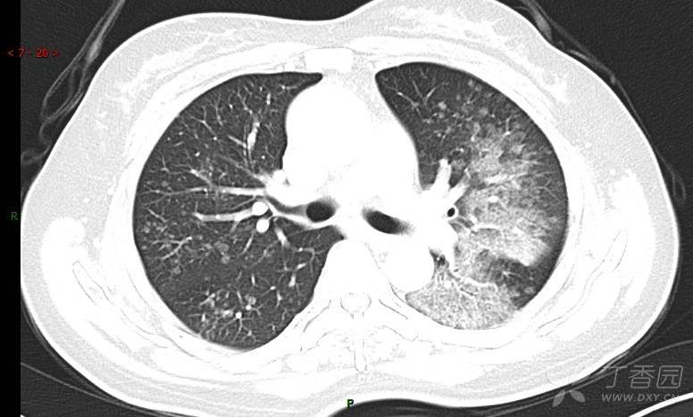
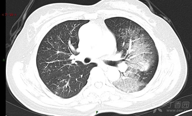
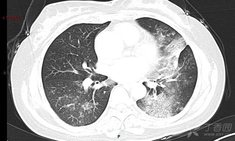
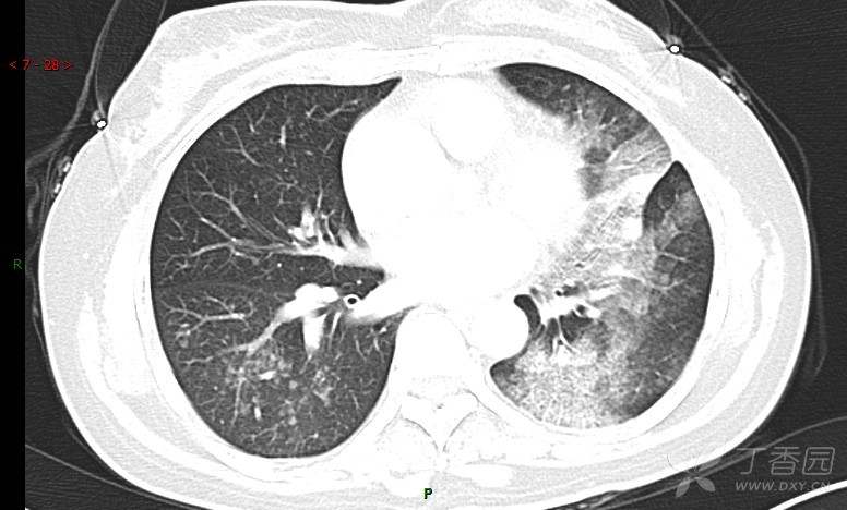
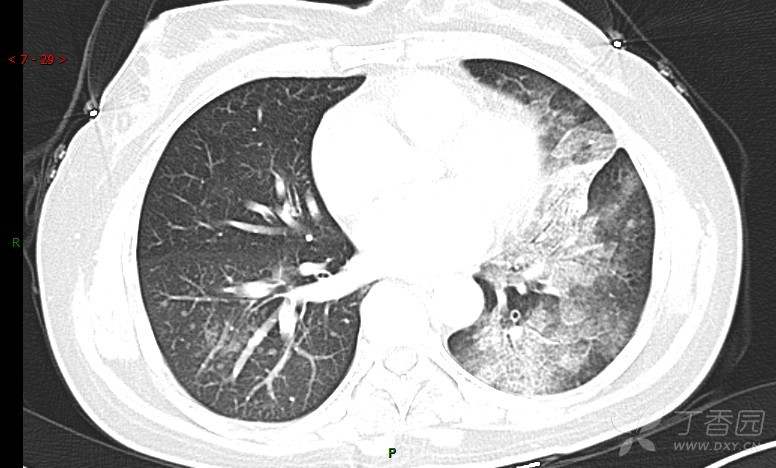
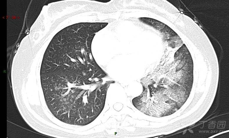
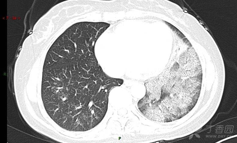
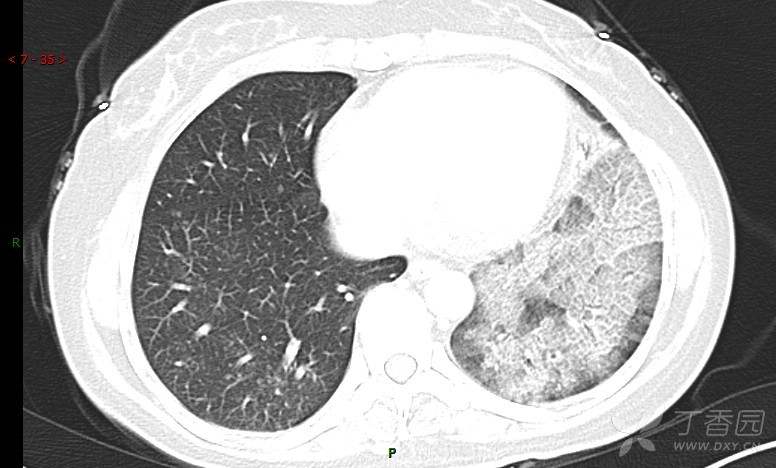
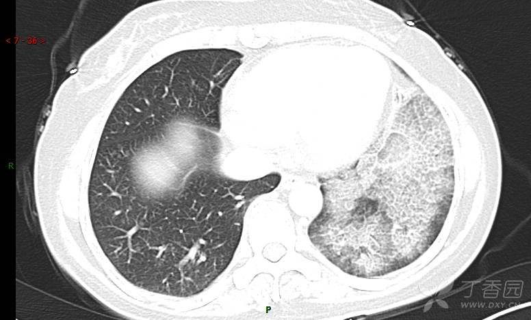
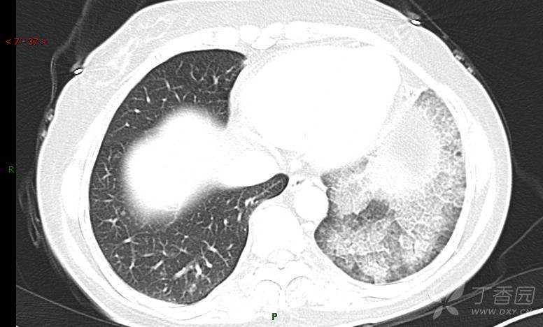
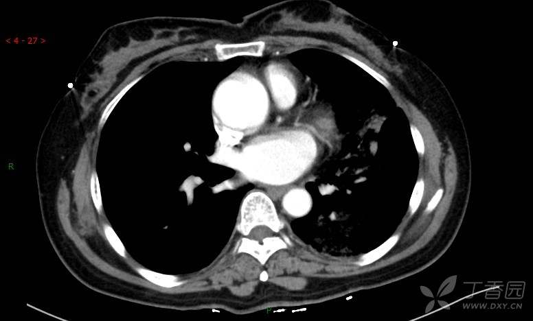
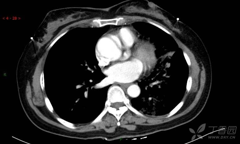
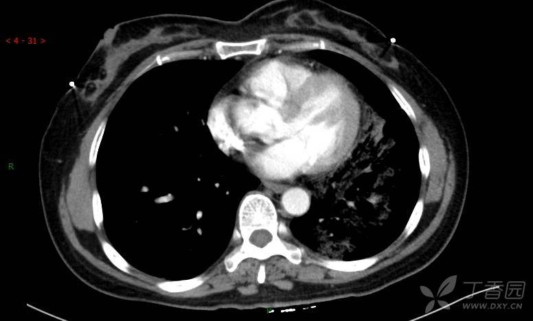
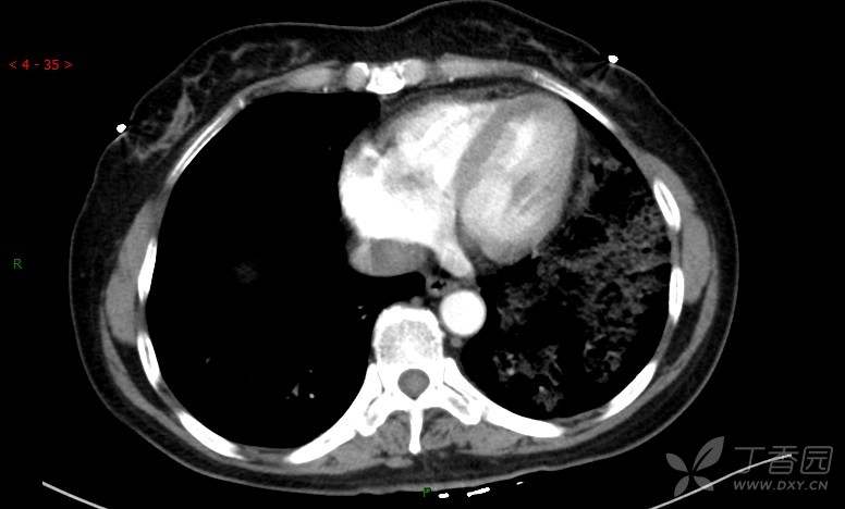
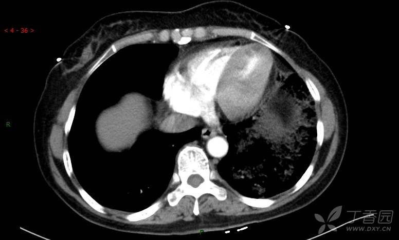
腺泡结节影,蜂窝征,这些都在提示……(病例3连发,附其他2例链接,病理已公布)
原帖名:胸部典型病例3(病例3连发,附其他2例链接)
咳嗽1年余,加重7天。
患者于1年余前始受凉后出现咳嗽,多为干咳,未在意,未到医院就诊。近3月患者出现咳痰,多为黄色粘痰,量大,伴乏力,偶有头晕、心慌,无发热、胸痛、憋喘,无低热、盗汗、咯血、胸痛,无头痛,无恶心、呕吐、腹痛、腹泻,无尿频、尿急、尿痛,在当地诊所给予抗感染等对症支持治疗(具体药物及剂量不详),症状仍时有反复。患者于1月余前到外院就诊,行胸部CT提示双肺炎症,左肺重,考虑为“间质性肺炎”,给予“左氧氟沙星、利巴韦林、头孢哌酮舒巴坦钠注射液”治疗,复查胸部CT示病灶吸收不理想,后出院继续于诊所对症治疗(具体药物及剂量不详),效果欠佳。7天前患者无明显诱因出现上述症状加重,为求进一步诊治,特来我院就诊,我院门诊以“肺炎(重症)?”收入留观室,留观室给予“盐酸莫西沙星氯化钠”等对症治疗后,今日转入我科。患者自发病以来,神志清,精神差,饮食正常,睡眠增多,大小便正常,体重近3月减轻5公斤余。
肿瘤标志物未查。
附:























































































