心狠手辣,越南前医生用钉锤敲断投保人骨头,骗保超60亿,
killer-dong 达人已点赞近日,越南富寿省(Phú Thọ)警方破获了一起骇人听闻、手段极其残忍的保险诈骗案,其作案细节令人毛骨悚然。
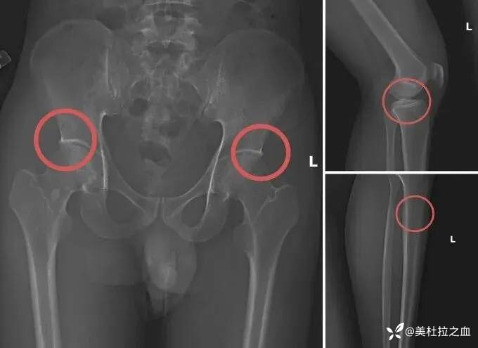
案中主谋是原锦溪县医疗中心(Trung tâm Y tế huyện Cẩm Khê)的卫生系统干部谢明洲(Tạ Minh Châu)。他竟利用自身的专业医学知识,策划并实施了一套系统性的骗保流程:先是诱使他人购买高额人寿保险,随后亲自为他们注射麻醉剂,在受害者意识不清的情况下,使用钉锤等工具,冷酷地凿断他们的骨骼,人为制造出与真实事故几乎无法区分的骨折痕迹。

完成这令人发指的伤害后,谢明洲及其同伙,包括黄文长(Hoàng Văn Trường)、黄文胜(Hoàng Văn Thắng)、黄氏红叶(Hoàng Thị Hồng Điệp)和阮英勇(Nguyễn Anh Dũng)等人,还会精心布置假的意外事故现场,例如伪造触电跌倒或失足落溪的场景,并制作全套看似合规的医疗记录,以此向保险公司申请高额赔付。
据富寿省(Phú Thọ)公安机关于11月14日通报,调查机构已对上述嫌疑人采取了紧急拘留措施。这起案件之所以能够长时间得逞,关键在于主犯谢明洲利用了其在医疗系统长期工作的经验和知识。
他不仅深刻了解人体骨骼结构和易骨折部位,更精准掌握了各大保险公司,包括Manulife、AIA、Dai-ichi Life、FWD、Sun Life、Chubb Life等,对于不同部位、不同类型骨折的理赔政策和赔付标准。
他还知道哪些部位的骨折能获得最高额的赔偿,从而在作案时能够"精准下手",刻意在赔付率高的骨骼位置制造伤害。这种利用专业知识进行的犯罪,极具隐蔽性和欺骗性,使得保险公司在常规审核中难以察觉异常,误以为这些是真实的意外伤害事故。

伤口系周某自残所致
警方揭露,该诈骗团伙运作组织严密,计划周详。他们的犯罪链条完整,从前期物色并游说目标购买保险,到中期实施残酷的伤害行为并伪造现场,再到后期准备和提交完整的理赔文件,每个环节都经过了精心设计。其手段被警方严厉谴责为"残忍、无人性、完全漠视参与者的健康与生命"。
初步调查结果显示,该团伙通过此种令人发指的方式,已成功从多家知名保险公司骗取了总额超过60亿越南盾的巨额赔款,其中仅Manulife一家公司就被骗取了高达26亿越南盾

这是该团伙进行麻醉和骨科手术的现场
此案不仅造成了保险公司的巨大经济损失,更严重的是,它践踏了基本的医学伦理和人道主义精神,将救死扶伤的医学知识异化为实施完美犯罪的工具,对社会诚信体系和保险行业的健康发展造成了恶劣影响。
目前,案件仍在进一步深入调查中,等待这些漠视生命的罪犯的,必将是法律的严惩。
















































