dxy logo
首页丁香园病例库全部版块
搜索
登录

病例外地三甲医院推荐来做ERCP的慢性胰腺炎患者,大家看看需要做吗?

消化内科版版主 · 发布于 11-11 · IP 上海上海
3570 浏览
icon西兰花饺子 推荐

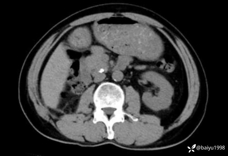
下午门诊看了一位老先生,外地给他做肾脏手术时发现了胰腺钙化,因此建议到我们长海医院来进行体外碎石和ERCP。我给他完善了MRCP和胰腺ct的检查,大家看看是否需要做进一步治疗

img
img
img
慢性胰腺炎 (27)
纠错
28 收藏7
同行评议(4)
已评议
不开通精选
开通精选
精选已授权,待上线
评议结果暂未公布
参与评议
去邀请
4.3
病例完整4.3
临床实用4.3
诊疗科学4.3
学术价值4.3

全部讨论(0)

默认最新
avatar
28
分享帖子
share-weibo分享到微博
share-weibo分享到微信
认证
返回顶部