患者多脏器衰竭病因是什么?
病例信息
患者,女,83岁,主因纳差、乏力10余天,加重伴发热1天于2025-07-20入院。患者于入院10余天前无明显诱因出现纳差、乏力,伴情绪低落,言语交流障碍,无发热,无恶心、呕吐,无明显咳嗽、咳痰,未予诊治,上述症状逐渐加重,入院1天前患者上述症状较前明显加重,卧床状态,双眼向上凝视,不能交流,伴发热(未测体温),患者家属给予口服“布洛芬”退热治疗后来院。
家属诉患者既往“抑郁症”病史20余年,每次发病时出现情绪低落、交流减少、进食减少、活动减少、行为异常,并逐渐加重,直至不交流、不进食、不活动,每次持续1月余,后逐渐恢复正常,每年约3-4次左右,不发病期间活动、交流无异常,平时体健,无其他基础病。
查体:体温:41.0℃,脉搏:135次/分,呼吸:28次/分,血压:140/85mmHg。意识不清,双眼向上凝视,查体不能合作,平车入并发,颈两侧对称,可见颈静脉充盈,无颈动脉异常搏动。双侧胸廓对称,两肺叩清粗,可闻及少量湿性啰音,心前区无隆起,心尖搏动不明显,心界不大,心率135次/分,律整,心音低,各瓣膜听诊区未闻及病理性杂音。下腹部膨隆,叩诊为浊音,肝脾肋下未触及,双下肢无水肿。
辅助检查结果:头颅MRI+DWI:老年性脑改变,左侧基底节区缺血灶,脑白质高信号,Fazekas II级,颅脑DWI未见明显异常。
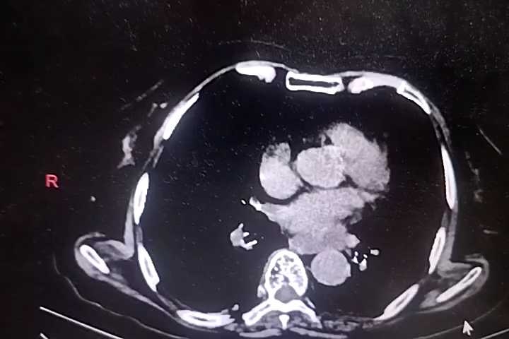
胸部+全腹部CT结果回报:双肺支气管炎,通气不良,双肺底多发索条,考虑1、膨胀不良2、慢性炎症,左肺下叶钙化灶,主动脉钙化,食管裂孔疝,纵隔多发淋巴结,肝门区钙化灶,胆囊密度低密度增高,考虑胆汁淤积,右肾囊肿?建议强化,双肾盂、输尿管扩张,膀胱过度充盈,考虑尿潴留,结合临床,直肠积粪密切观察病情变化。
心脏超声:主动脉瓣退行性病变并少量反流,二尖瓣、三尖瓣少量反流,左心功能减低。
肝胆胰脾超声:胆囊内透声欠佳,考虑胆汁淤积,腹腔大量胀气。
双下肢超声结果无异常。
化验结果:
入院化验结果(2025-07-20):
甲功三项:总三碘甲状原氨酸T3:0.40nmol/L;促甲状腺激素TSH:0.49μIU/ml;
血气分析结果:血液酸碱度(PH):7.49;乳酸:2.3mmol/L;二氧化碳结合力:13.5mmol/L;离子钾:3.17mmol/L;二氧化碳分压:21.2mmHg;氧分压:130mmHg;标准化下的离子钙值:1.03mmol/l;氧饱和度:99.3%;全血中血浆碳酸氢根:16.1mmol/L;血液的实际滴定碱浓度:-4.7mmol/L。
电解质:钾(K):3.37mmol/L;氯(CL):98.2mmol/L;离子钙:1.01mmol/L;阴离子隙:23.8;
肝功能:丙氨酸氨基转氨酶(ALT):320U/L;天门冬氨酸氨基转移酶(AST):917U/L;总胆红素(TBIL):22.3μmol/L;直接胆红素(DBIL):9.7μmol/L;前白蛋白(PA):110.3mg/L;肌酐(CREA)(酶法):129μmol/L。
肾功能:尿素(UREA):12.03mmol/L;尿酸(UA):511μmol/L;
葡萄糖(GLU):9.47mmol/L;
心肌酶:肌酸激酶(CK):51632U/L;乳酸脱氢酶(LDH):1938U/L;α-羟丁酸脱氢酶(α-HBDH):1174U/L;同工酶(CK-MB):422U/L;肌钙蛋白I:0.52ng/ml;
降钙素原:18.47ng/ml;
D-二聚体:8.56μg/mL;国际标准化比值:INR:1.21;凝血酶原时间(PT):14.01s;凝血酶时间(TT):20.45s;
血常规:白细胞计数(WBC):13.19*10^9/L;红细胞计数(RBC):5.65*10^12/L;血红蛋白量(HGB):169g/L;中性细胞绝对值(NEU#):11.46*10^9/L;淋巴细胞绝对值(LYMPH#):1.03*10^9/L;单核细胞绝对值(MONO#):0.62*10^9/L;中性细胞百分比(NEUT%):86.9%;淋巴细胞百分比(LYMPH%):7.8%;血清淀粉样蛋白A:16.87mg/L。
诊断:多脏器功能衰竭 急性肾盂肾炎? 全身炎症反应综合征 尿潴留 横纹肌溶解症 低钾血症 急性支气管炎 抑郁状态。
治疗:患者入院后立即给予下尿管导出深茶色小便2000余毫升,下胃管鼻饲饮食,同时给予退热、补液、头孢哌酮舒巴坦抗感染、保肝、营养心肌、维持水电解质平衡等治疗。
2025-07-21:肌酸激酶(CK):83156U/L;乳酸脱氢酶(LDH):2414U/L;α-羟丁酸脱氢酶(α-HBDH):1291U/L;同工酶(CK-MB):>600.0U/L。
2025-07-22:患者无尿,复查肾功能:尿素(UREA):33.80mmol/L;肌酐(CREA)(酶法):448μmol/L;尿酸(UA):620μmol/L,考虑患者存在急性肾损害,向家属交代病情,建议透析或CRRT治疗,患者拒绝。
2025-07-24患者仍无尿,复查肾功能:肌酐(CREA)(酶法):650μmol/L;尿素(UREA):40.97mmol/L;尿酸(UA):601μmol/L,向家属交代病情,建议紧急透析或CRRT治疗,患者家属商议后同意透析治疗。完善术前检查回报:国际标准化比值:INR:4.03;凝血酶原时间(PT):44.61s;凝血酶时间(TT):24.62s。血常规:血小板计数(PLT):55*10^9/L。
向患者交代病情,建议行CRRT治疗,管家家属商议后放弃治疗,离院。
病例讨论
患者家属诉患者既往“抑郁症”病史,每年3-4次不吃,不懂,不交流,逐渐加重,伴有行为异常,然后缓解,整个过程1月左右。缓解期间和正常人没区别,也没有其他基础病。这次入院10多天前,患者再次出现“抑郁症”,所以家属就未有重视,直到患者出现高热,才入院就诊。患者自己住在两室一厅房间,家属会过去送饭和探望,询问多个家属均说室内温度适宜。请大家帮忙讨论,患者多脏器衰竭原因?
























































