普外科医生梦魇 肾动脉栓塞肾梗死
病例信息
【患者信息】:支大哥 49岁
【主诉】:左侧腰腹部疼痛9小时。
【现病史及既往史】:入院9小时前无诱因出现左侧腰部、腹部疼痛,持续性绞痛,与活动无关系,坐卧不安,伴有恶心,自行催吐1次,呕吐物为胃内容物,呕吐后腰腹部疼痛无缓解,无发热寒战,无血尿、尿频、尿痛及排尿不尽感。患者就诊于当地卫生院治疗,血常规、尿常规指标均正常。诊断为“胰腺炎”,予以输注“山莨菪碱”等药物治疗,其他药物不详,无明显效果。遂来我院就诊,门诊医师检查后收入我科(普通外科)
既往身体健康,职工查体无异常,无遗传疾病。
【检查】:门诊行光谱Ct检查:左肾低回声,考虑囊肿,建议进一步检查。胃及十二指肠扩张。前列腺增生。
【临床诊断】:腹痛原因待诊 急性胰腺炎 ? 输尿管结石?
【治疗经过及结果】:入院后查体:腹部平软,左侧腹部压痛,深压时腹痛减轻,无腹肌紧张,无反跳痛,左侧肾区叩击痛阳性,肠鸣音弱,余查体阴性。
入院后详细询问病史,患者近3日均有饮酒,胰腺炎存疑。
但查体与体征不符,普通光谱Ct检查无阳性表现让我精神紧绷,立刻想到了夹层、肠系膜血管栓塞、肾梗死等血管疾病,嘱测量左侧上肢血压163/98mmHg,右侧上肢162/98mmHg。急查血常规、肾功、淀粉酶、心梗三项、血凝等,有异常的只有血糖8.0mmol /L。
患者和家属此刻着急无比,督促我立刻马上给他用止痛药(内心os:真不好干啊),心里有了方向后给他用了一支罂粟碱,果不其然,效果微乎其微。
立马安排胸腹盆强化Ct和胸痛三联。



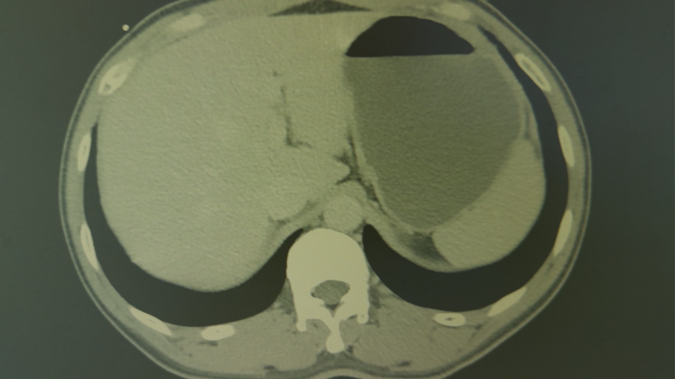
左肾上动脉栓塞 肾梗死(内心os 不是我的活,但是县级人民医院,没有分科那么细,只好收下)
联系介入老师、谈话、签字,此刻距离患者发病已经11小时。
入院3小时后,患者进行经股动脉穿刺肾动脉造影、置管溶栓治疗。


置管后予以尿激酶40万单位,一日两次溶栓。予以积极补液扩容、抑酸保护胃粘膜、抗感染、改善微循环等治疗。
术后第二日患者腹痛症状消失,仍有腰痛,自述腰痛性质与发病时不同。无发热、血尿等症状。复查血常规白细胞升高,肾功正常、血凝正常(D—二聚体无升高)、尿常规少量红细胞,复查心电图无房颤表现。
每日监测尿量,尿量、尿液性质均正常,考虑肾梗死面积不大,未出现梗死后感染,肾功能得以保护。
术后两日复查血常规、肾功、尿常规,仍无发热、血尿,血白细胞、D二聚体升高。




















































