dxy logo
首页丁香园病例库全部版块
搜索
登录

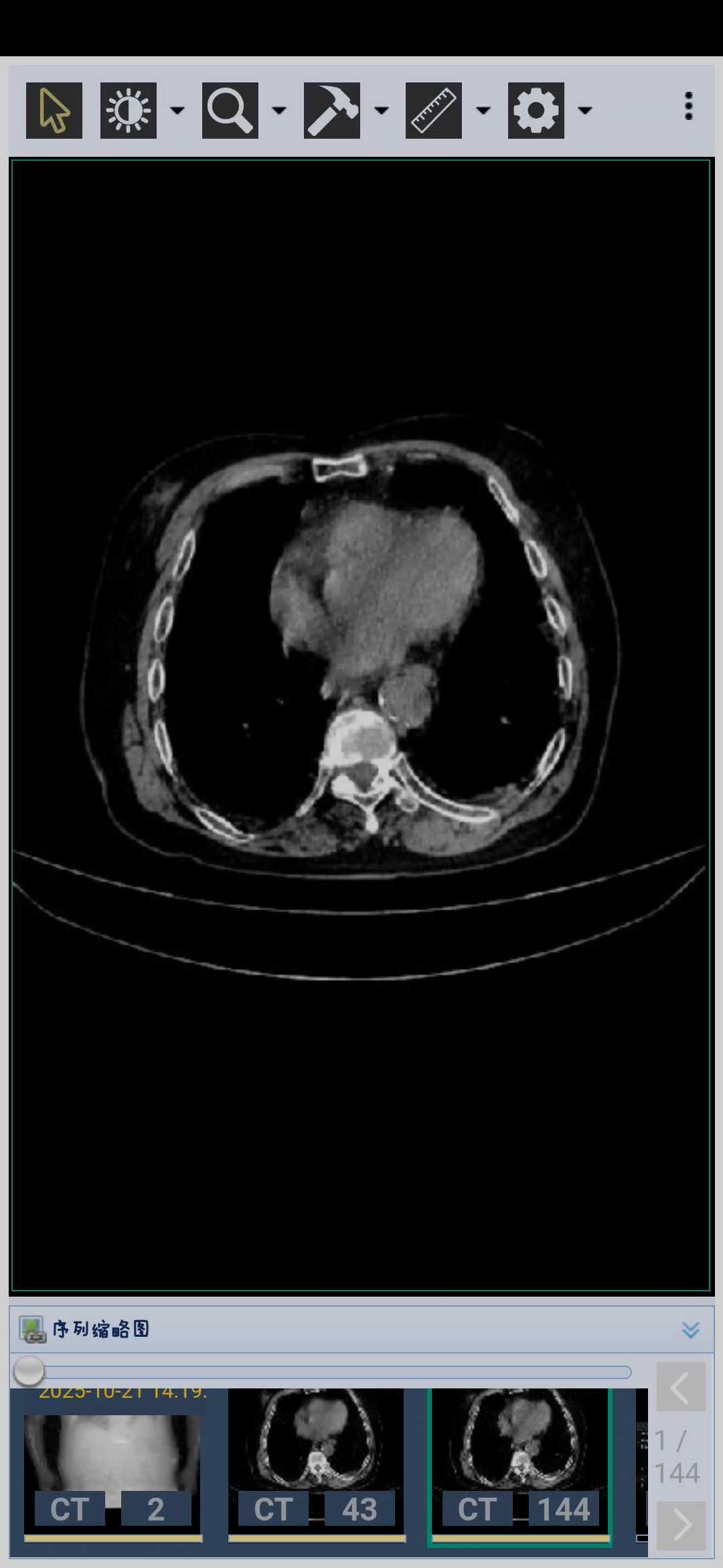
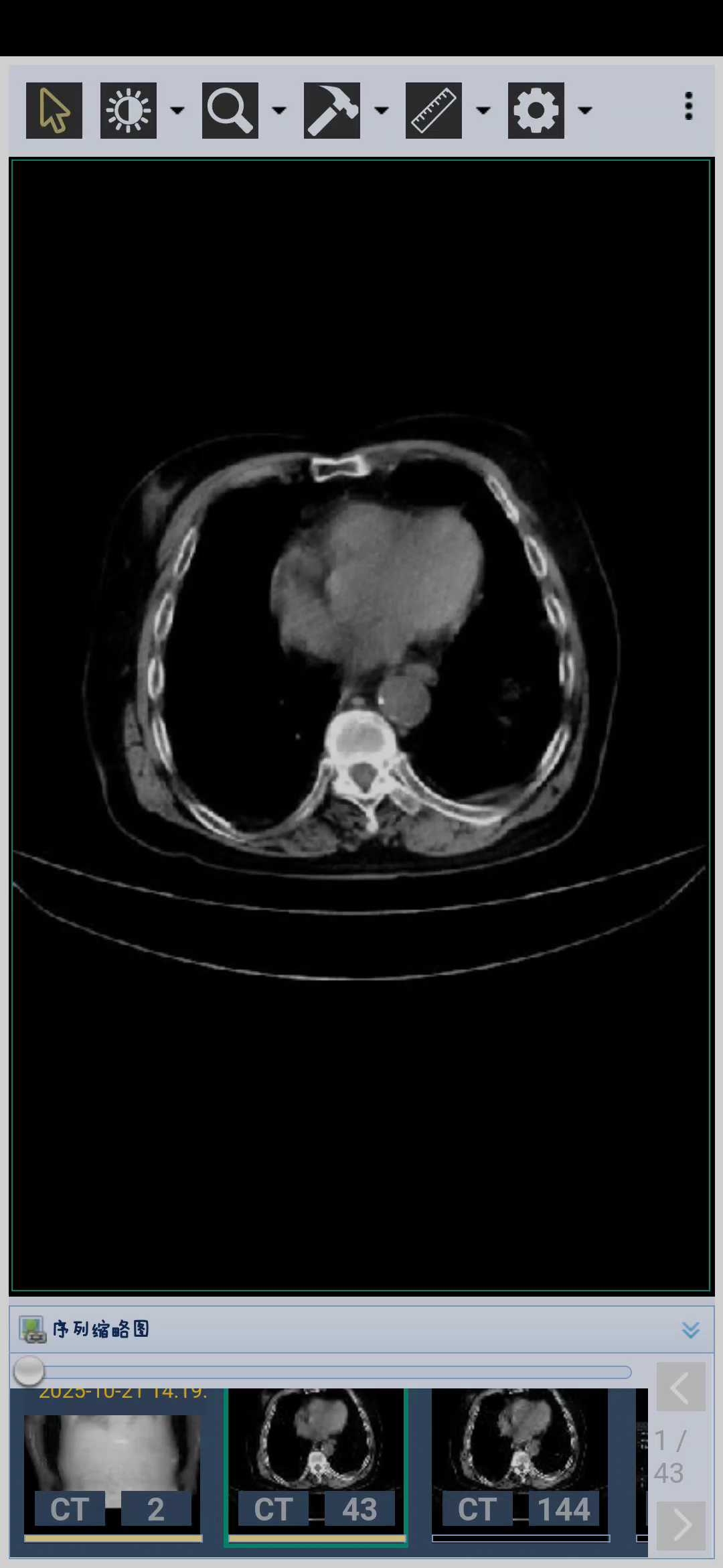
病例85岁老人胆总管扩张的可怕

医疗行业从业者 · 发布于 10 小时前 · 来自 Android · IP 四川四川
226 浏览

病例信息


img

病人主诉


previewplay video


previewplay video


病例讨论

考虑什么诊断

胆管扩张症 (32)
腹外疾病 (2)
纠错
回复收藏1
同行评议(0)
已评议
不开通精选
开通精选
精选已授权,待上线
评议结果暂未公布
参与评议
去邀请
NaN
病例完整NaN
临床实用NaN
诊疗科学NaN
学术价值NaN

全部讨论(0)

默认最新
avatar
分享帖子
share-weibo分享到微博
share-weibo分享到微信
认证
返回顶部