dxy logo
首页丁香园病例库全部版块
搜索
登录

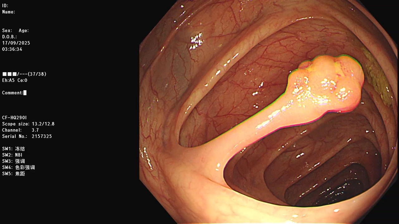
病例结肠长蒂息肉切除

消化内科版达人 · 最后编辑于 5 天前 · 来自 Android · IP 广东广东
1.8 万 浏览

病例信息


previewplay video


病例讨论

这种长蒂息肉切除,都建议先用夹子把根部夹紧再切除,像视频中第一个夹子是没夹紧的,就要再打一个,粗蒂的同理,可以多打一两个,直到完全夹闭根部为止,同时可以观察到息肉颜色变成紫色。

结肠息肉 (160)
纠错
20 19 15
同行评议(4)
已评议
不开通精选
开通精选
精选已授权,待上线
评议结果暂未公布
参与评议
去邀请
4.1
视频效果4.3
临床实用性4.3
操作规范流畅4.0
学术价值3.8

全部讨论(0)

默认最新
avatar
20
分享帖子
share-weibo分享到微博
share-weibo分享到微信
认证
返回顶部