dxy logo
首页丁香园病例库全部版块
搜索
登录

病例长在结肠的美丽珊瑚

消化内科版达人 · 最后编辑于 2024-06-05 · 来自 Android · IP 湖北湖北
8439 浏览
这个帖子发布于 1 年零 125 天前,其中的信息可能已发生改变或有所发展。

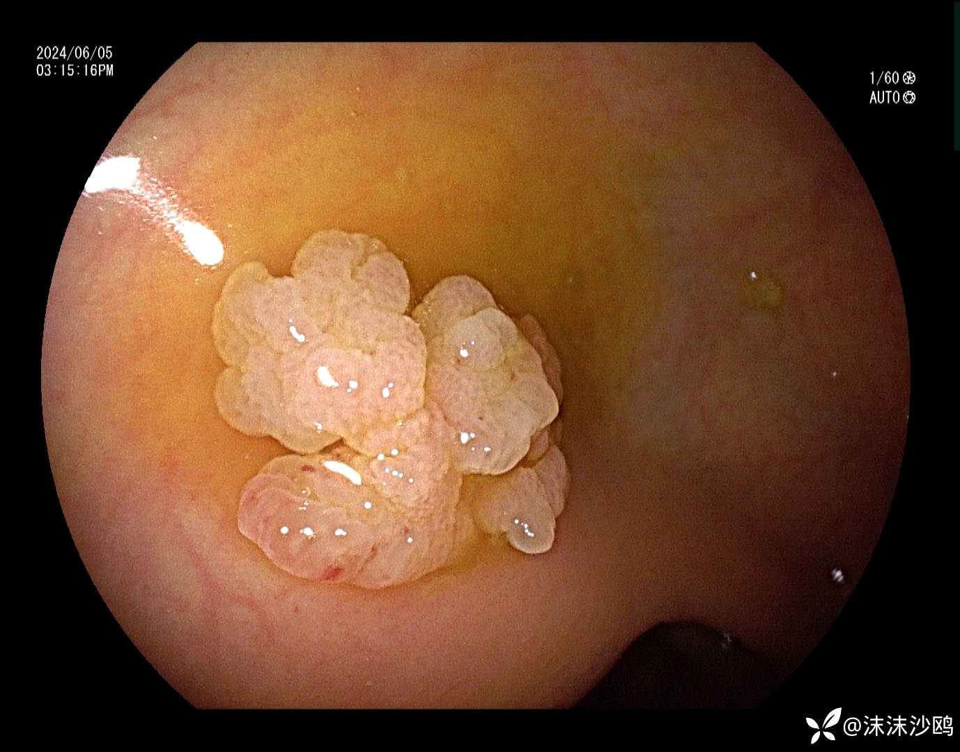
老年女性,糖尿病血糖控制不佳合并糖尿病足住院,因大便习惯改变行肠镜检查。

回盲瓣上方见一隆起病灶。形似珊瑚状

img

全身冲洗后出浴美貌

img


img

直肠还有个大家伙

img

因为血糖控制不佳,暂时没有行内镜下治疗,先取了活检,待血糖相对稳定后择期镜下切除。

该帖还没有疾病标签去添加
27 11 15
同行评议(0)
已评议
不开通精选
开通精选
精选已授权,待上线
评议结果暂未公布
参与评议
去邀请
NaN
病例完整NaN
临床实用NaN
诊疗科学NaN
学术价值NaN

全部讨论(0)

默认最新
avatar
27
分享帖子
share-weibo分享到微博
share-weibo分享到微信
认证
返回顶部