病历分享,6岁男童,反复发热,胸痛,抗生素有明显改善,但D2聚体越来越高,病灶不明
文侠 推荐6岁男性患儿,10月11因“咳嗽一周,发热半天”入院,咳嗽为逐渐加重,有痰,总体不剧,无气促,未予特殊处理,入院前一天有发热,伴右侧胸痛,咳嗽时明显。既往及家族史无特殊。
奶奶近期有肺炎住院,支原体抗体1:1280
入院查体无明显阳性体征,
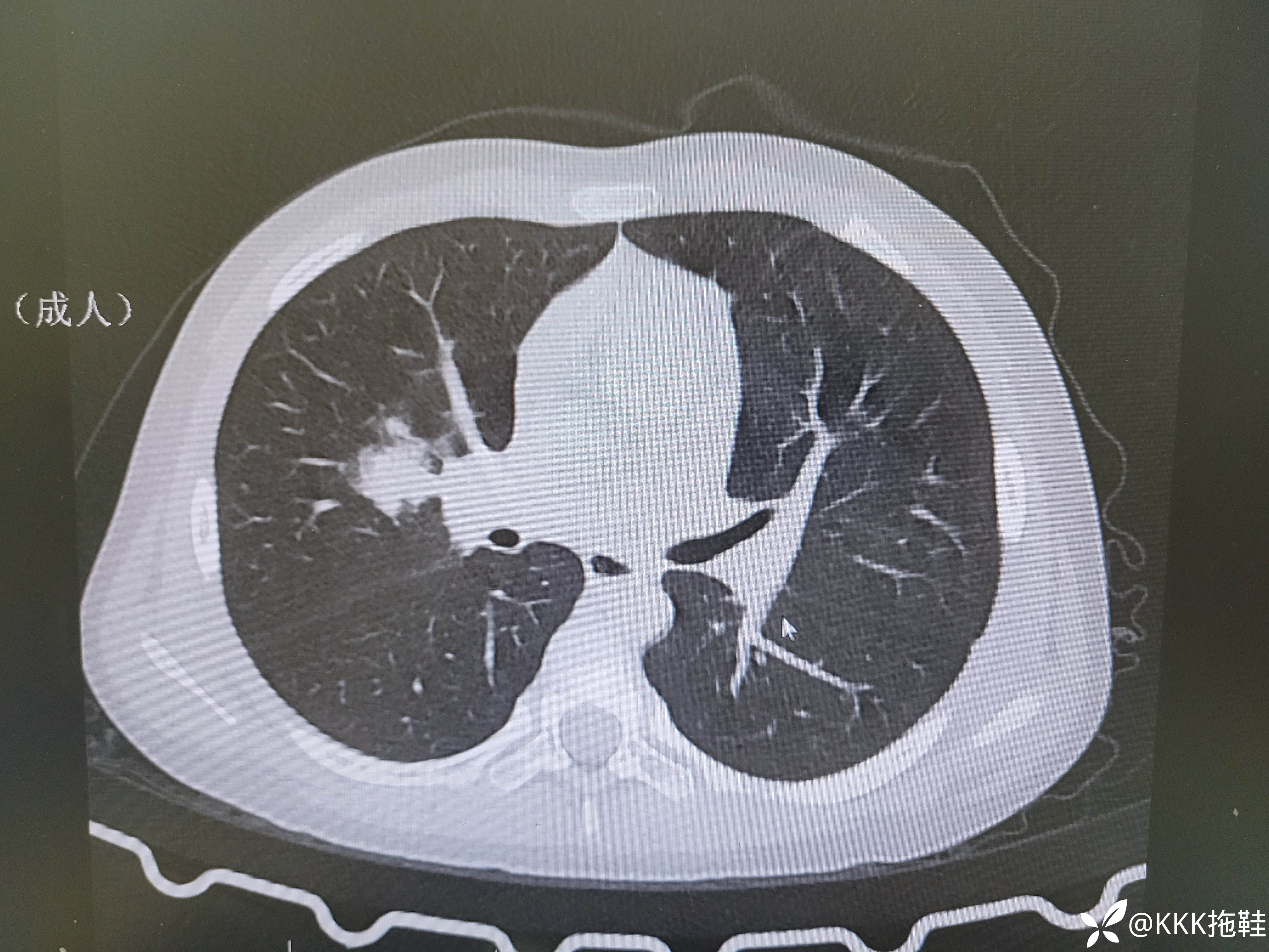
入院当天CT



入院血常规


入院查肌钙蛋白、BNP、生化、铁蛋白基本正常,降钙素原0.33。心电图正常,予以阿奇霉素抗感染等治疗2日,反复发热,体温难以将至正常,咳嗽稍增加,胸痛不明显,无皮疹及出血点,无腹痛,腹泻等
10.13复查血常规

呼吸道病原6项核酸阴性,再次单采支原体核酸阴性,痰培养阴性。TC皮试阴性。

查肺部彩超如图,腹部彩超无异常。大小便常规正常

10.13改头孢曲松抗感染,肝素钠改善循环。
10.15患儿无明显发热,咳嗽不多
查心脏彩超无异常,复查血常规如下

此后体温正常,偶有咳嗽,夜间偶诉右侧胸痛,改变体位后很快胸痛缓解。继续头孢曲松,肝素钠等治疗。
10.18血培养阴性,复查血常规如下

10.19 体温正常,无明显咳嗽及胸痛出院。继续头孢地尼0.1g 口服TID
10.20下午再次出现发热,晚间诉右侧胸痛,伴咳嗽增加,无咳痰,无气促。
10.21返院复查血常规

复查肺部彩超

10.21收住院查ESR 108;PCT 0.13,凝血功能示FIB6.06,D2聚体3.59,余正常。输血前四项阴性,
家属拒绝肺部CT+增强,拒绝肺CTA血管,抗核抗体,T淋巴细胞等很多检查
当日完善纤支镜

灌洗液涂片及抗酸染色阴性,结核T-SPOT阴性,肺泡灌洗液培养阴性。灌洗液呼吸道病原靶向测序(153种病原)如下(备注:序列数均很低)

予以头孢哌酮舒巴坦抗感染,低分子肝素皮下注射1日,次日患儿无发热,无胸痛,无咳嗽,未诉不适。
10.24复查血常规


请教一下各位,这到底是不是单纯肺部感染所致?可以排除结核导致吗?需要进一步排除肿瘤或者其他结缔组织病吗?下一步治疗如何呢
















































