食管病变,病因?
病例信息
患者男性54岁,因焦虑抑郁在神经内科住院,纳差乏力行普通胃镜检查
中段食管粘膜病变,白色斑块冲洗不掉,且斑块下有粘膜下出血,是药物导致还是感染相关性的食管炎?

胃窦病变,小弯溃疡,幽门前区狭窄,假幽门形成。



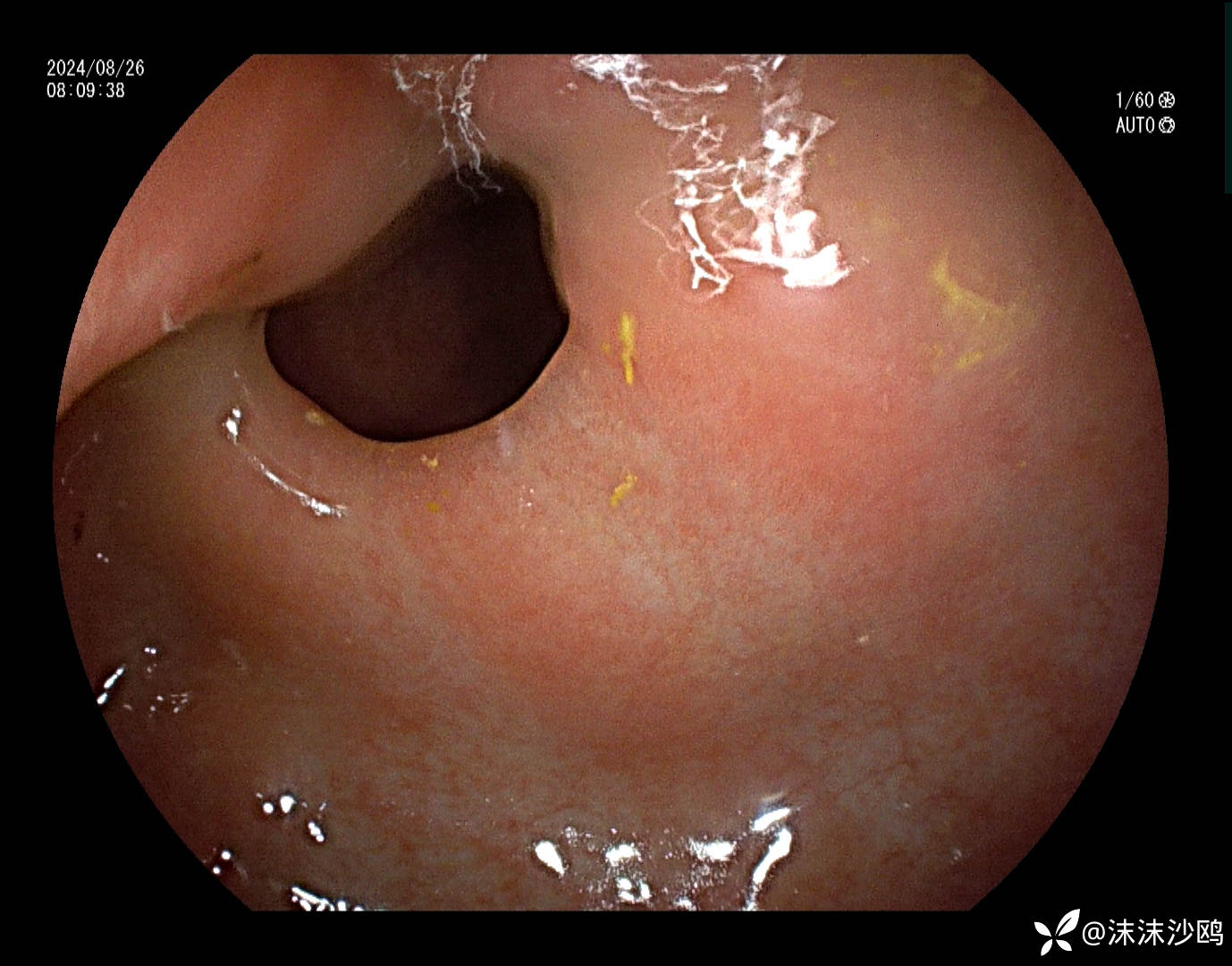
真幽门

球部

处理分析
胃窦取了活检,食管没有做处理
总结与讨论
食管病变像啥呢?🧐
病例信息
患者男性54岁,因焦虑抑郁在神经内科住院,纳差乏力行普通胃镜检查
中段食管粘膜病变,白色斑块冲洗不掉,且斑块下有粘膜下出血,是药物导致还是感染相关性的食管炎?

胃窦病变,小弯溃疡,幽门前区狭窄,假幽门形成。



真幽门

球部

处理分析
胃窦取了活检,食管没有做处理
总结与讨论
食管病变像啥呢?🧐
