中咽部,食管病变
病例信息
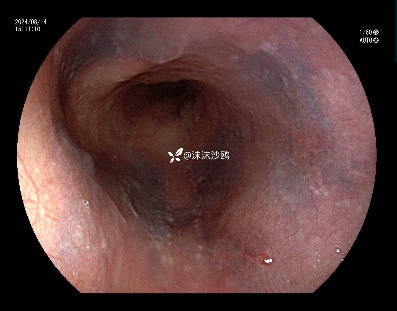
上个病例同一个病人,胃镜发现口咽部及食管病变,患者有长期精神分裂症病史并口服药物治疗




处理分析
中咽部呈暗红色颗粒状簇集样病变,考虑海绵状血管瘤?食管粘膜下见烟熏样,局部呈紫色粘膜下隆起,考虑食管黑变病,食管静脉瘤?
总结与讨论
指导一二?
病例信息
上个病例同一个病人,胃镜发现口咽部及食管病变,患者有长期精神分裂症病史并口服药物治疗




处理分析
中咽部呈暗红色颗粒状簇集样病变,考虑海绵状血管瘤?食管粘膜下见烟熏样,局部呈紫色粘膜下隆起,考虑食管黑变病,食管静脉瘤?
总结与讨论
指导一二?
