#有意思的食管病变#拿盆呕血,惊险刺激
西兰花饺子 推荐病例信息
【患者信息】:女, 56岁
【主诉】:呕血5小时
【现病史及既往史】:5小时前呕血1次,暗红色,含血凝块,量约300ml;既往剑突下间断不适1年,自行口服“铝碳酸镁咀嚼片”可缓解,未规范诊治;否认高血压、冠心病、糖尿病等慢性病,否认传染病史,否认手术外伤输血史,否认药物食物过敏史,否认吸烟饮酒史,否认三代内家族遗传病史
查体:神清,精神一般,贫血貌,全腹软,未见明显膨隆及凹陷,无皮下出血、瘀斑等,腹软,剑突下压痛,无反跳痛,Murphy征(-),全腹未触及明显包块,移动性浊音(-),肠鸣音正常
患者早上入院后拒绝胃镜、CT、彩超检查、输血治疗,接受抽血及保守治疗
大便颜色:黑色 ;隐血:阳性++
HGB持续下降:

下午病情进展,持续呕血,节选一段:

再次与其及授权家属沟通,只同意做胃镜,拒绝麻醉、输血、CT检查,
胃镜:
食管下段可见一不规则隆起,质硬,表面可见糜烂,并可见新鲜出血,瘤体边可见一瘘口,使用止血夹3枚夹闭,胃底胃体胃窦可见血凝块,冲洗后未见明显溃疡及新生物,十二指肠球部及降部未见明显异常






患者此时BP:80/40mmHg,心率:114次/分,再次沟通需外科治疗,终于同意CT检查
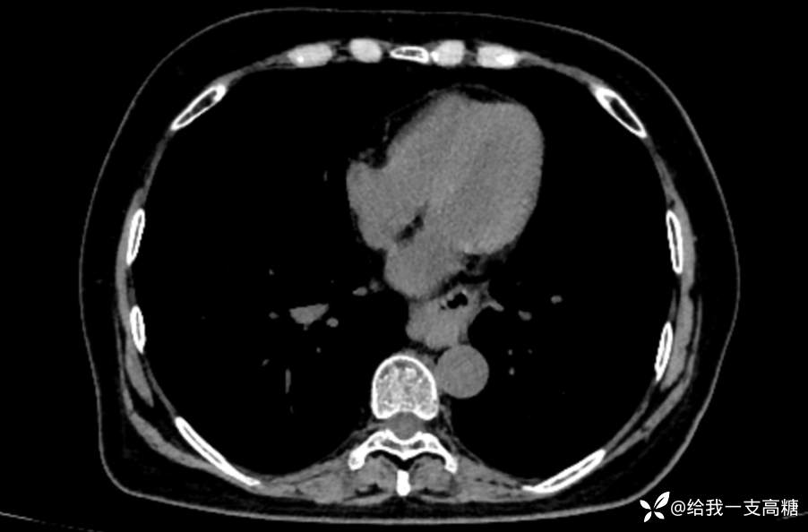
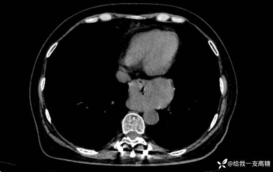
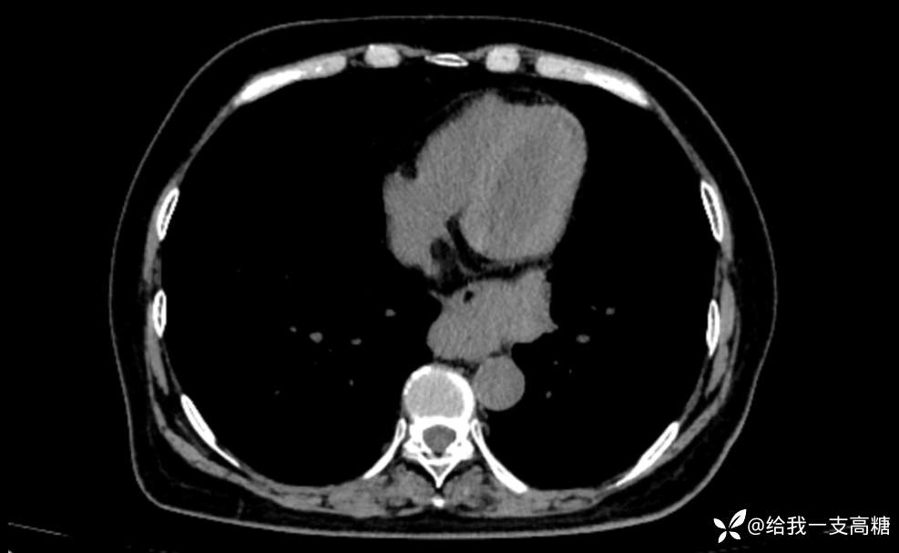
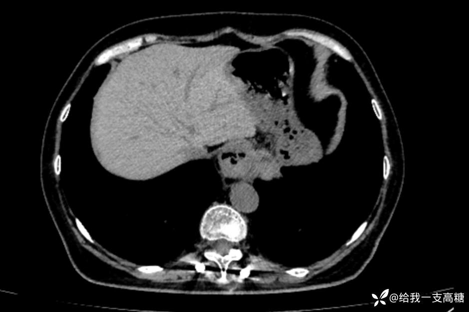
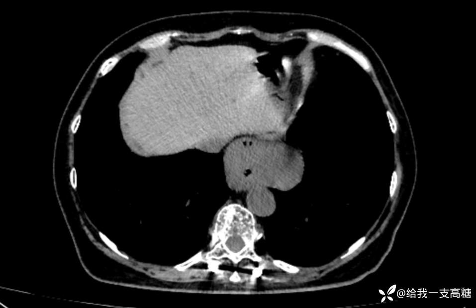
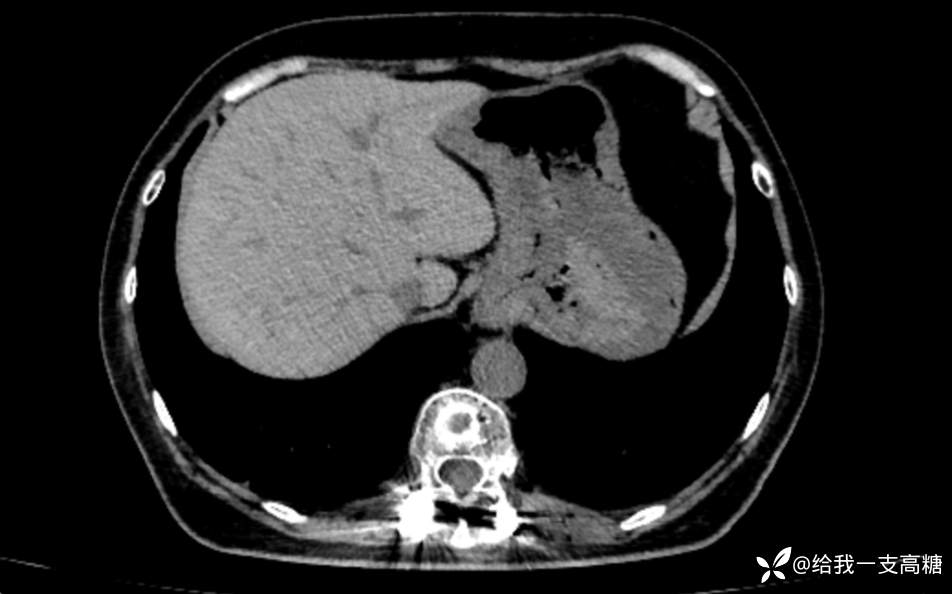
CT:
食管下段区见团块状混杂密度影,其内密度不均,见斑片状低密度影,考虑肿瘤性病变;胃腔内及升结肠、盲肠内可见团片状高密度影,考虑消化道出血






后患者于外科手术治疗后病情稳定
总结与讨论
入院第一印象是溃疡出血或者静脉曲张破裂,加上患者及家属拒绝这个拒绝那个,存在鉴别诊断不清晰的情况,没做胃镜和CT前确实忽略了肿瘤的可能。
镜下观病灶奇形怪状,像是食管下段的肿瘤从食管外长了个把儿通到胃底还开了口,请各位老师指导!
患者入院后状态持续下降,又很难沟通,神经一直绷着,好在最后得到及时诊治,长出一口气...
















































