兴致勃勃来溶栓,有点不情愿,但给溶了。
病例信息
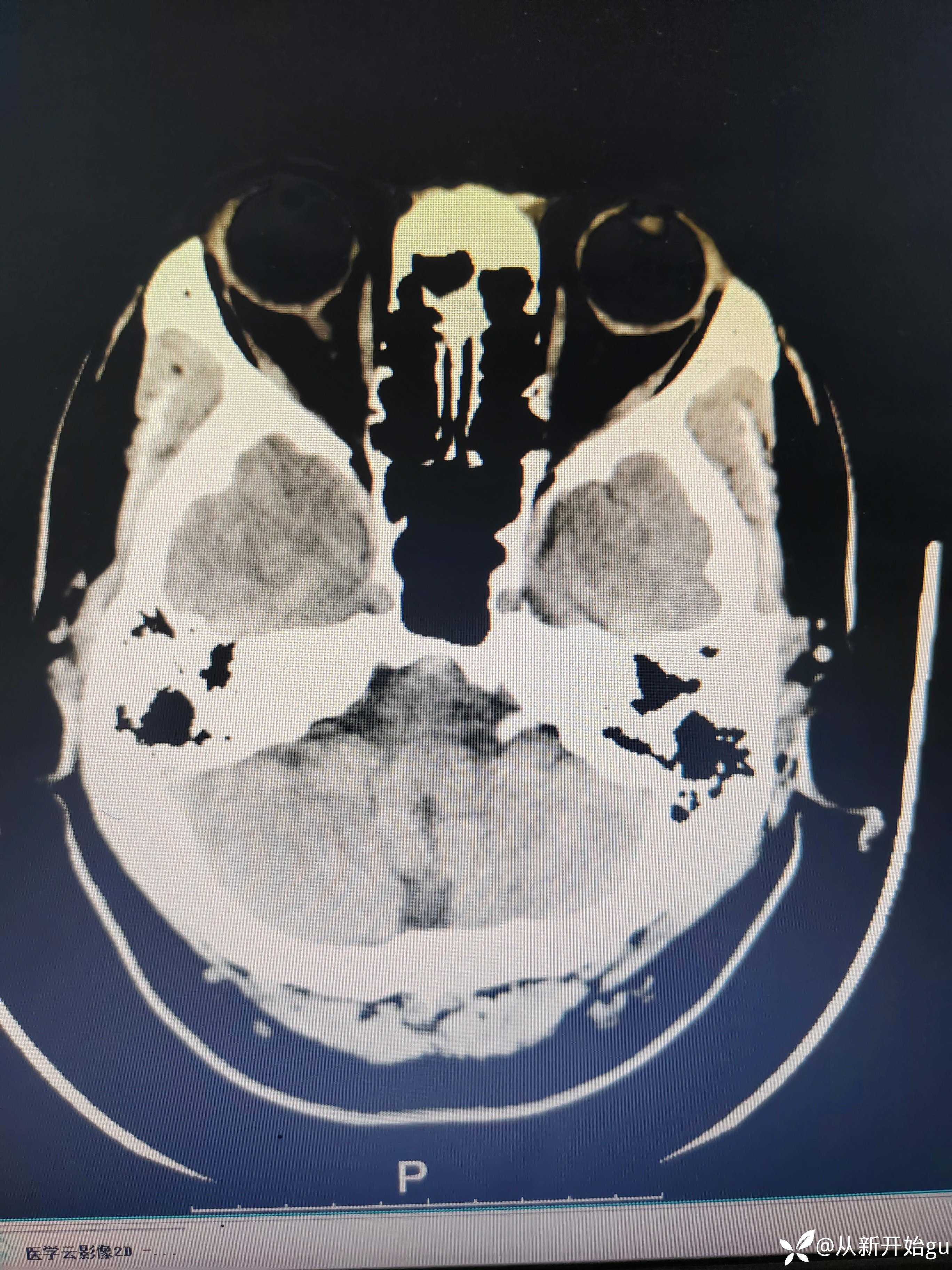
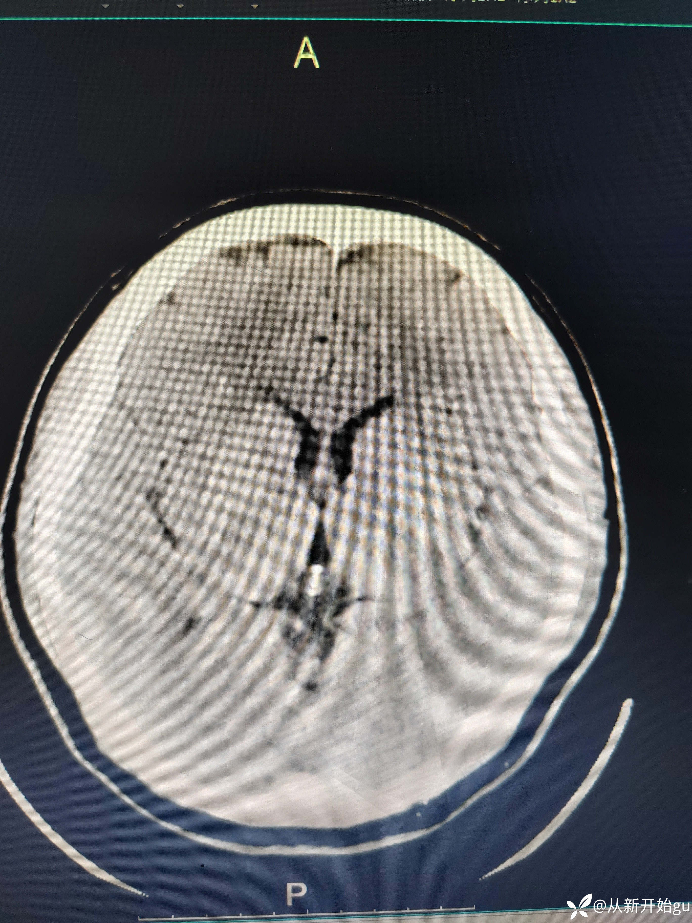
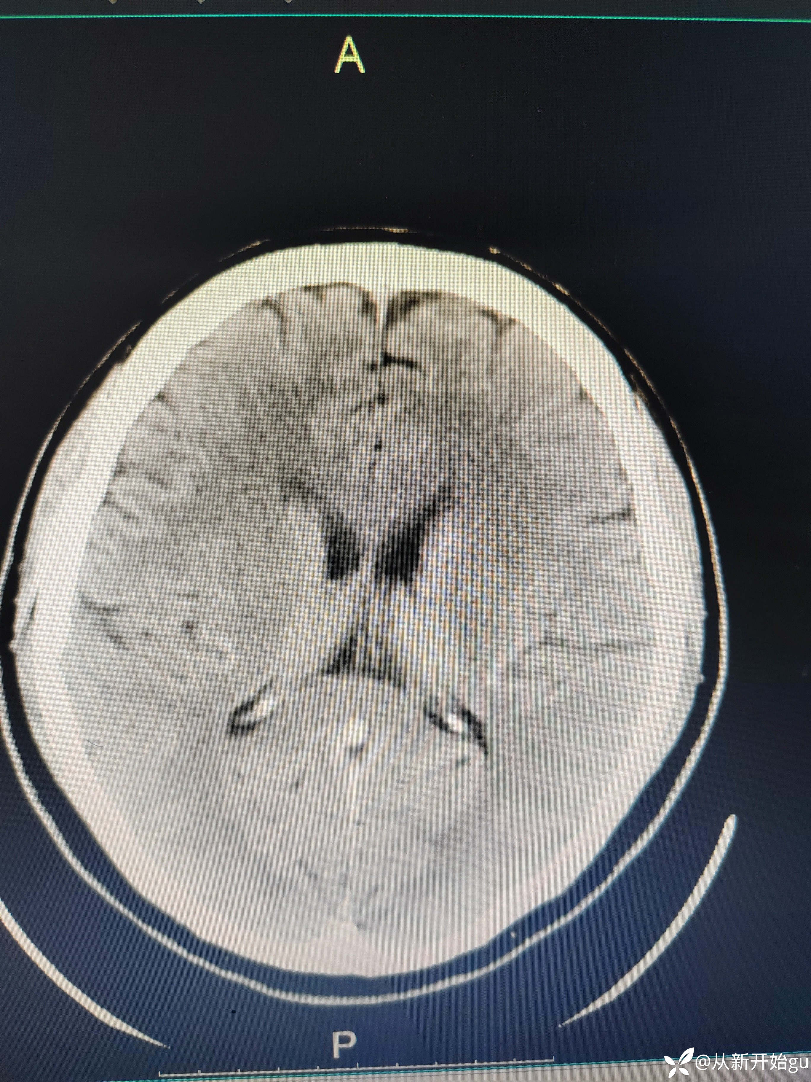
患者51岁男性,主因左下肢活动障碍1小时来院。既往高血压病史,查体,右侧鼻唇沟稍浅(家属诉之前就这样),神舌居中,左侧下肢肌力5级-,左侧跟膝胫试验欠稳准,左侧巴氏征阳性,评分也就一分,鼻唇沟稍浅未纳入。行颅脑CT检查如图所示












处理分析
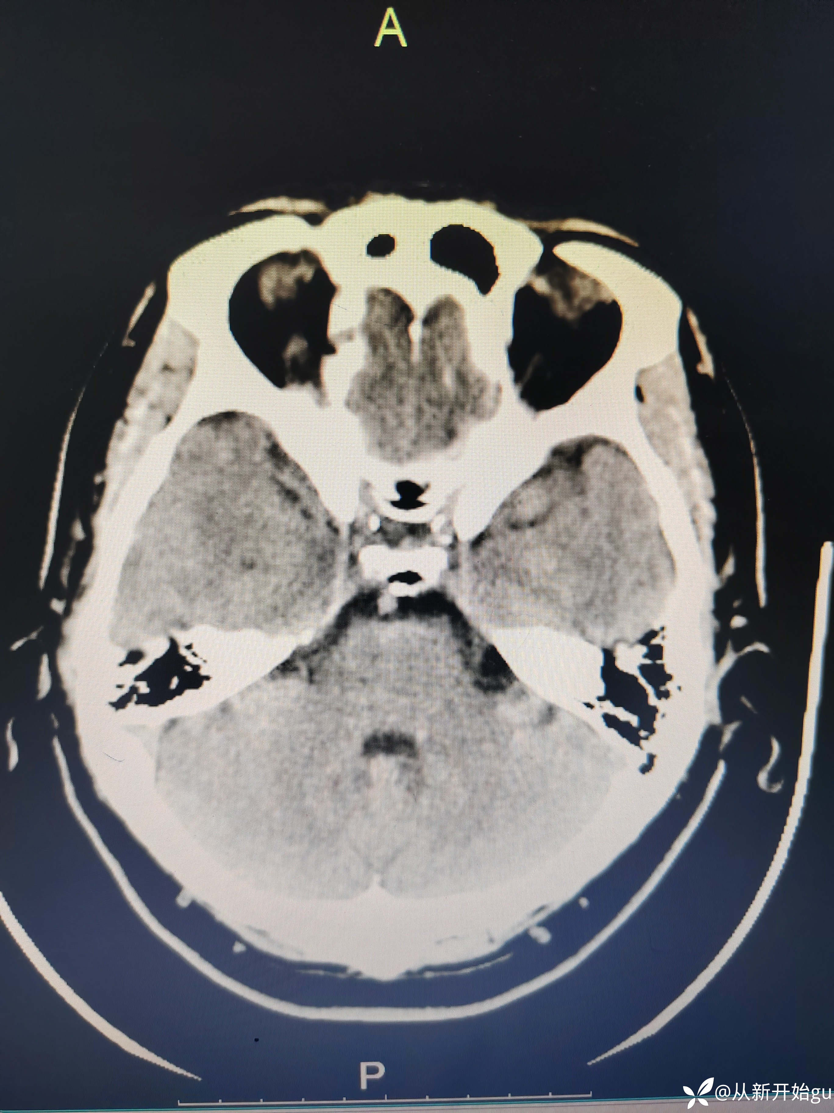
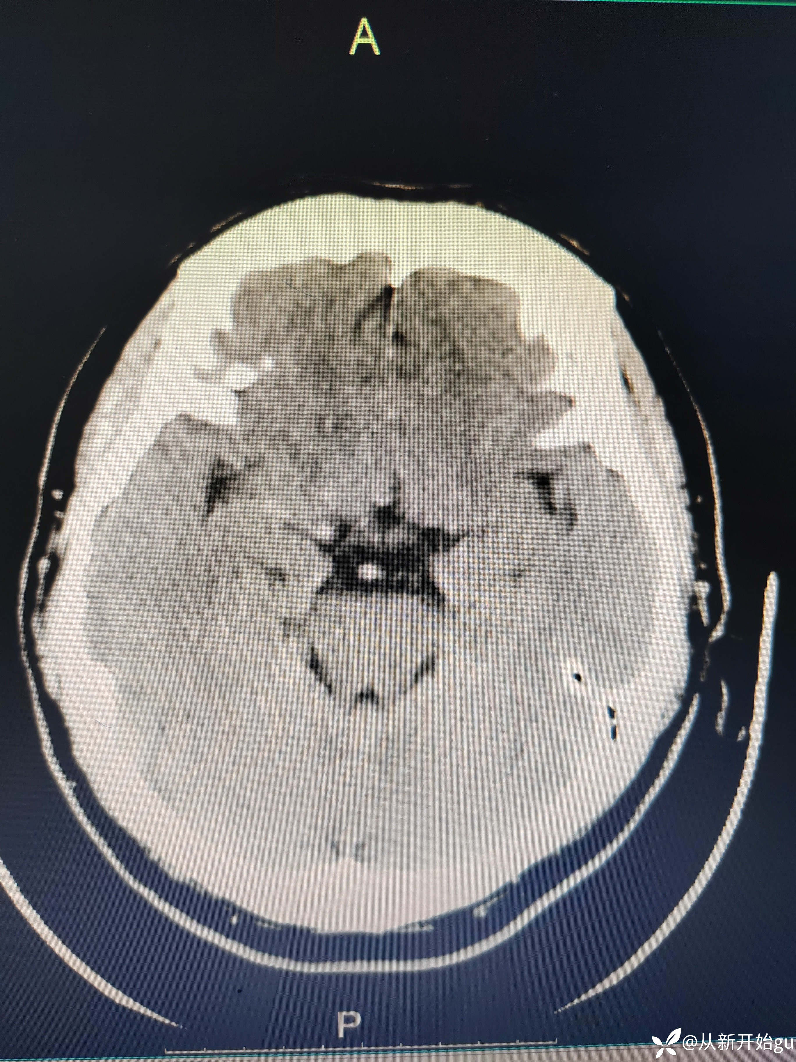
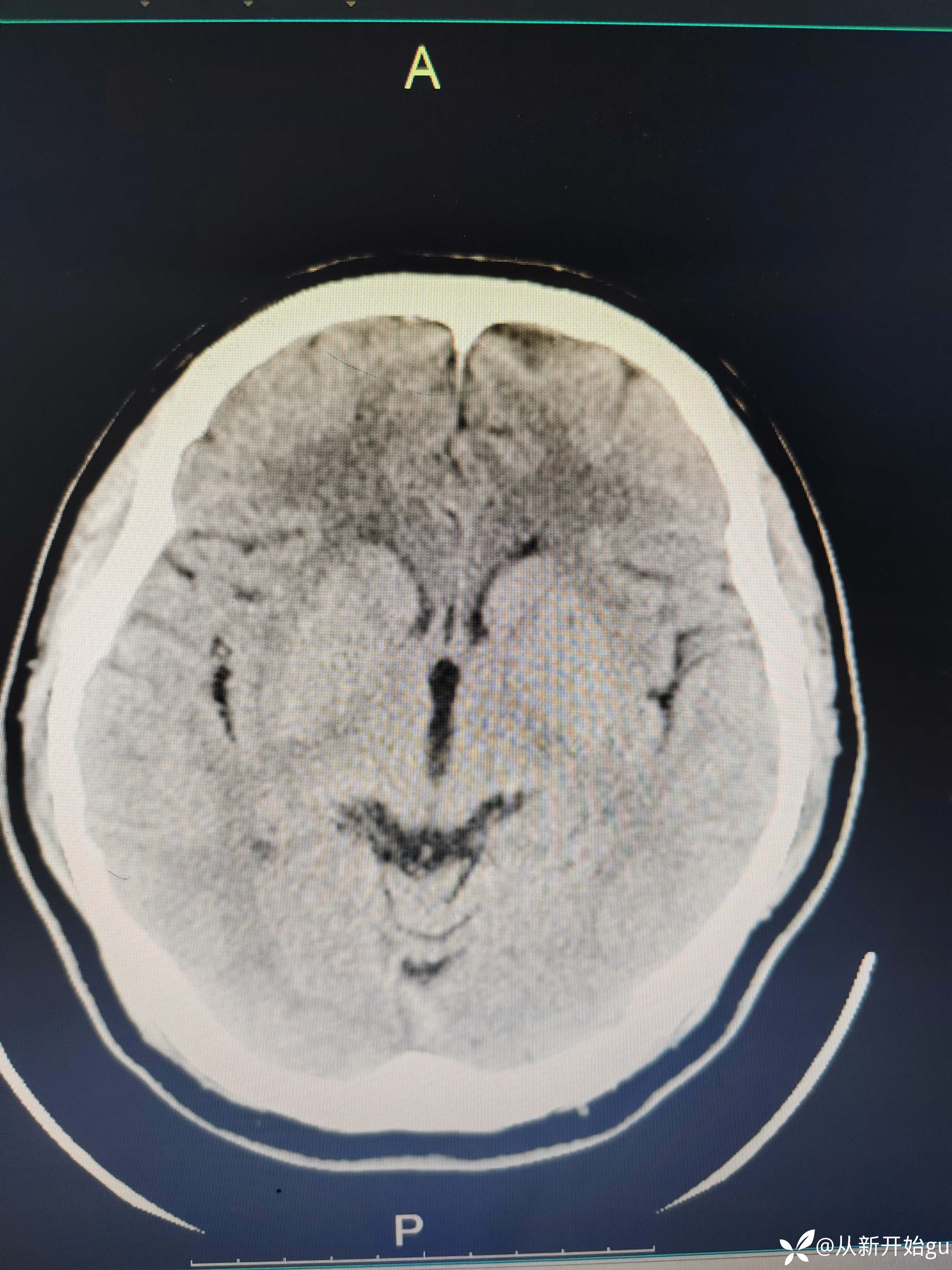
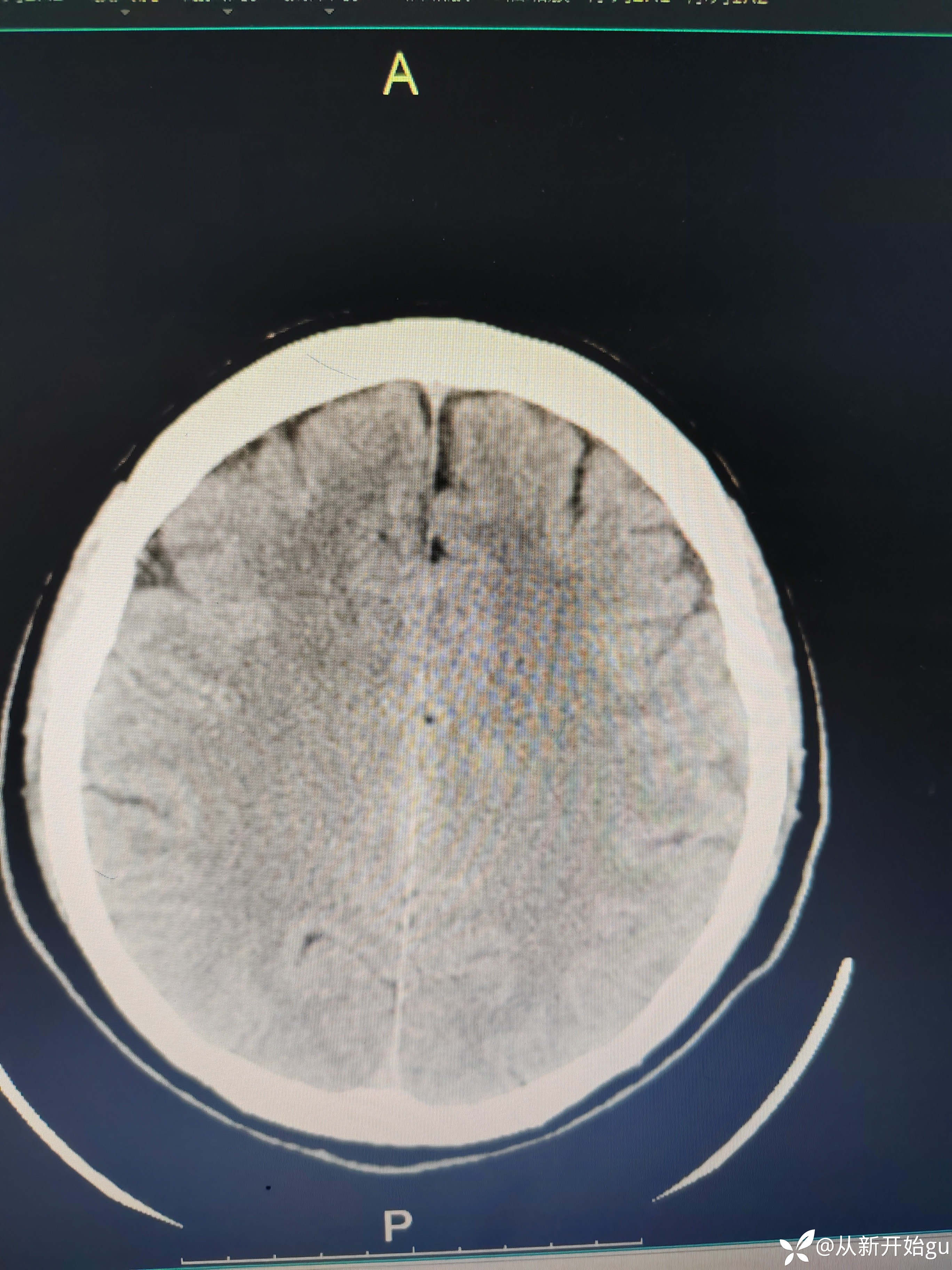
患者左下肢屈膝位—伸直过程中,左下肢费力感,左下肢僵硬感。常规我是会做个DWi明确一下,晚上都11点了(心疼放射科兄弟,就没做),直接和家属谈了一句溶栓,简要的说明,可溶可不溶,考虑病灶比较小(致残不致残都承担着同样的风险,个人不太想给溶)。家属比较积极,最后给予溶栓治疗。溶栓后无明显改善,第二天晨起诉明显减轻,但较正常下肢还是有区别。完善核磁检查(发病10小时做的)无新发梗死灶。血管如图所示:




患者目前肌力完全恢复,如果不溶的话,也许会有后遗症?无从考证。
总结与讨论
1.如果是你,你会选择溶栓吗?
2.这个病人你会告知溶栓吗?(毕竟评分很低)
3.溶栓后没有病灶的,怎么解释,溶开了?,核磁做早了,病灶未显影?类卒中?
4.DWI 在症状出现数分钟内即可发现缺血灶并可早期确定病灶大小、部位与时间,尤其对早期发现小梗死灶较常规MRI更敏感,因此及时完善 DWI可能对于轻型卒中患者的病因判断及治疗转归具有积极意义。(《中国急性缺血性卒中诊治指南2023》DWi短时间内不显影的也不少见,尤其是后循环梗死,行DWi检查如果没有灶,怎么和家属解释溶栓和是否为脑梗死,最初怎么告知为什么要紧急行DWi检查,尽量排除类卒中的同时,也评估了梗死部位及相应的风险,但如果不显影,也是需要费力的解释,所以指南也推荐了DWi的优势,我也认为是好事,但对于不显影的时候,后续你会怎么办?
















































