兴致勃勃来溶栓,我却拒绝了
病例信息
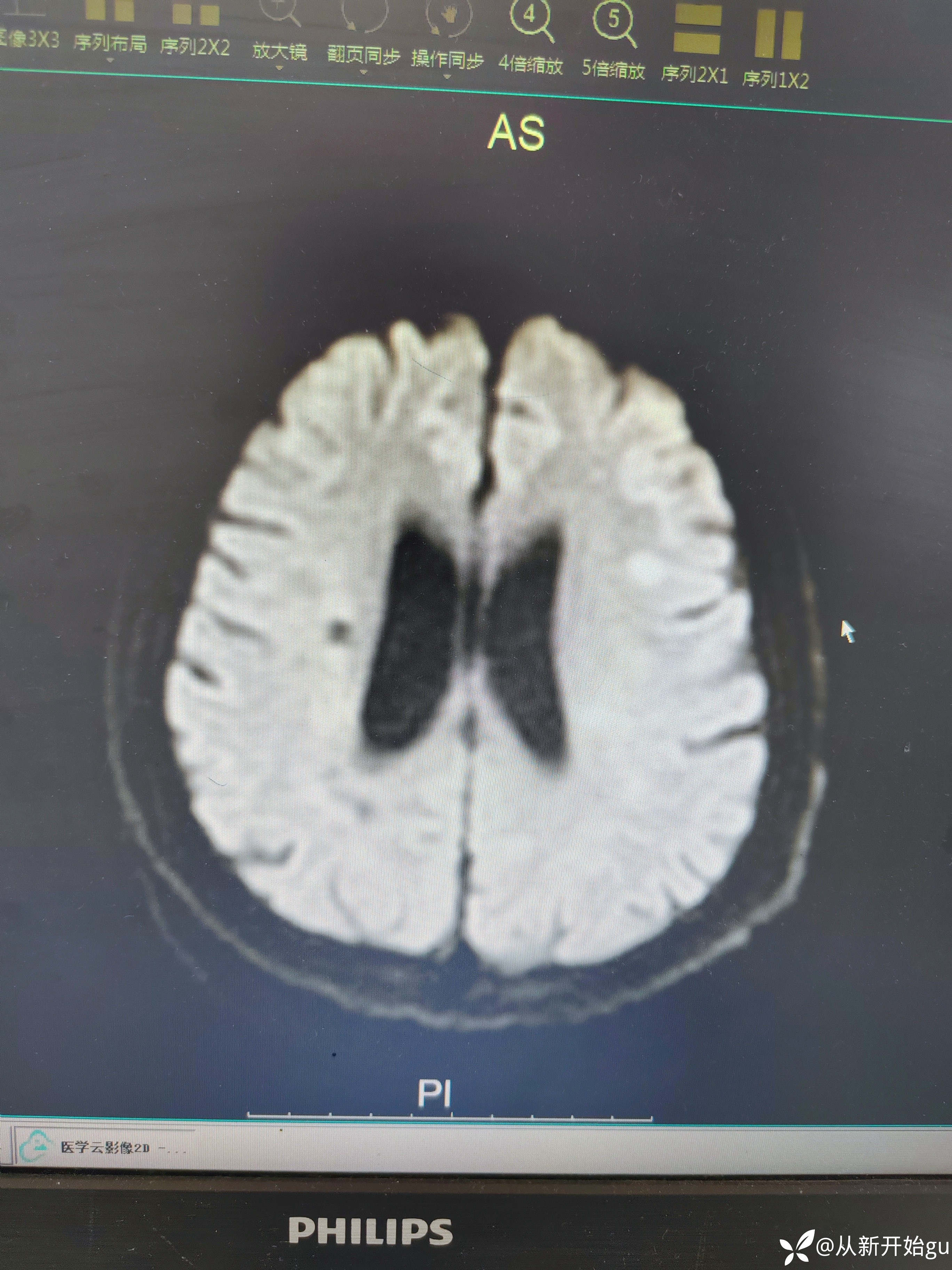
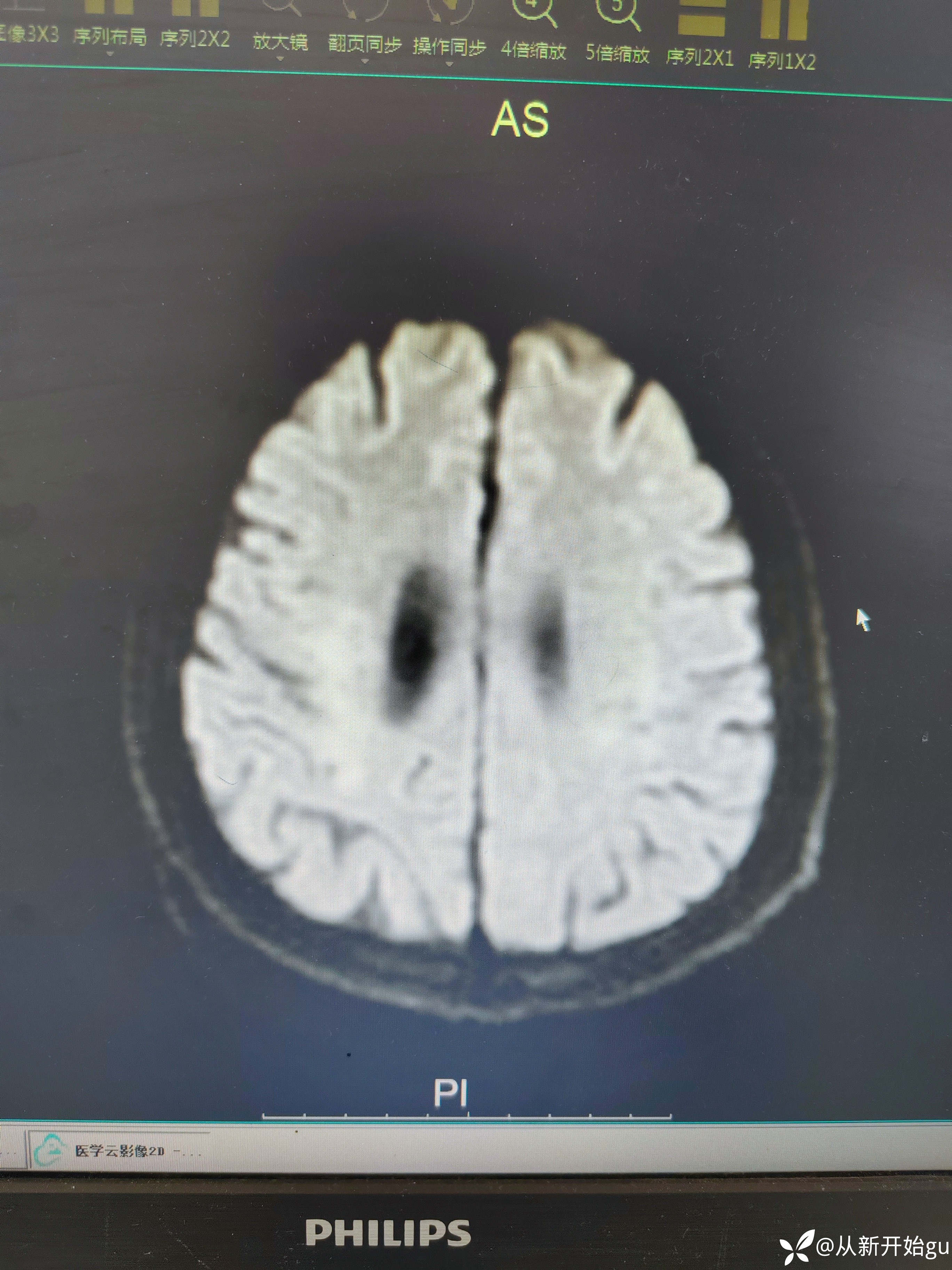
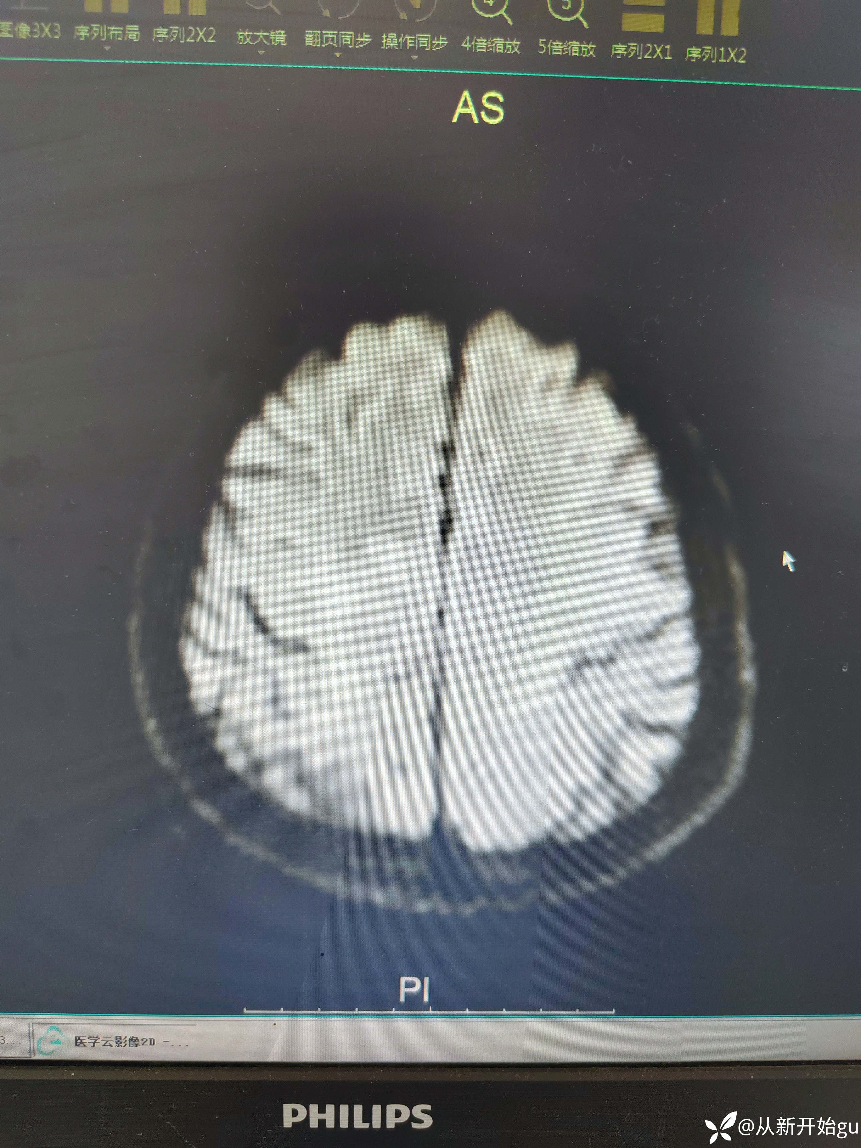
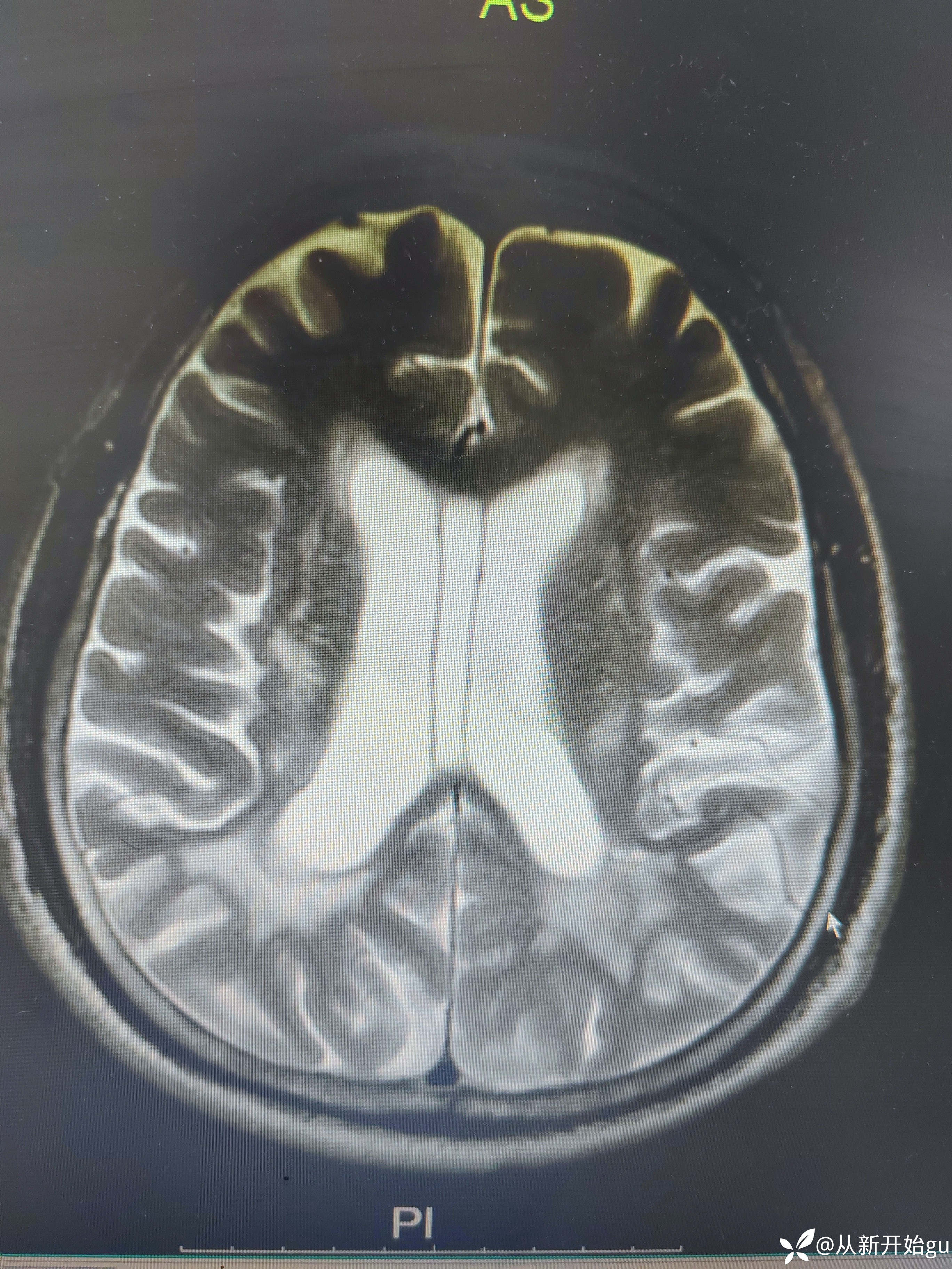
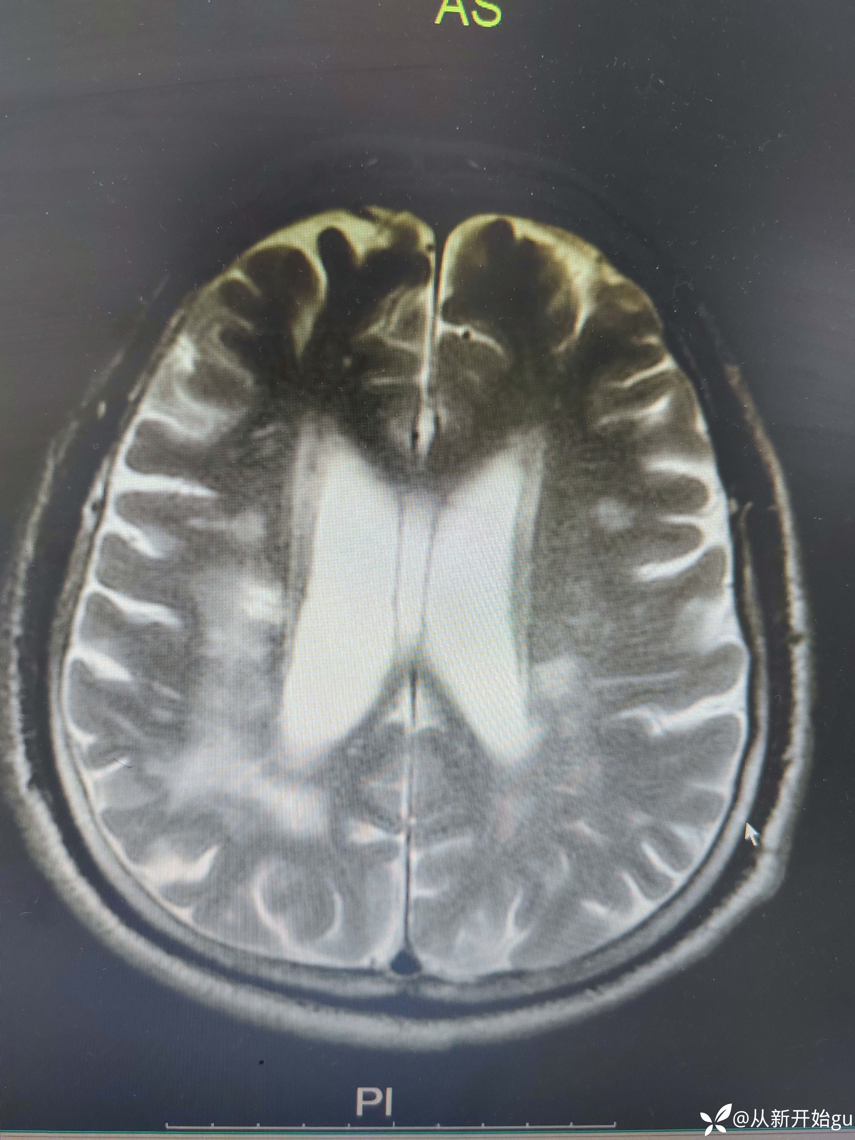
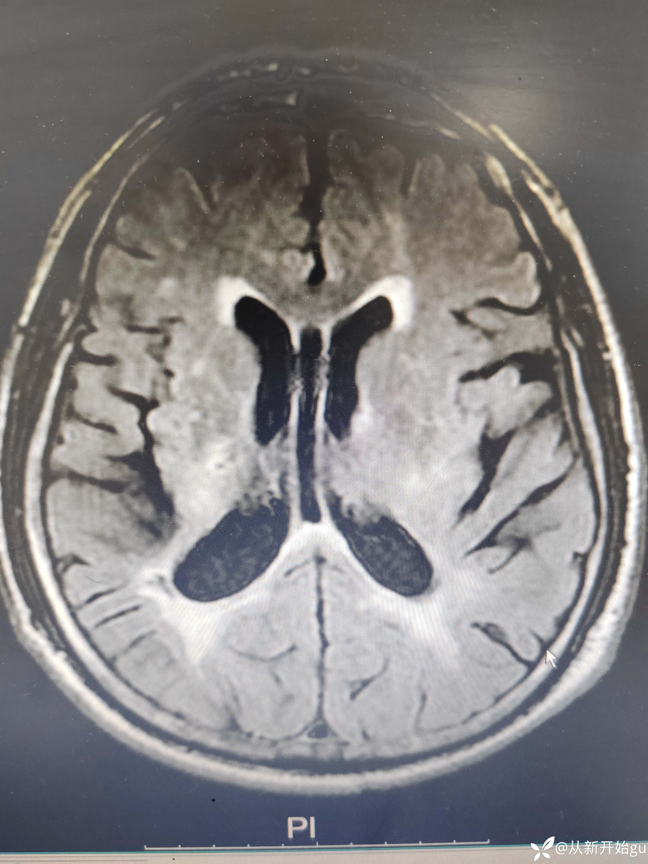
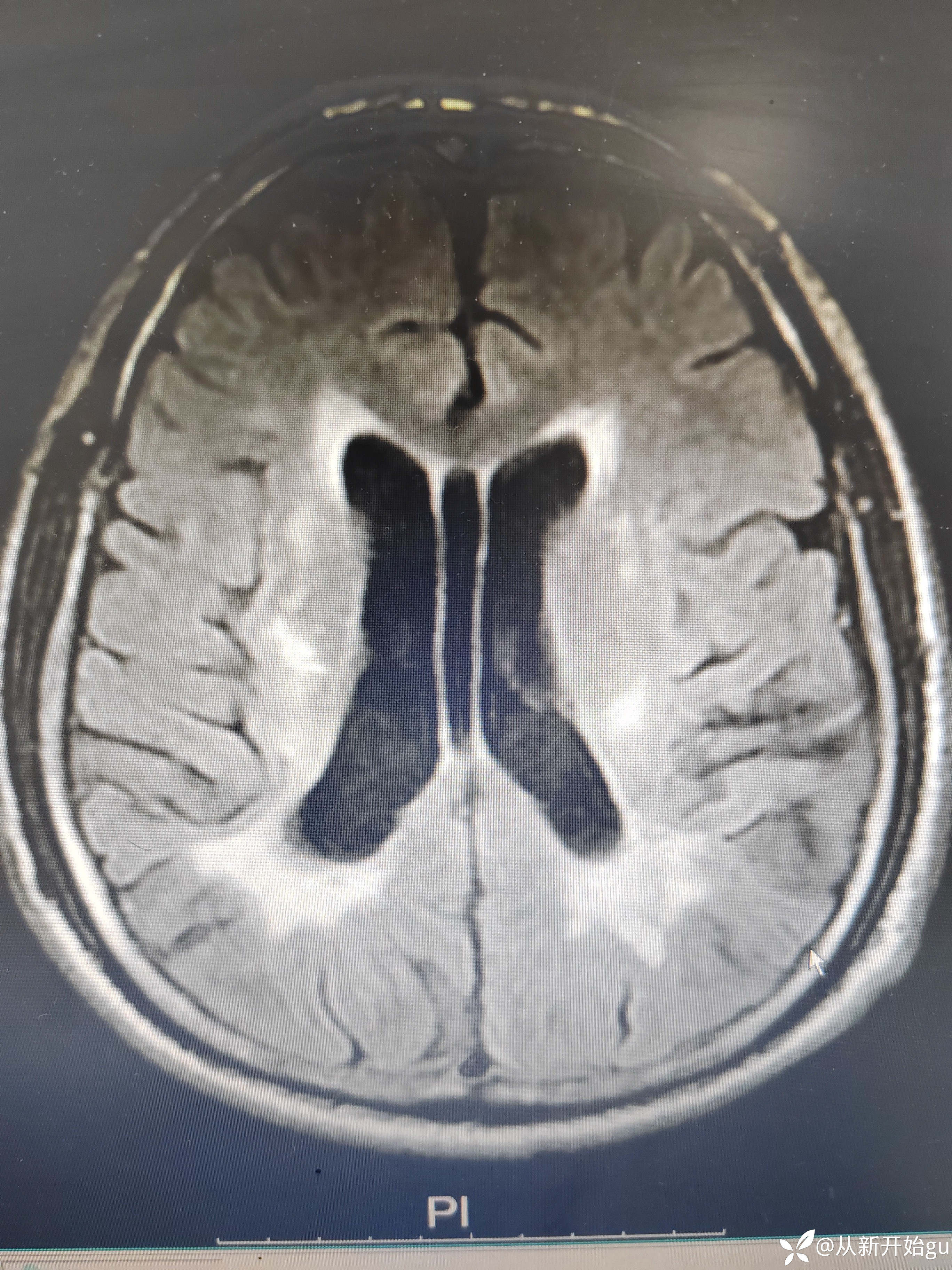
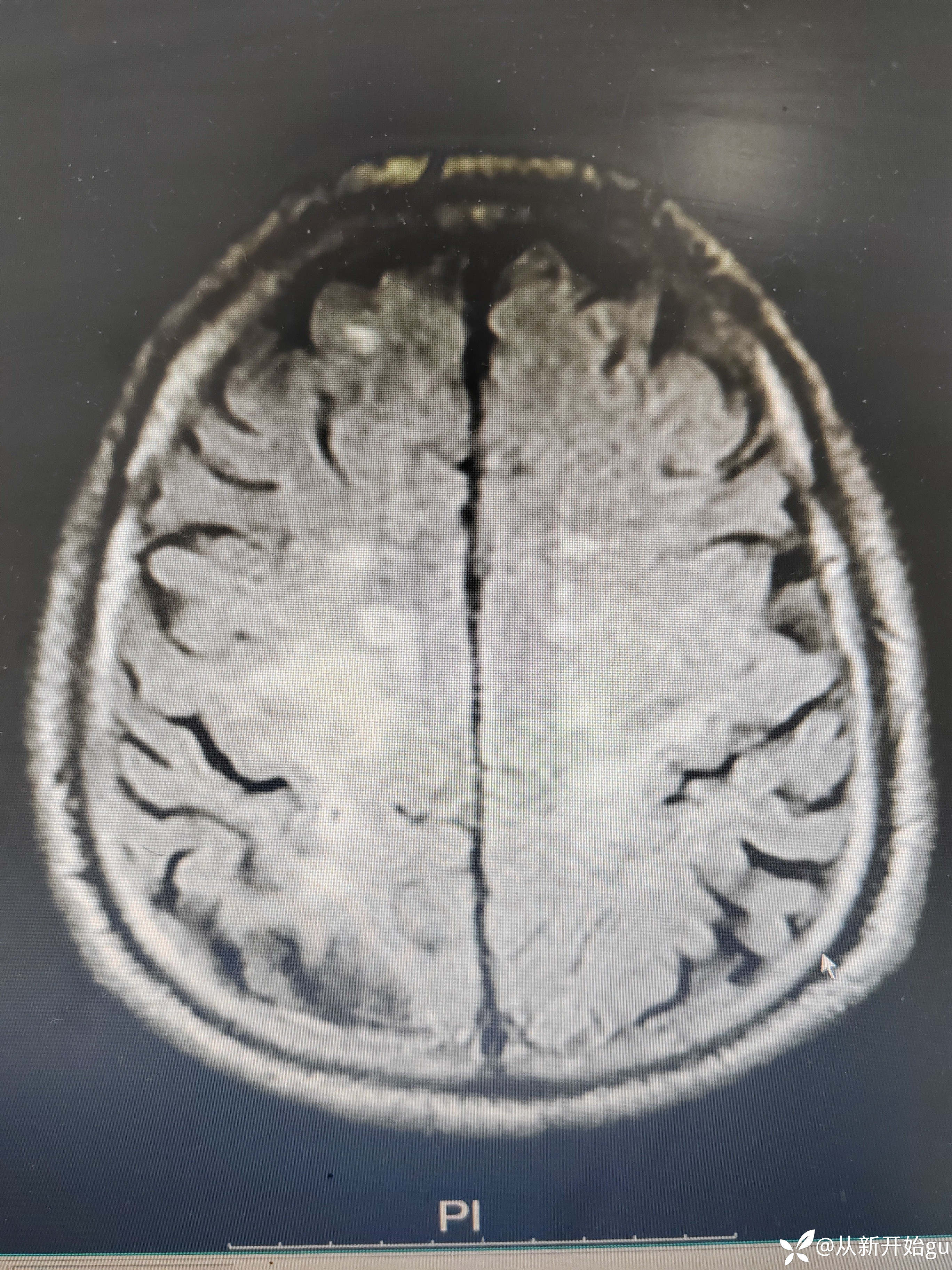
患者男性53岁,主因被发现左下肢活动障碍2.5小时来院,(患者下夜班,于上午9点休息,下午3点醒后出现症状)。既往脑梗死病史9个月,遗留言语不利及口角歪斜的症状。查体:右侧鼻唇沟稍浅,神舌右偏,左侧下肢肌力4级,左侧指鼻试验欠稳准,左侧巴氏征阳性。外院完善颅脑CT无出血改变。来院后完善核磁检查如图所示。

































filar









处理分析
考虑诸多因素在里面,未与溶栓。
总结与讨论
如果是你,你会溶栓吗。
病例信息
患者男性53岁,主因被发现左下肢活动障碍2.5小时来院,(患者下夜班,于上午9点休息,下午3点醒后出现症状)。既往脑梗死病史9个月,遗留言语不利及口角歪斜的症状。查体:右侧鼻唇沟稍浅,神舌右偏,左侧下肢肌力4级,左侧指鼻试验欠稳准,左侧巴氏征阳性。外院完善颅脑CT无出血改变。来院后完善核磁检查如图所示。

































filar









处理分析
考虑诸多因素在里面,未与溶栓。
总结与讨论
如果是你,你会溶栓吗。
