\6岁小女孩,真真假假的病史,请你会诊(有结果)。
病例信息
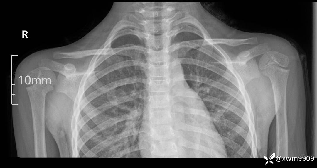
2024-03-19,门诊“摔伤右锁骨肿胀疼痛6小时。拟“锁骨骨折”要求摄:右肩关节正侧位,右锁骨轴位检查。
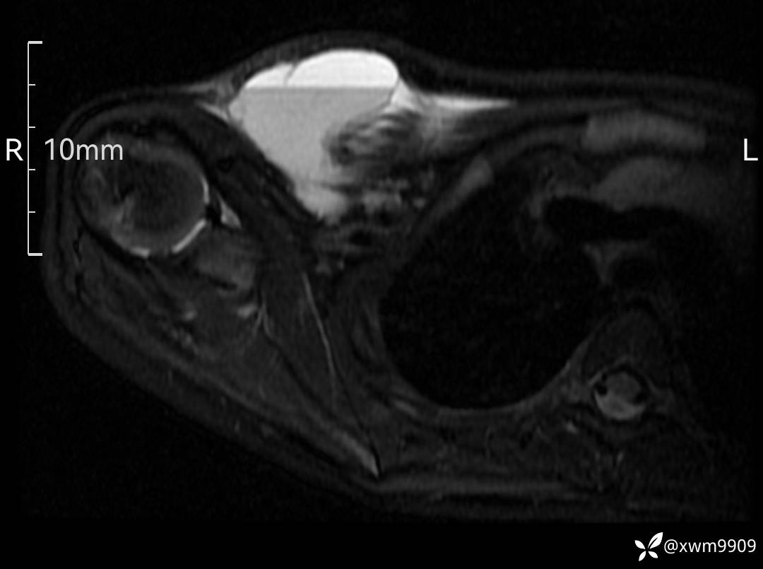
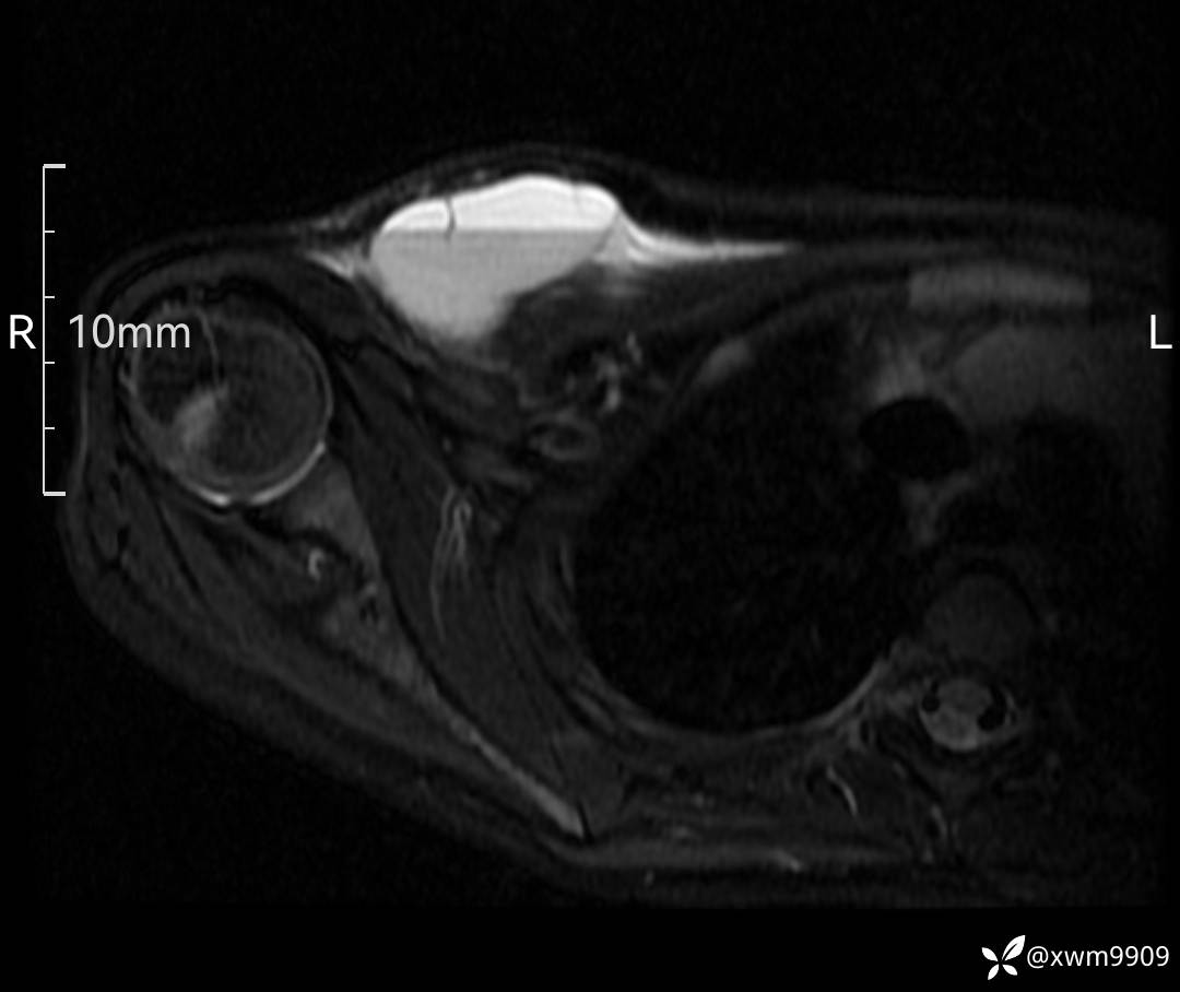
2024-03-20,女,6岁。因“发现右侧胸部肿物伴疼痛1天”入院。
入院首程:
1、患儿为女性儿童,无明确外伤史(此处与门诊病史相反),现发现右侧胸部肿物、疼痛。
2、现病史:家属代诉昨日洗澡时发现右胸肿物,压痛明显,查DR:未见明显异常,自行予云南白药,症状稍好转。临床拟:锁骨周围血肿收入院。
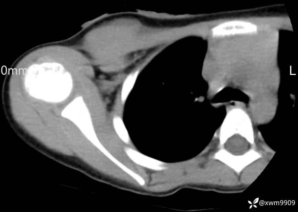
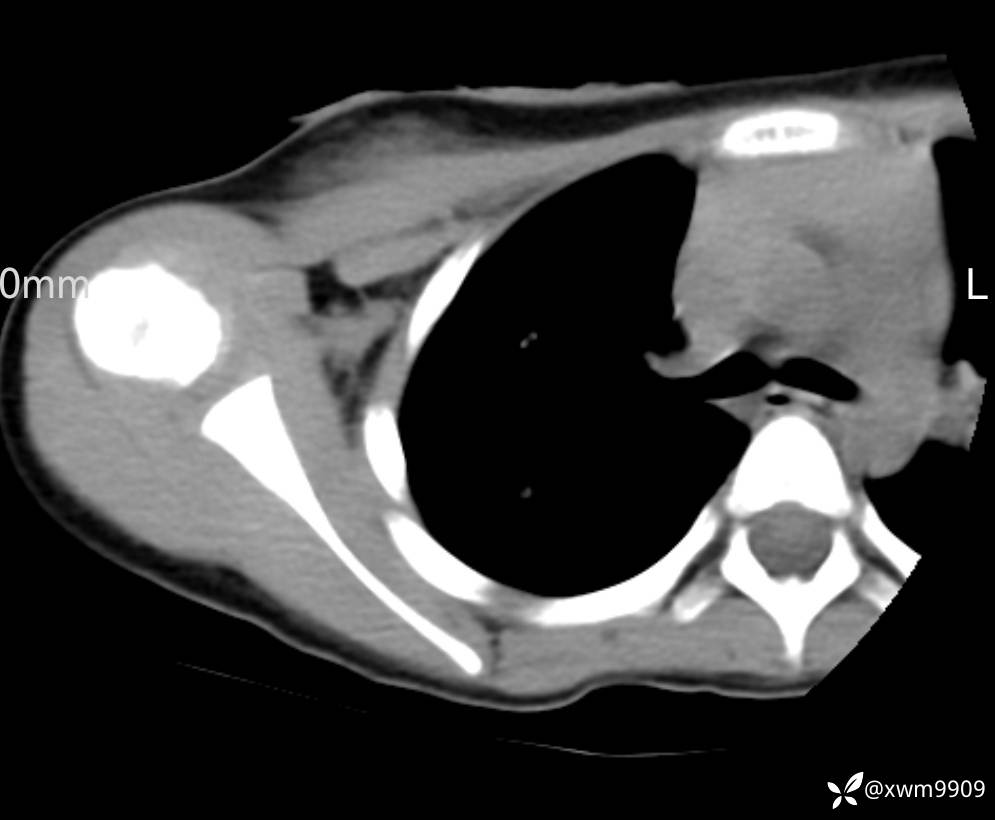
3、查体,右锁下方可及一约5x6Cm肿物,软丶边清丶未见明显发红,肤温不高,压痛明显,不可推动,稍有波动感。其他无特殊。
DR:



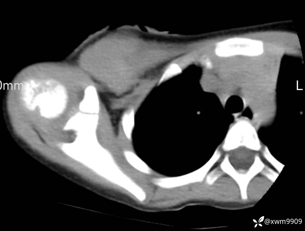
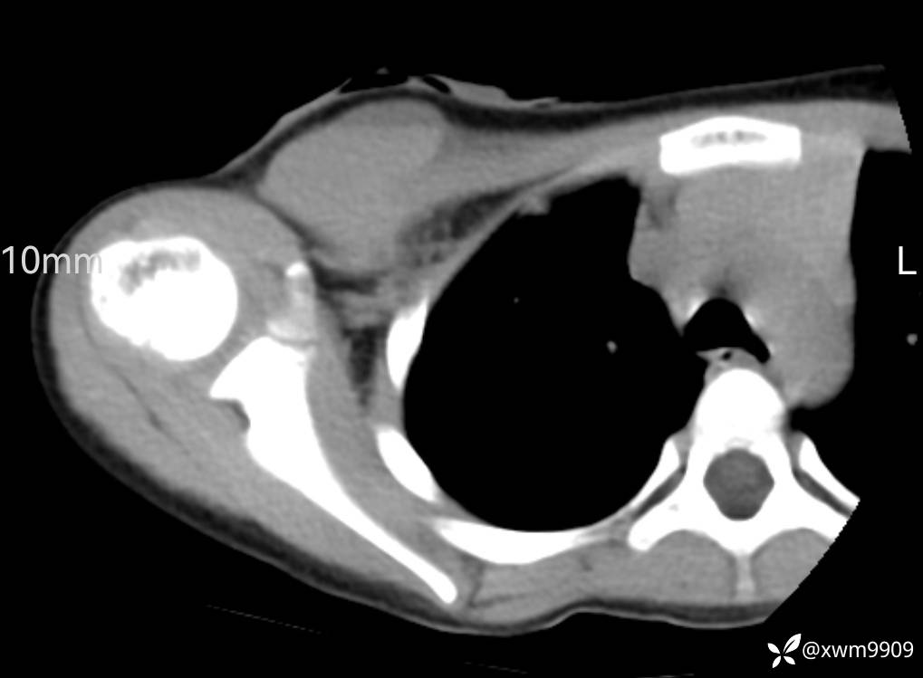
CT:











































问题讨论
1、儿童病史如何采集,才能提高可信度?
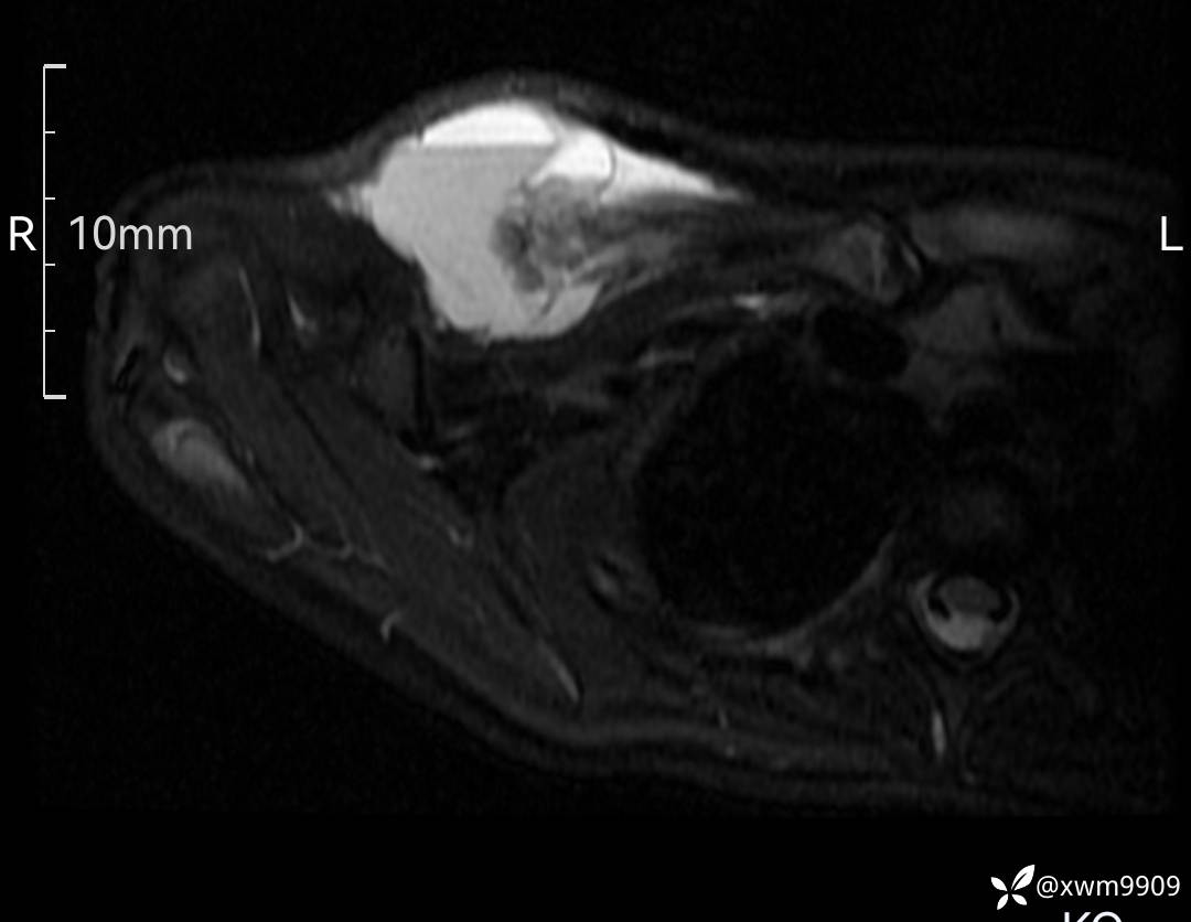
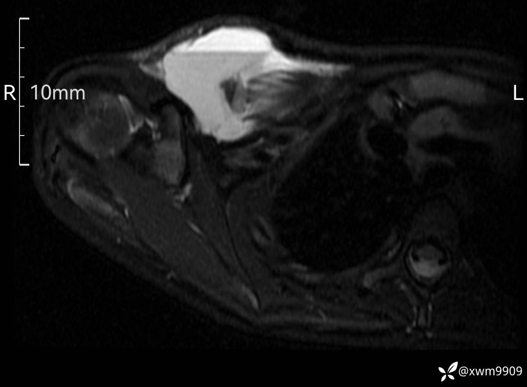
2、CT、MR肿块内可见液-液平面,常见有哪些疾病。
3、如何定性、定病?
















































